dxy logo
首页丁香园病例库全部版块
搜索
登录

病例【神经】特别精彩病例|查体发现左侧小脑半球占位3个月

影像核医学版版主 · 发布于 2024-09-22 · 来自 iOS · IP 江西江西
5653 浏览
icon呱呱叫了 等 2 位达人已点赞
这个帖子发布于 1 年零 63 天前,其中的信息可能已发生改变或有所发展。

病例信息

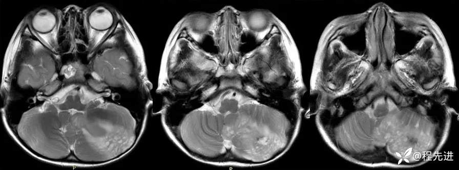
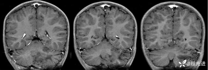
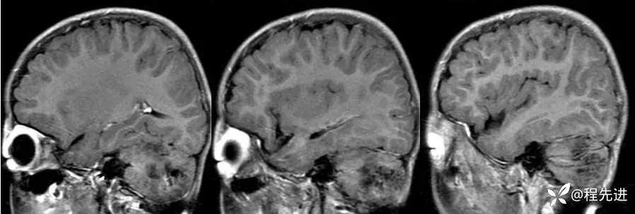
【患者信息】:男,6岁

【主诉】:查体发现左侧小脑半球占位3个月

【现病史及既往史】:患者3个月前因鼻塞至外院就诊,行头颅CT检查偶然发现颅内占位

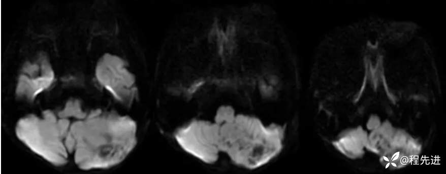
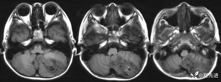
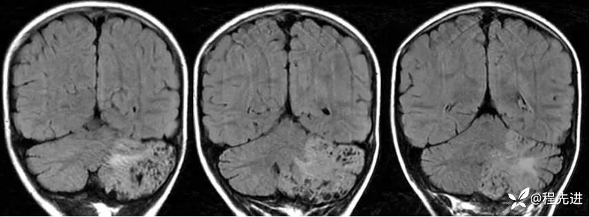
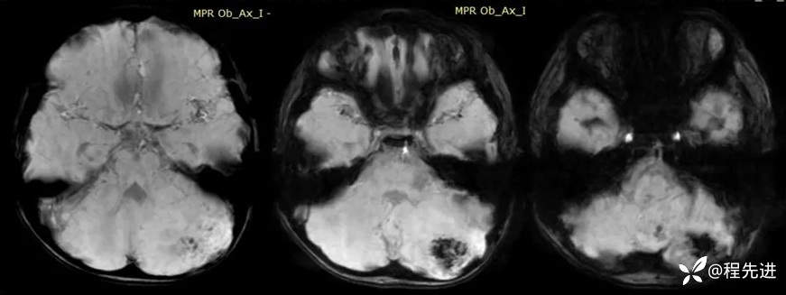
【检查】

img


img


img


img


img


img


img


img


img


img
该帖还没有疾病标签去添加
13 5 18
同行评议(0)
已评议
不开通精选
开通精选
精选已授权,待上线
评议结果暂未公布
参与评议
去邀请
NaN
病例完整NaN
临床实用NaN
诊疗科学NaN
学术价值NaN

全部讨论(0)

默认最新
avatar
13
分享帖子
share-weibo分享到微博
share-weibo分享到微信
认证
返回顶部