膀胱少见肿瘤,欢迎挑战---结果公布~
华夏览雄 达人已点赞患者性别:女
患者年龄:73岁
主诉:肉眼血尿3周
简要病史:患者诉3周前无明显诱因开始出现肉眼血尿,发作时尿液呈鲜红色,为全程血尿,无明显血凝块;伴小腹胀痛,无尿频、尿急、尿痛;无寒战、发热;无恶心、呕吐,就诊于当地医院行输液治疗后,出现不规则血凝块,进一步完善相关检查提示膀胱占位,活检提示膀胱炎性改变,现患者为进一步治疗,遂来我院,门诊以“膀胱肿物”为主诉入院。 起病以来,患者精神、饮食、睡眠稍差,大便如常,小便如上述,近期体力、重无明显变化
体格检查:(-)
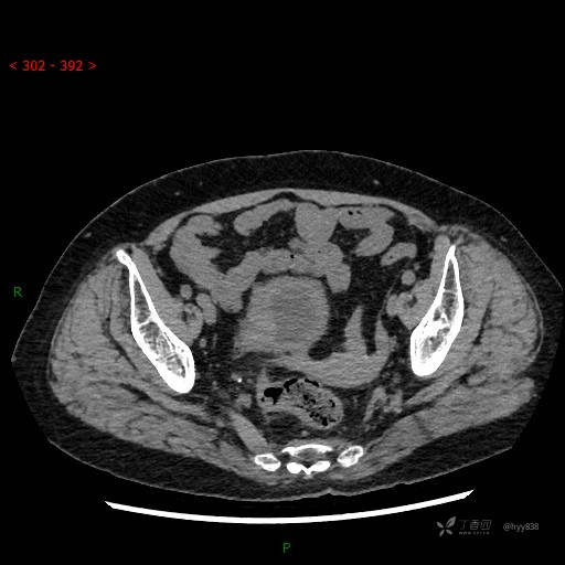
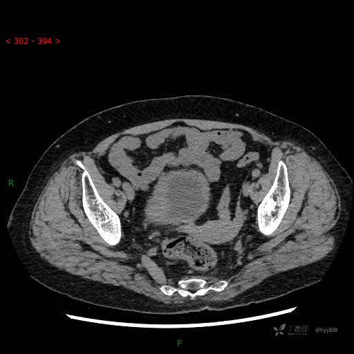
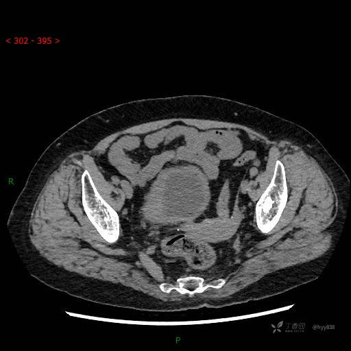
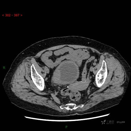
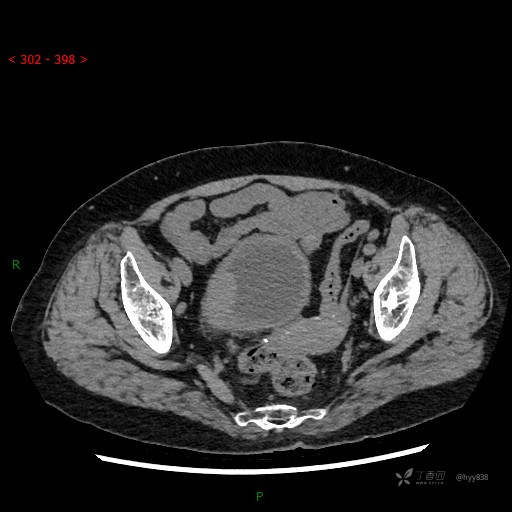
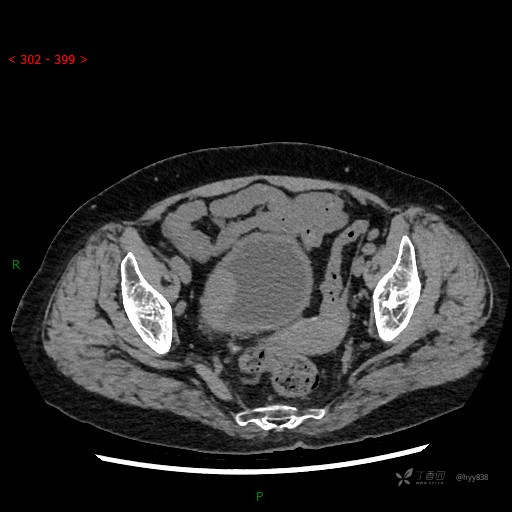
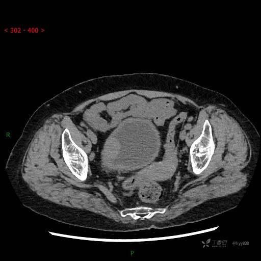
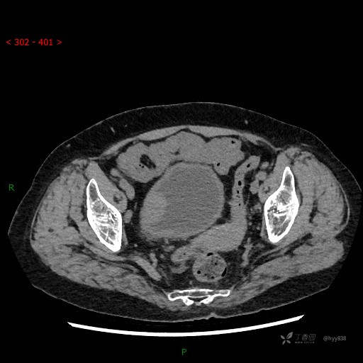
