dxy logo
首页丁香园病例库全部版块
搜索
登录

如此典型病例,平扫即可诊断(结果公布)

放射科医师 · 发布于 2022-10-31 · 来自 iOS · IP 浙江浙江
7665 浏览
推荐、达人点赞 2 项荣誉
这个帖子发布于 3 年零 25 天前,其中的信息可能已发生改变或有所发展。

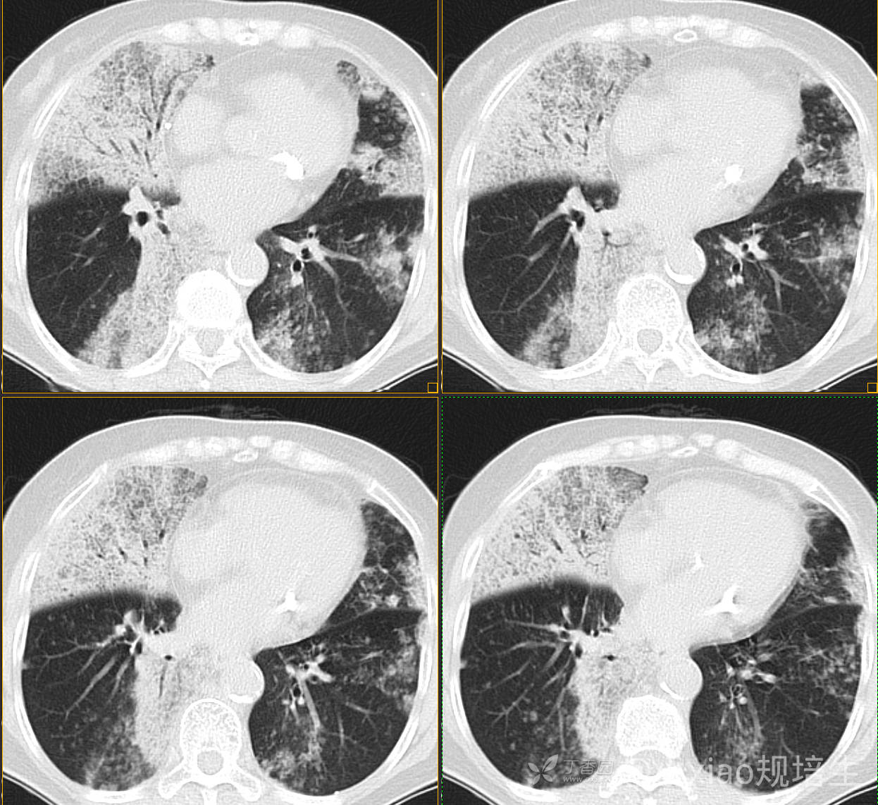
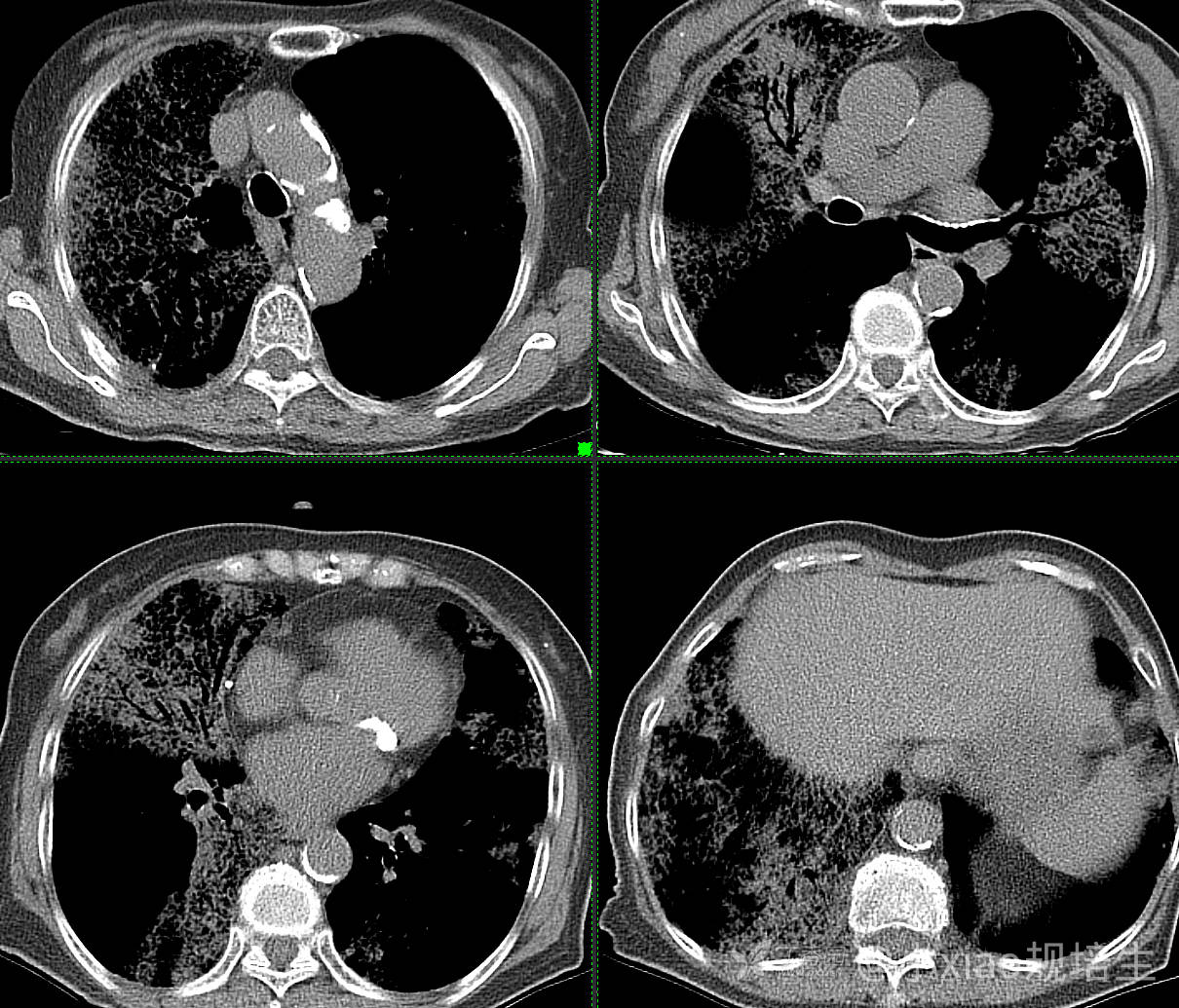
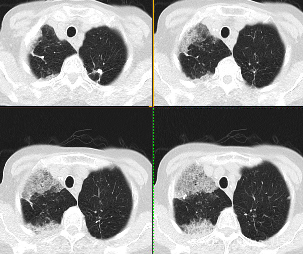
