【头颈】精彩病例,癫痫患者复诊,注意细节,看看能否全部击中~(有结果)
病例信息
患者男,43岁。
简要病史:癫痫患者复诊,昨日发作5-6次,建议住院进一步治疗。
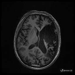
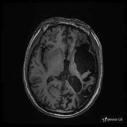
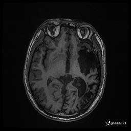
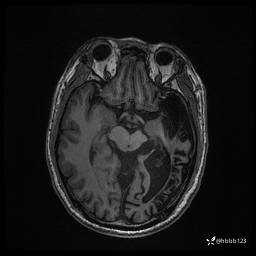
入院完善脑癫痫组合序列:
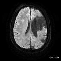
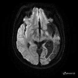
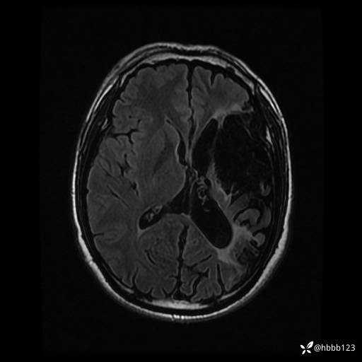
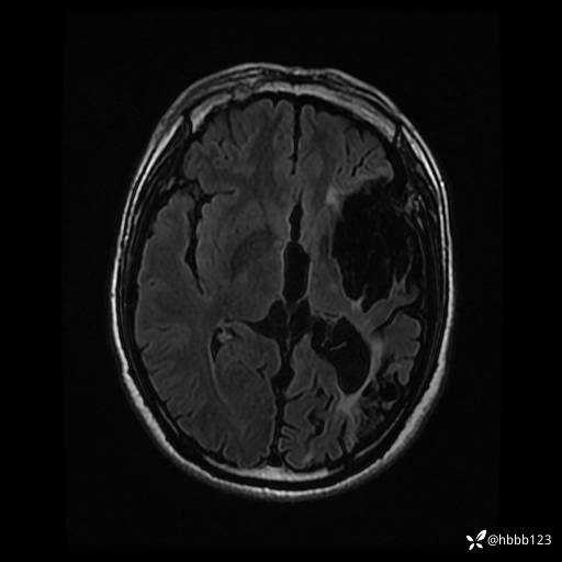
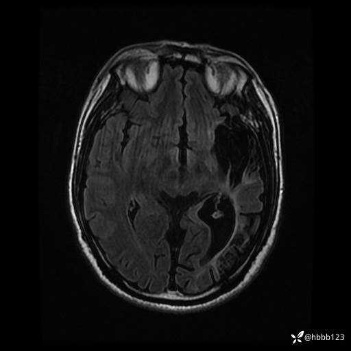
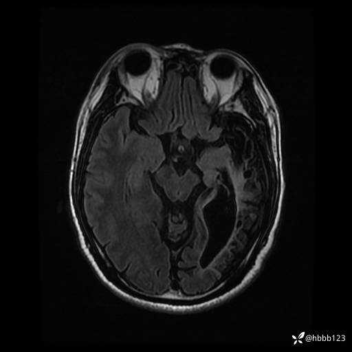
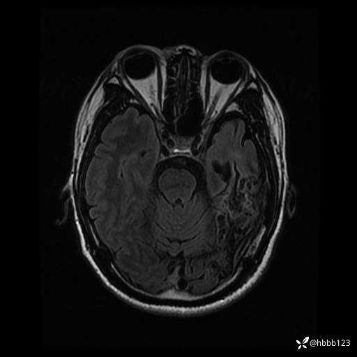
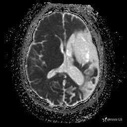
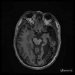
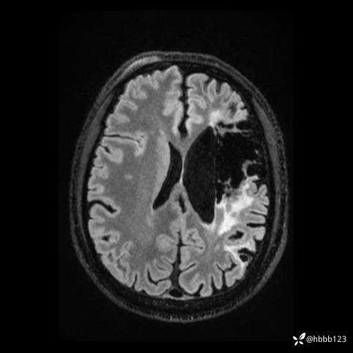
DWI:







