不同于其它肿瘤,针尖“坚硬泥沙样”的感觉,我并给出了病理诊断---结果公布~
lingguowei_111 等 2 位达人已点赞患者性别:女
患者年龄:55岁
主诉:胸闷3月
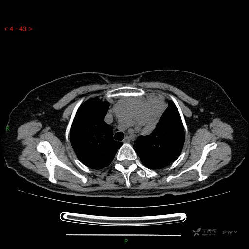
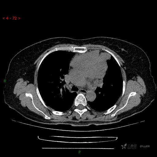
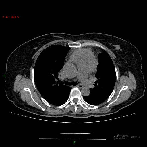
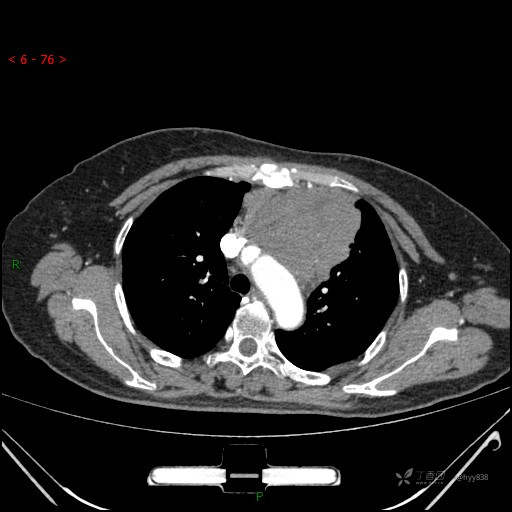
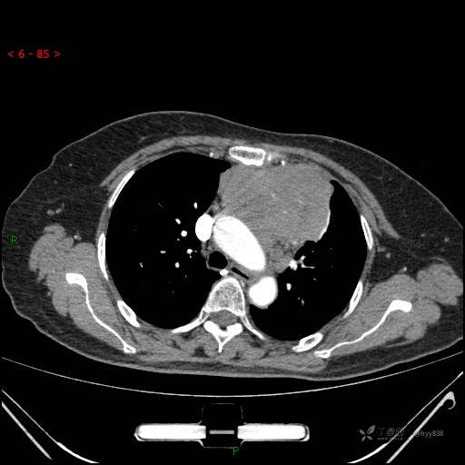
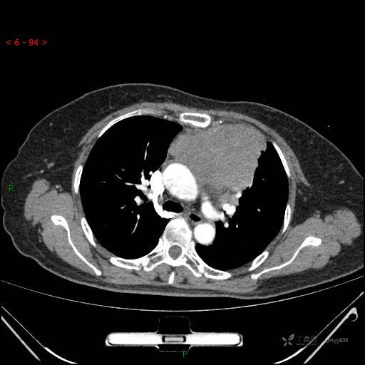
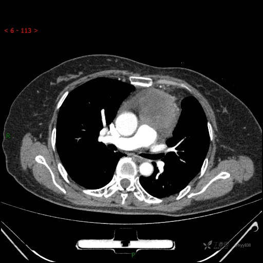
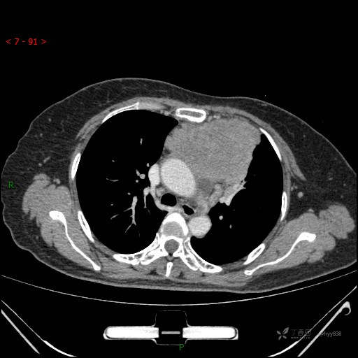