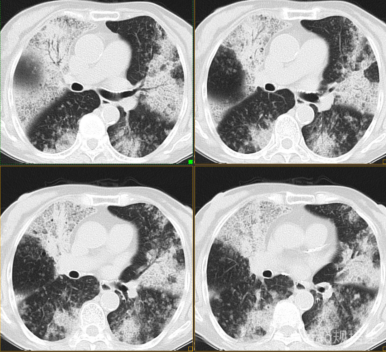
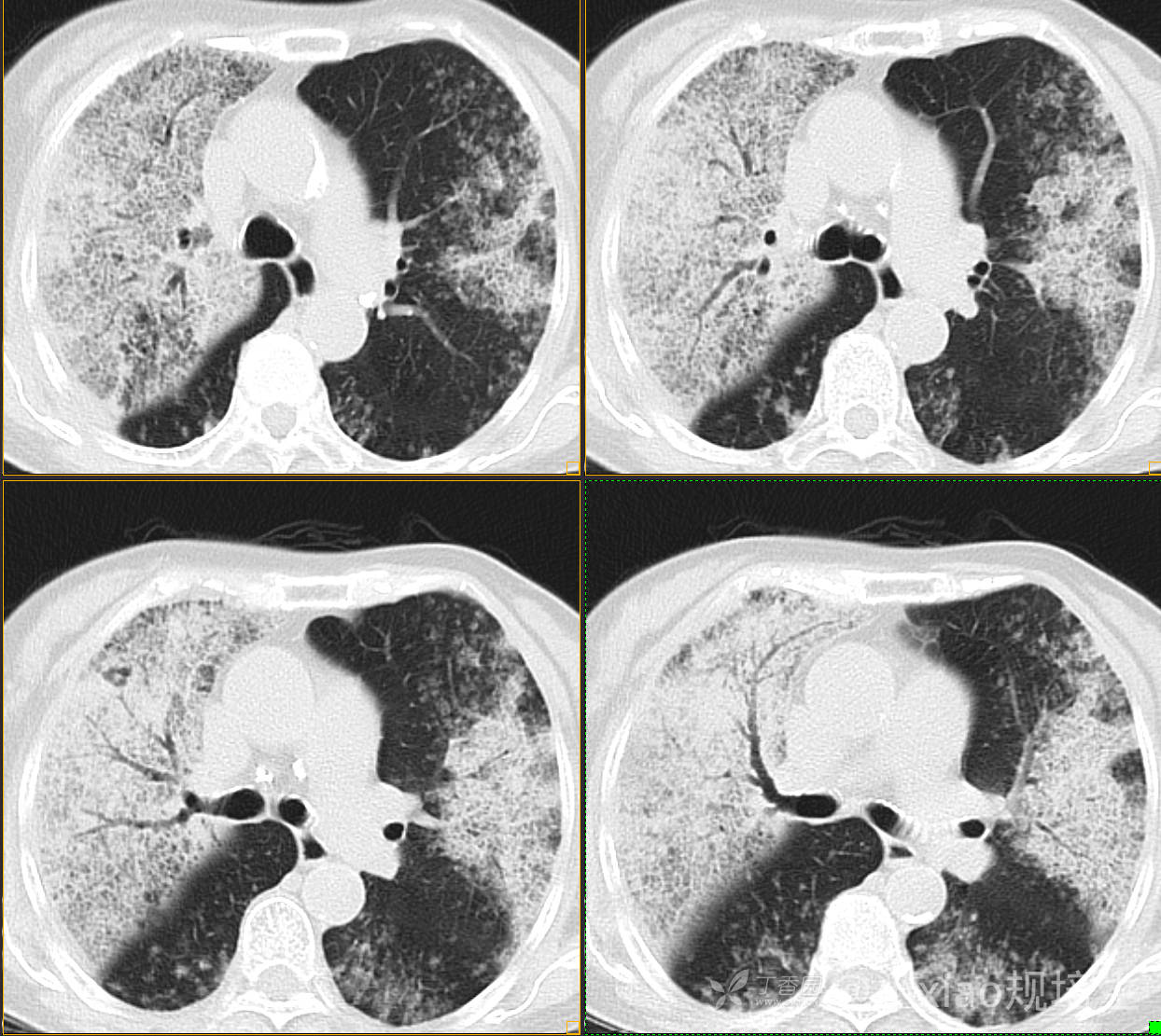
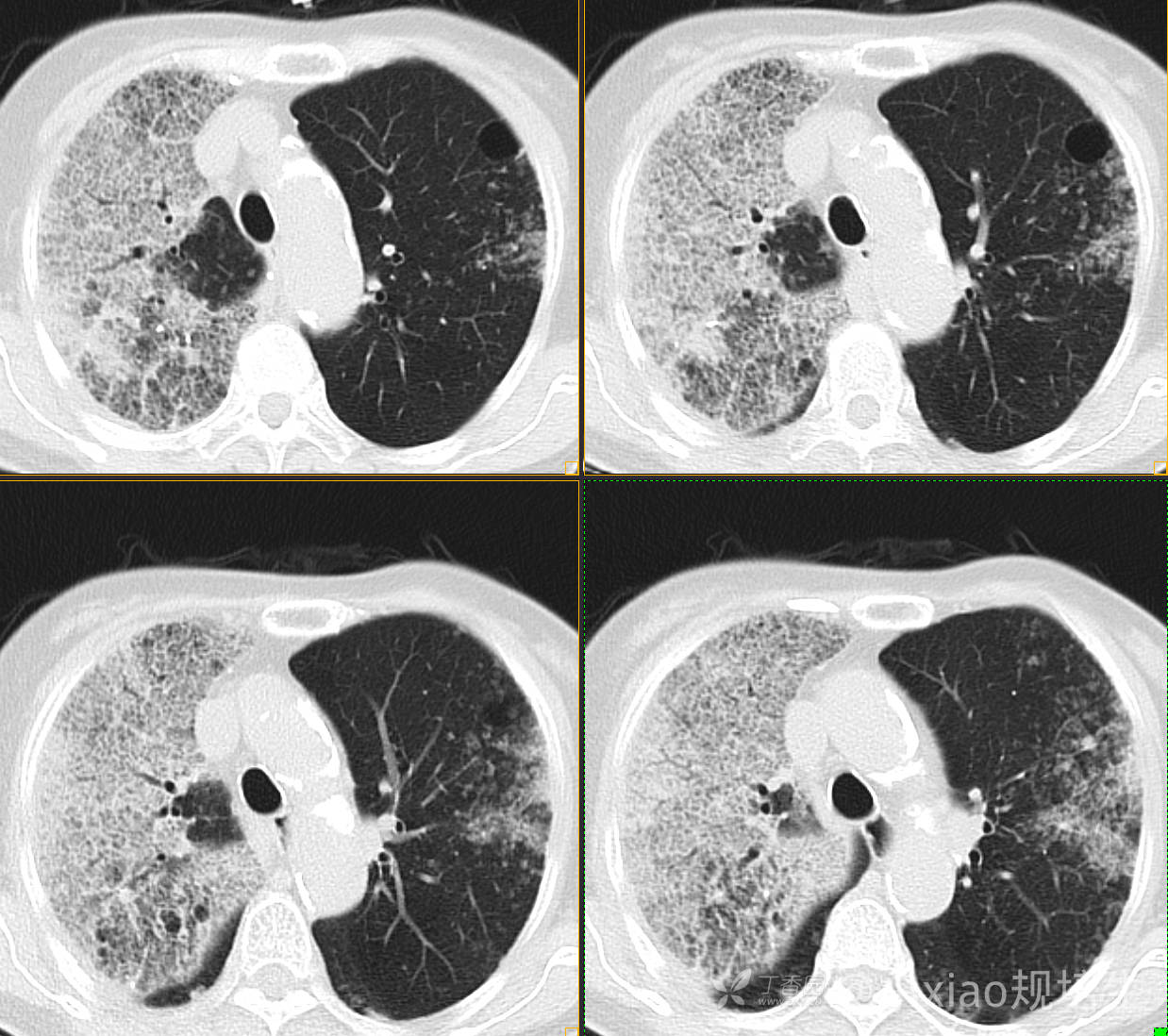