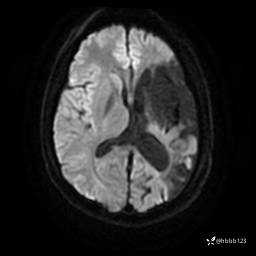
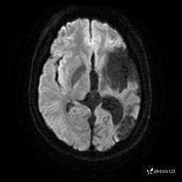
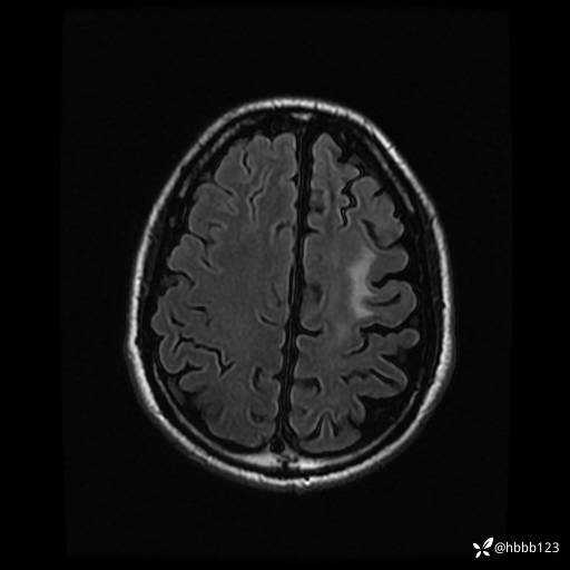
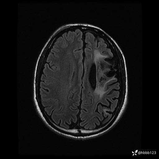
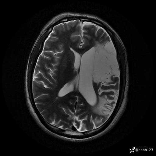
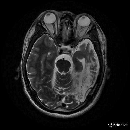
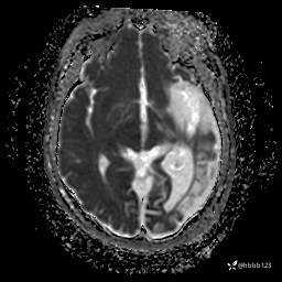
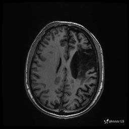
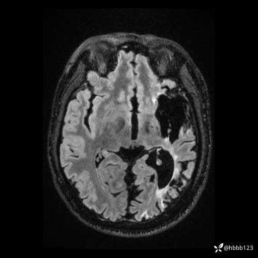
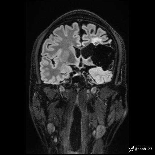
T2 Flair:









