头颈组12:老年女性,原发?继发?
胡志勇HZY 达人已点赞患者性别:女
患者年龄:58岁
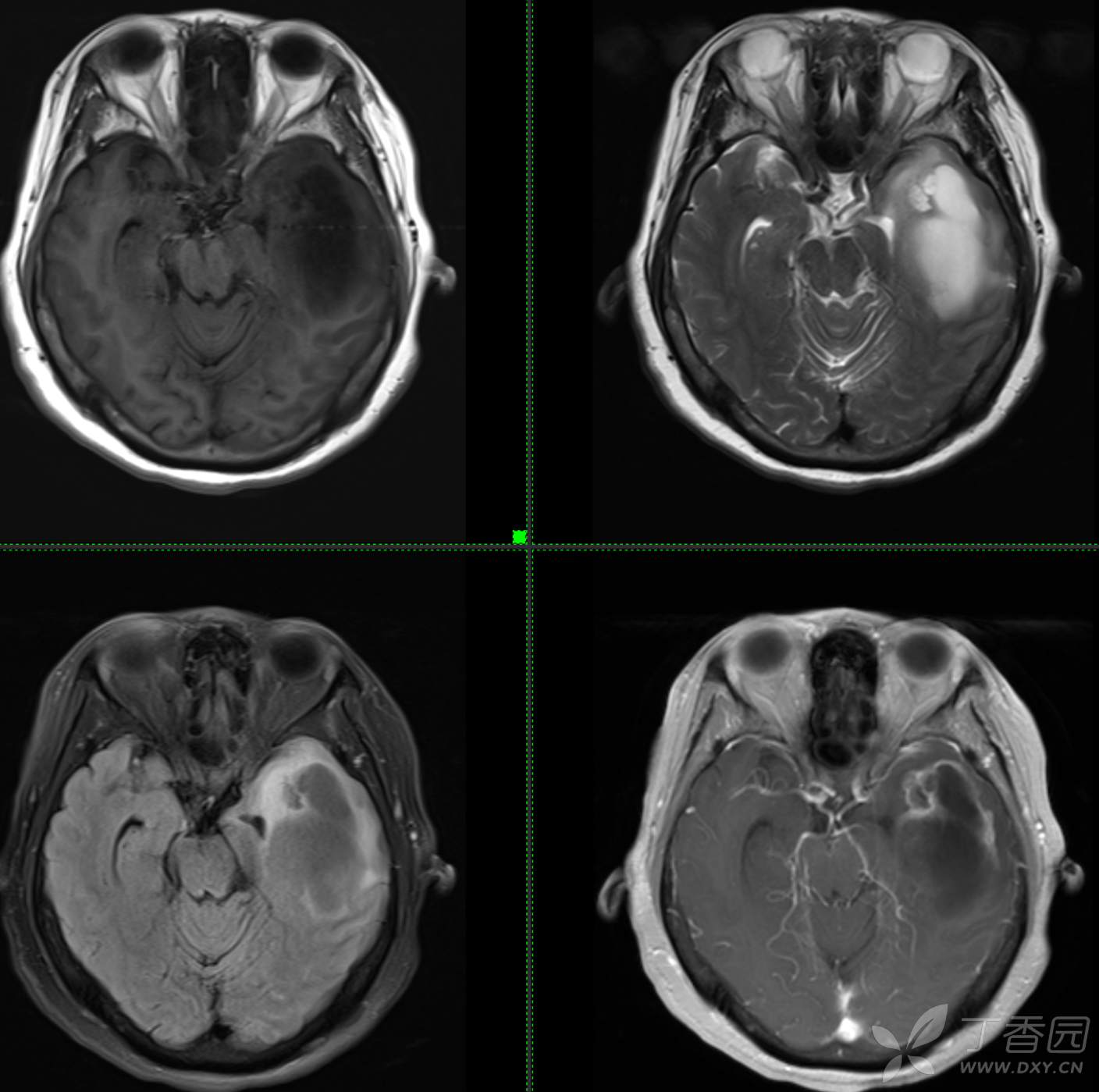
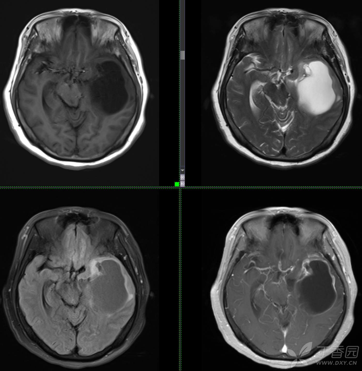
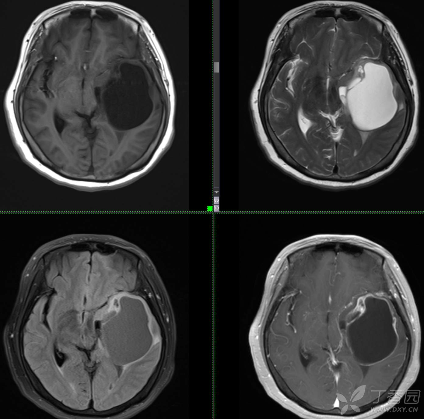
