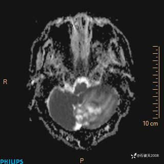
书上说这个肿瘤发生在幕下仅4.09%,你会想到它吗?(病理已公布)
女 86岁 主 诉:乏力1月
现病史:患者1月前活动出现双下肢乏力,无头晕、头痛、恶心、呕吐、肢体活动不利,休息后缓解,间断断发作,症状进行性加重,在家口服药物治疗(具体不详),效差,为进一步诊治,来我院,门诊按“乏力”收住我科,患者自发病以来,神志清,精神稍差,饮食睡眠欠佳,大小便正常,体重未见明显改变。
既往史:平素体健,否认“高血压”、“冠心病”、“糖尿病”病史。否认“肝炎”、“结核”、“伤寒”等传染病病史及其密切接触史。否认食物、药物过敏史,否认重大外伤、手术史,无输血史,预防接种随当地社会。
T2







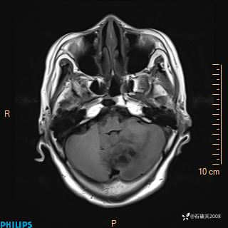
T1







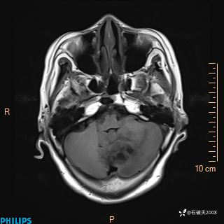
FLAIR








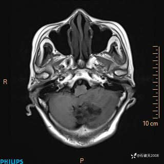
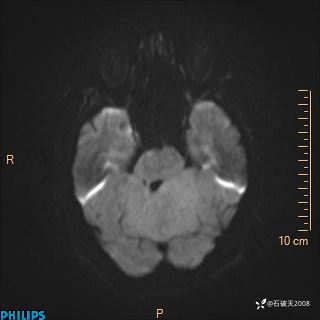
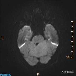
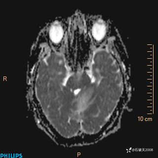
DWI










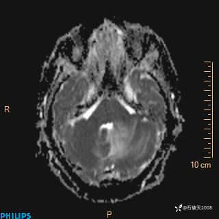
ADC










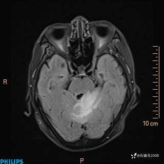
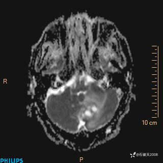
增强轴位







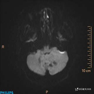
增强冠状位








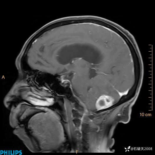
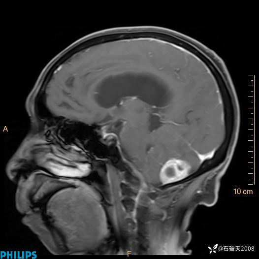
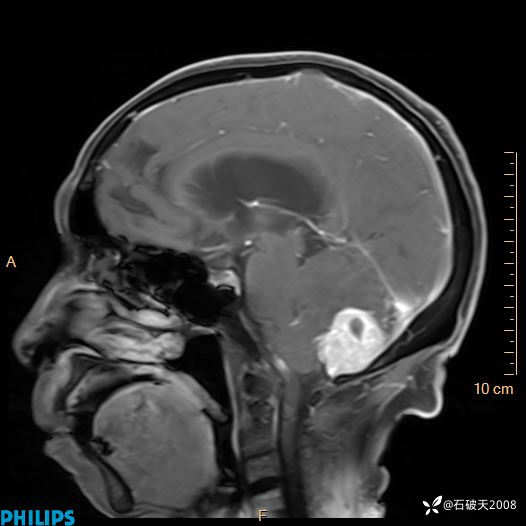
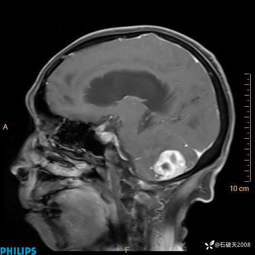
增强矢状位



























