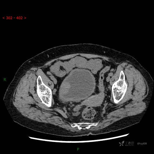
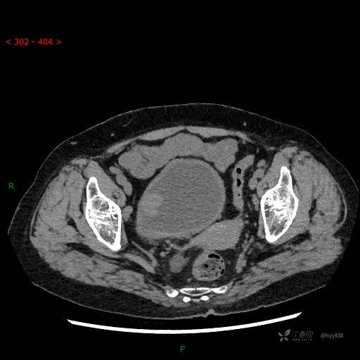
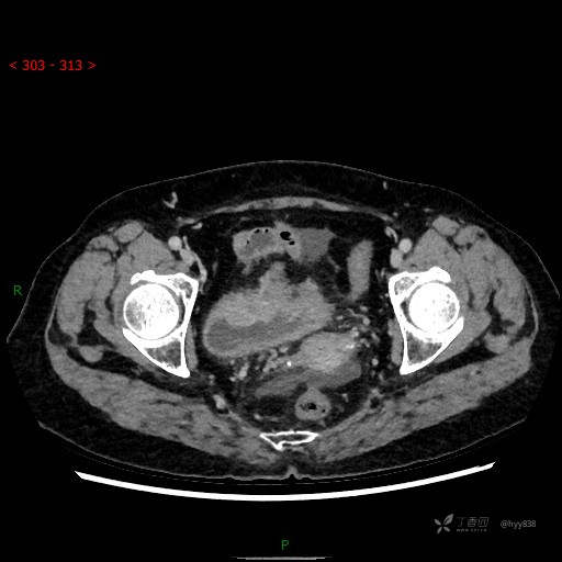
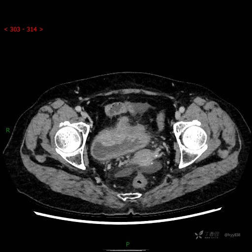
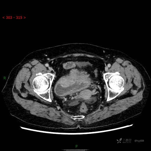
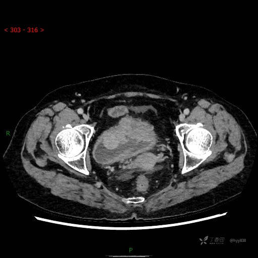
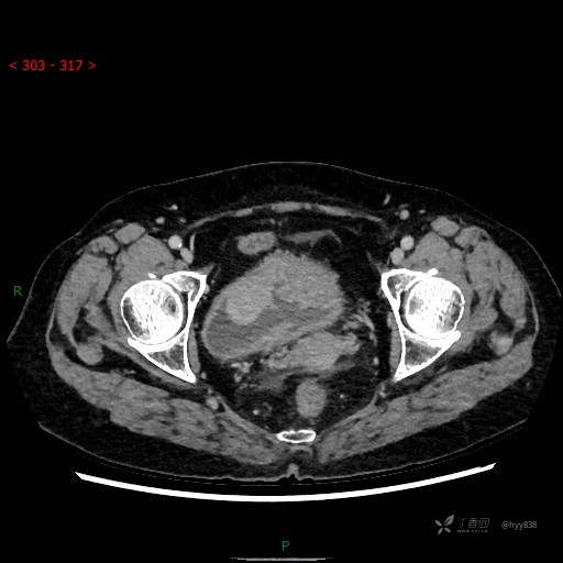
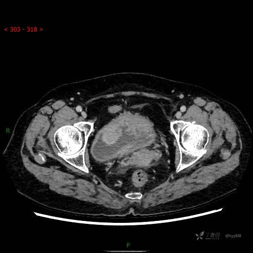
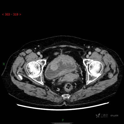
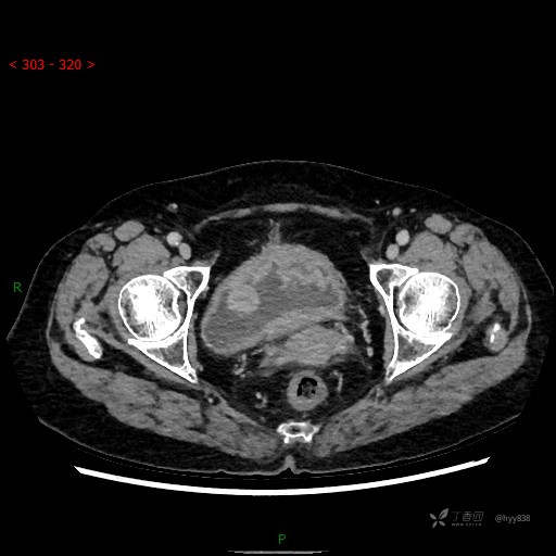
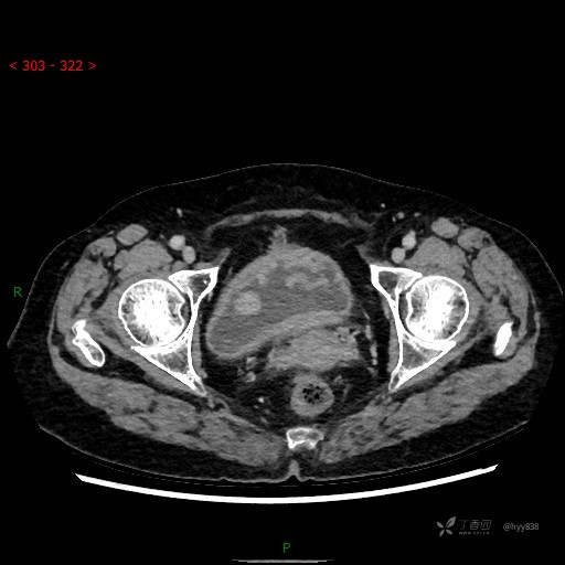
辅助检查:CT
临床诊断:膀胱肿瘤
治疗经过:---
讨论:病变性质?
膀胱CT平扫(2022.10.20)










增强(2022.11.1)
























































