晨读疑难病例分享,中年男性、发现胰腺肿物2天,请分析---结果公布~
过去的时光难忘怀 达人已点赞患者性别:男
患者年龄:44岁
主诉:发现胰腺肿物2天
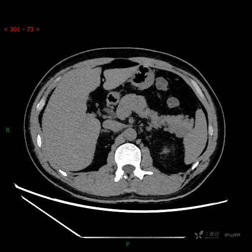
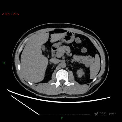
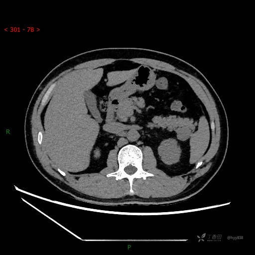
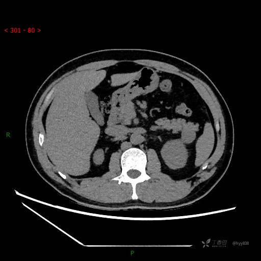
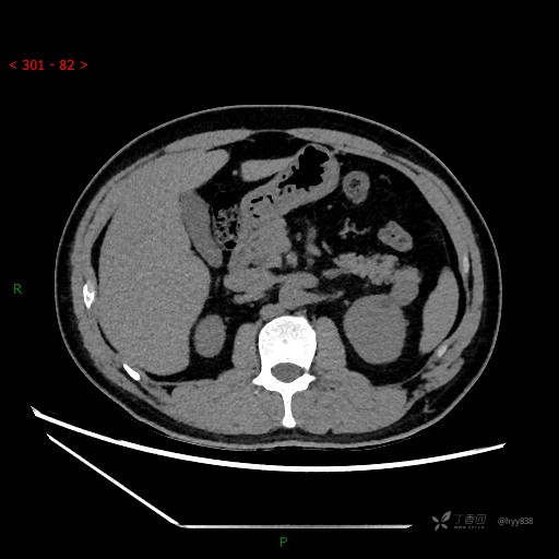
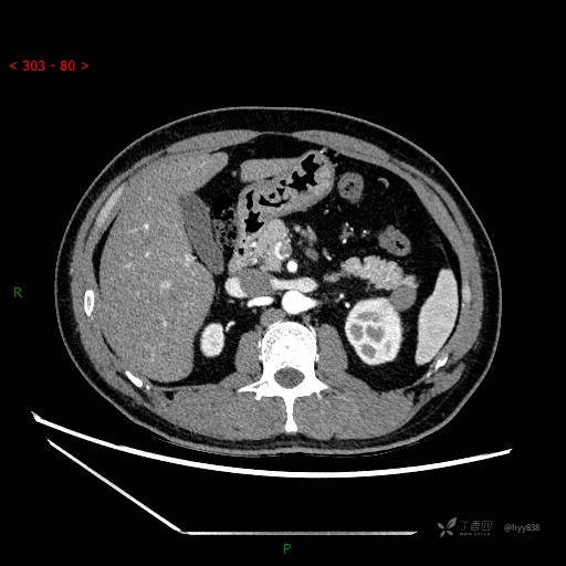
简要病史:患者2天前因“左侧下腹部疼痛”就诊于当地医院,行CT提示:泌尿系结石;胰腺肿物。无腹痛腹胀,无恶心,呕吐,无寒颤发热,无低血糖、高血糖、胃痛,无黄疸,腹泻症状等情况。为求进一步治疗,遂就诊于我院门诊,行胰腺增强CT提示:胰腺肿物,神经内分泌肿物,2.5*1.9cm。现患者为求手术治疗,门诊以“胰腺肿物”收入院。 患者起病来,一般情况可,大小便正常,体重体力未见明显减轻。
体格检查:(-)
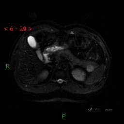
辅助检查:CT MRI
临床诊断:胰腺肿物
治疗经过:手术
讨论:病变性质?
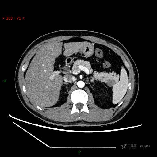
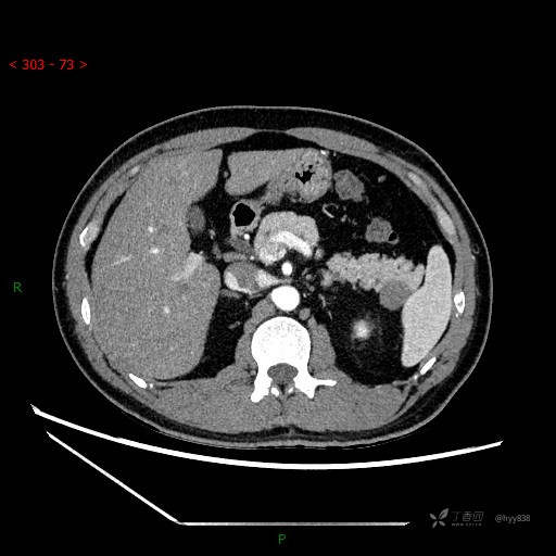
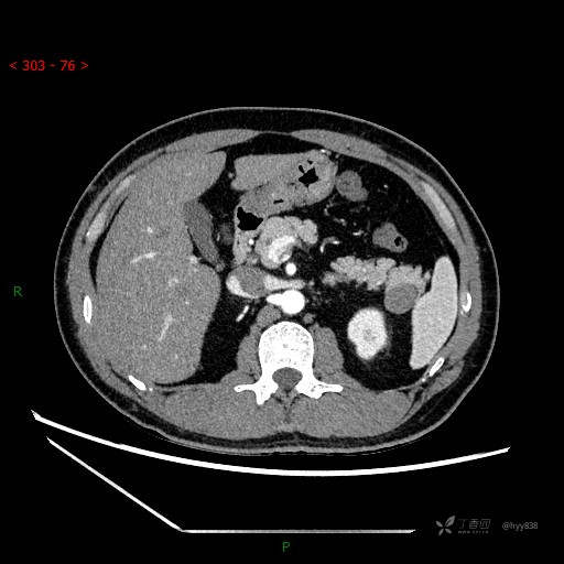
胰腺CT平扫





