【影诊笔记518】中年男性,查体发现肾脏占位~『回复即可显示答案』
患者性别:男
患者年龄:40岁
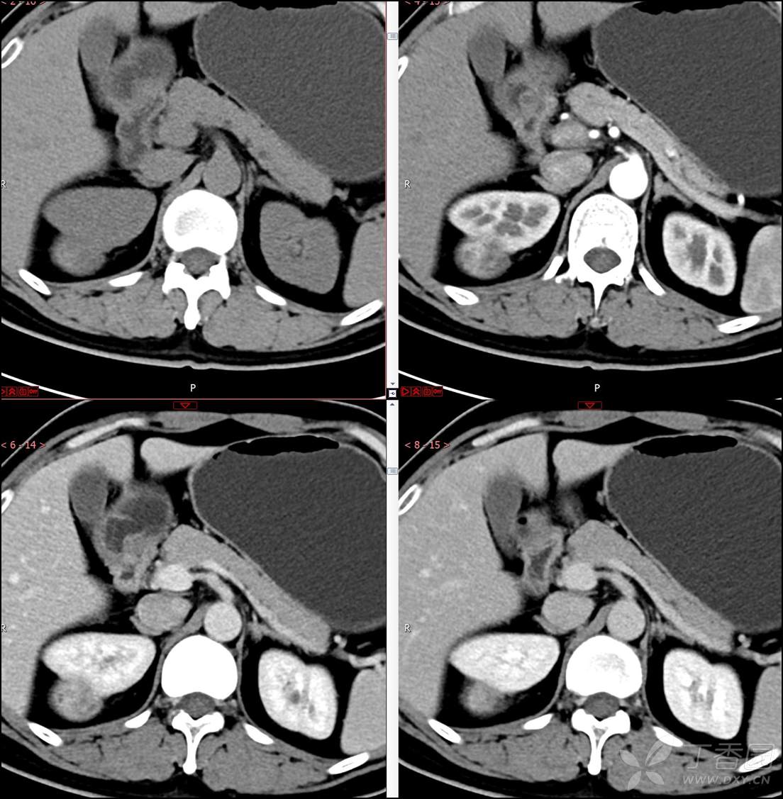
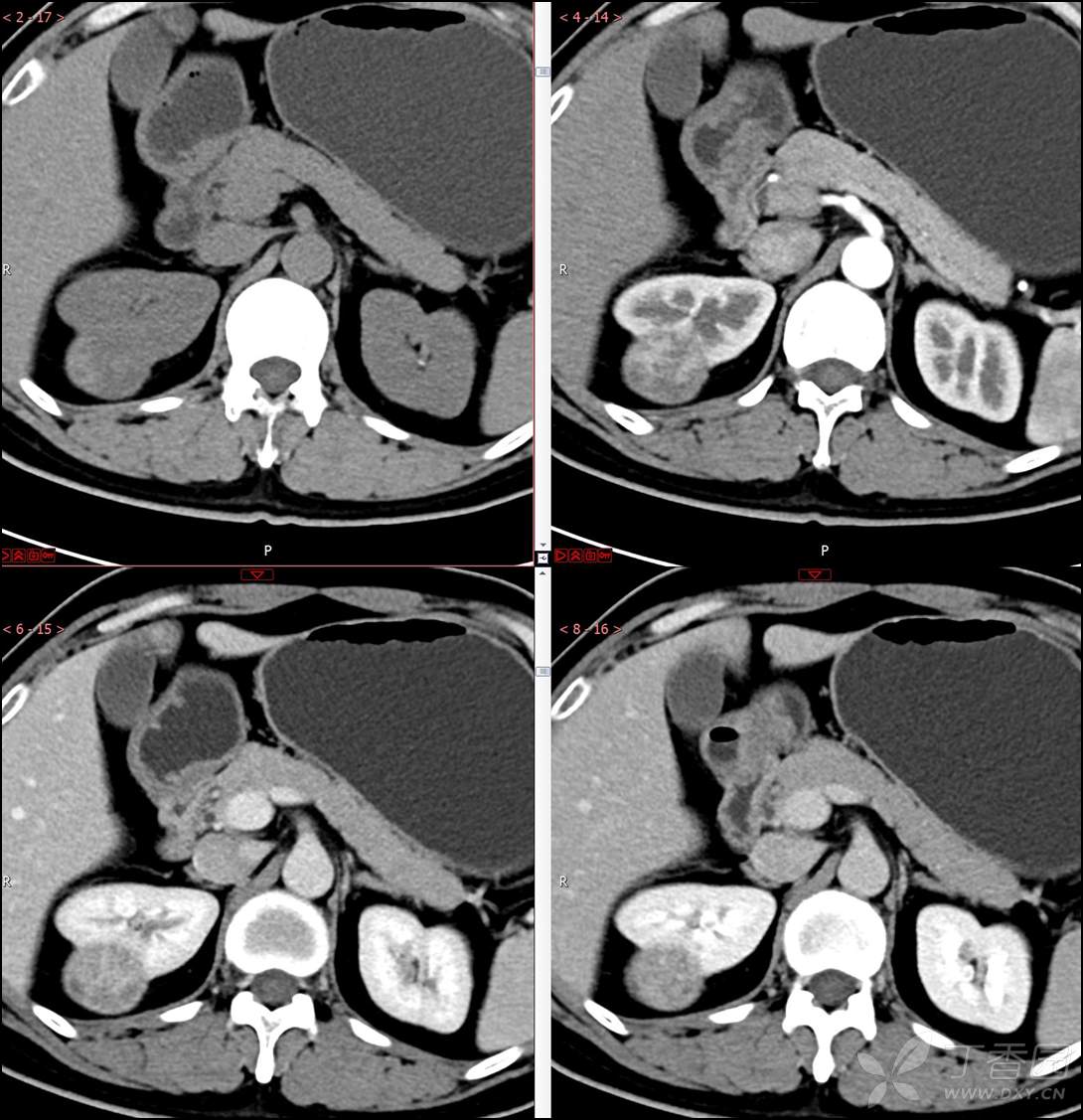
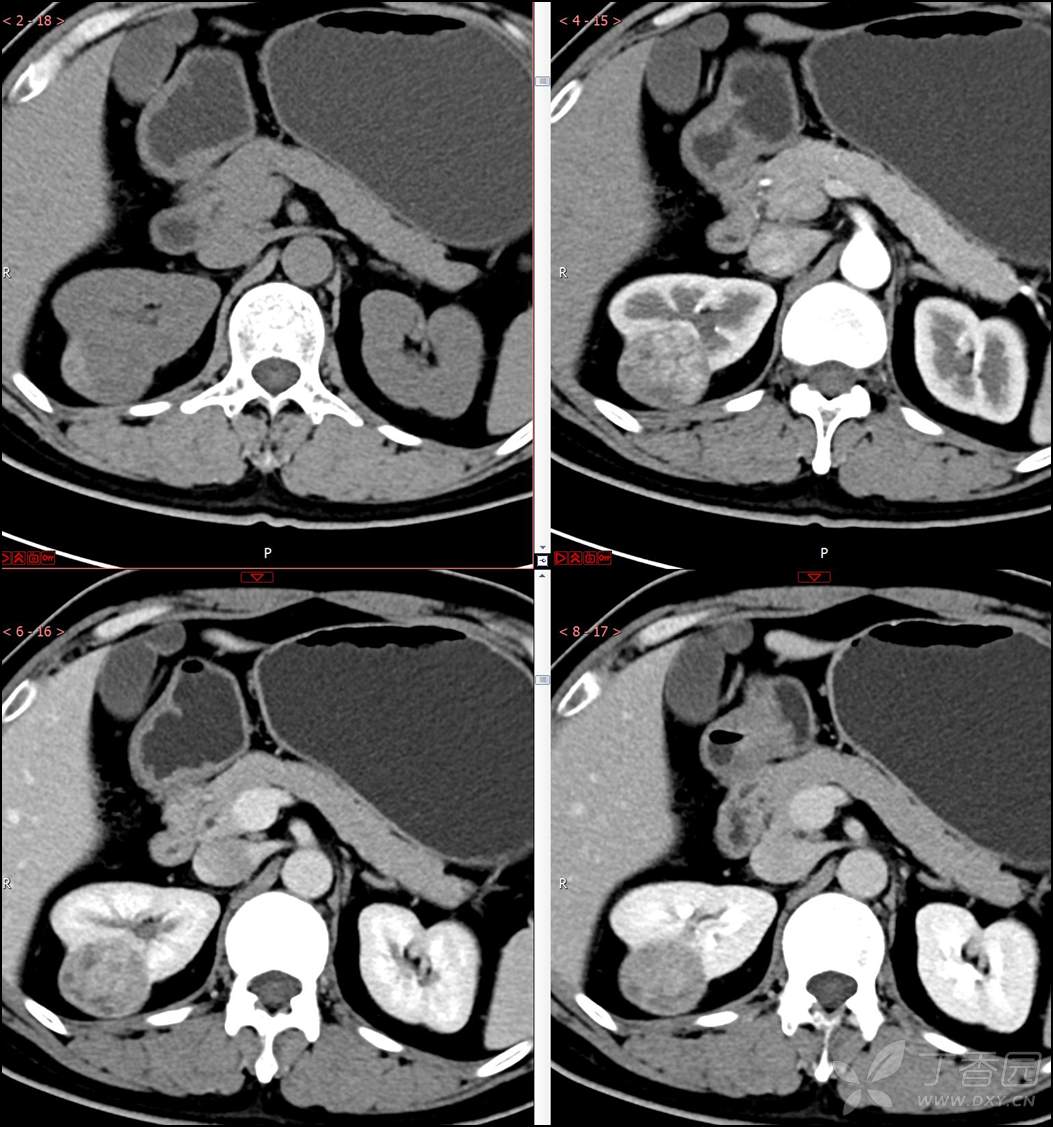
