【影诊笔记759】胃体巨大隆起,间质瘤?神经鞘瘤?平滑肌瘤?请鉴别诊断!有结果!
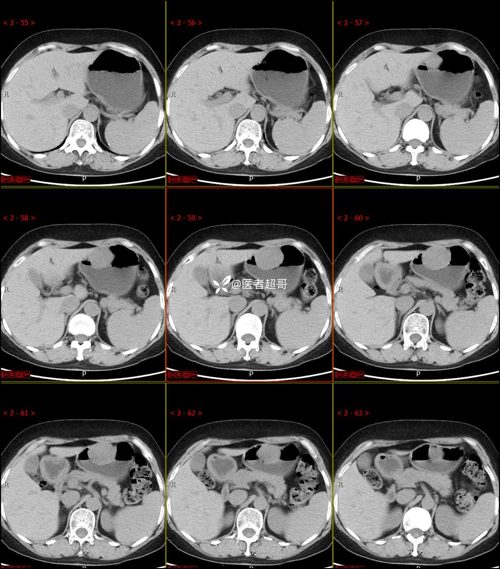
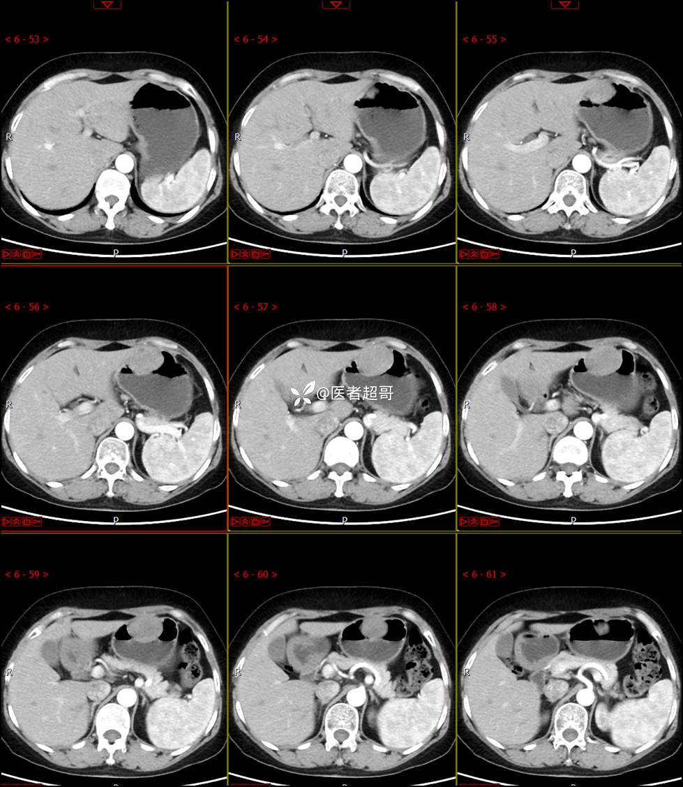
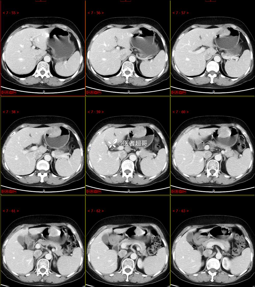
