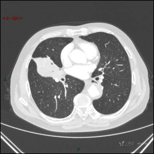
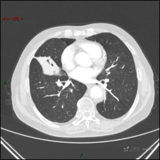
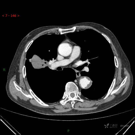
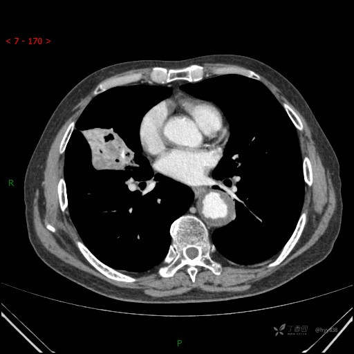
大叶性分布并低密度坏死改变,结核?真菌?肿瘤?有时候很难界定---结果公布~
过去的时光难忘怀 达人已点赞患者性别:男
患者年龄:66岁
主诉:因咳嗽咳血痰2月来诊
简要病史:患者2月前因咳嗽咳血痰在当地医院诊断为肺占位,为求进一步治疗,就诊我院,门诊拟“右肺占位”收入院。 自患病以来,精神睡眠一般,食欲尚可,大小便正常,体力稍下降,体重无明显减轻。
体格检查:(-)
辅助检查:CT
临床诊断:占位
治疗经过:手术
讨论:影像特征?病变性质?
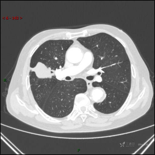
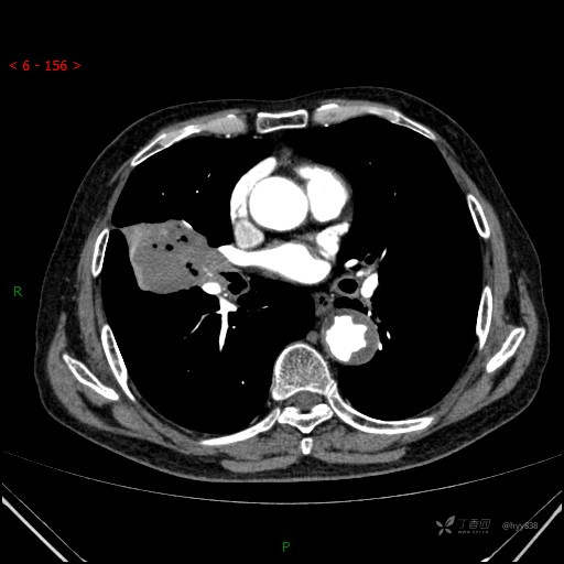
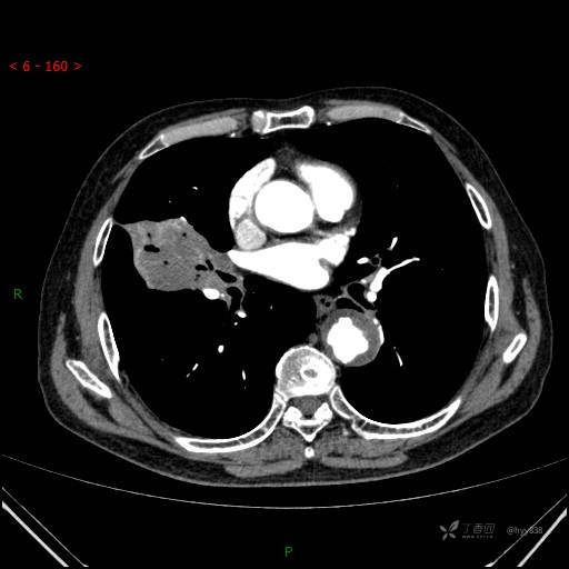
胸部CT肺窗






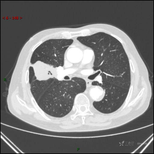
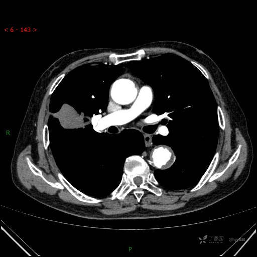
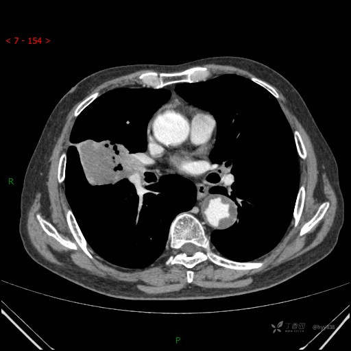
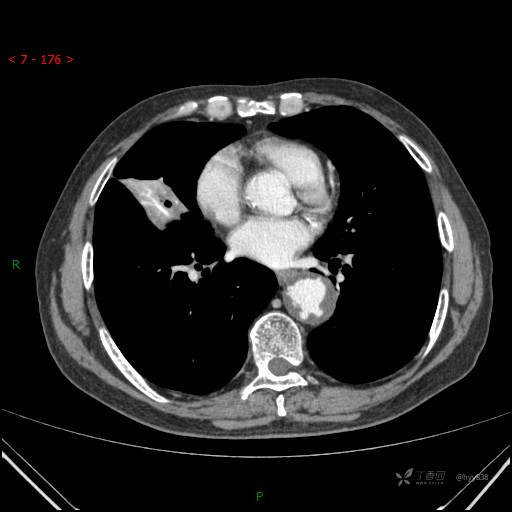
增强动脉期






