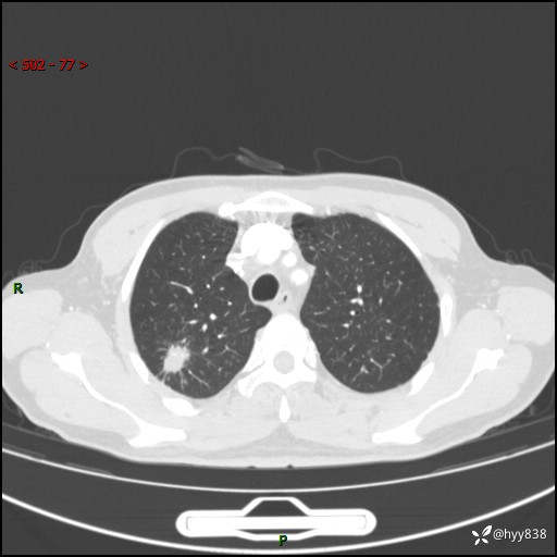
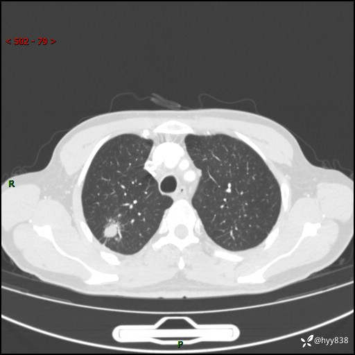
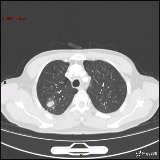
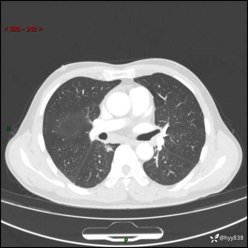
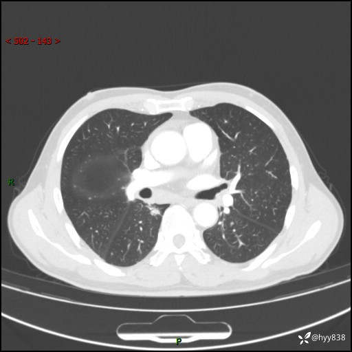
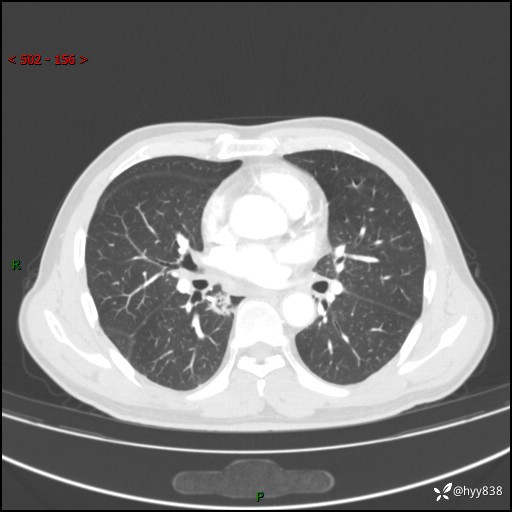
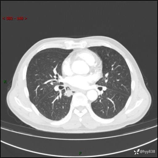
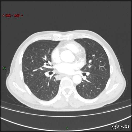
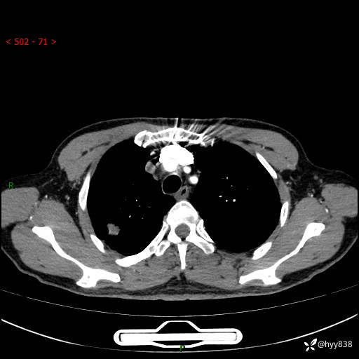
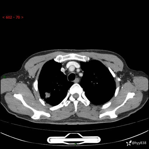
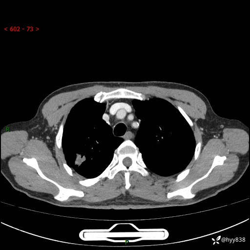
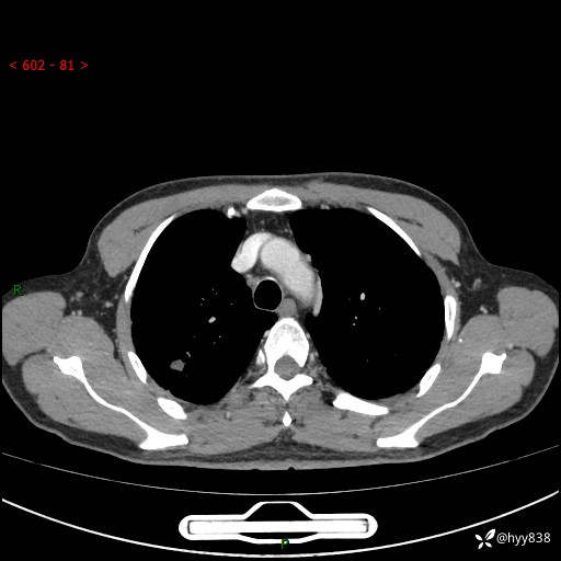
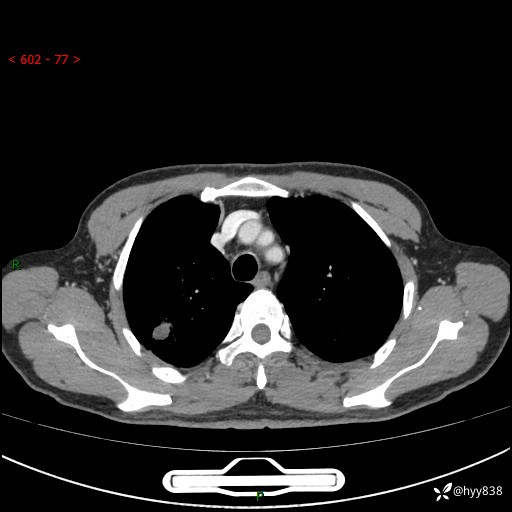
69岁/男,发现肺部病变6天。该有的征象都有,肉芽肿 VS 肿瘤,一念之间---(有结果)
胡志勇HZY 等 2 位达人已点赞病例信息
性别:男
年龄:69岁
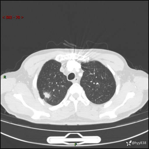
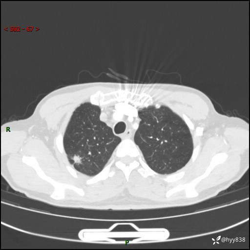
