头颈组9:简单分析,诊断不难。
患者性别:女
患者年龄:96
主诉: 【头晕乏力数周,发热1周】
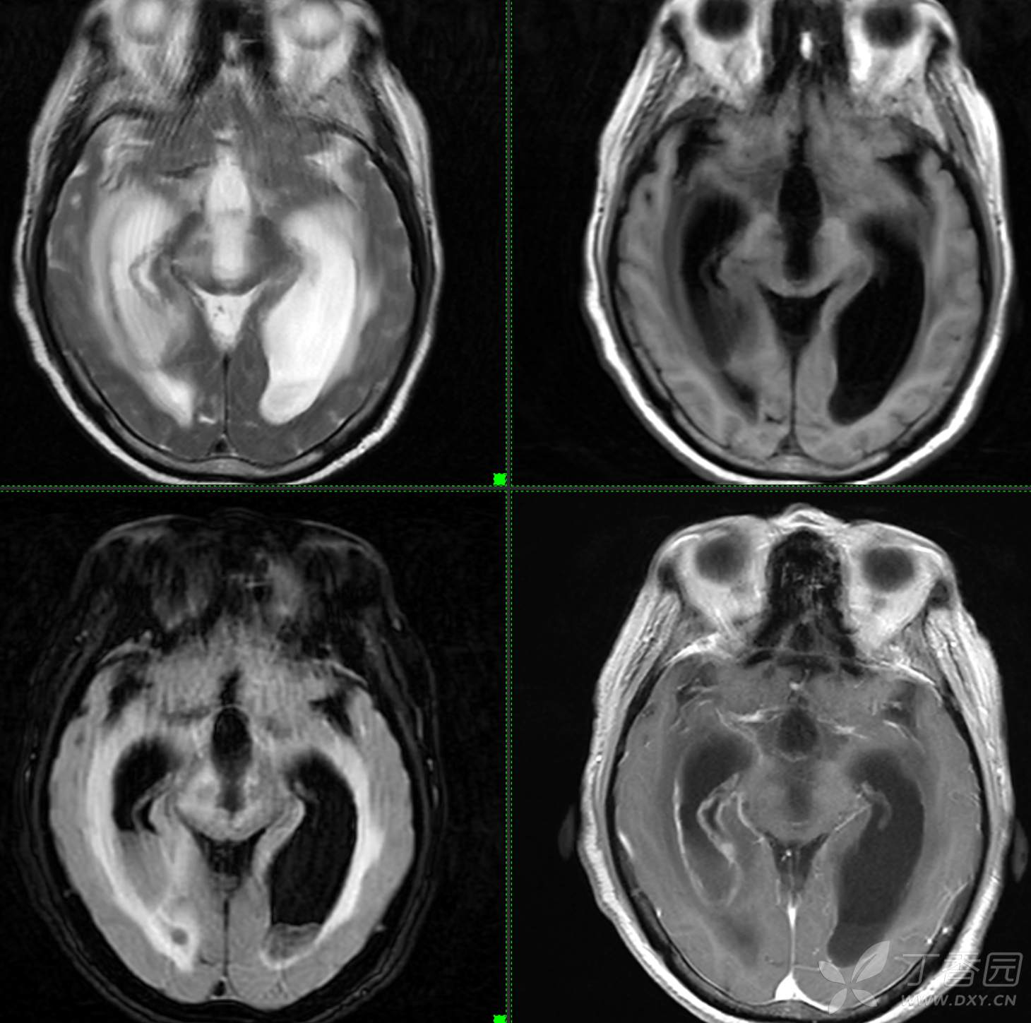
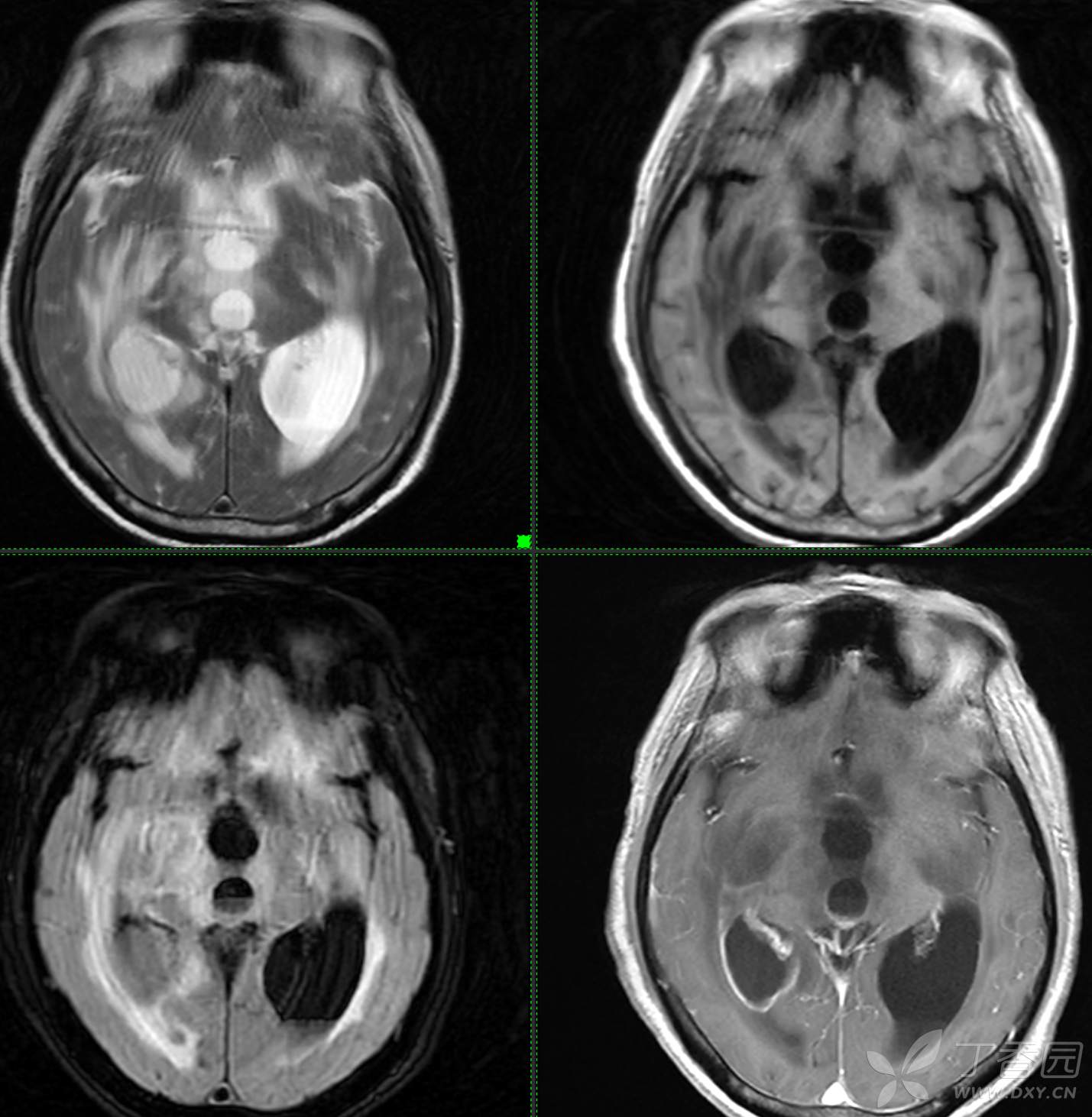