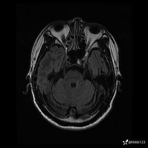
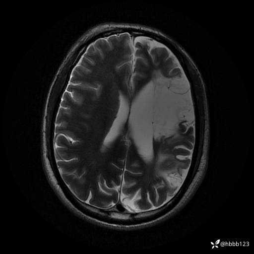
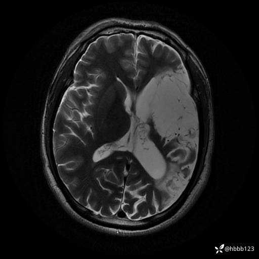
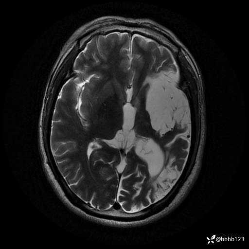
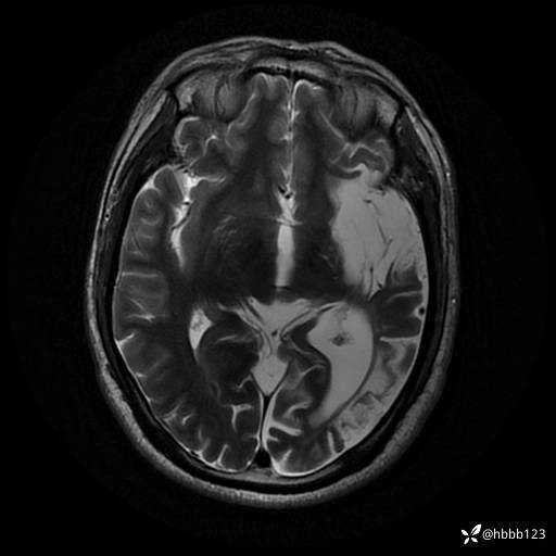
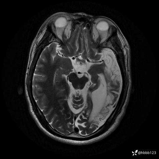
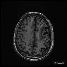
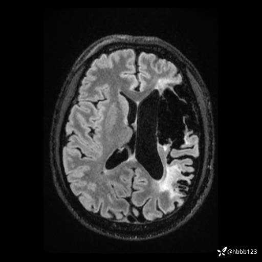
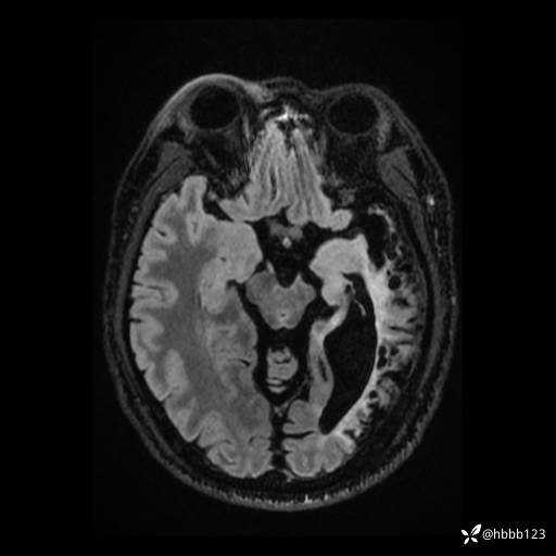
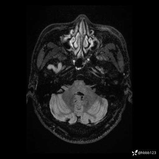
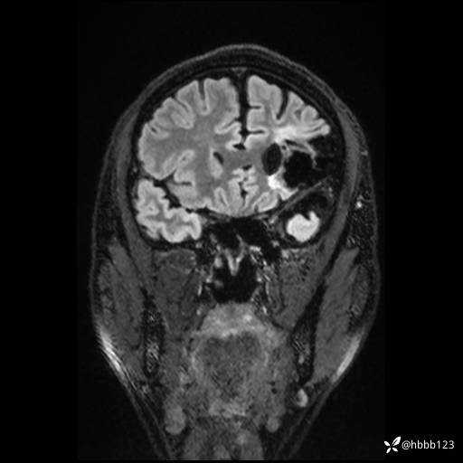
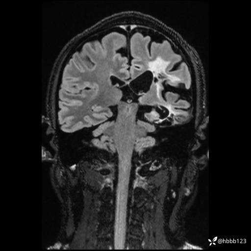
T2:








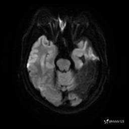
ADC:







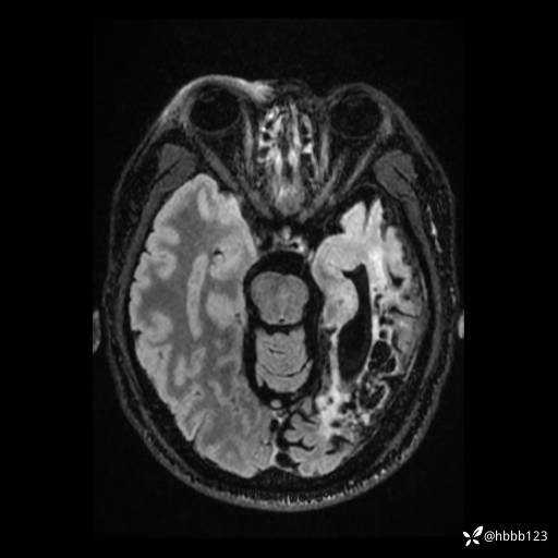
3d T1:












SWAN:






