dxy logo
首页丁香园病例库全部版块
搜索
登录

病例【头颈】中年男性脑干占位,请您诊断。

医师 · 最后编辑于 2024-08-25 · IP 江西江西
2990 浏览
推荐、达人点赞 2 项荣誉
这个帖子发布于 1 年零 44 天前,其中的信息可能已发生改变或有所发展。

病例信息

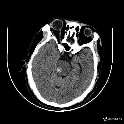
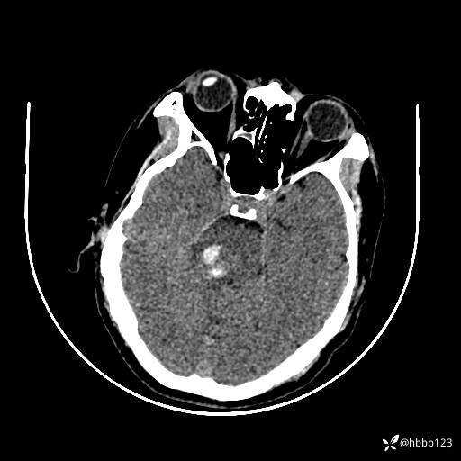
患者男,51岁。

简要病史:患者自述于1周前至某人民医院发现脑干肿瘤(具体不详),为求进一步诊断至我院就诊。

完善颅脑MRI平扫+增强,颅脑CT平扫:

ADC:

img
img
img

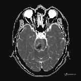
DWI:

img
img
img
img

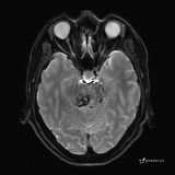
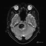
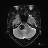
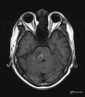
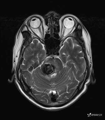
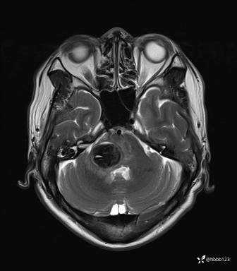
T2:

img
img
img

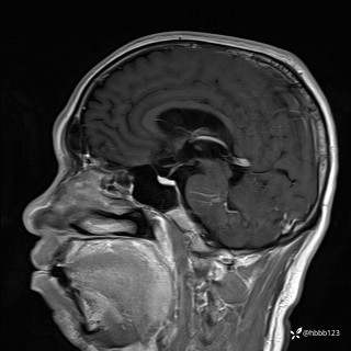
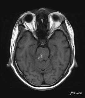
T1:

img
img
img
img
img

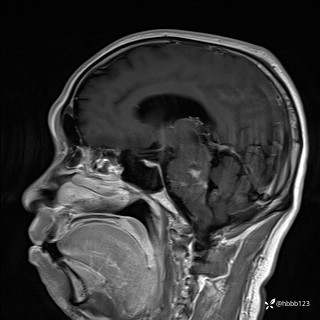
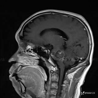
T1增强矢状位重建:

img
img
img
img

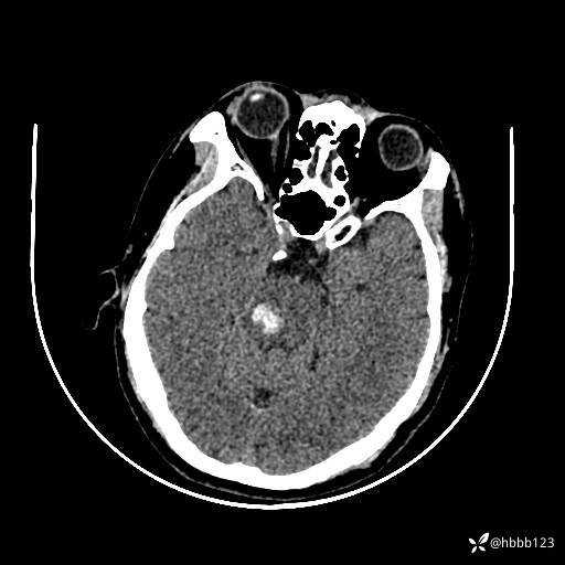
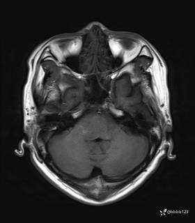
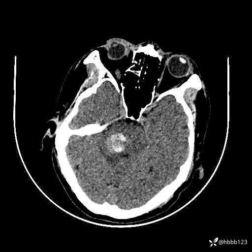
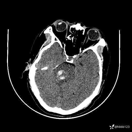
颅脑CT平扫:

img
img
img
img
img
img

请您诊断。

@丁香影像频道

脑干肿瘤 (2)
纠错
15 4 27
同行评议(0)
已评议
不开通精选
开通精选
精选已授权,待上线
评议结果暂未公布
参与评议
去邀请
NaN
病例完整NaN
临床实用NaN
诊疗科学NaN
学术价值NaN

全部讨论(0)

默认最新
avatar
15
分享帖子
share-weibo分享到微博
share-weibo分享到微信
认证
返回顶部