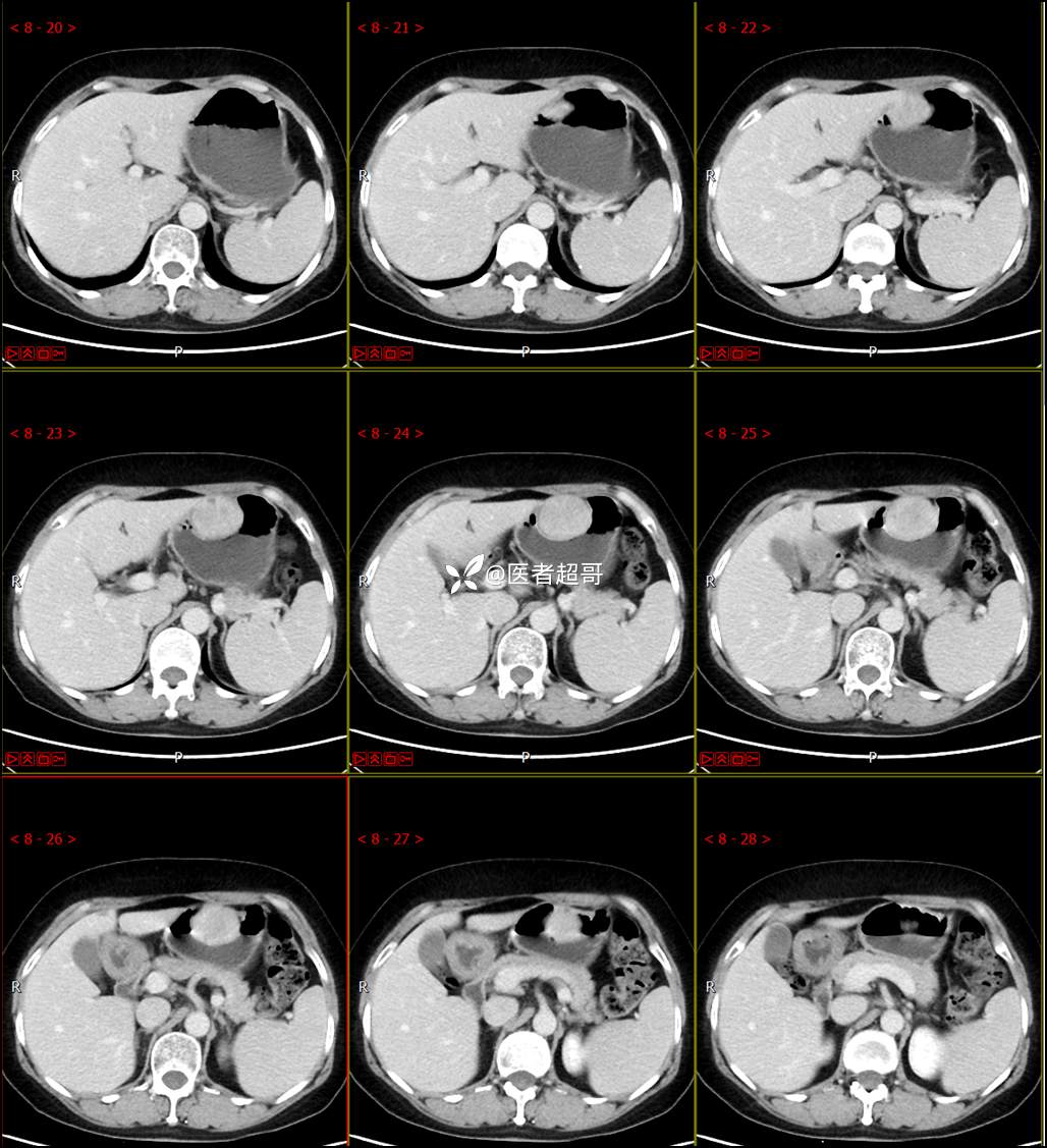
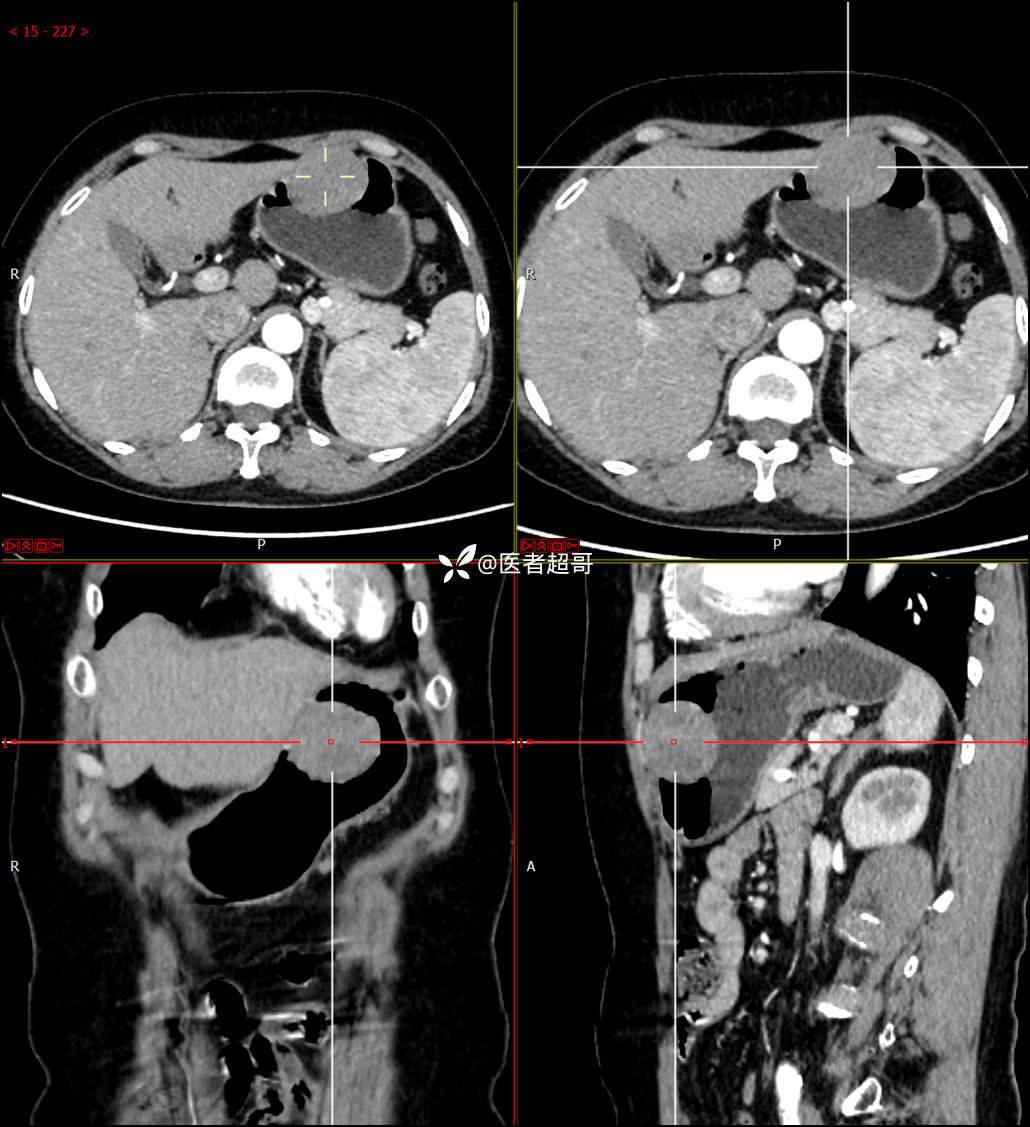
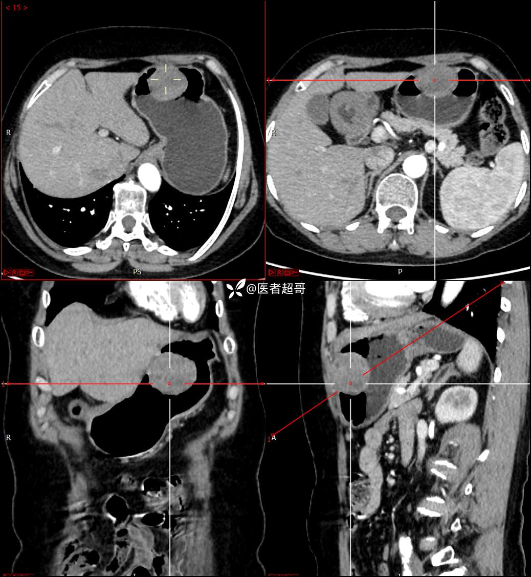
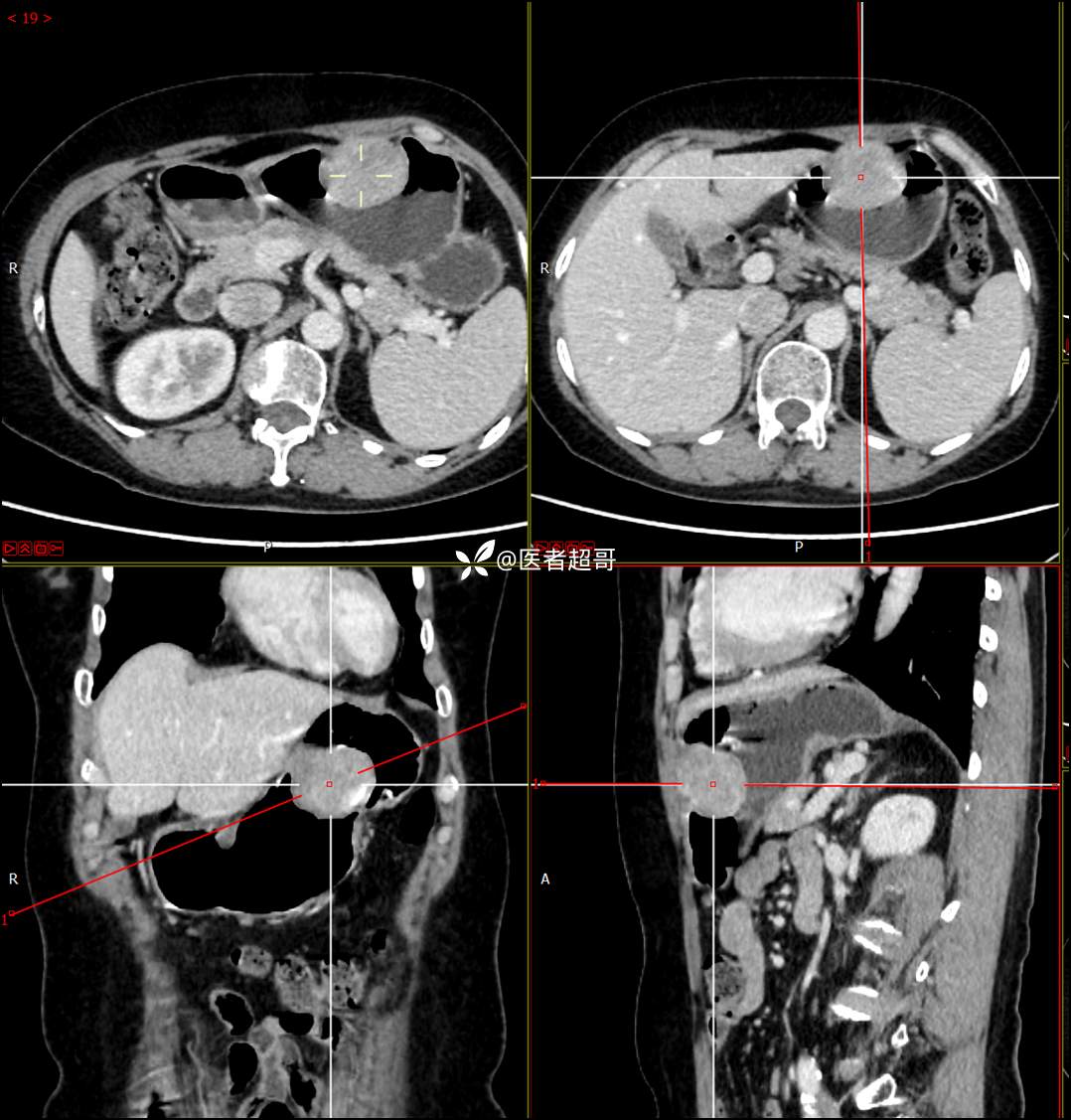
