【腹盆】特别精彩病例|体检发现胰腺肿物1月余
李梦杰huxi 等 3 位达人已点赞病例信息
患者性别:女
患者年龄:38岁
主诉:体检发现胰腺肿物1月余
现病史:患者1月前单位体检发现胰腺肿物,无恶心呕吐,无腹胀及消化系统症状等,患者病来一般状态良好,饮食睡眠可,大小便正常,近期体重无明显变化。
既往史:无特殊
实验室检查:CEA,CA125,CA199均在正常范围内
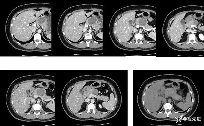
CT平扫+增强
上排动脉期,下排静脉期、平扫

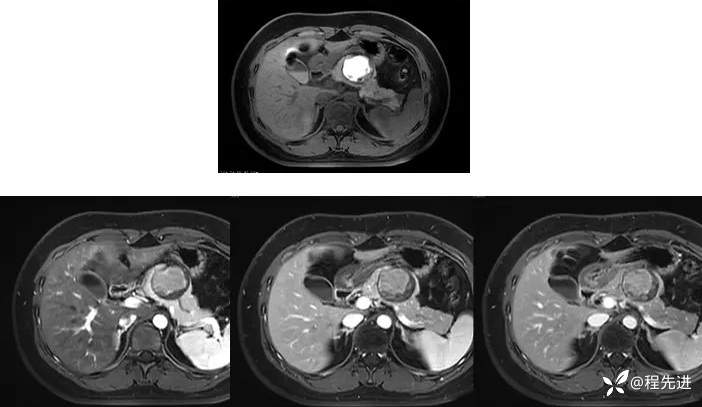
T1、T2:

同反相位,DWI、ADC:

T1、T1+C:

期待您的点赞支持!
期待您的精彩解读!















































