dxy logo
首页丁香园病例库全部版块
搜索
登录

病例多发的脑膜瘤,蓝圈圈所示是什么

医疗行业从业者 · 发布于 2023-12-12 · 来自 iOS · IP 江苏江苏
811 浏览
这个帖子发布于 1 年零 348 天前,其中的信息可能已发生改变或有所发展。

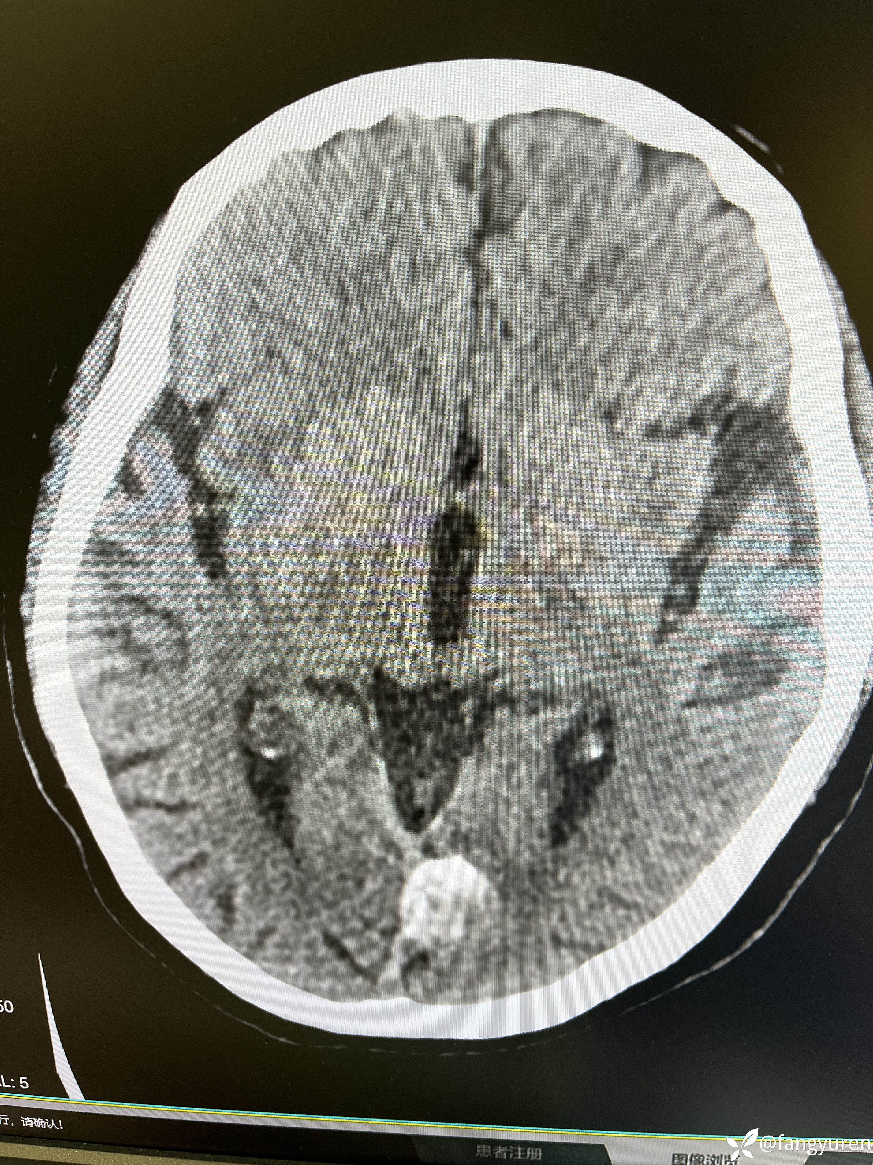
女66,头晕来摄影,发现大脑左侧纵裂旁、左侧额部颅骨下和右侧侧脑室后角见多发类圆形稍高、等、低密度影,部门钙化提示脑膜瘤。如图,蓝圈圈(详细请看视频)所示右侧侧脑室后角见类圆形低密度,周边钙化,考虑是什么,囊状脑膜瘤?多谢老师

img


img


img


previewplay video


img
脑膜瘤 (78)
纠错
6 收藏点赞
同行评议(0)
已评议
不开通精选
开通精选
精选已授权,待上线
评议结果暂未公布
参与评议
去邀请
NaN
病例完整NaN
临床实用NaN
诊疗科学NaN
学术价值NaN

全部讨论(0)

默认最新
avatar
6
分享帖子
share-weibo分享到微博
share-weibo分享到微信
认证
返回顶部