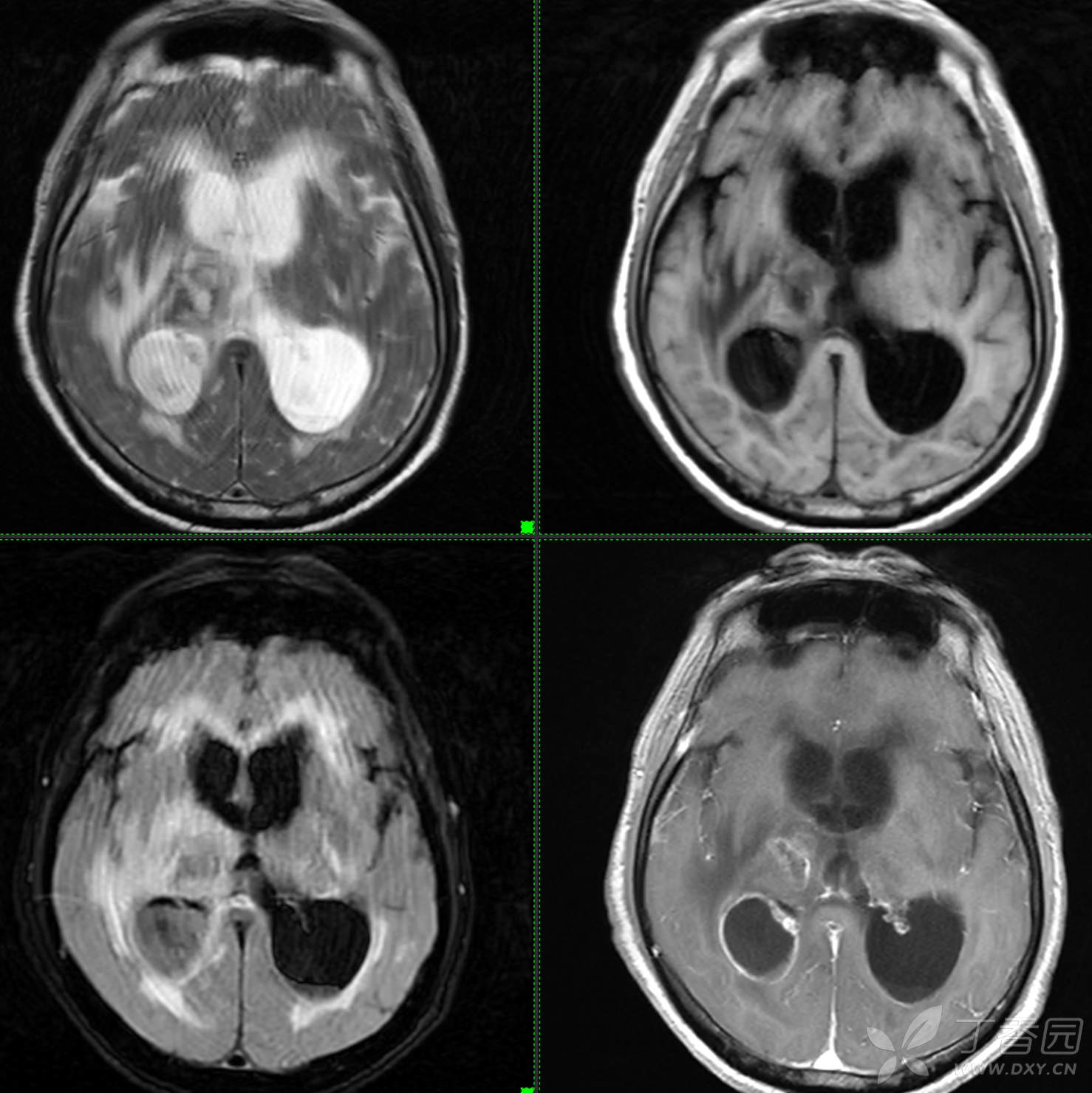
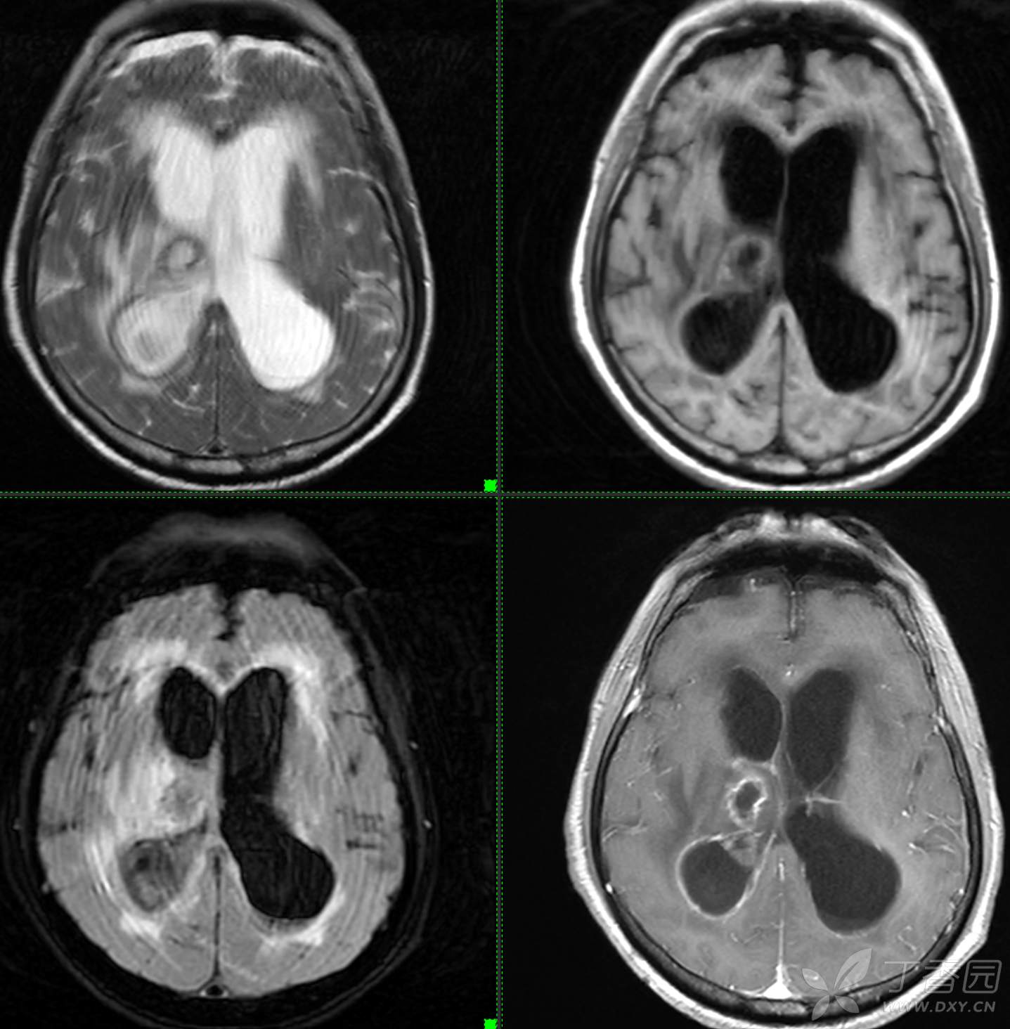
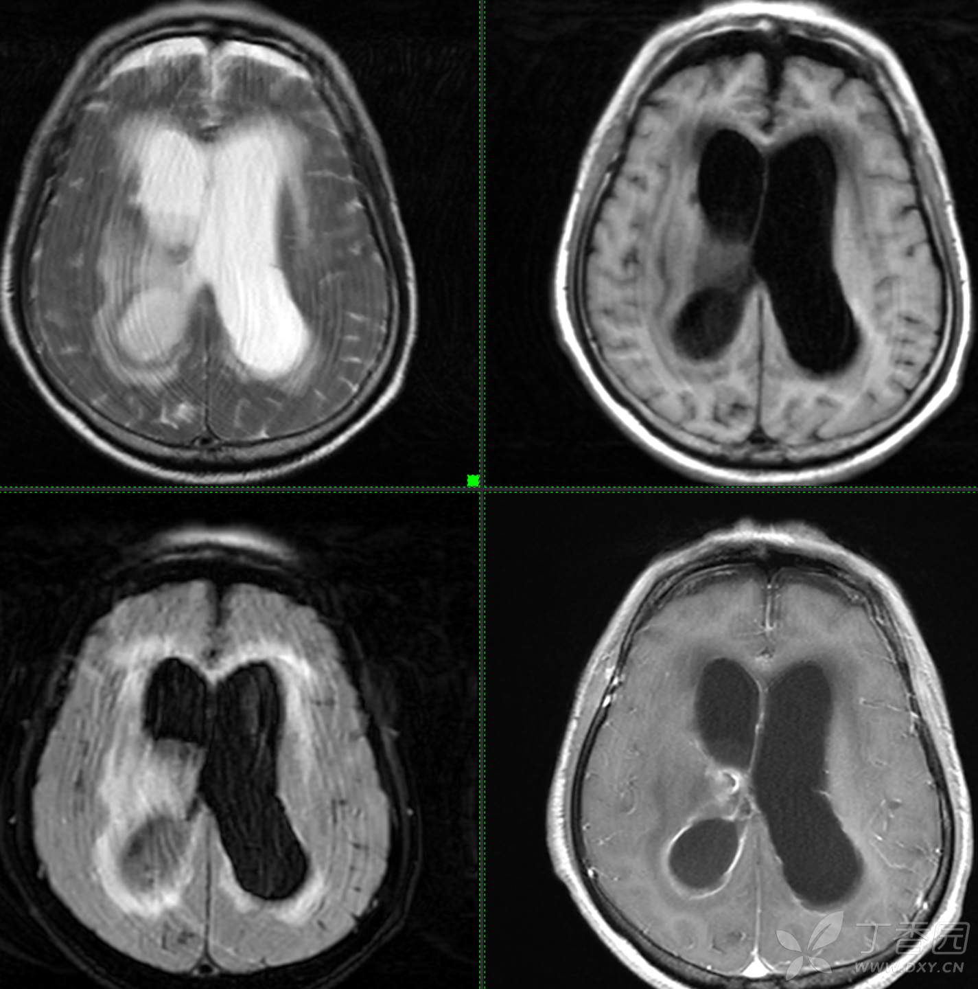
