胸膜下“煎鸡蛋征”,感染 VS 炎症 VS 肿瘤,挑战有你---结果公布~
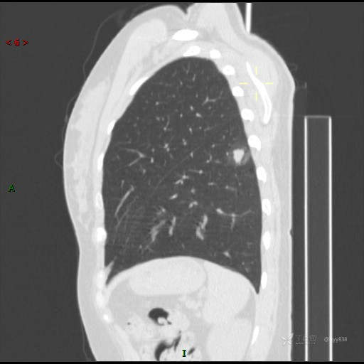
患者性别:女
患者年龄:46岁
简要病史:干咳半月伴左胸部不适
体格检查:T36.7℃, R20次/分 P78次/分 BP110/60mmHg,一般情况好,神志佳。全身皮肤无黄染,浅表淋巴结未触及肿大,心律齐未闻及病理性杂音,双肺呼吸音清晰未闻及干湿啰音。肝脾肋下未触及,Murphy征阴性,双肾区无叩击痛,腹软,无压痛及反跳痛,余无异常。
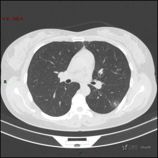
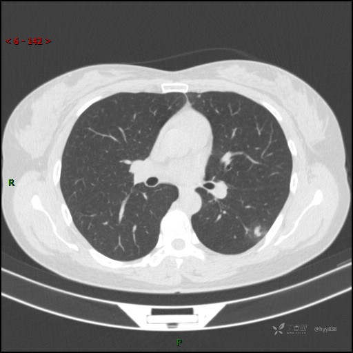
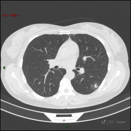
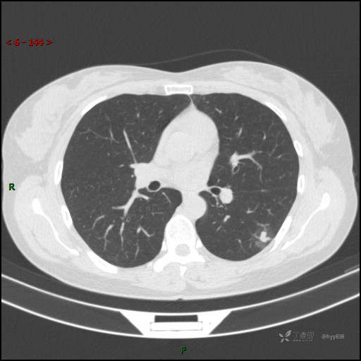
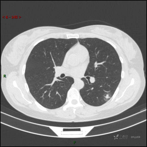
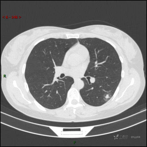
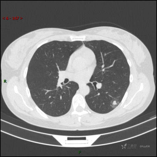
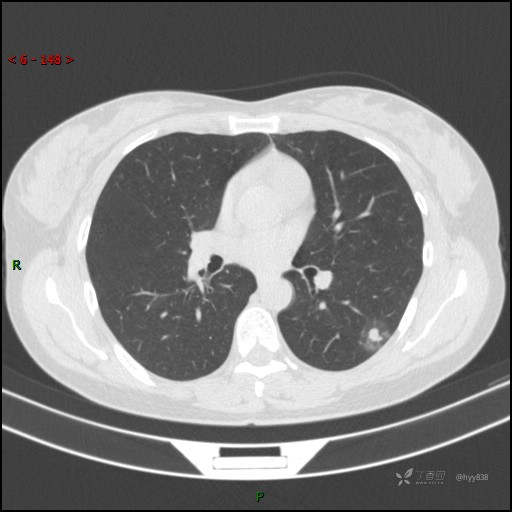
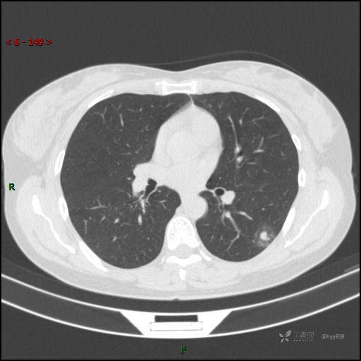
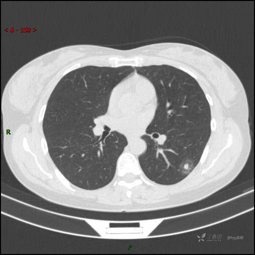
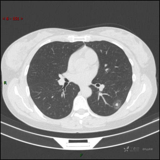
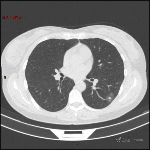
辅助检查:CT
临床诊断:结节
治疗经过:---
讨论:病变性质?














患者性别:女
患者年龄:46岁
简要病史:干咳半月伴左胸部不适
体格检查:T36.7℃, R20次/分 P78次/分 BP110/60mmHg,一般情况好,神志佳。全身皮肤无黄染,浅表淋巴结未触及肿大,心律齐未闻及病理性杂音,双肺呼吸音清晰未闻及干湿啰音。肝脾肋下未触及,Murphy征阴性,双肾区无叩击痛,腹软,无压痛及反跳痛,余无异常。
辅助检查:CT
临床诊断:结节
治疗经过:---
讨论:病变性质?














