头颈组16:青少年女性,发现右颈部肿物半月余,感染?肿瘤?
患者,女,15岁
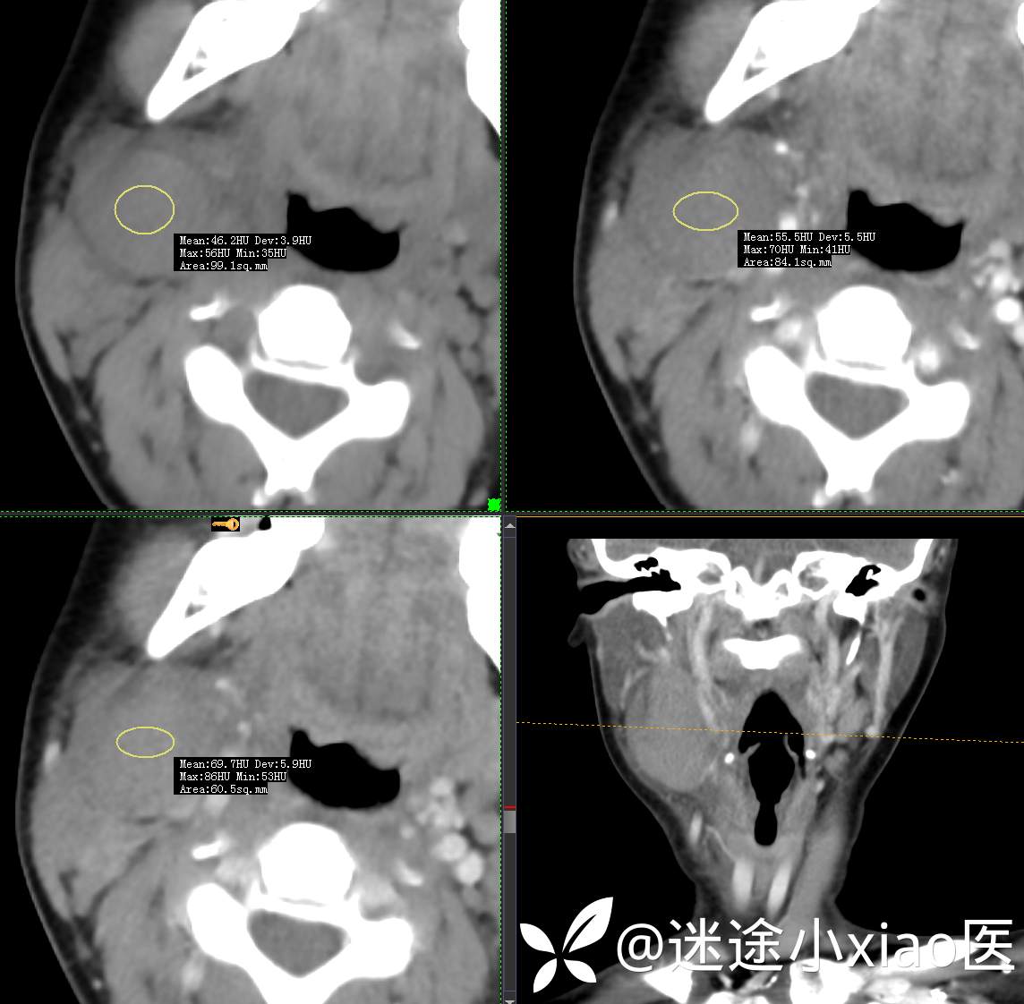
主 诉:发现颈部肿物半月余
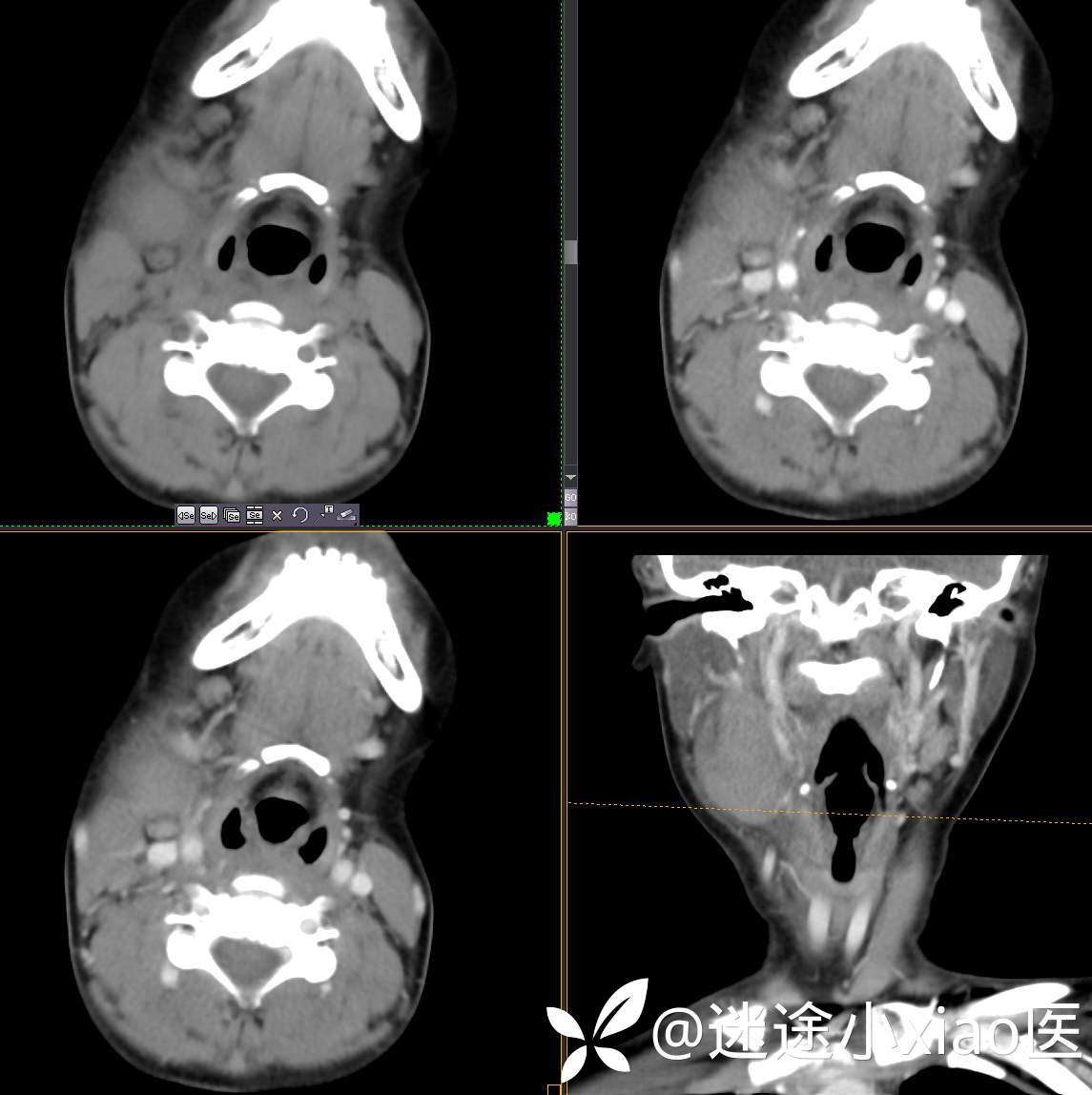