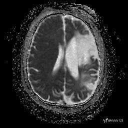
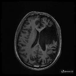
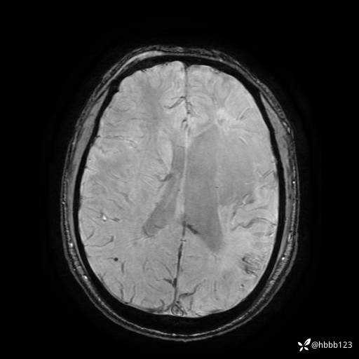
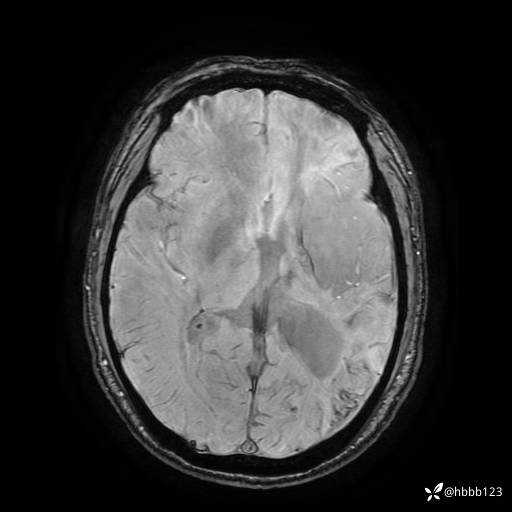
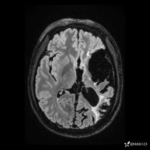
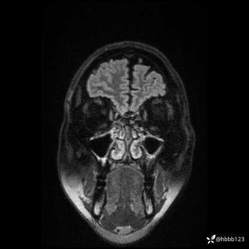
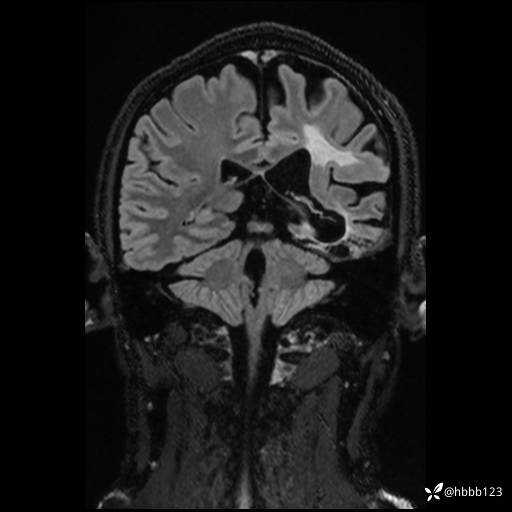
CUBE FLAIR横断位:










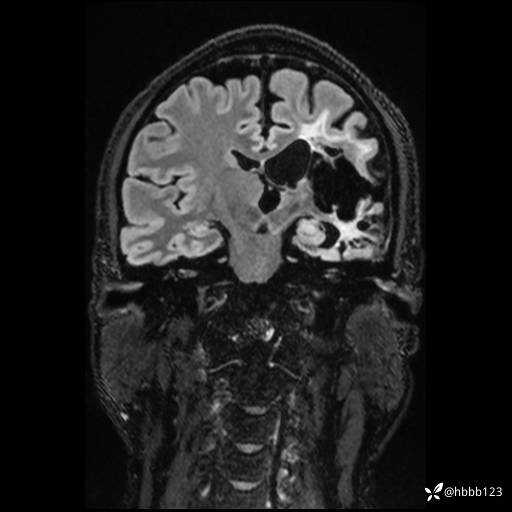
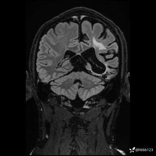
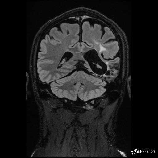
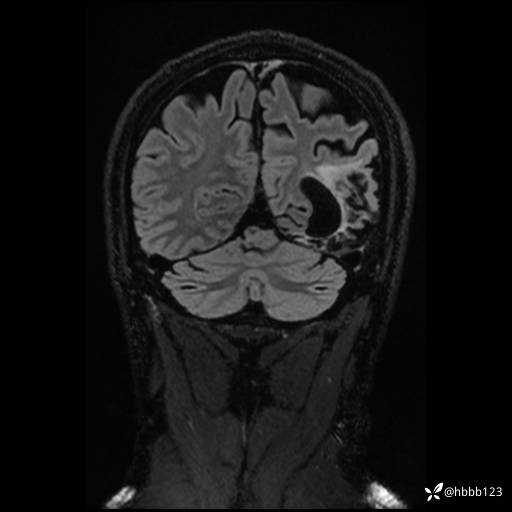
CUBE FLAIR冠状位:
















注意细节,看看能否全部命中。
请您诊断。
病例信息
患者男,43岁。
简要病史:癫痫患者复诊,昨日发作5-6次,建议住院进一步治疗。
入院完善脑癫痫组合序列:
DWI:







T2 Flair:









T2:








ADC:







3d T1:












SWAN:






CUBE FLAIR横断位:










CUBE FLAIR冠状位:
















注意细节,看看能否全部命中。
请您诊断。
