dxy logo
首页丁香园病例库全部版块
搜索
登录

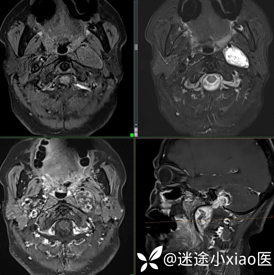
头颈组17:颈静脉孔区占位,副神经节瘤?神经鞘瘤?脑膜瘤?

放射科医师 · 最后编辑于 2023-09-11 · 来自 iOS · IP 江苏江苏
2190 浏览
推荐、达人点赞 2 项荣誉
这个帖子发布于 2 年零 29 天前,其中的信息可能已发生改变或有所发展。

患者性别:女

患者年龄:57岁

主 诉:  声音嘶哑进食困难伴左侧颌部麻木半年

现病史:  【患者半年前无明显诱因出现声音嘶哑,进食困难,只能进食糊状食物,伴有恶心呕吐,无明显头痛头晕,未加重视。

img


img


img


img


img


img


img


img


img


img


img


神经鞘瘤 (117)
纠错
33 3 15
同行评议(0)
已评议
不开通精选
开通精选
精选已授权,待上线
评议结果暂未公布
参与评议
去邀请
NaN
病例完整NaN
临床实用NaN
诊疗科学NaN
学术价值NaN

全部讨论(0)

默认最新
avatar
33
分享帖子
share-weibo分享到微博
share-weibo分享到微信
认证
返回顶部