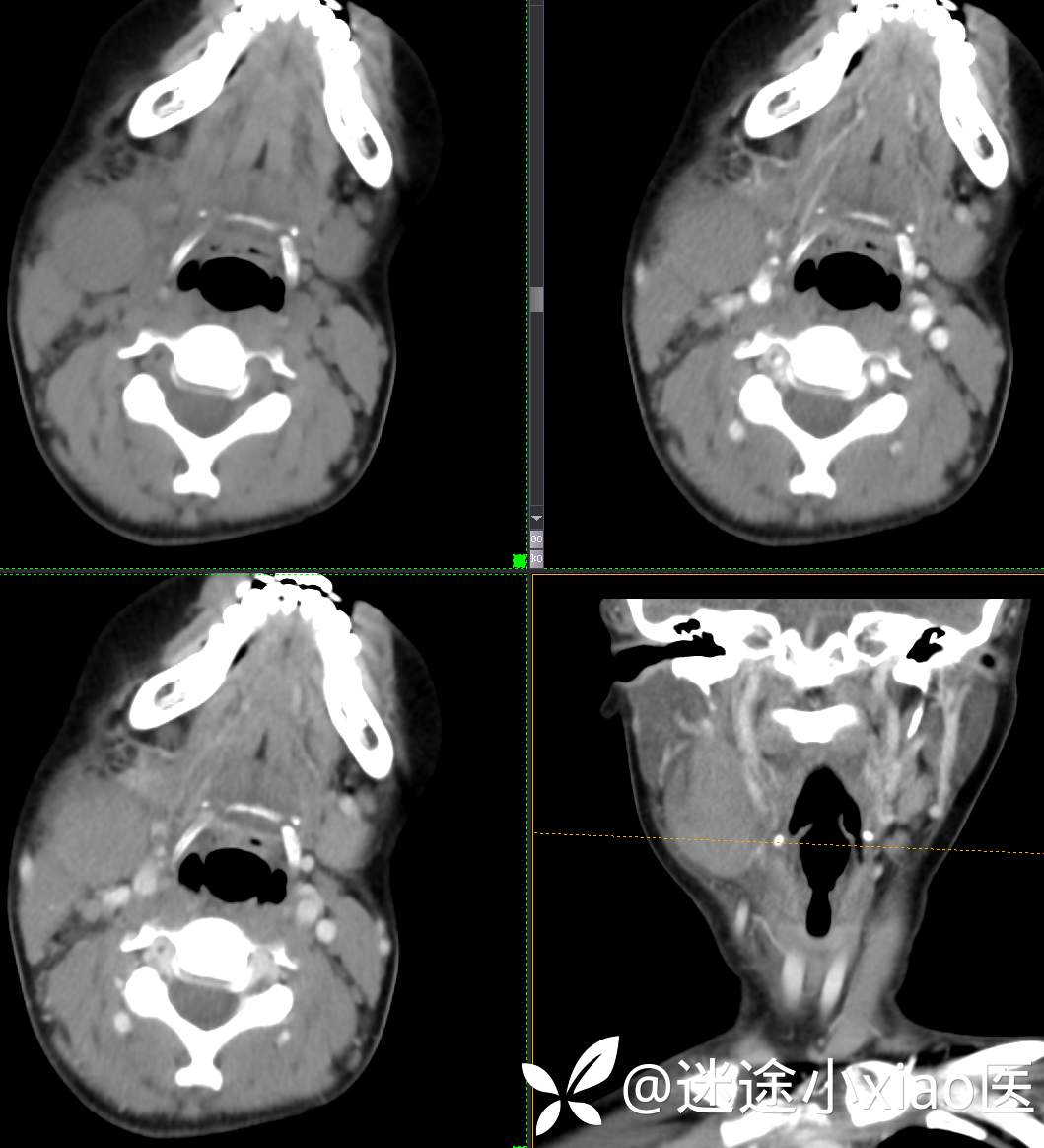
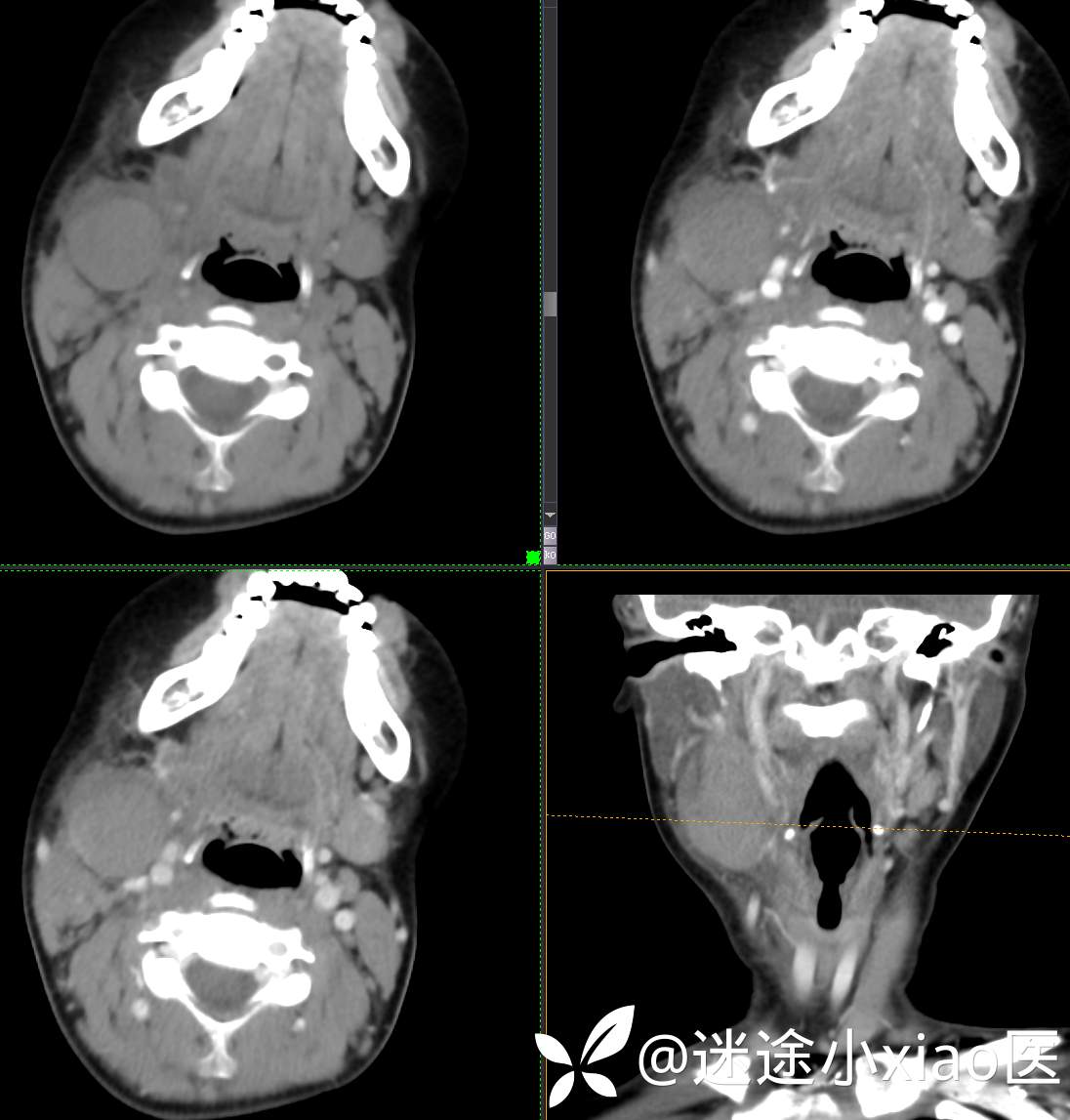
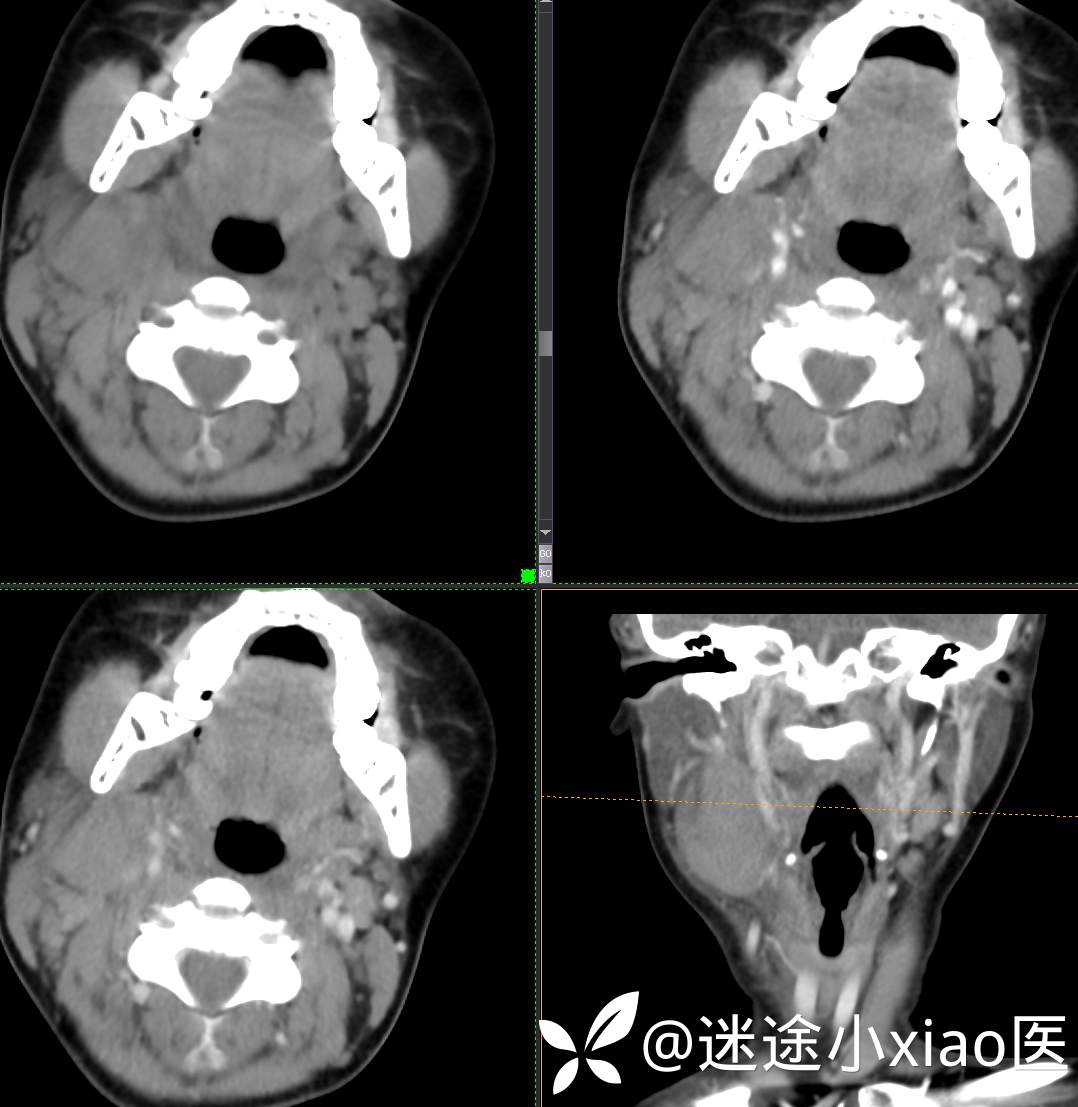
现病史:患者半月余前无明显诱因下发现右颈部肿物,大小4.2*2.1cm,局部无红肿,皮温正常,有压痛,感头晕头痛,无其他不适。查甲状腺及颈部淋巴结B超提示:双侧甲状腺多发结节;右侧多发肿大淋巴结。初步诊断为“淋巴炎”,予“头孢类”抗生素抗感染治疗12天(具体药物不详),自觉肿块胀痛缓解,头晕头痛症状仍存。











患者,女,15岁
主 诉:发现颈部肿物半月余
现病史:患者半月余前无明显诱因下发现右颈部肿物,大小4.2*2.1cm,局部无红肿,皮温正常,有压痛,感头晕头痛,无其他不适。查甲状腺及颈部淋巴结B超提示:双侧甲状腺多发结节;右侧多发肿大淋巴结。初步诊断为“淋巴炎”,予“头孢类”抗生素抗感染治疗12天(具体药物不详),自觉肿块胀痛缓解,头晕头痛症状仍存。











