老年女性,左上肺结节8年。典型又不典型,看你如何解读---结果公布(值得分析)
胡志勇HZY 达人已点赞患者性别:女
患者年龄:68岁
主诉:检查发现左上肺结节8年,较前增大。
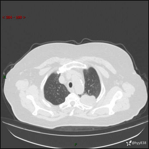
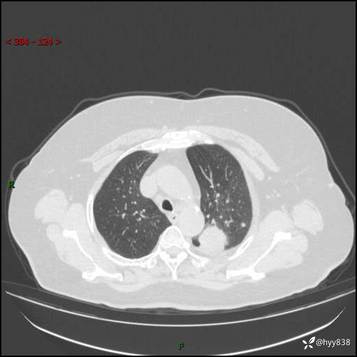
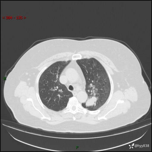
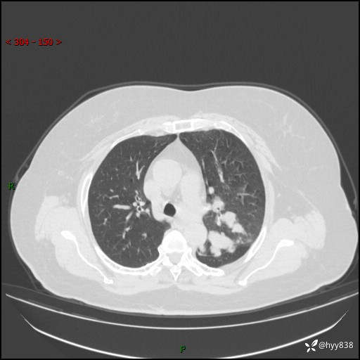
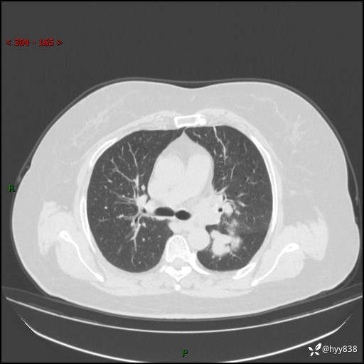
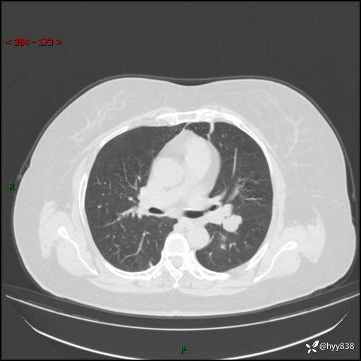
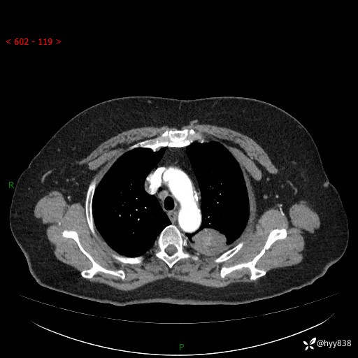
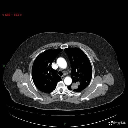
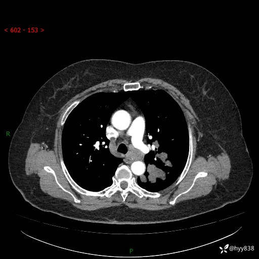
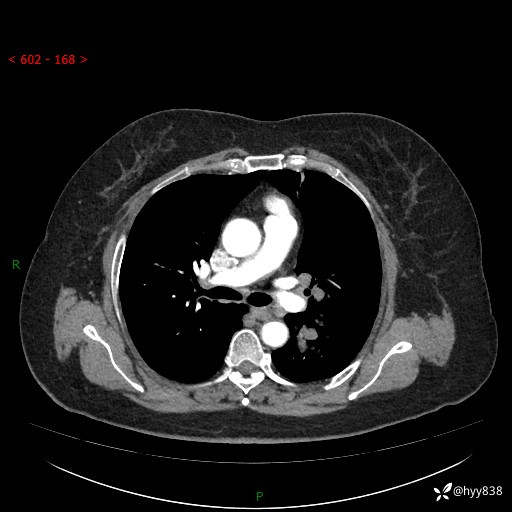
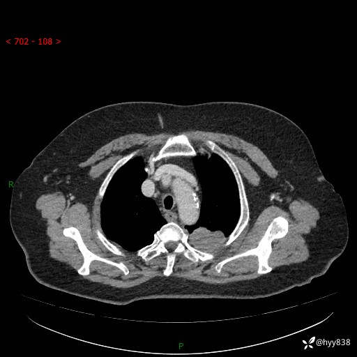
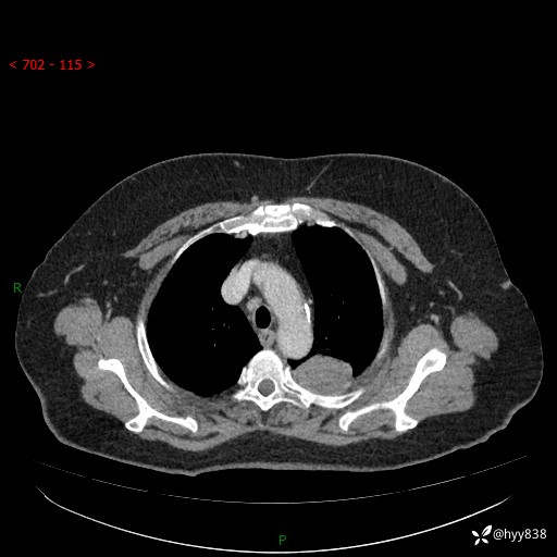
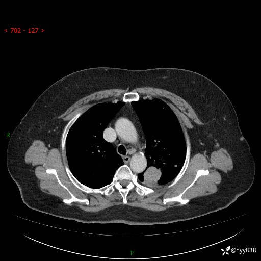
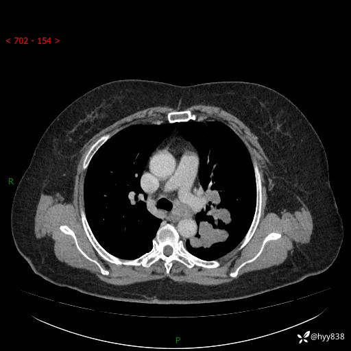
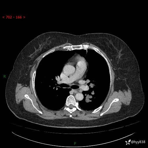
简要病史:患者于8年前体检行胸部CT检查发现左上肺结节(4mm),患者平素间断咳嗽咳痰,无心慌、胸闷、胸痛、呼吸困难、低热、盗汗,无头痛、头晕,无腹痛、腹胀等不适,未行特殊处理,定期复查。2023-09-21胸部CT示左上肺结节(2cm)较前增大,2024-02-01胸部CT示左上肺尖后段(39*32mm),左侧肺门及纵隔淋巴结增大,现患者欲求手术治疗,遂来我院就诊,以“左上肺结节”收入我科。 患者自起病以来,精神可,睡眠可,饮食可,大小便正常,体重无明显改变。
体格检查:(-)
辅助检查:CT
临床诊断:肺结节
治疗经过:---
讨论:病变性质?
胸部CT平扫










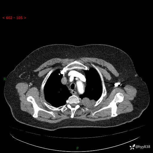
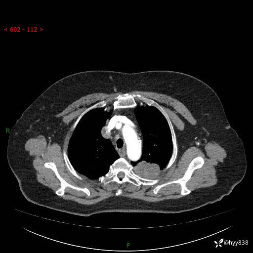
增强(动脉期+静脉期)



























