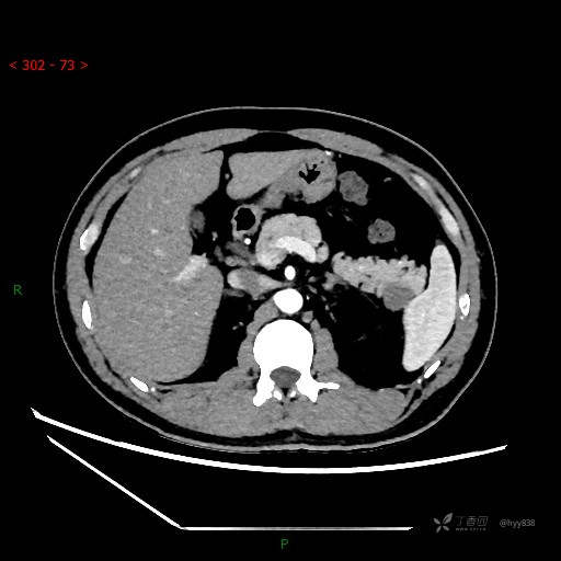
增强动脉期


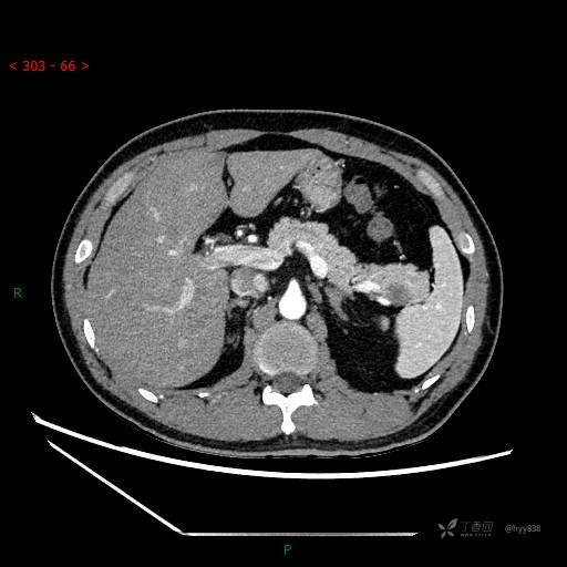
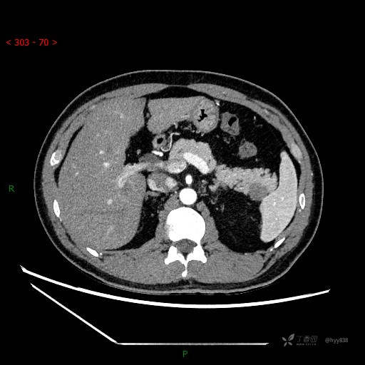
增强静脉期







CT值
42hu 48hu 57hu
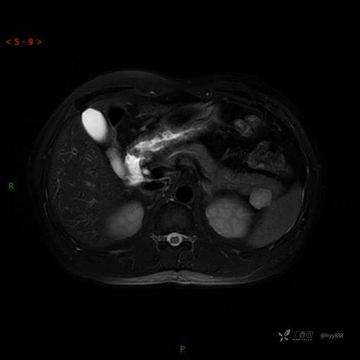
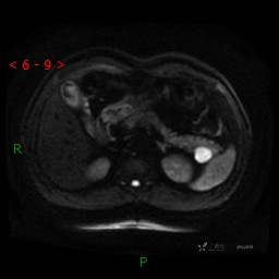
MRI(T1WI+T2WI-fs+DWI+ADC)



















































