dxy logo
首页丁香园病例库全部版块
搜索
登录

病例头颈组14:中年男性,显著强化病灶,如何考虑(结果公布)

放射科医师 · 最后编辑于 2023-07-18 · 来自 iOS · IP 江苏江苏
1411 浏览
推荐、达人点赞 2 项荣誉
这个帖子发布于 2 年零 88 天前,其中的信息可能已发生改变或有所发展。

麻烦也给我投一票

如此典型病例,平扫即可诊断(结果公布)

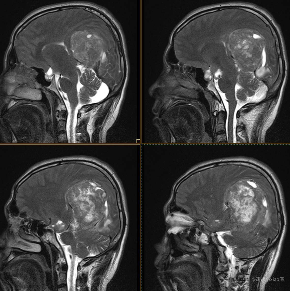
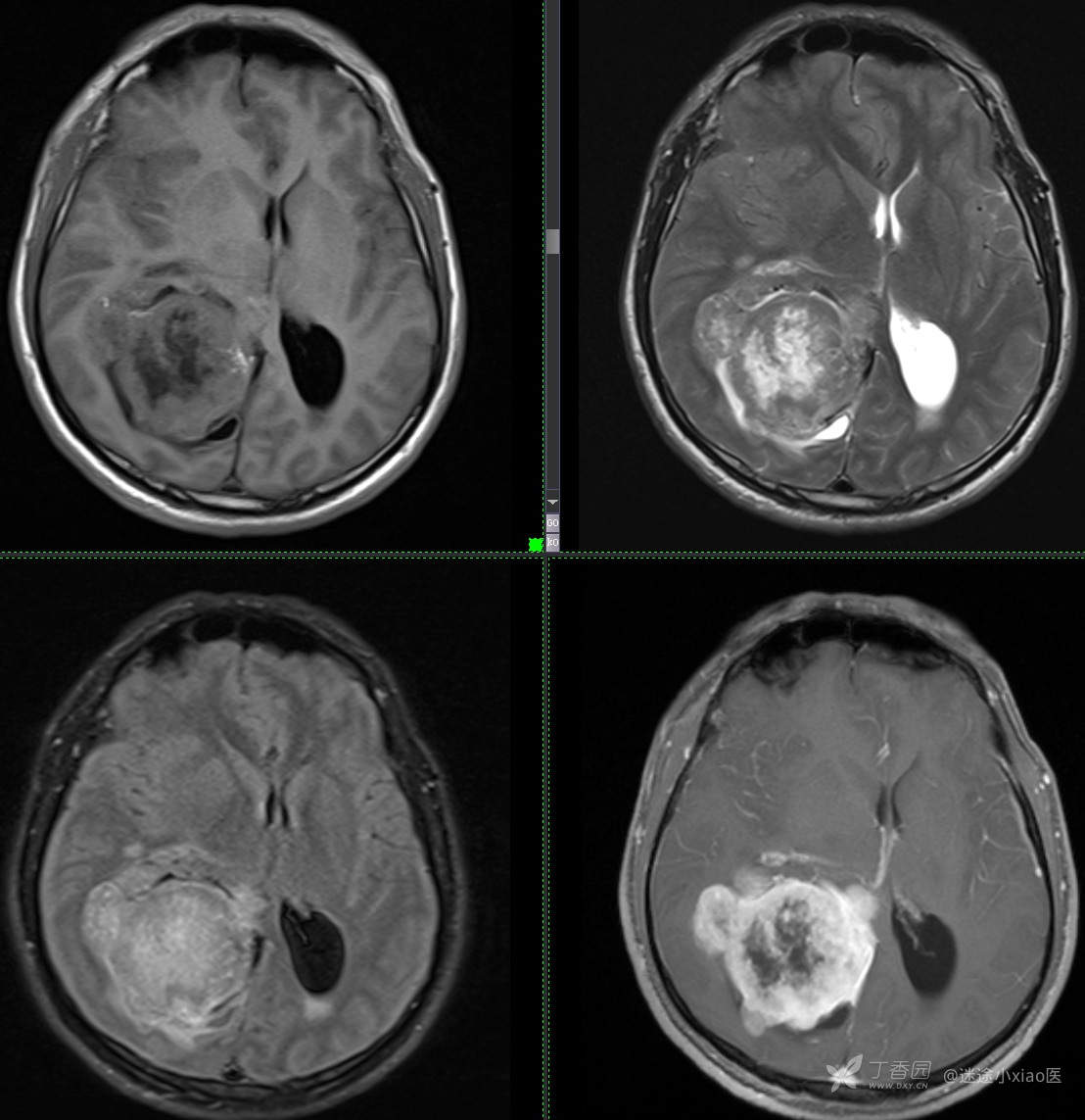
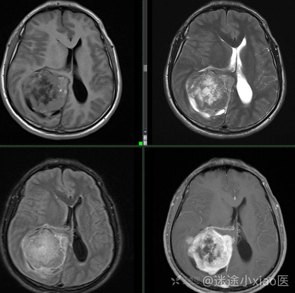
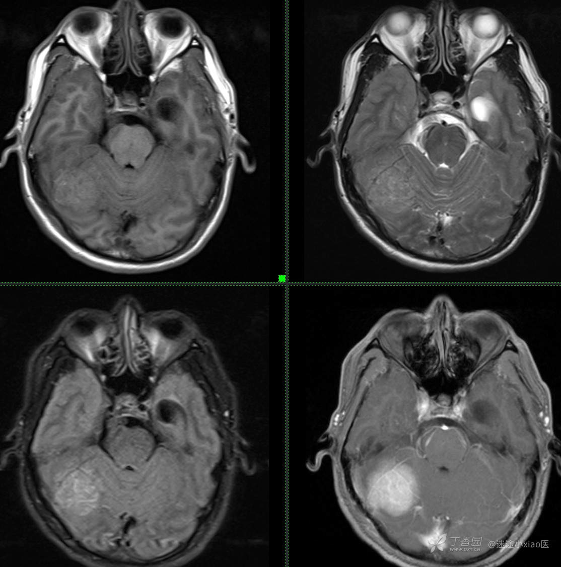
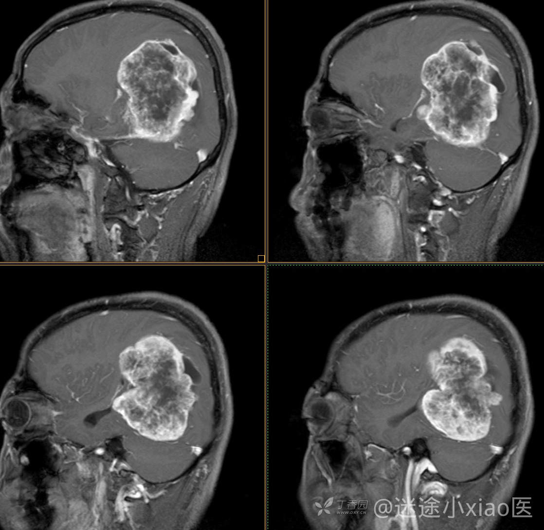
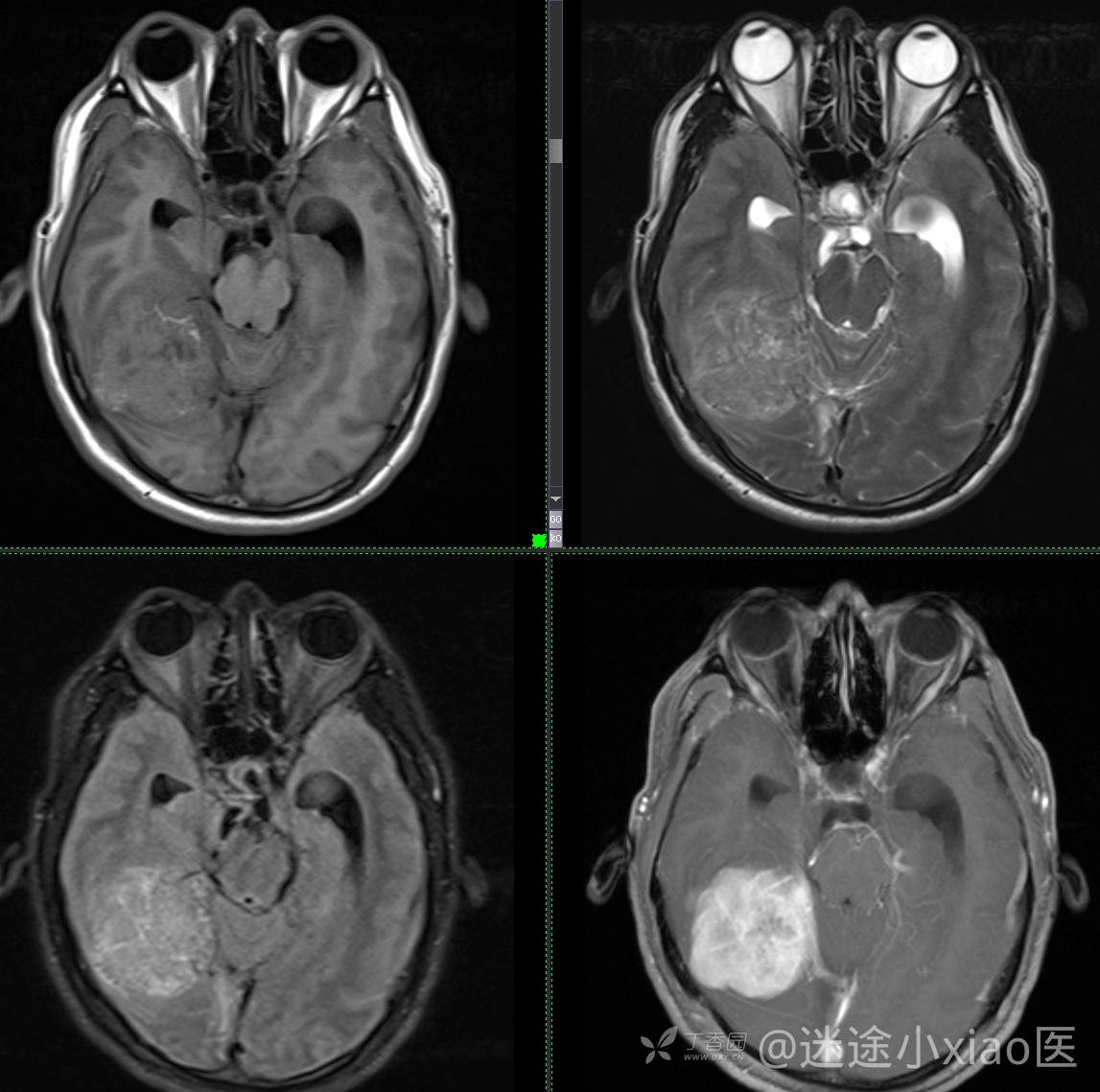
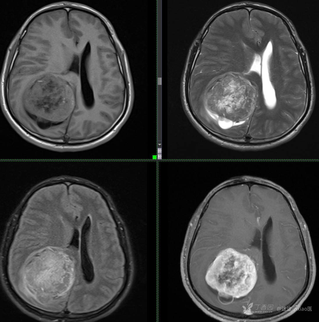