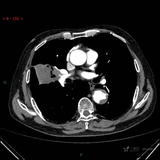
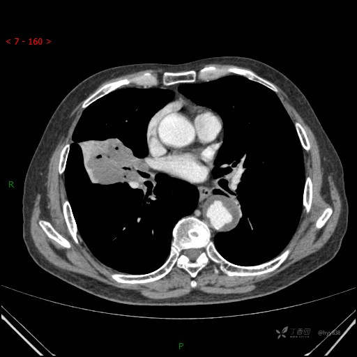
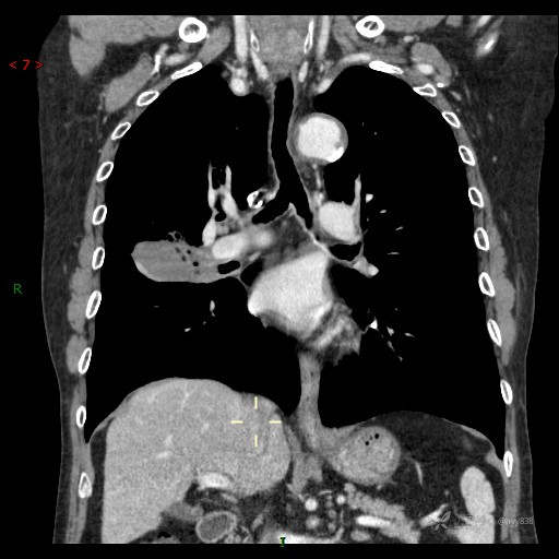
静脉期








过去的时光难忘怀 达人已点赞患者性别:男
患者年龄:66岁
主诉:因咳嗽咳血痰2月来诊
简要病史:患者2月前因咳嗽咳血痰在当地医院诊断为肺占位,为求进一步治疗,就诊我院,门诊拟“右肺占位”收入院。 自患病以来,精神睡眠一般,食欲尚可,大小便正常,体力稍下降,体重无明显减轻。
体格检查:(-)
辅助检查:CT
临床诊断:占位
治疗经过:手术
讨论:影像特征?病变性质?
胸部CT肺窗






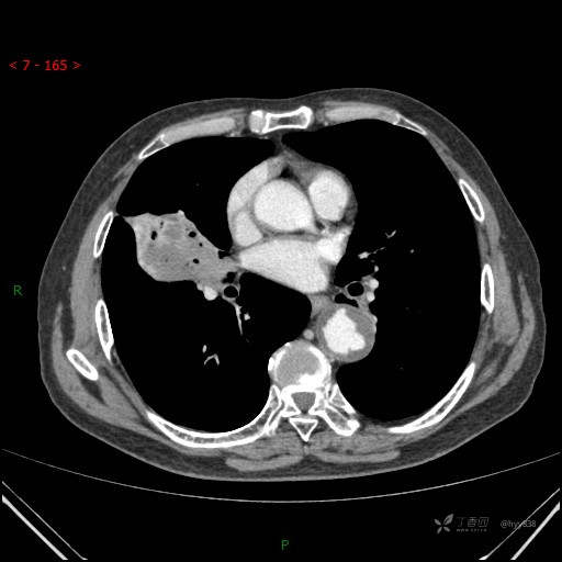
增强动脉期






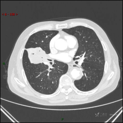
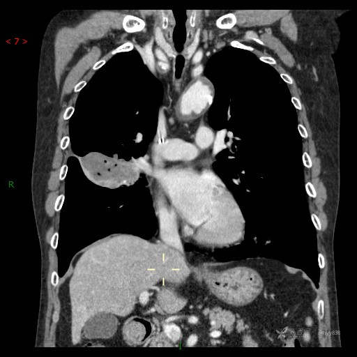
静脉期








