7月特别精彩病例|体检发现胰腺肿物15天,资料全,加上你的分析就更精彩了|病理公布
患者性别:女
患者年龄:54岁
主诉:体检发现胰腺肿物15天
现病史:患者于15天前CT检查发现胰腺尾部占位,无腹痛腹胀,无食欲减退,无发热、恶心、呕吐。自发病以来,患者大小便正常,饮食正常,睡眠良好。
既往史:心脏粘液瘤术后1年余,否认结核、肝炎等传染病史。高血压病史1年,血压控制可,否认糖尿病史,否认药物、食物过敏史。否认外伤史。预防接种史不详。
实验室检查:CA19-9、CA242、CEA、血糖均正常。
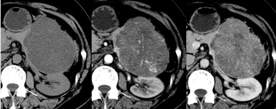
CT平扫

CT增强动脉期

CT增强门静脉期

CT值

平扫约22HU,动脉期约44HU,门脉期约70HU
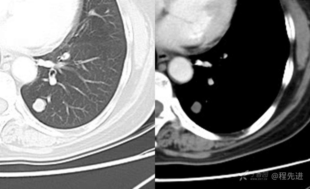
另见:左肺下叶实性结节

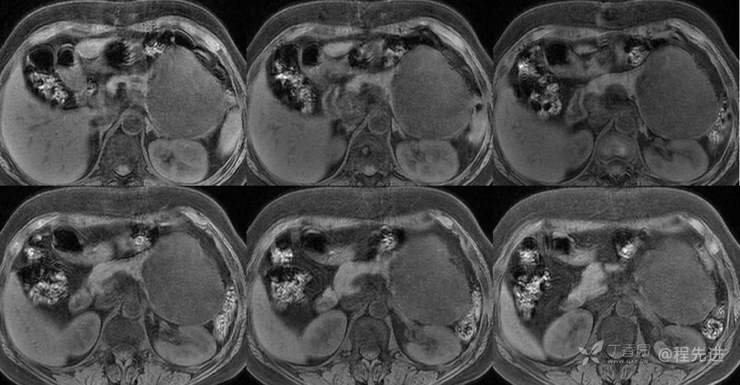
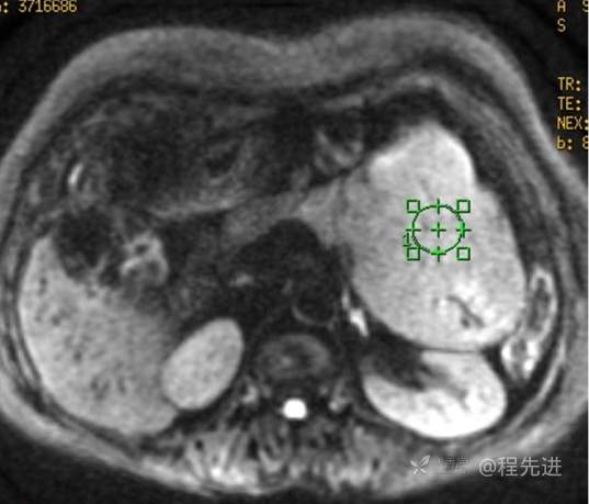
MR
T1压脂

T2压脂

DWI

ADC

ADC 值:2.8×10-3mm2/s
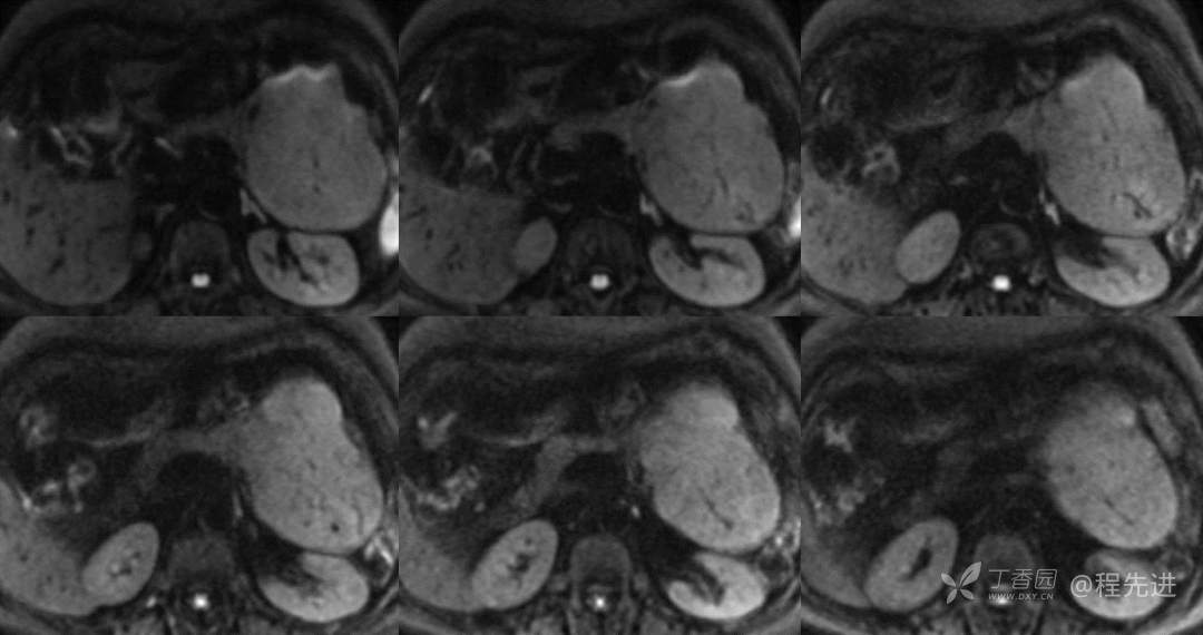
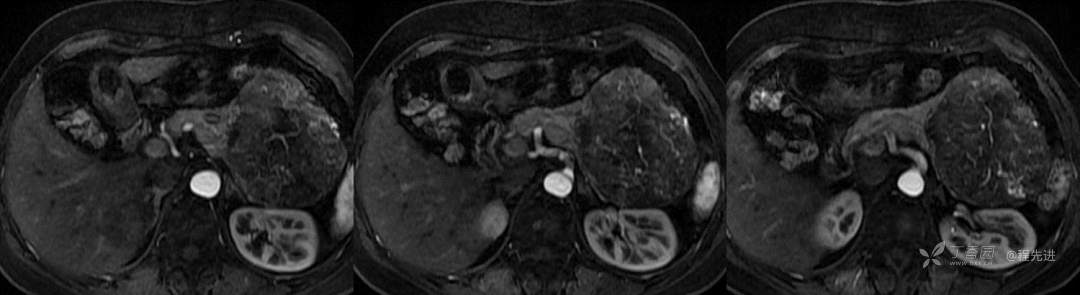
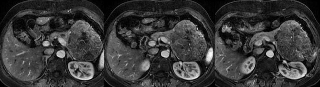
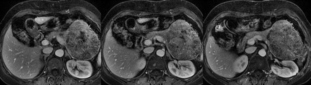
动态增强
动脉期

门脉期

延迟期

汇总对比
















































