【头颈】精彩病例,中年女性鞍上池占位,常规思维就错了~(有结果)
hyy838 等 2 位达人已点赞病例信息
患者性别:女
患者年龄:49岁
现病史:患者诉半月前无明显诱因出现右侧颞部疼痛,吃饭时疼痛加重,偶感视物模糊,无恶心呕吐。曾于当地医院就诊,完善磁共振检查发现鞍上池占位。现患者为求进一步诊治,前来我院就诊。
专科查体信息:神志清楚,对答正确,四肢肌力正常。
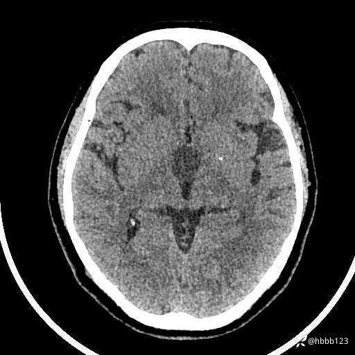
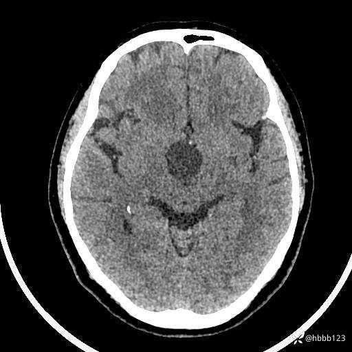
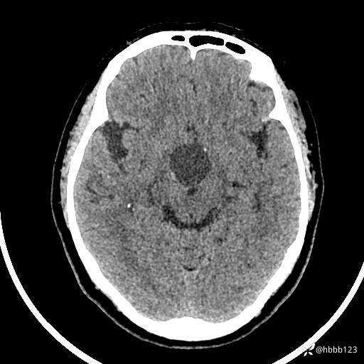
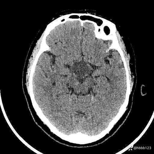
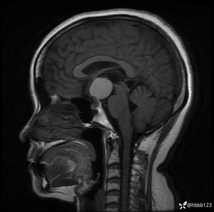
门诊收入院,完善颅脑CT平扫,颅脑MRI平扫+增强扫描:
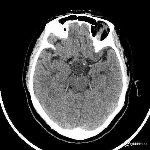
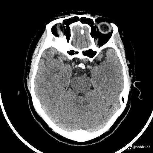
颅脑CT平扫:







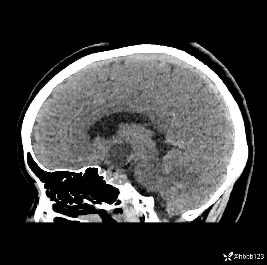
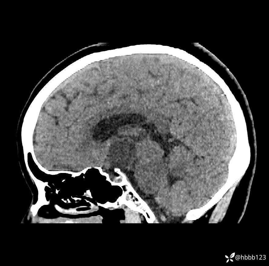
矢状位重建:




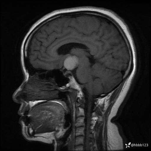
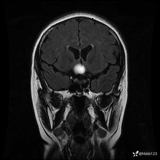
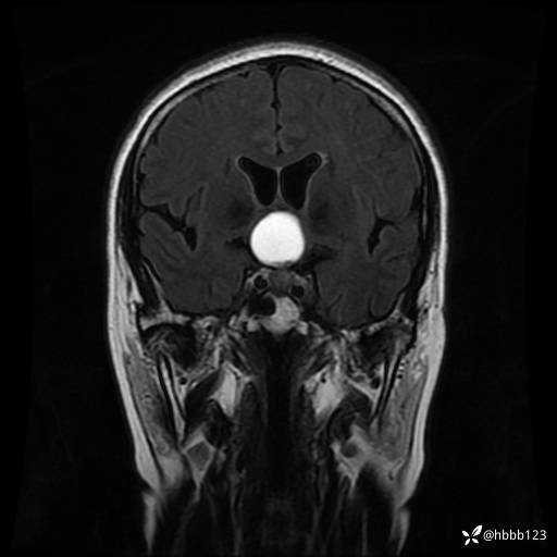
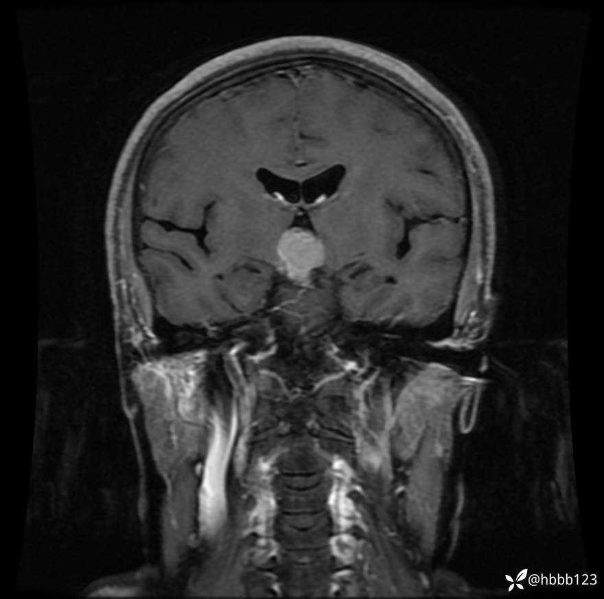
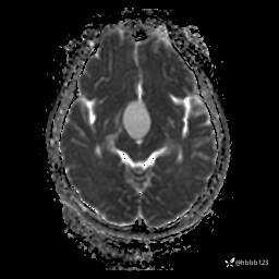
颅脑MRI平扫+增强扫描:
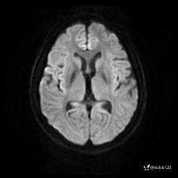
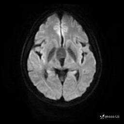
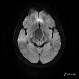
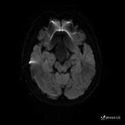
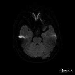
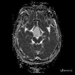
DWI:





