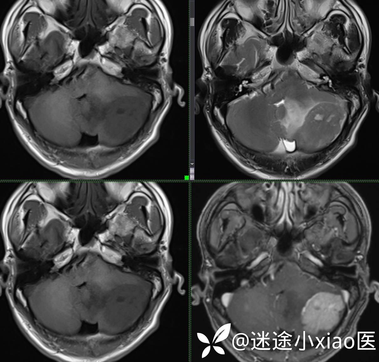
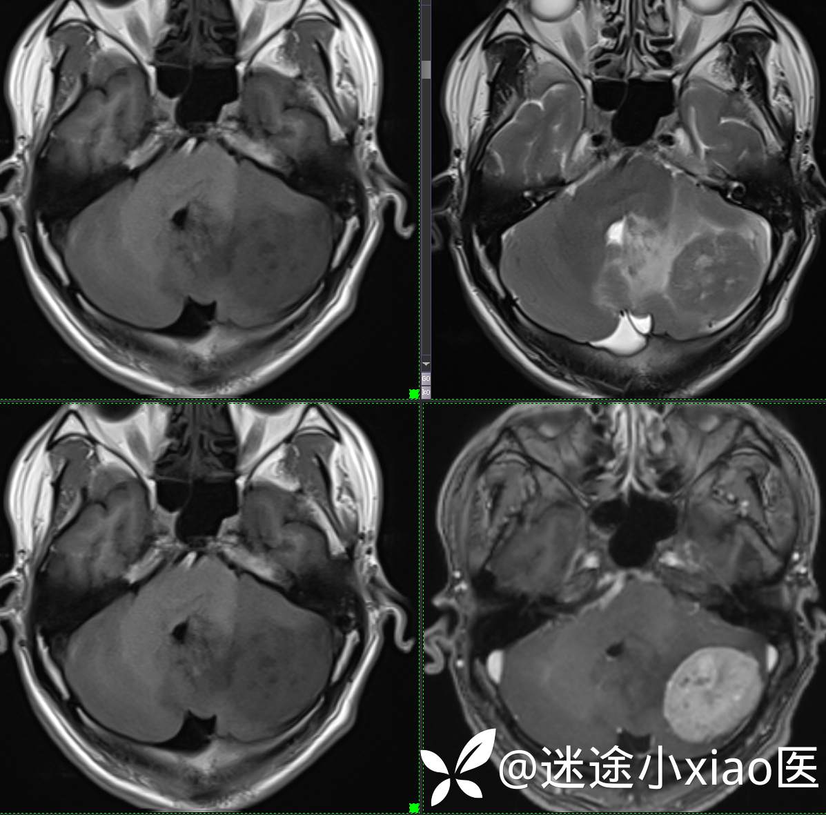
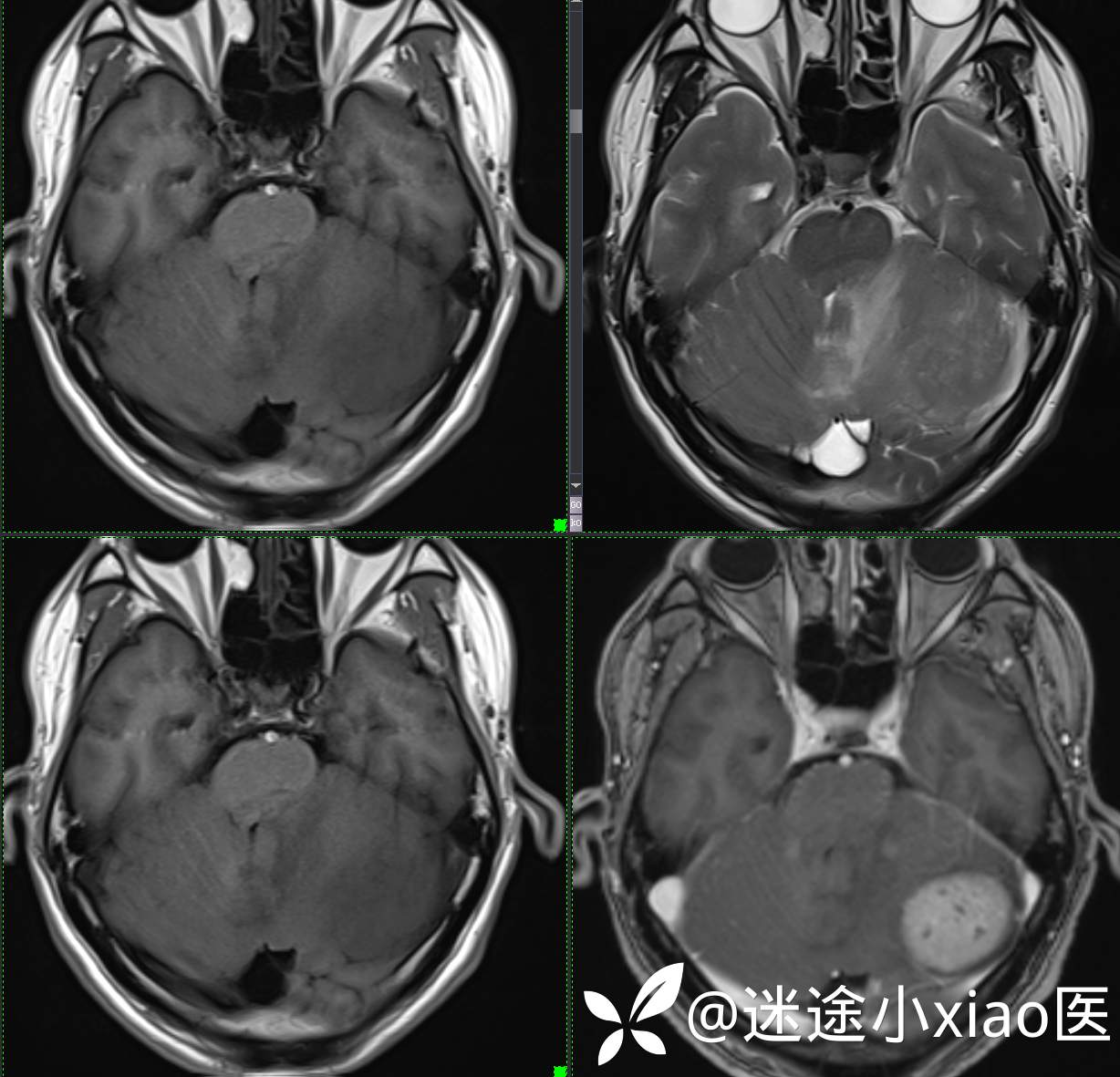
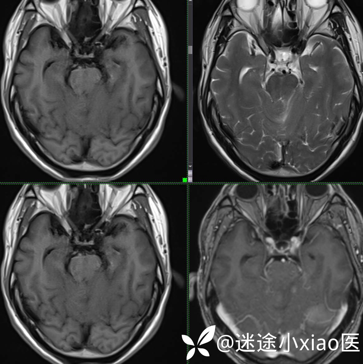
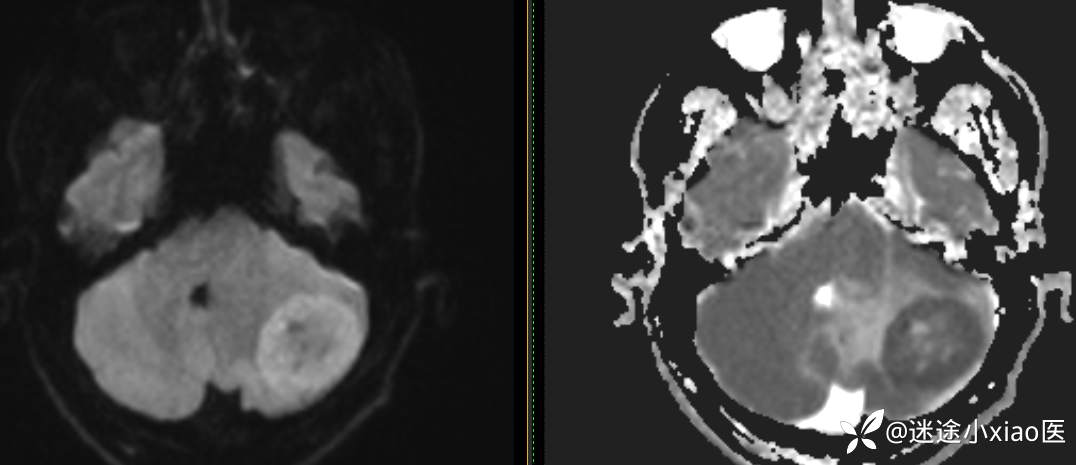
头颈组15:男,62岁,左侧小脑半球占位,原发?转移?是否有意外?
患者性别:男
患者年龄:62岁
主 诉: 头晕、恶心呕吐半月余。
现病史: 患者半月前无明显诱因下明显头晕,伴恶心呕吐,无意识丧失、无智力明显下降,无视物模糊,无耳鼻腔出血,无四肢抽搐、畸形,无胸闷气促、呼吸困难。
发病来,患者精神软,无手足抽搐,胃纳差,小便无殊,大便减少,体重无明显增减。
既往:膀胱癌手术史。







患者性别:男
患者年龄:62岁
主 诉: 头晕、恶心呕吐半月余。
现病史: 患者半月前无明显诱因下明显头晕,伴恶心呕吐,无意识丧失、无智力明显下降,无视物模糊,无耳鼻腔出血,无四肢抽搐、畸形,无胸闷气促、呼吸困难。
发病来,患者精神软,无手足抽搐,胃纳差,小便无殊,大便减少,体重无明显增减。
既往:膀胱癌手术史。