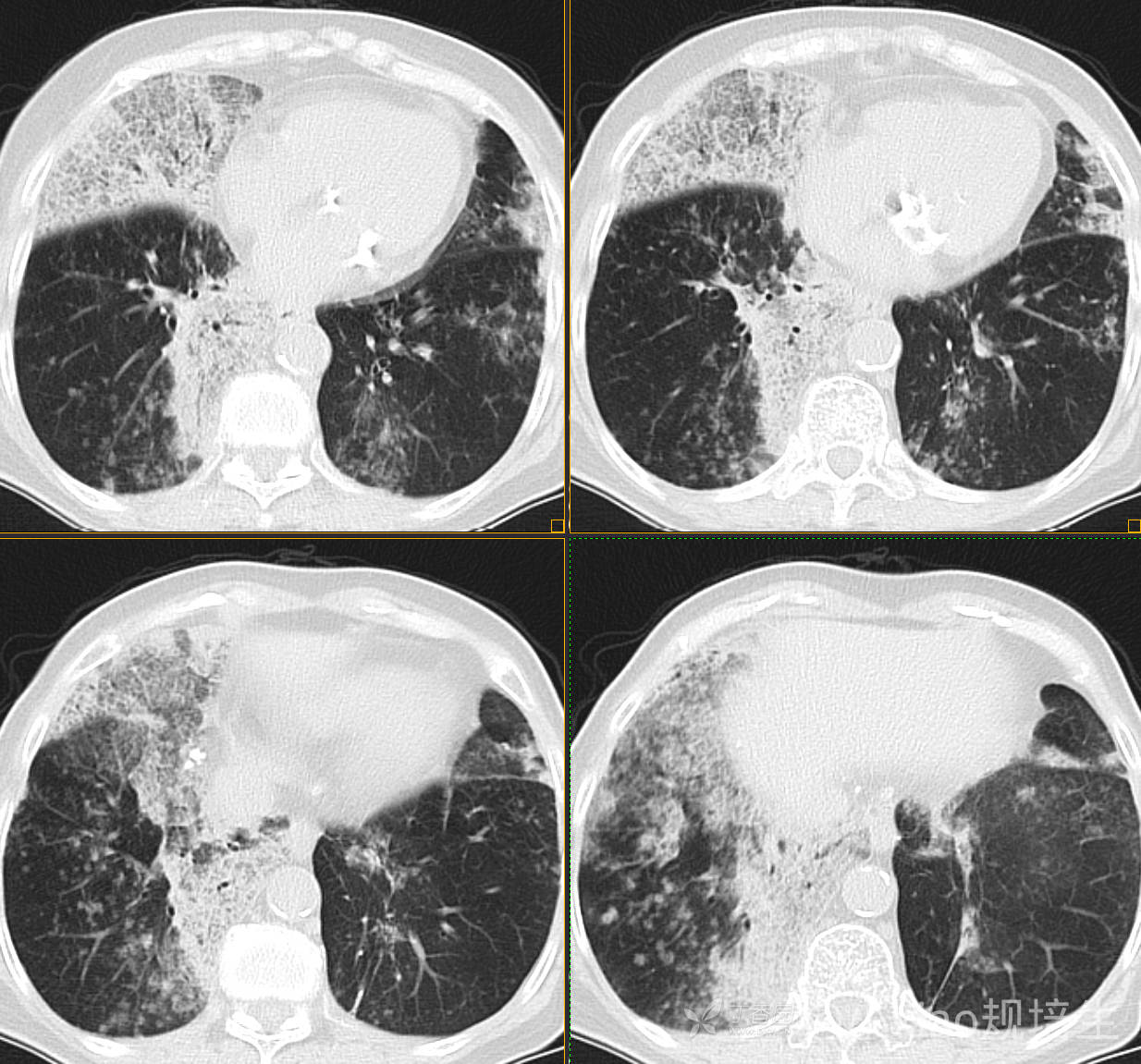
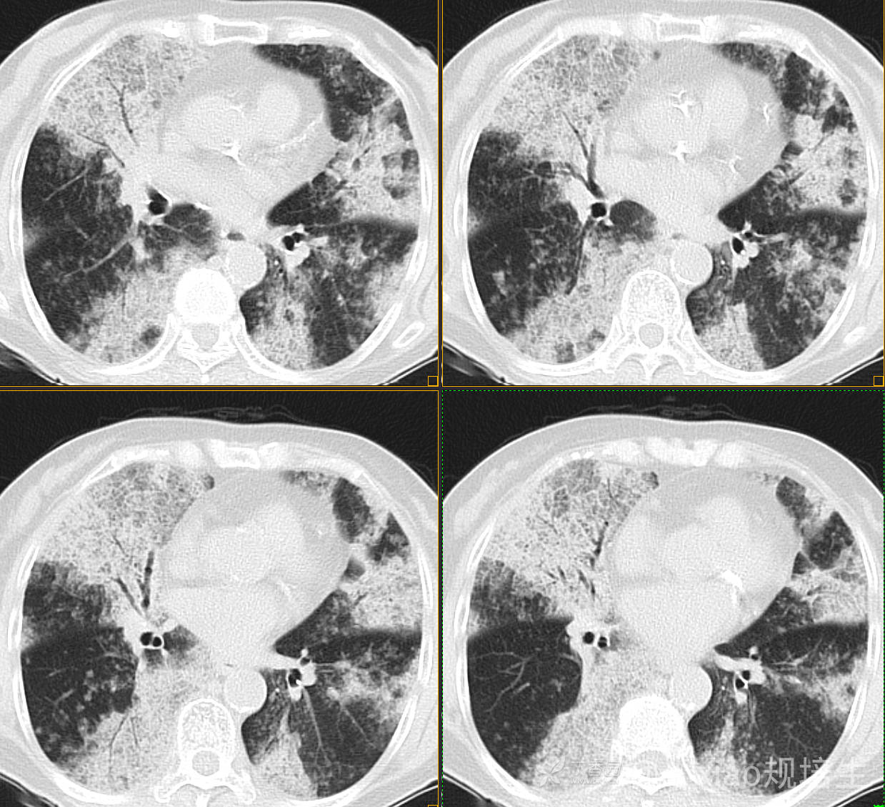
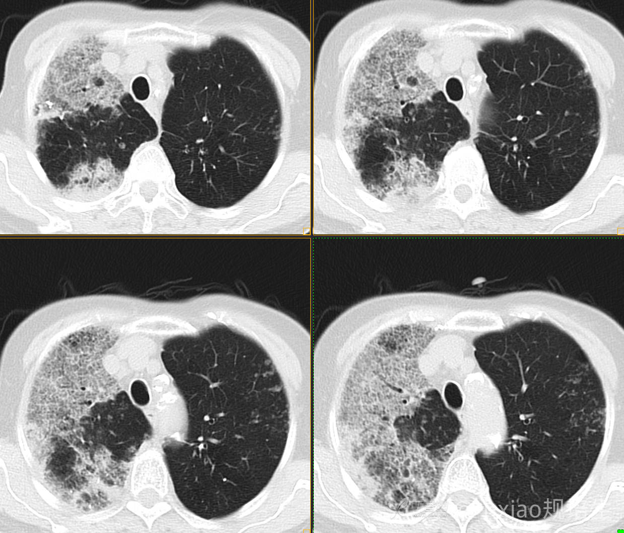
患者,女,89岁

咳嗽,咳痰一月余

img


img


img


img


img


img


img


img


img

期待你的精彩分析。。。。

肺泡蛋白沉着病 (19)
腺癌 (183)
弥漫性囊性肺病 (9)
纠错
57 99 25
同行评议(0)
已评议
不开通精选
开通精选
精选已授权,待上线
评议结果暂未公布
参与评议
去邀请
NaN
病例完整NaN
临床实用NaN
诊疗科学NaN
学术价值NaN

全部讨论(0)

默认最新
avatar
57
分享帖子
share-weibo分享到微博
share-weibo分享到微信
认证
返回顶部