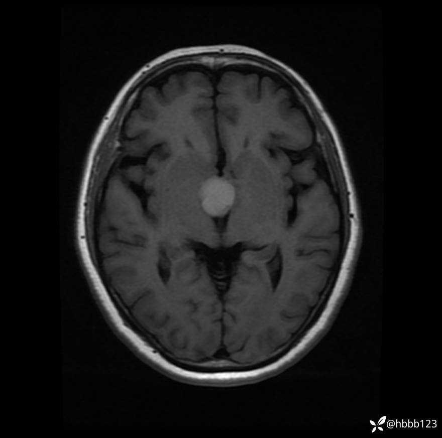
T1WI:




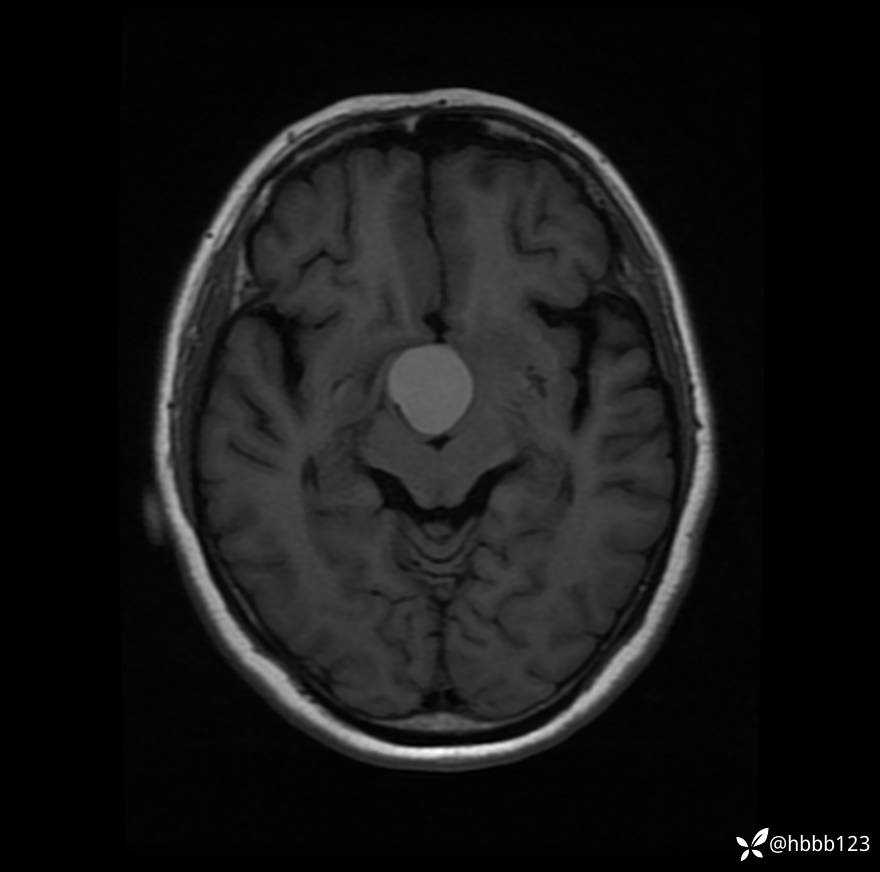
T1WI矢状位重建:


T2 Flair冠状位重建:





T1WI 增强 矢状位重建:

T1WI 增强 冠状位重建:



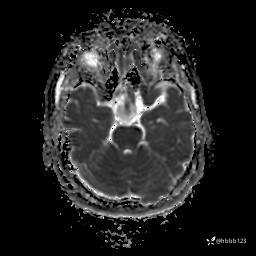
ADC:



是__还是__?
请您诊断。
















































