中年男性,左侧下腹及腰背部疼痛1月。疑难少见病例,看分析思路---结果公布~
江边愚者 达人已点赞病例信息
性别:男
年龄:42岁
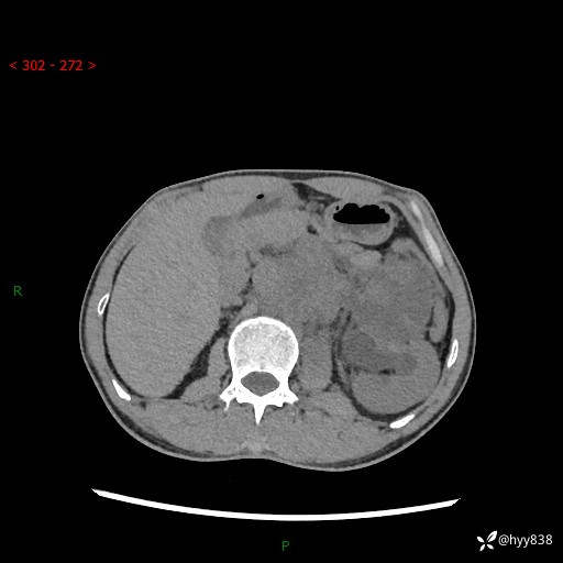
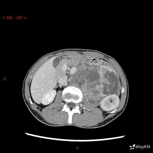
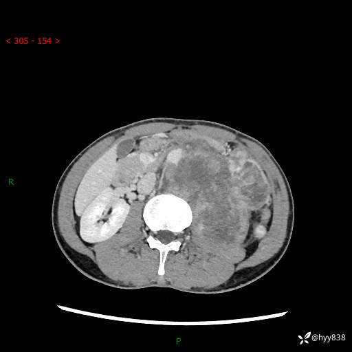
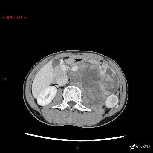
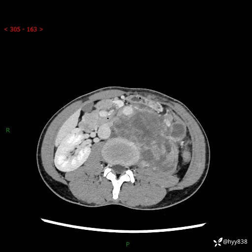
简要病史:患者无明显诱因出现左侧下腹及左侧腰背部疼痛,为间歇性隐痛,我院行胃肠镜检查,提示慢性非萎缩性胃炎,予以口服药物治疗,效果欠佳,后仍觉腹痛不适,遂至当地中医医院就诊,行彩超提示左肾积水及左肾实质性占位,遂来我院泌尿外科就诊
腹部CT平扫+增强






















江边愚者 达人已点赞病例信息
性别:男
年龄:42岁
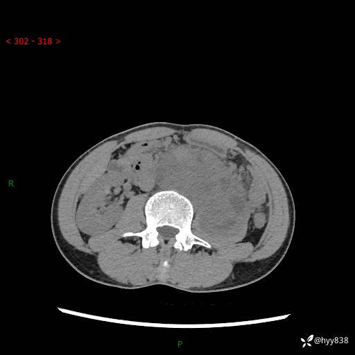
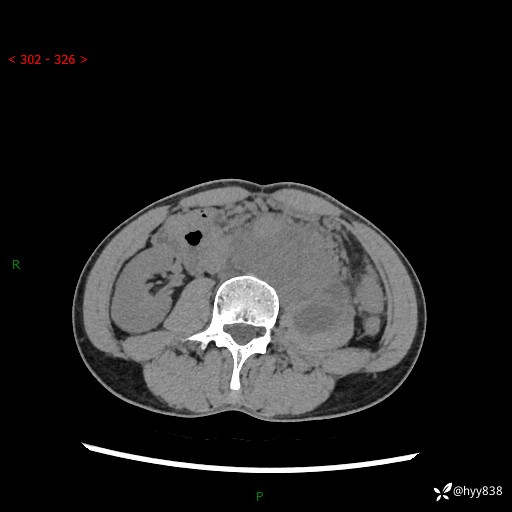
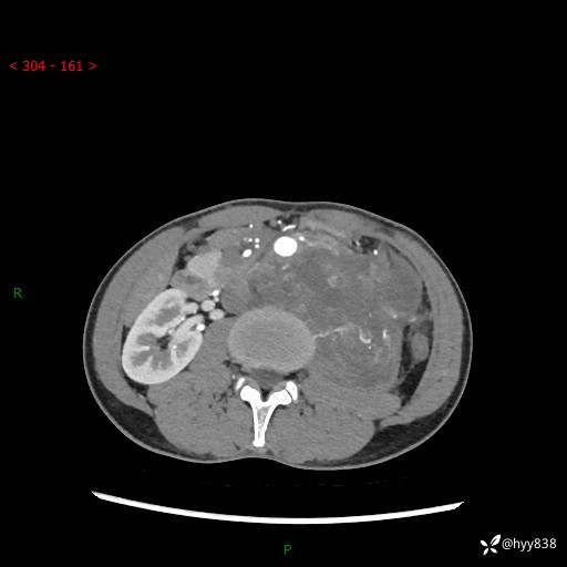
简要病史:患者无明显诱因出现左侧下腹及左侧腰背部疼痛,为间歇性隐痛,我院行胃肠镜检查,提示慢性非萎缩性胃炎,予以口服药物治疗,效果欠佳,后仍觉腹痛不适,遂至当地中医医院就诊,行彩超提示左肾积水及左肾实质性占位,遂来我院泌尿外科就诊
腹部CT平扫+增强






















