dxy logo
首页丁香园病例库全部版块
搜索
登录

左肾罕见肿瘤病例一例

影像核医学版版主 · 发布于 2023-01-10 · IP 浙江浙江
6094 浏览 · 2人解锁
推荐、达人点赞 2 项荣誉
这个帖子发布于 2 年零 319 天前,其中的信息可能已发生改变或有所发展。

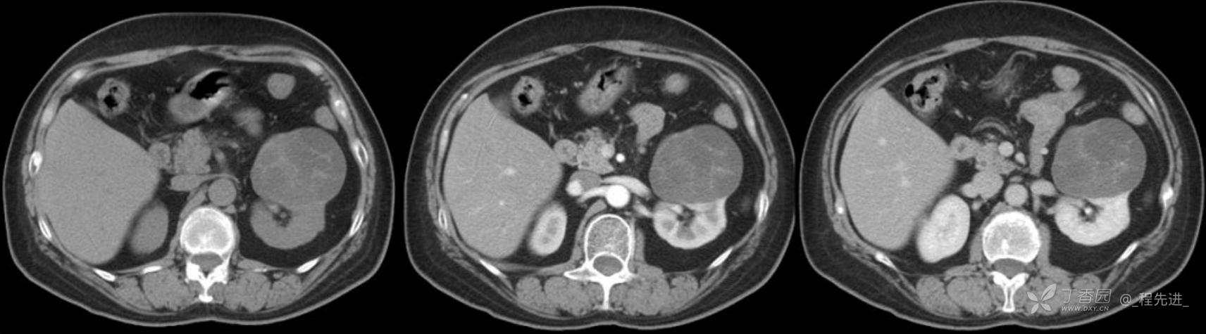
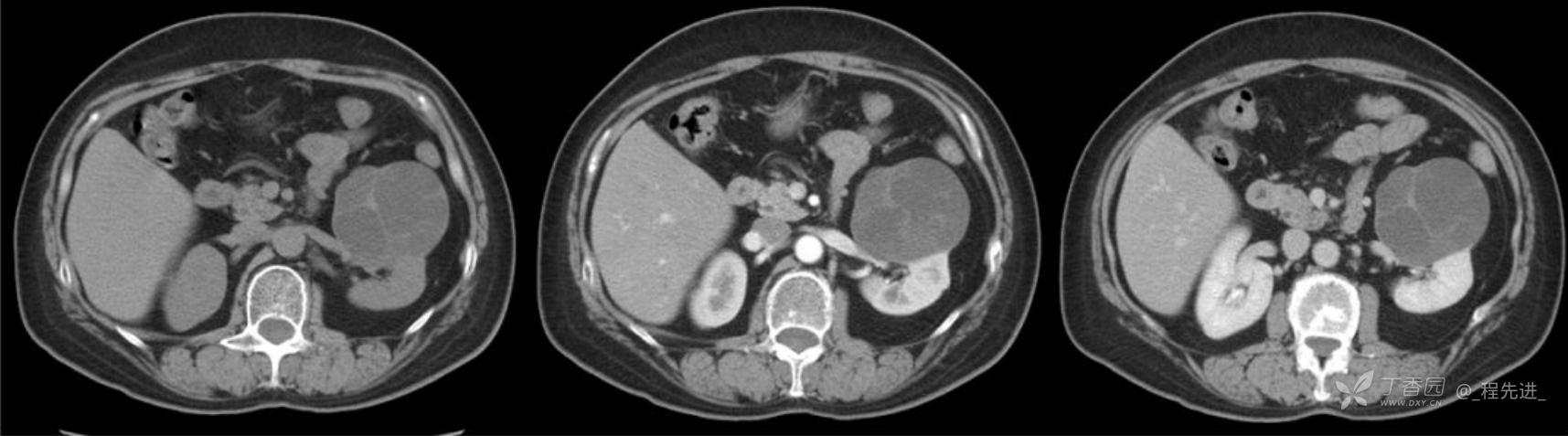
