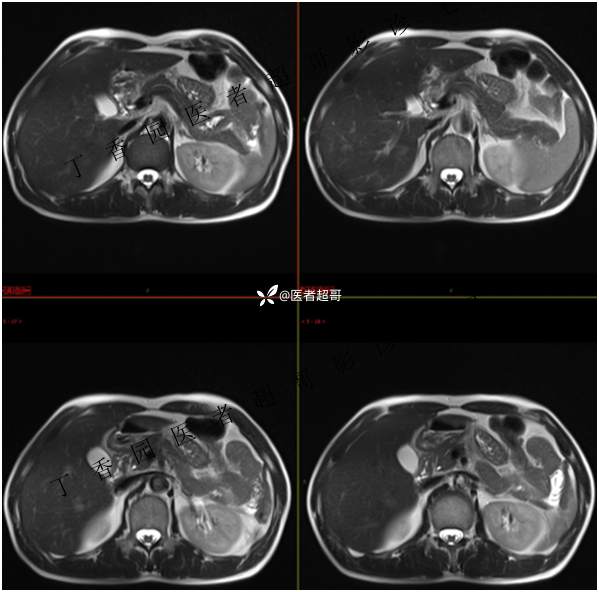
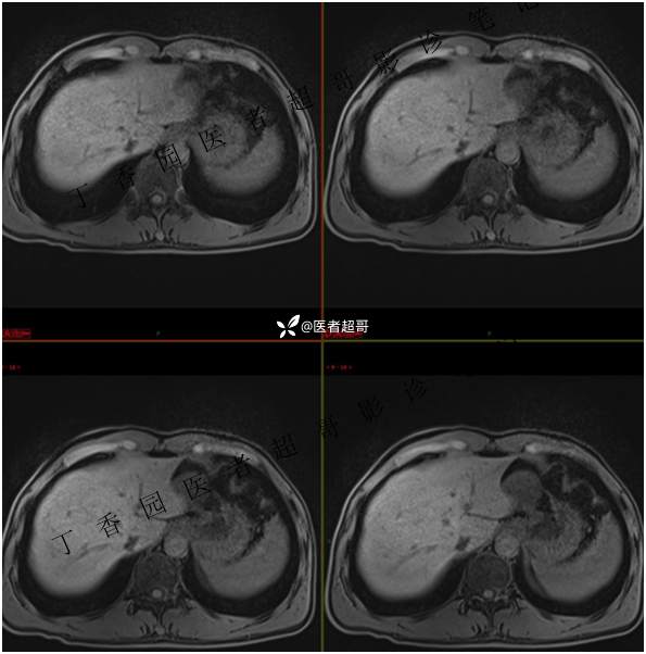
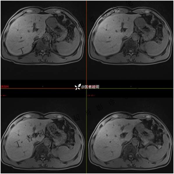
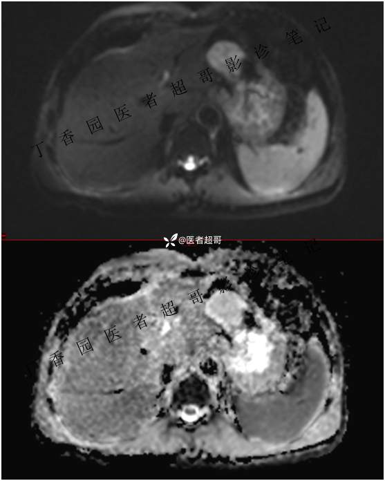
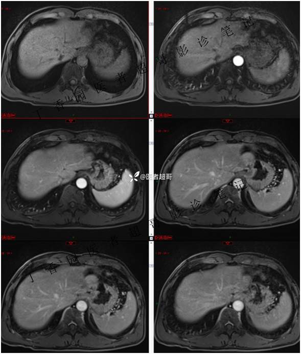
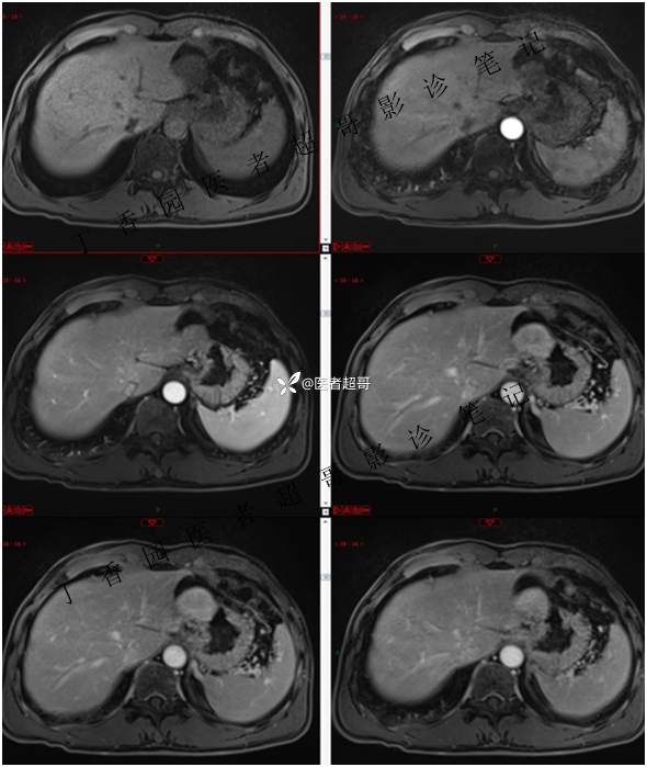
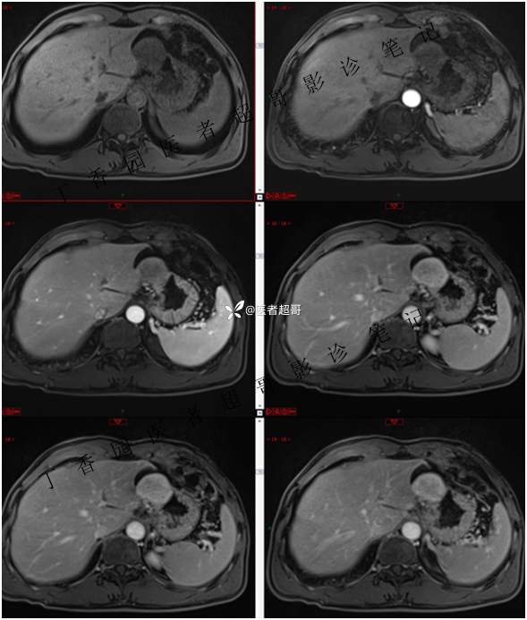
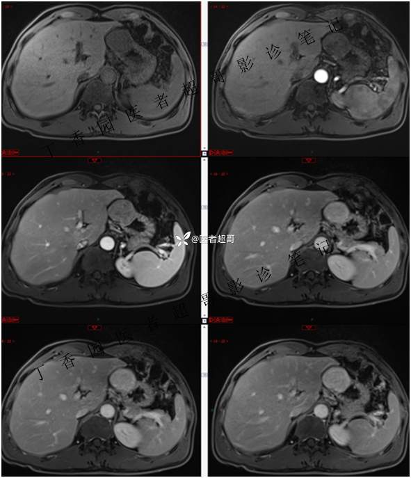
肝胃间隙肿瘤,间质瘤?平滑肌瘤?还是鞘瘤?有结果,请分析!