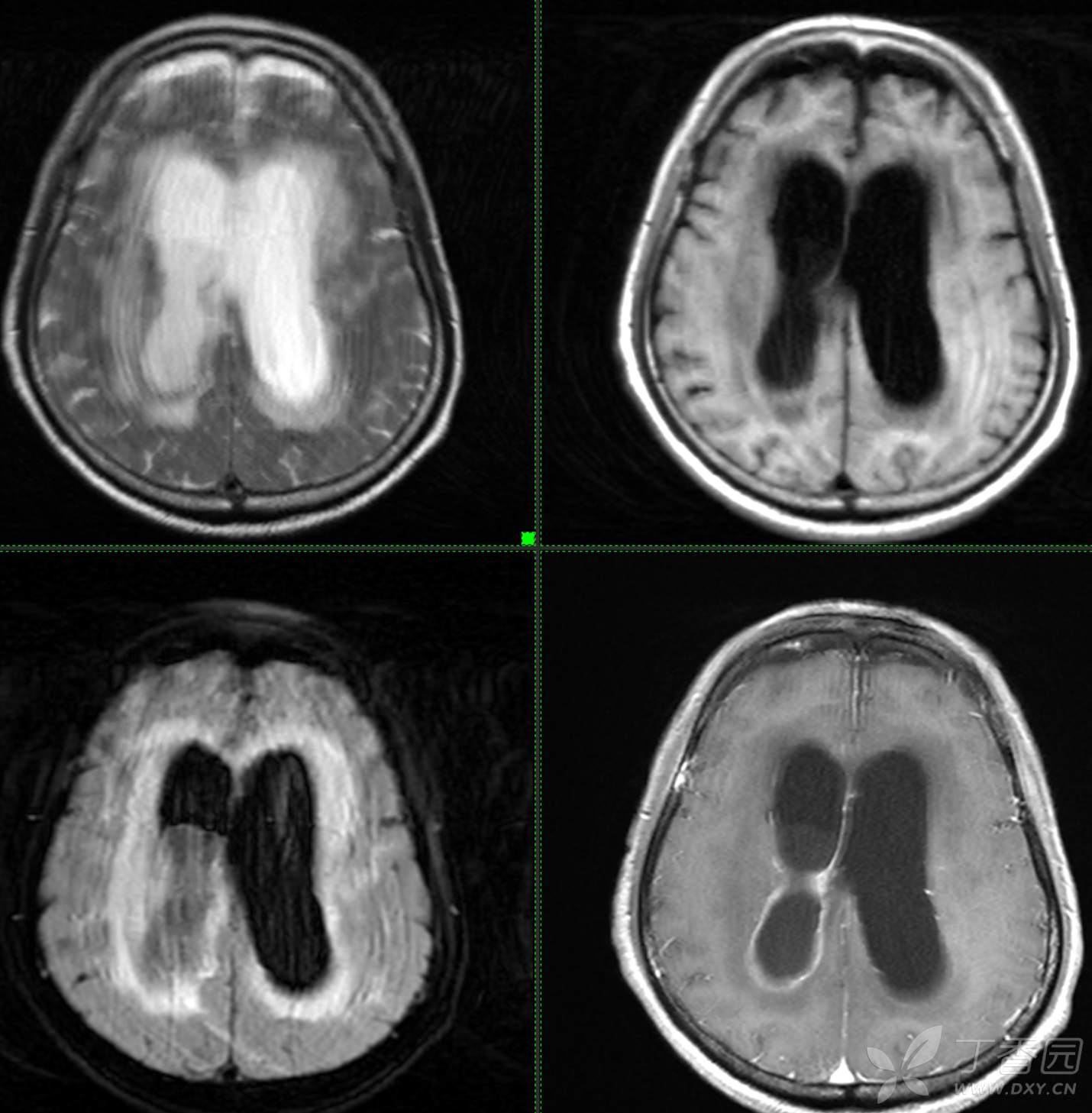
现病史: 患者3周前无明显诱因下出现头晕,无头痛,伴视物模糊,肢体乏力,走路步态不 稳,无意识不清,对答切题,当地医院查血常规示:中性粒细胞分类:77.7%.淋巴细胞分类:15.6%,中性性粒细胞分类:7.1*10^9/L.葡萄糖:22.35mmol/,头颅平扫示:右侧丘脑饱满,密度减低伴低密度灶,占位不排除,两侧半卵圆区、额叶低密度灶,以“1.糖尿病酮症酸中毒,2.颅内占位性病变”收入住院治疗,1周前住院期间出现发热,先后予抗感染,控制血糖等对症支持治疗,2天前无明显诱因下再次出现发热,伴血糖升高,自测体温40℃,血糖20mmol儿,伴气促无胸闷,袖志模糊,反应迟钝,无畏寒寒战,无腹痛腹泻等不适,昨日送至我院就诊

























