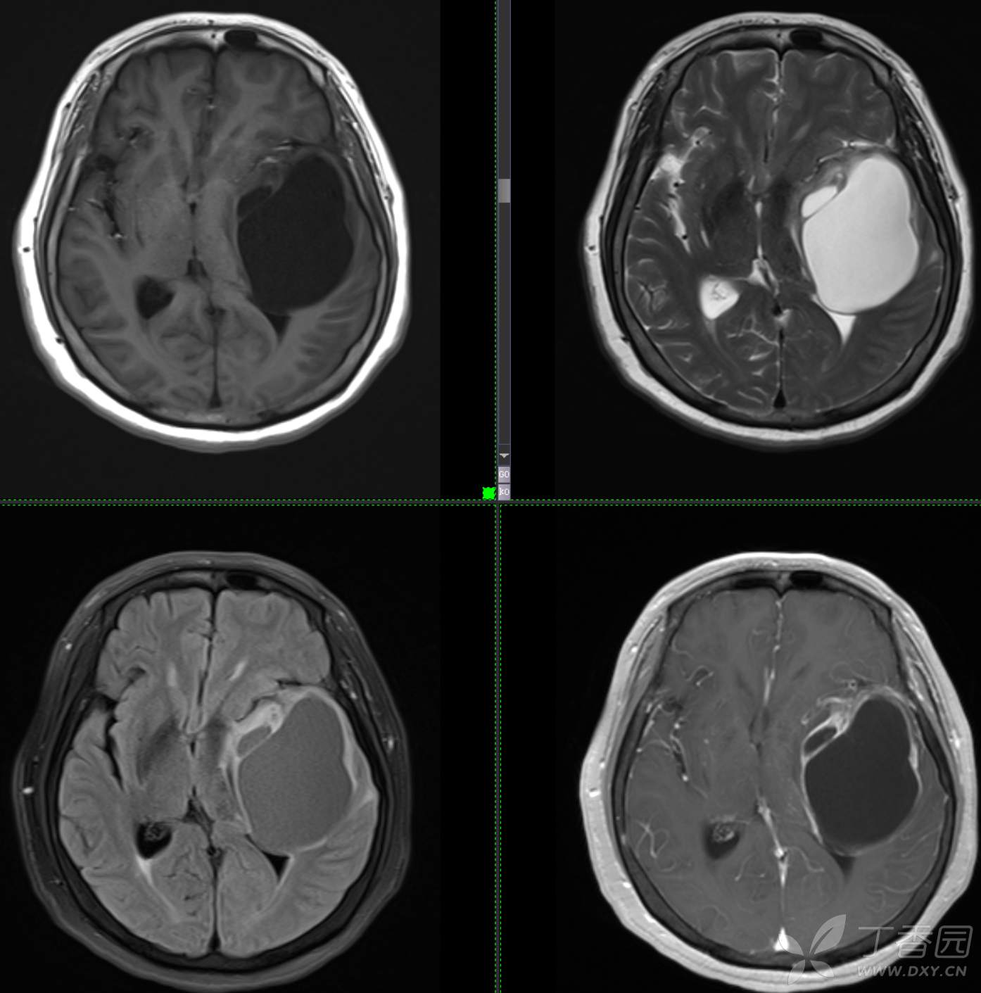
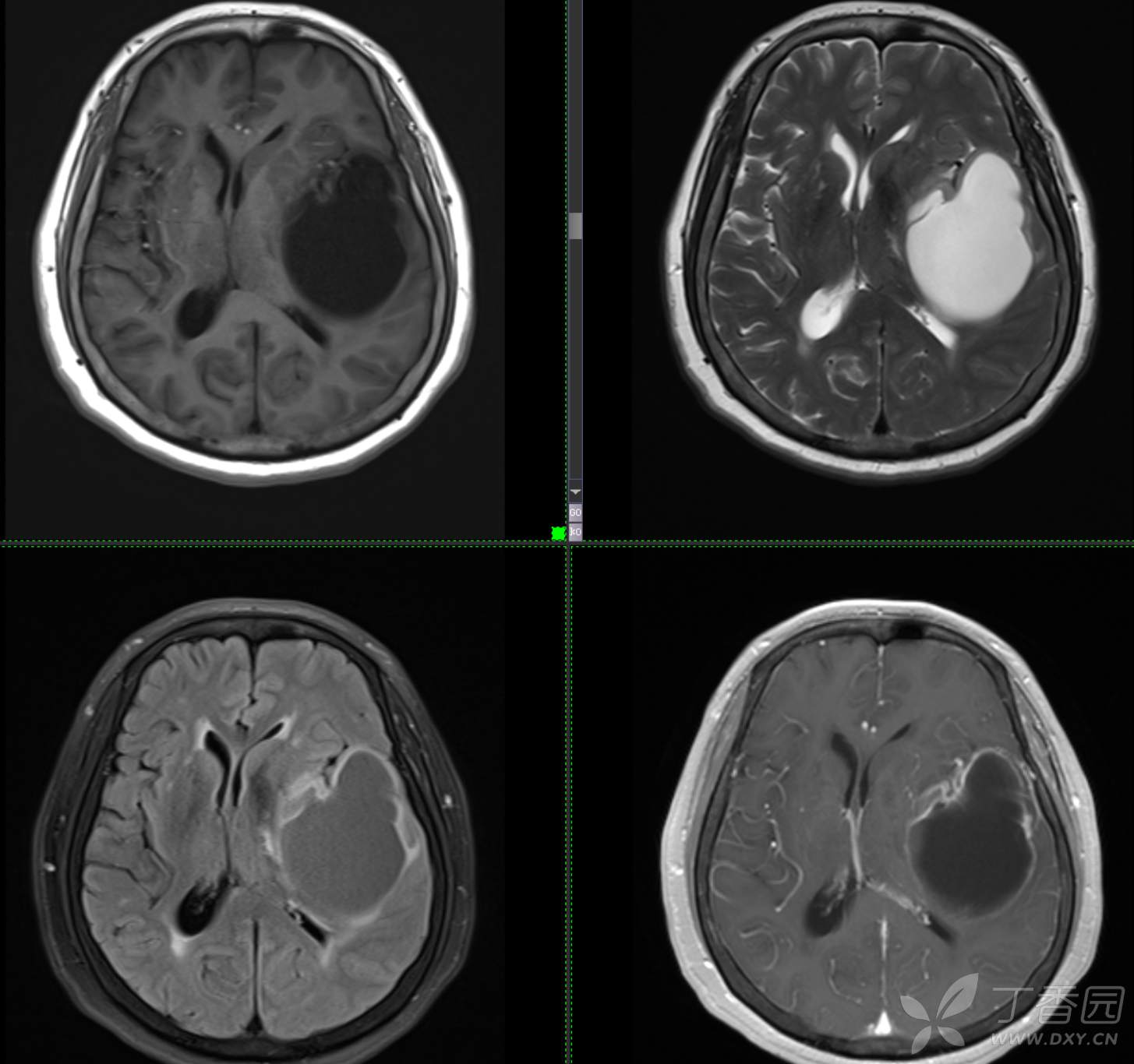
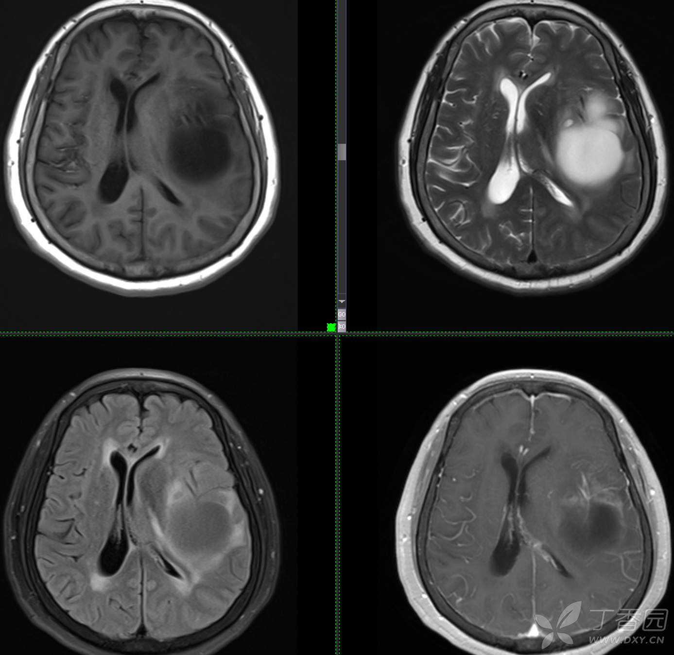
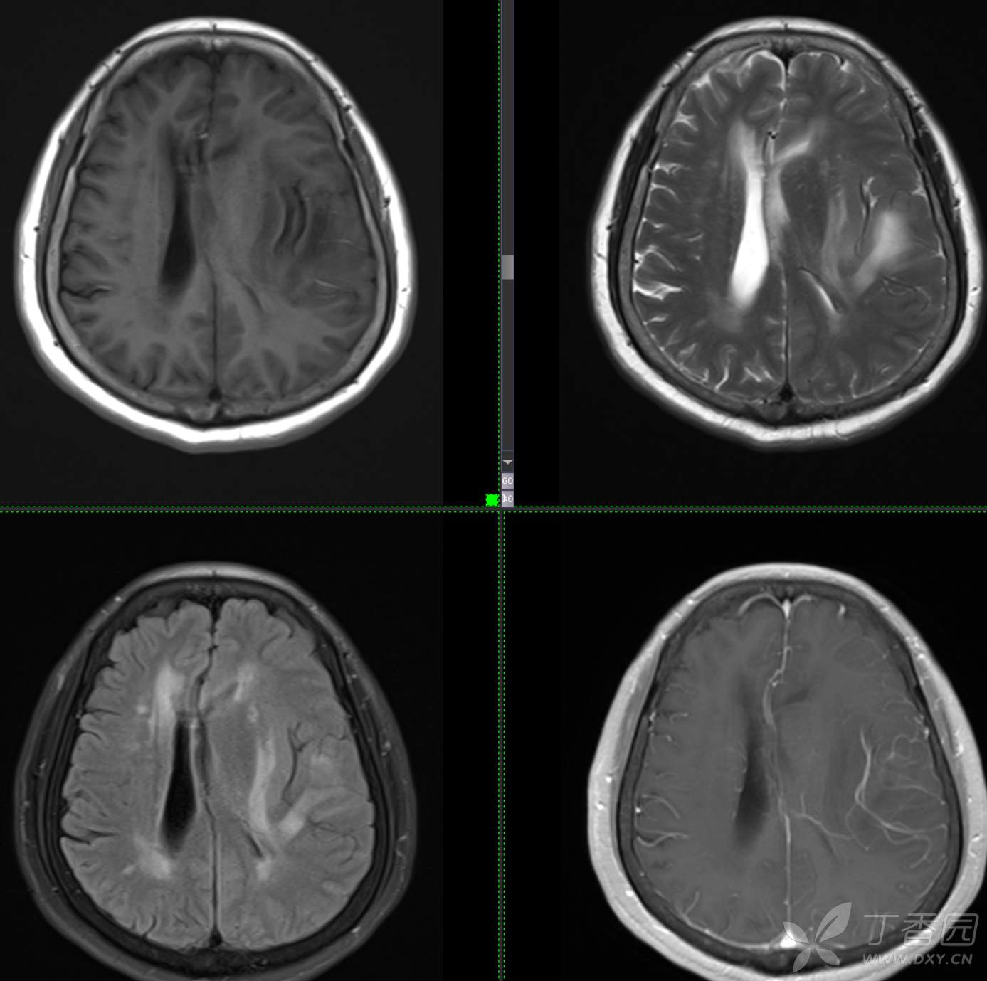
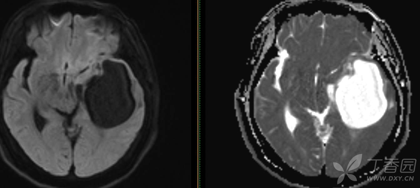
现病史: 【患者1月余前无明显诱因出现记忆力减退,易忘记事情,表现为忘记说过的话、易忘 事、理解力及计算力均尚可、阅读无受限、无性格脾气改变,无头痛头晕、无恶心呕吐、无视物模糊,无言语不利,无幻觉妄想,当时未重视未就诊。1月内记忆力减退进行性加重,对刚做过的事情即遗忘,计算力下降,日常生活尚能自理。遂至我院门诊就诊,查“颅脑CT平扫:左侧基底节-颞叶区低密度占位,建议进一步增强 MRI检查。
发病以来,神志清醒,精神可,胃纳可。大便小便正常,睡眠一般,体重无明显变化。
患者既往子宫内膜癌手术史;高血压病史3年
























