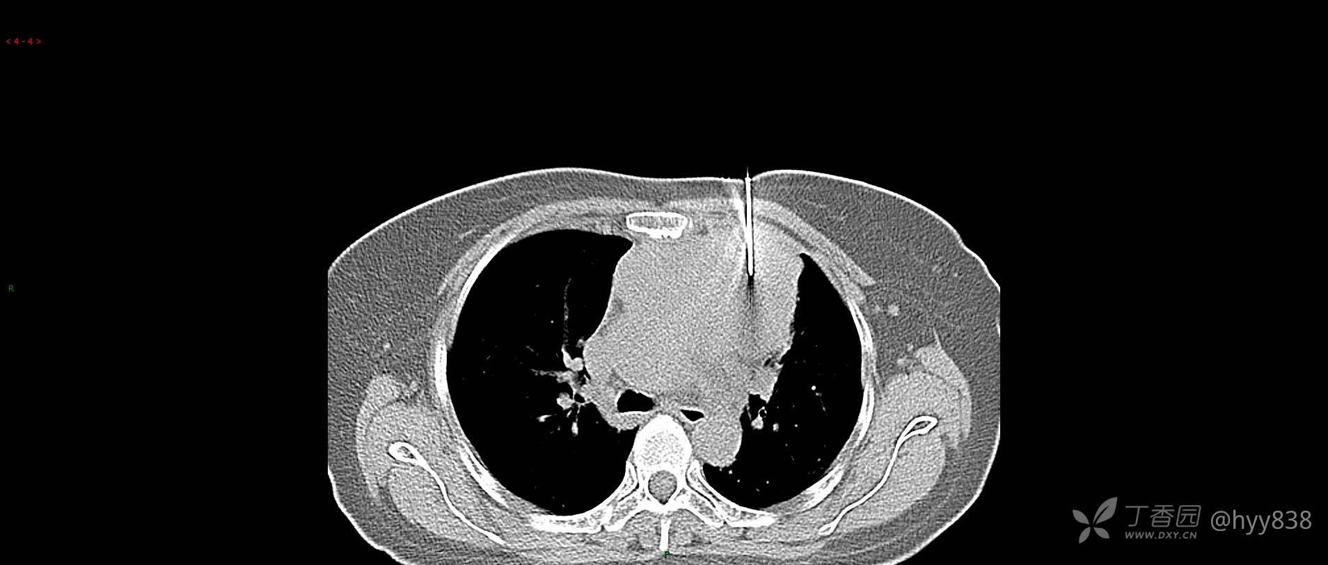
简要病史:患者诉3月余前患新冠肺炎,出现持续性胸闷,活动后可缓解,无胸前区压榨感,无畏寒发热不适,无胸痛咯血、呼吸困难,无恶心、呕吐,无腹痛、腹胀、腹泻等不适,未予以重视,未行特殊处理。患者胸闷持续存在,为进一步诊治,3天前于本院查胸部CT提示前纵膈团块状软组织密度影,肿瘤性病变可能,心包积液,左上肺磨玻璃结节,右下肺增殖灶可能建议进一步检查。门诊以“前纵膈占位” 收入我科。 患者本次起病来精神、食欲、睡眠尚可,大小便正常,体力、体重无明显变化。
体格检查:(-)
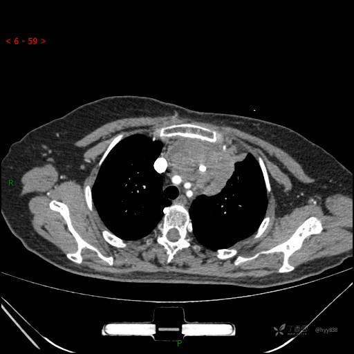
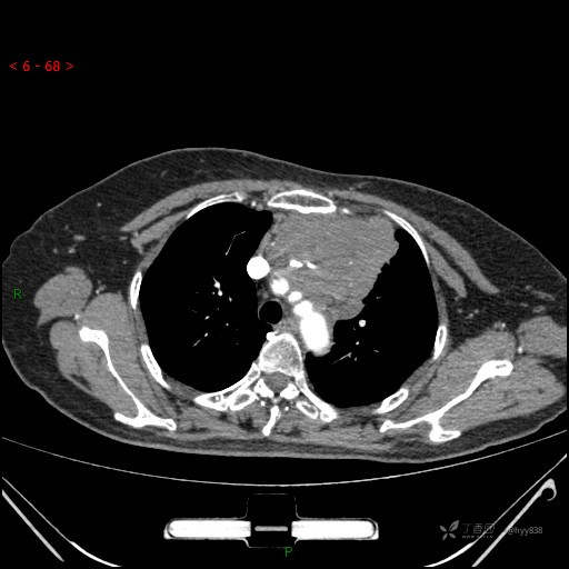
辅助检查:CT
临床诊断:纵隔占位
治疗经过:---
讨论:病变性质?