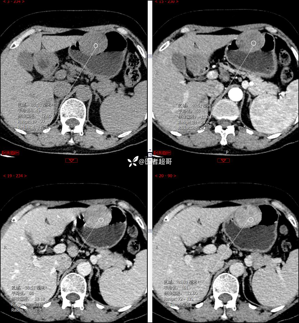
女 61岁 16118640 0200714 01
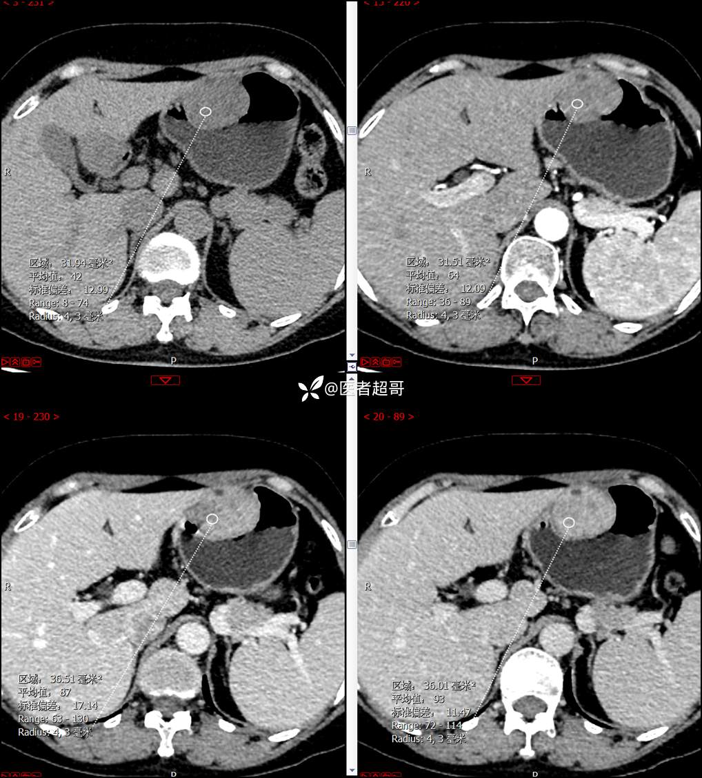
患者半月前无明显原因及诱因出现上腹部疼痛不适,以夜间腹痛为主,无放射性疼痛,间断嗳气,无反酸烧心,无腹泻黑便,于我院门诊行胃镜显示:胃体前壁巨大隆起型病变。
既往史:既往体健。









女 61岁 16118640 0200714 01
患者半月前无明显原因及诱因出现上腹部疼痛不适,以夜间腹痛为主,无放射性疼痛,间断嗳气,无反酸烧心,无腹泻黑便,于我院门诊行胃镜显示:胃体前壁巨大隆起型病变。
既往史:既往体健。