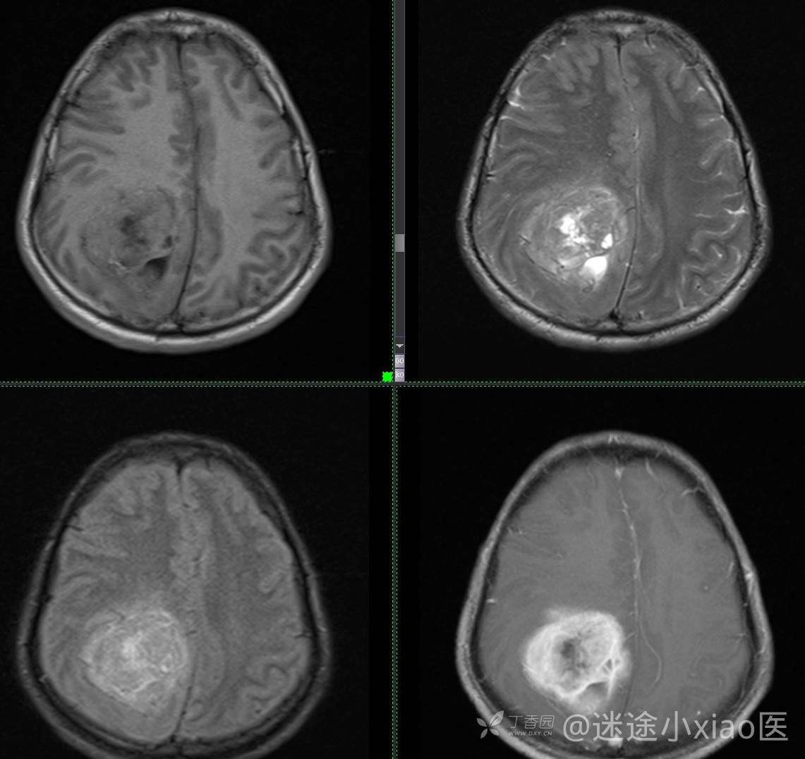
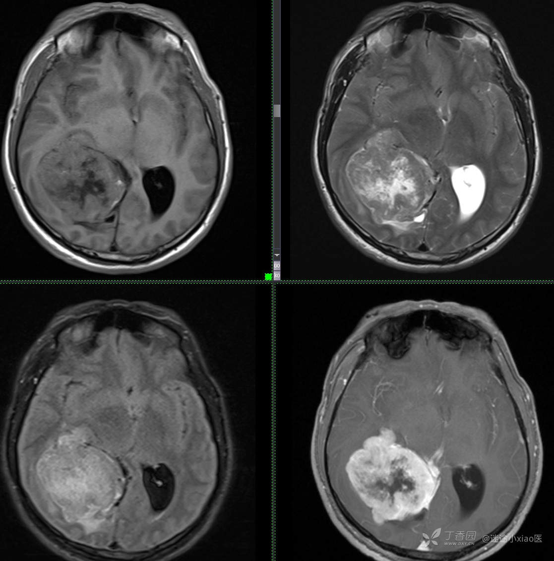
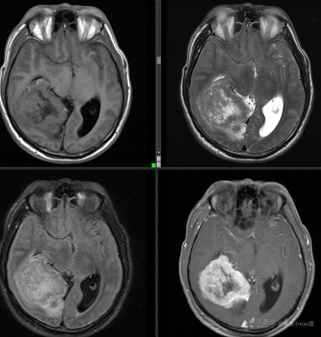
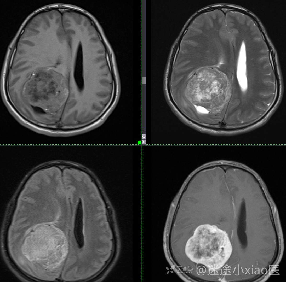
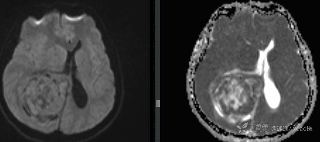
患者年龄:43

患者性别:男

简要病史:头痛3月余,查体无殊

img


img


img


img


img


img


img


img


img


img


img


img


img


img


img


img
头痛 (430)
纠错
31 5 6
同行评议(0)
已评议
不开通精选
开通精选
精选已授权,待上线
评议结果暂未公布
参与评议
去邀请
NaN
病例完整NaN
临床实用NaN
诊疗科学NaN
学术价值NaN

全部讨论(0)

默认最新
avatar
31
分享帖子
share-weibo分享到微博
share-weibo分享到微信
认证
返回顶部