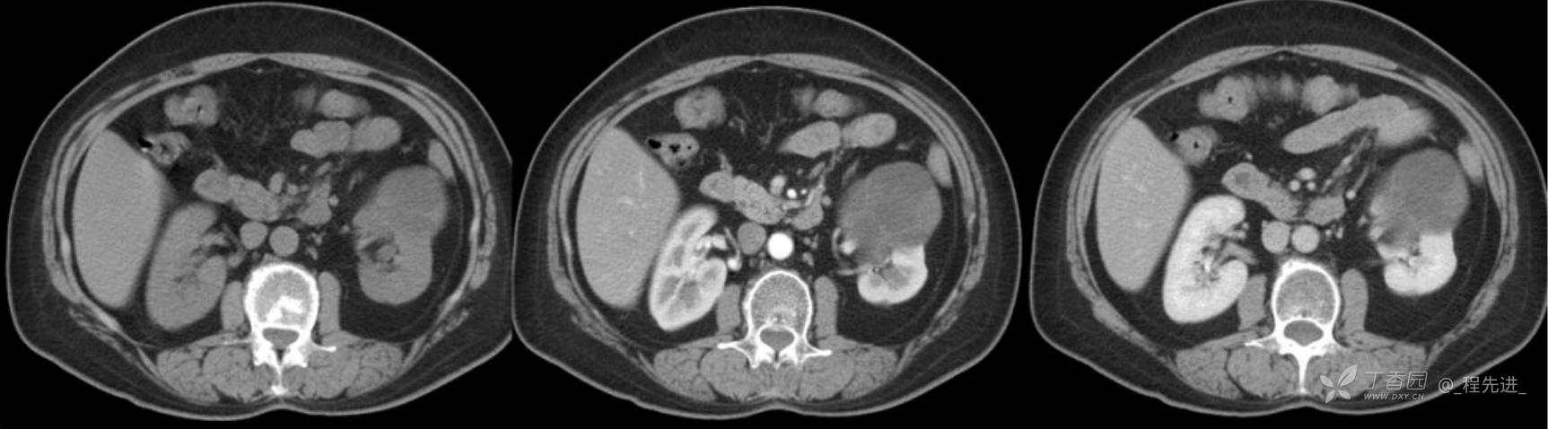
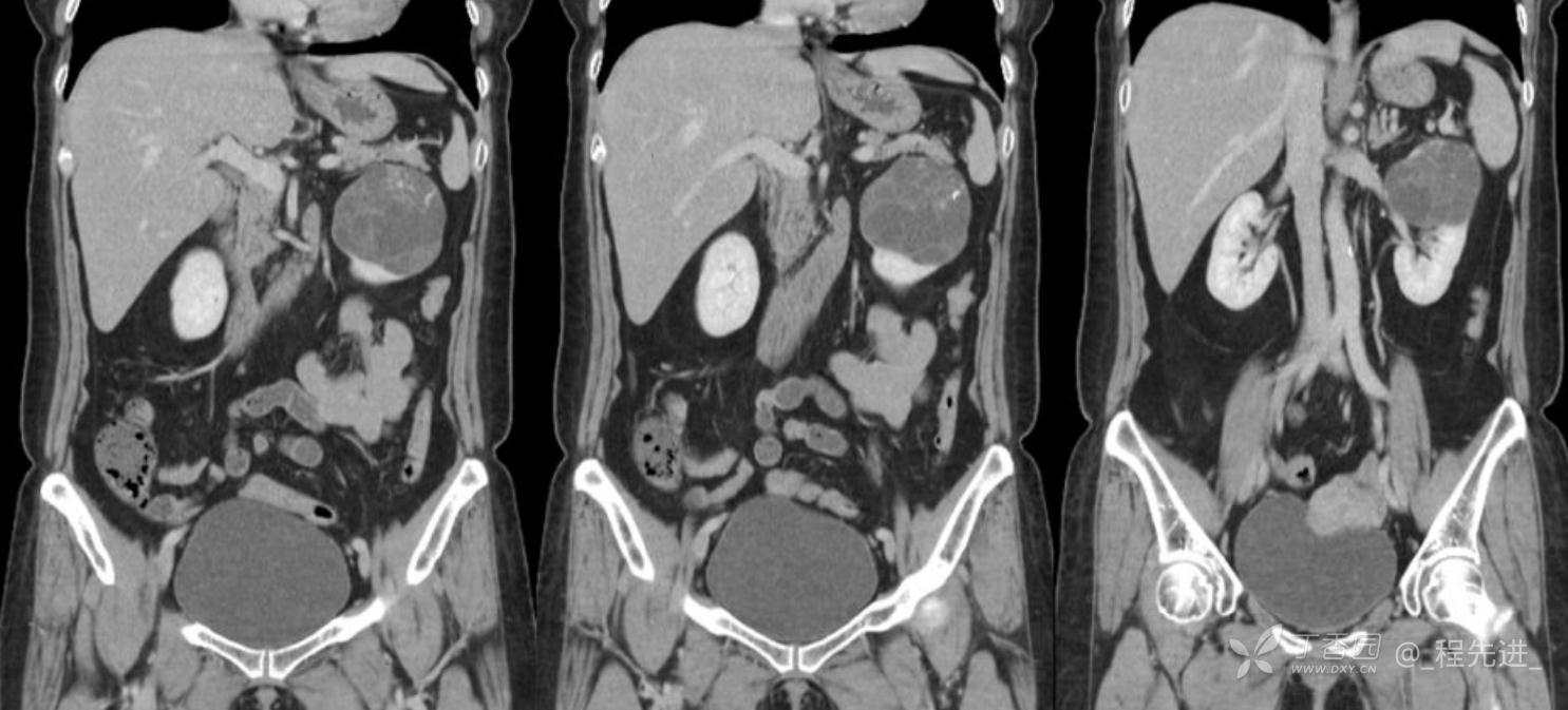
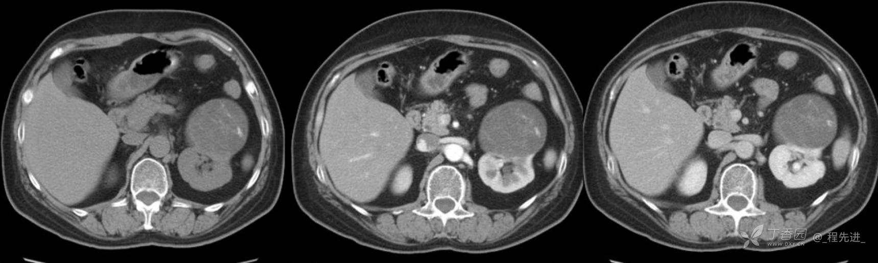
患者性别:女

患者年龄:53岁

简要病史:反复头昏、头痛5年,再发加重3月

辅助检查:无特殊,输血前检查、生化检查均正常


img
img
img
img
img
10 丁当 读全文
2 人解锁,收益归属作者以激励创作
编辑推荐
楼主已分享手术经过、临床表现、病理特点及影像表现,千字长文完整介绍这个罕见病,已有3700+同行学习,站友点评:好病例!适合影像科及肾内科医生学习,立即解锁查看。
混合性上皮和间质肿瘤 (1)
纠错
145 15 23
同行评议(0)
已评议
不开通精选
开通精选
精选已授权,待上线
已通过丁香园特邀评审团审核
参与评议
去邀请
NaN
病例完整NaN
临床实用NaN
诊疗科学NaN
学术价值NaN

全部讨论(0)

默认最新
avatar
145
分享帖子
share-weibo分享到微博
share-weibo分享到微信
认证
返回顶部