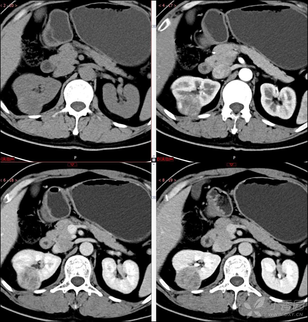
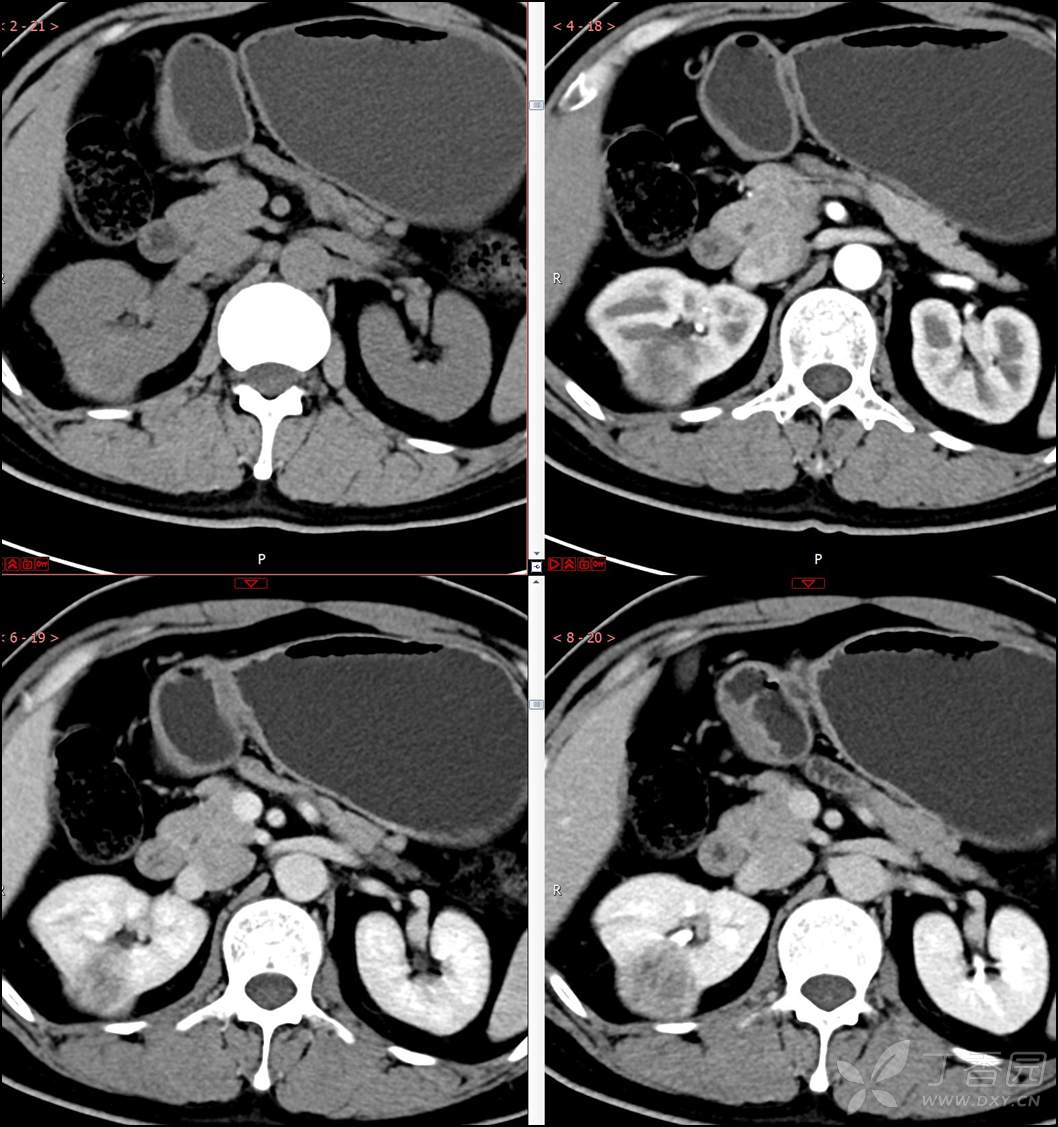
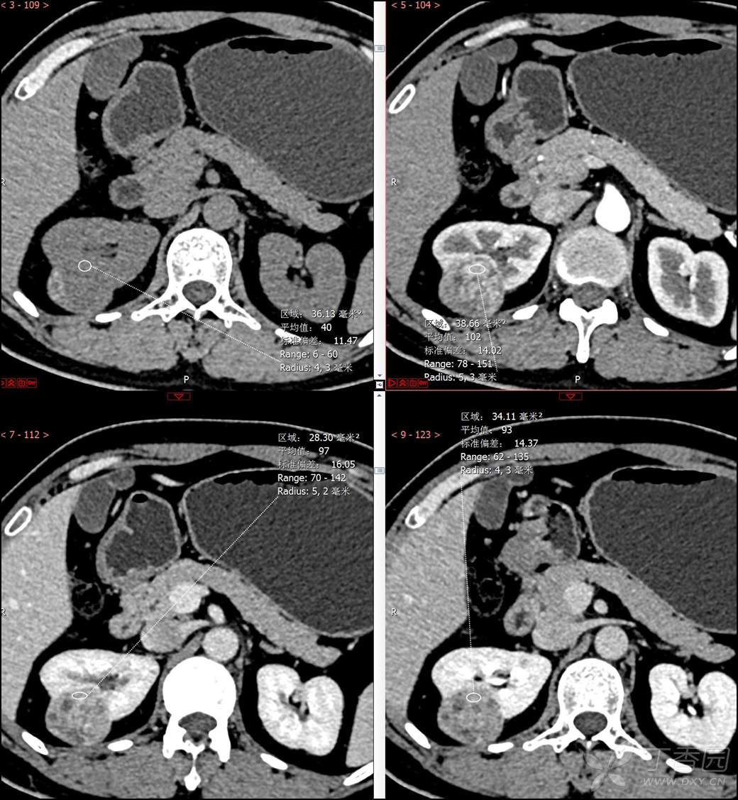
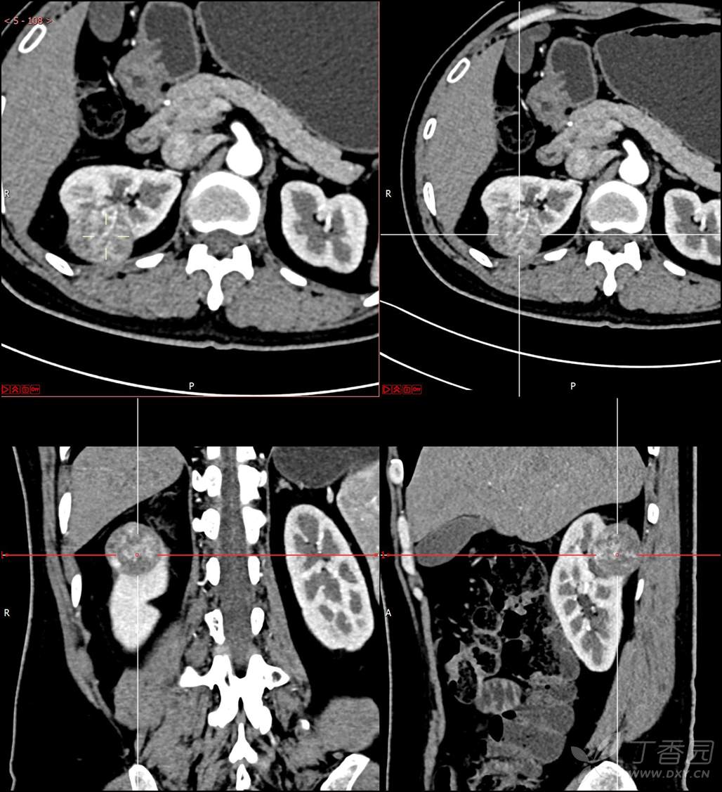
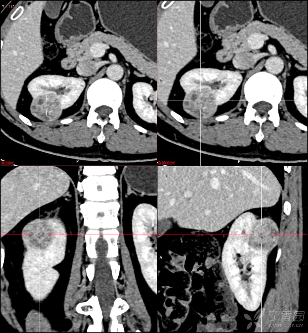
主诉:查体发现右肾肿物2月余
简要病史:患者2月余前于我院行健康查体,胸部(肺)CT平扫示:右肺中叶结节并右侧阻塞性肺炎;左肺上叶小结节;右肾占位。自诉无腰背部疼痛不适,无尿频、尿急、尿痛,无肉眼血尿,无恶心呕吐,无心悸、胸闷,无发热、寒战等不适,建议进一步检查。现患者为求进一步诊治于为我院就诊,建议手术治疗,门诊遂以“肾肿物(右)”收入院。患者自发病以来神志清,精神可,饮食可,睡眠欠佳,大便正常,体重近期无明显增减。
既往史:既往体健


























































