肺部弥漫性、疑难病变,感染或肿瘤?一元论或二元论?贴贴精彩---结果公布~
患者性别:女
患者年龄:73岁
主诉:反复发热10余天
简要病史:患者10余天劳累后出现发热,最高体温达39.5℃,无畏寒、寒战、鼻塞、流涕,无头晕、头痛,无心慌、胸闷、胸痛,无咳嗽、咳痰、气喘,无反酸、烧心、恶心呕吐,无腹痛、腹胀等不适,于2022-5-31至当地中医医院住院治疗,诊断为重症肺炎,予以抗感染、抗病毒等对症支持治疗,仍反复发热,现为求进一步诊治,至我院门诊就诊,门诊以“重症肺炎”收入我科。 起病以来,患者精神、饮食、睡眠差,大小便正常,体力下降,体重无明显变化。
体格检查:T 38℃ P 102次/分 R 17次/分 BP 142/85mmHg,SPO2 84%(未吸氧)。神志清楚,呼吸稍急促,查体合作,咽部充血,未见明显脓点,颈软,全身皮肤黏膜及巩膜未见黄染,浅表淋巴结未触及肿大。双肺呼吸音粗,未闻及明显干湿啰音,HR 102次/分,律齐,各瓣膜区未闻及病理性杂音。腹部平坦,腹软,无压痛,肝脾肋下未触及肿大。双下肢轻度水肿。生理反射存在,病理征阴性。
实验室检查:HR白细胞计数(WBC) 4.78 *10^9/L ,HR淋巴细胞数(LY#) 0.13 *10^9/L ↓,HR单核细胞数(MO#) 0.04 *10^9/L ↓,HR嗜酸性粒细胞数(EO#) 0.00 *10^9/L ↓,HR中性粒细胞%(NE%) 96.50 % ↑,HR淋巴细胞%(LY%) 2.70 % ↓,HR单核细胞%(MO%) 0.80 % ↓,HR嗜酸性粒细胞%(EO%) 0.00 % ↓,HR红细胞计数(RBC) 3.82 *10^12/L ,HR血红蛋白(HGB) 107.0 g/L ↓,HR血细胞比容(Hct) 0.316 L/L ↓,HR血小板计数(PLT) 159.0 *10^9/L ;2022-06-08 13:39:03 PCT 降钙素原 0.2 ng/ml
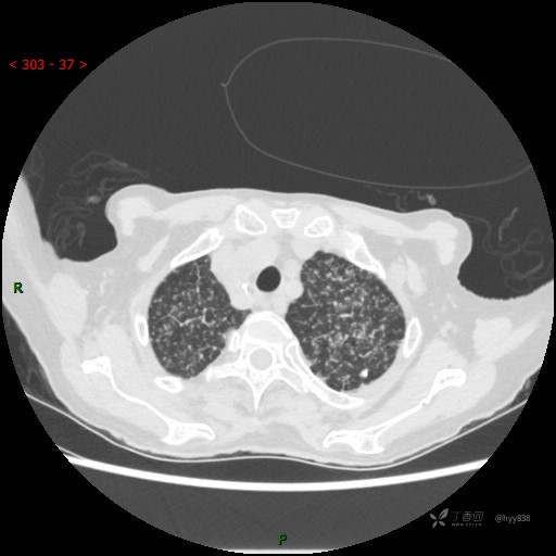
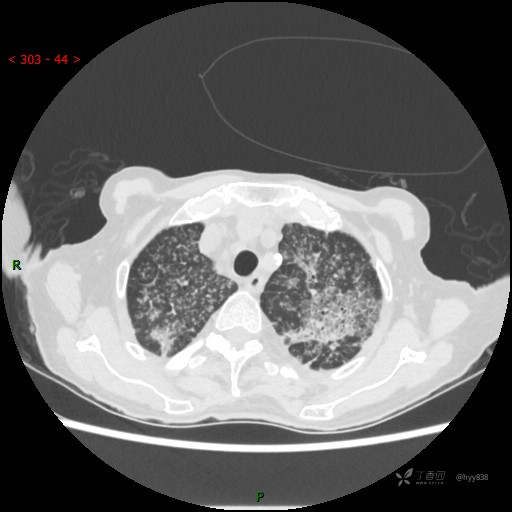
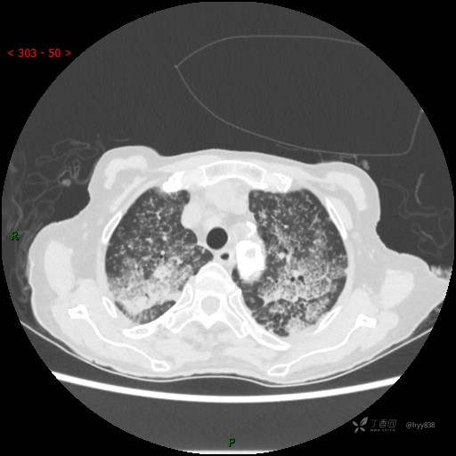
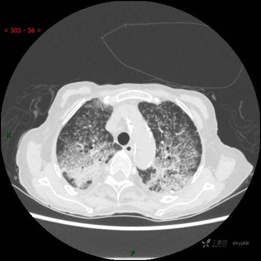
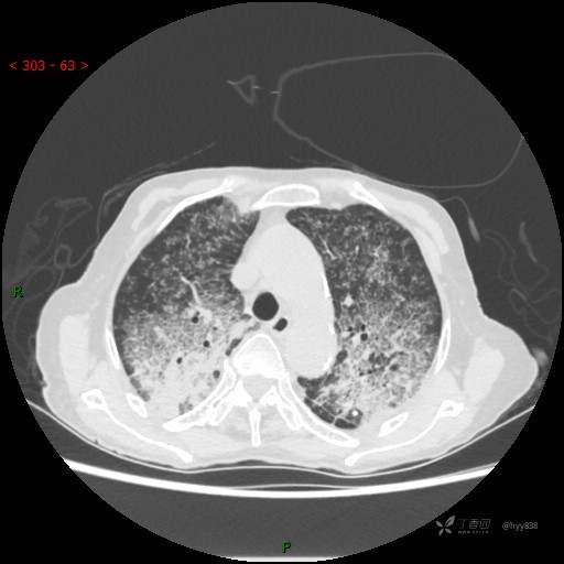
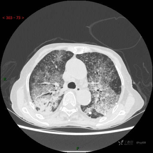
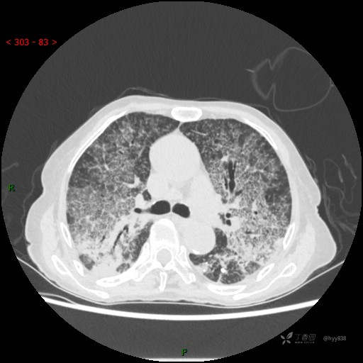
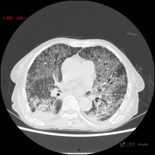
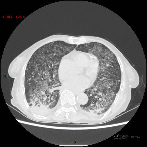
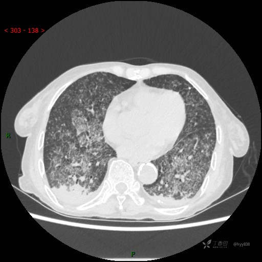
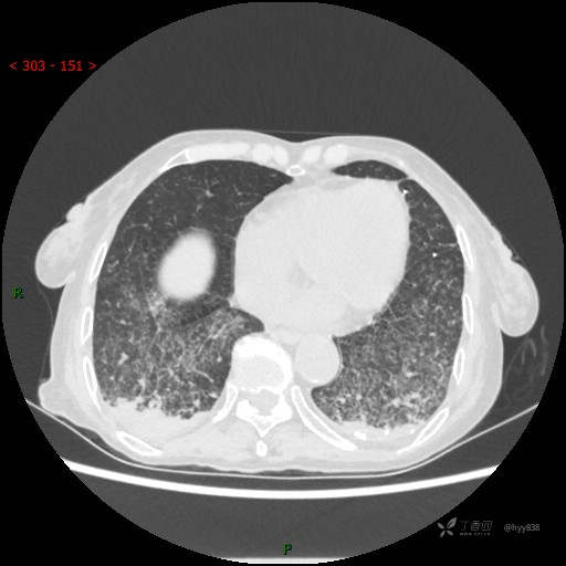
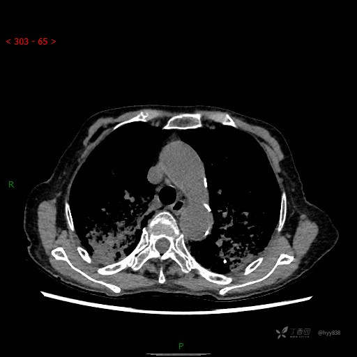
辅助检查:CT 纤支镜
临床诊断:重症肺炎
治疗经过:---
讨论:病变影像改变?病变性质?
胸部CT平扫





























































