【腹盆】特别精彩病例|体检发现胰腺肿物4天
病例信息
【患者信息】:女,21岁
【主诉】:体检发现胰腺肿物4天
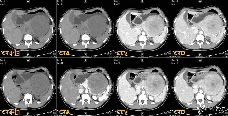
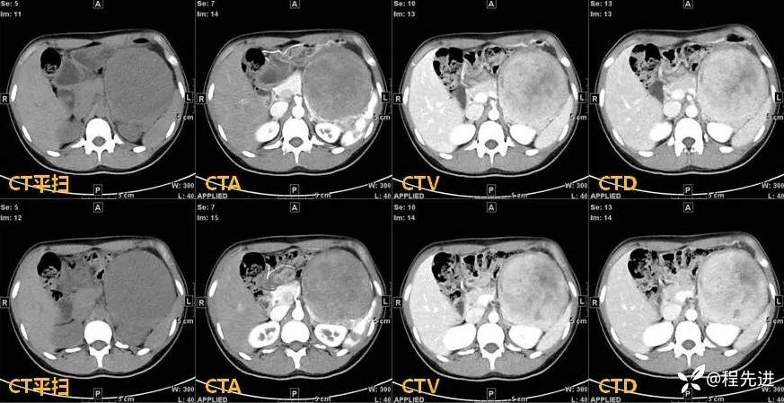
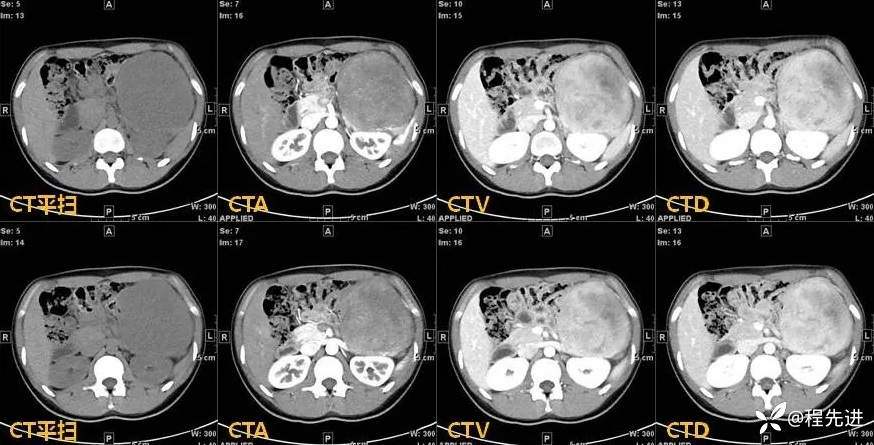
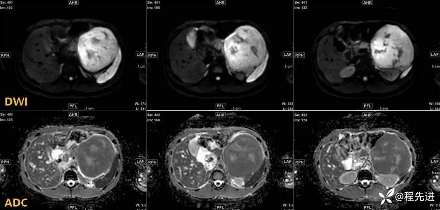
【现病史及既往史】:患者4天前于外院行CT检查发现胰腺肿物,胰胃间隙见一肿物,大小约108mmx103mmx122mm,考虑胰腺实性假乳头状瘤可能性大,无伴发热、畏寒,无恶心、反酸,无呕血、黑便。患者起病以来,一般情况可,无头晕、头痛,无心悸、气促,无腹泻、便秘,无排陶土样大便。精神可,胃纳、睡眠差,尿量如常,尿色淡黄,大便规律,体重未见明显改变。
既往史:既往体健。否认“高血压、糖尿病、结核、肝炎病史。否认重大手术外伤病史。个人史:否认疫区、疫水接触史。无进食“鱼生”史。
【检查】:
甲胎蛋白、癌胚抗原、糖类抗原125、糖类抗原19-9、糖类抗原72-4均正常
影像检查:








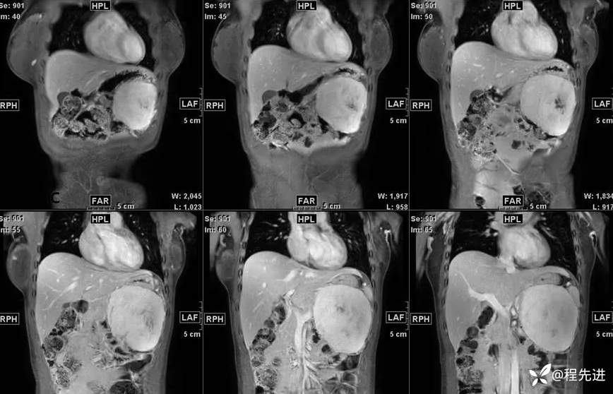
T1:




















































