【神经】特别精彩病例|左手指麻木3年,加重4个月,病理不是神经鞘瘤
胡志勇HZY 等 2 位达人已点赞病例信息
患者性别:男
患者年龄:57岁
主诉:左手指麻木3年,加重4个月
现病史:患者3年前无明显诱因出现左手指麻木,加重4个月。1年半前开始伴左枕部疼痛,3月前开始出现轻微右脚趾麻木
既往史:25年前右手外伤后截肢手术后,否认其他重大手术外伤史
体格检查:(-)
实验室检查:无特殊
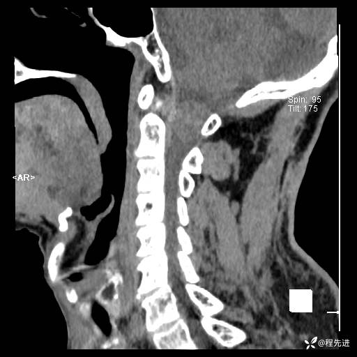
CT平扫:




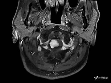
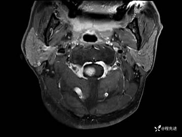
MRI平扫+增强:
T2压脂:




T2:




T1:




T1增强:
















期待您的点赞支持!
期待您的精彩解读!















