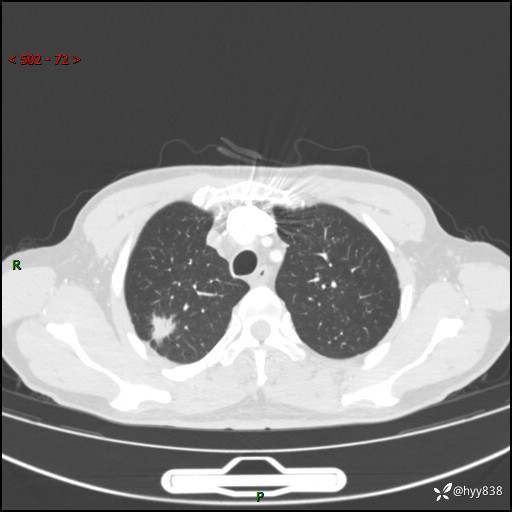
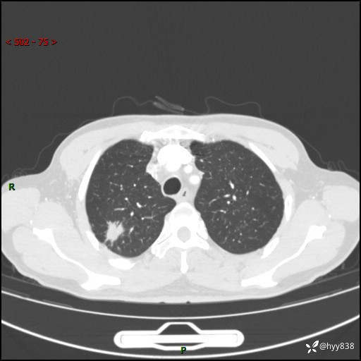
主诉:发现肺部病变6天。
现病史:患者6天前于我院泌尿外科住院,住院期间行胸部CT检查,提示“肺部病变”,患者无畏寒、发热、盗汗、咳嗽、咳痰、咯血、胸痛、呼吸困难,无反酸、腹痛、腹泻、头痛、头晕等不适。未予特殊处理,现为进一步诊治,门诊以“肺肿物”收入我科。 患者本次起病以来,精神食欲尚可,大小便正常,体力及体重无明显变化。
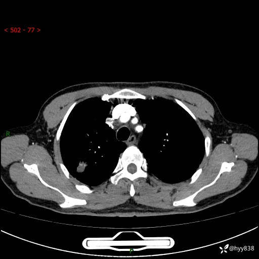
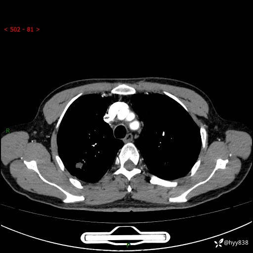
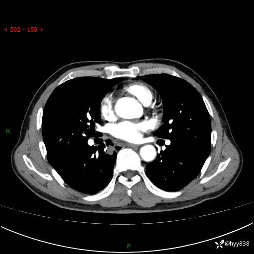
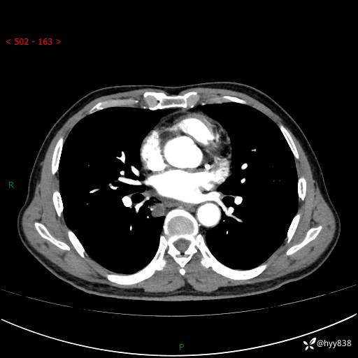
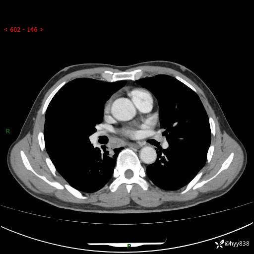
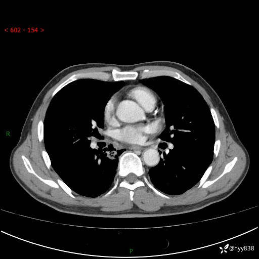
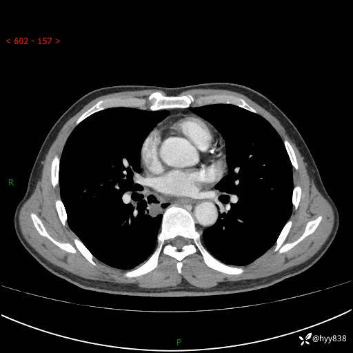
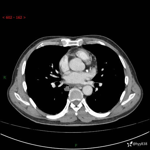
胸部CT平扫+增强












































