华夏览雄 达人已点赞男,50岁 0200722 01
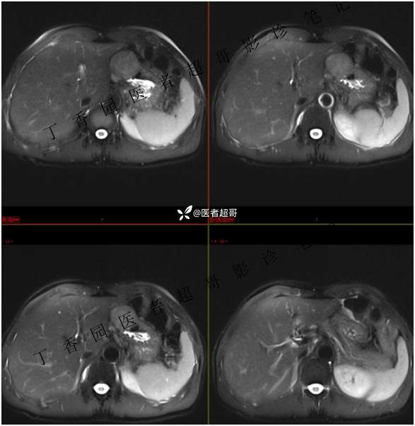
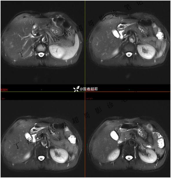
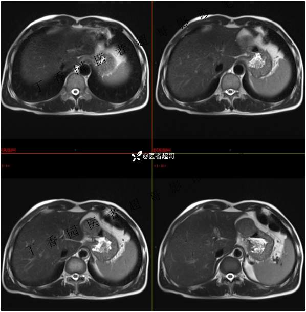
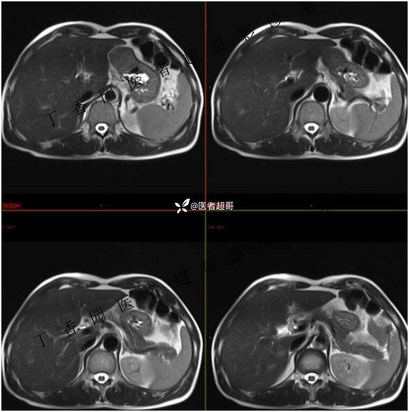
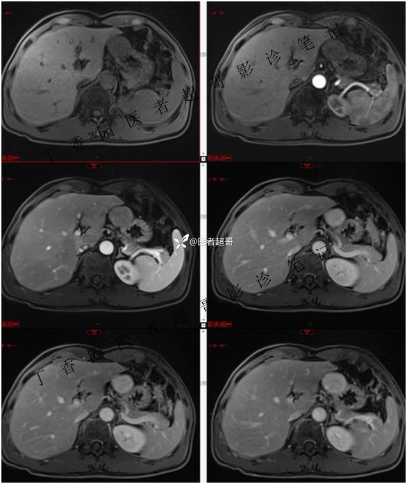
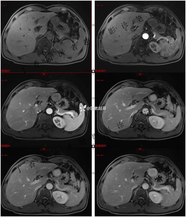
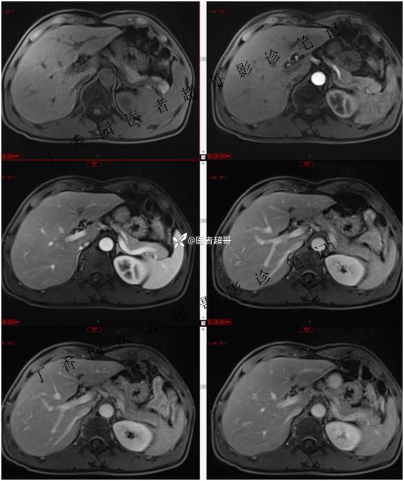
主 诉:查体发现肝占位3天。
现病史:患者于3天前查体行肝胆脾胰肾彩超示肝内实性占位,无恶心、呕吐,无发热、寒战,无腹胀、腹泻,进一步于医院行上腹部CT增强示:肝胃交界处肿块。未行特殊治疗。今患者为求进一步治疗,来我院就诊,门诊以“肝占位性病变”收入院。患者自发病以来,神志清,精神可,饮食睡眠可,二便可,体重近期未见明显变化。
既往史:既往体健,否认高血压、糖尿病、心脑血管病等疾病史,否认肝炎、结核或其他传染病史及密切接触史,预防接种史不详,否认药物及食物过敏史,否认外伤史,否认手术史,否认输血史,其它无特殊。






































