胸部CT平扫






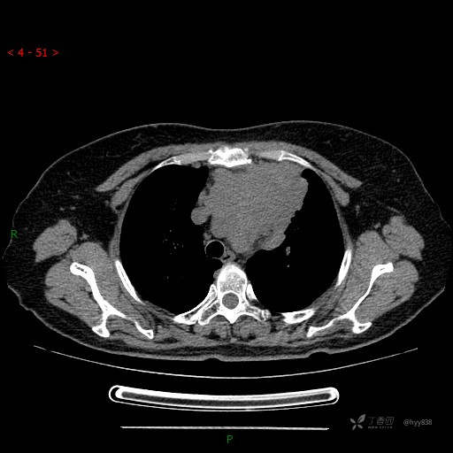
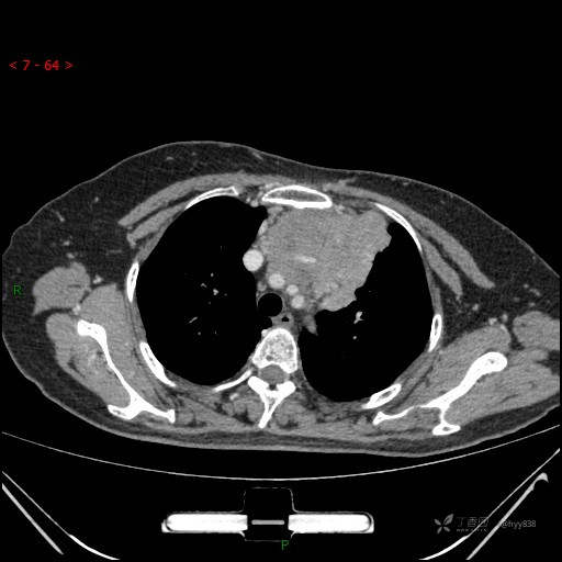
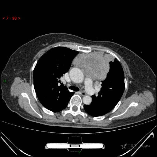
动脉期







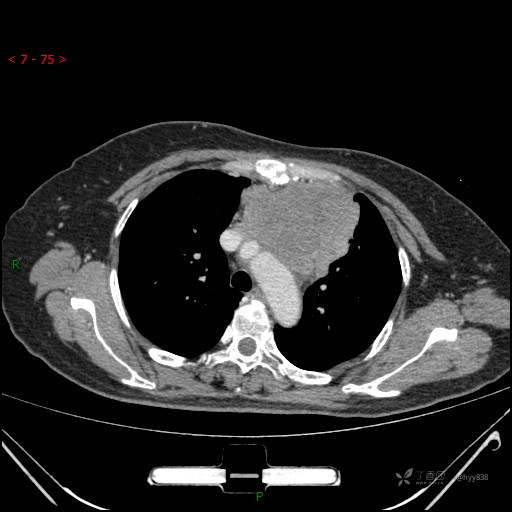
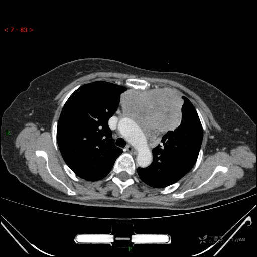
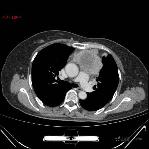
静脉期







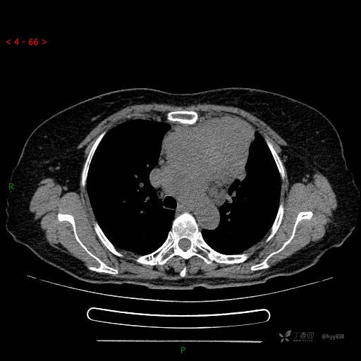
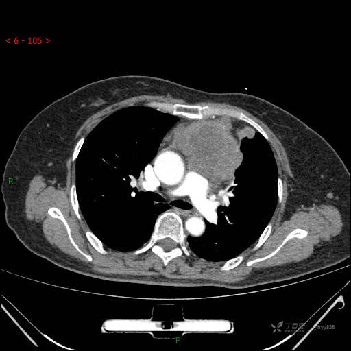
穿刺
















































