规培和研究生教学片:鞍旁占位,脑膜瘤 VS 侵袭性垂体瘤---结果公布~
胡志勇HZY 达人已点赞病例信息
性别:男
年龄:56岁
主诉:间断性头晕头痛半年余
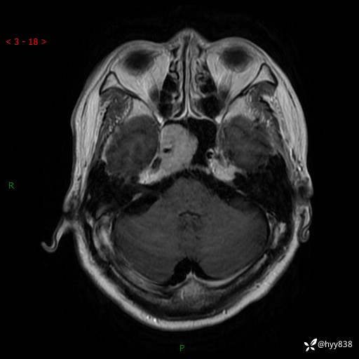
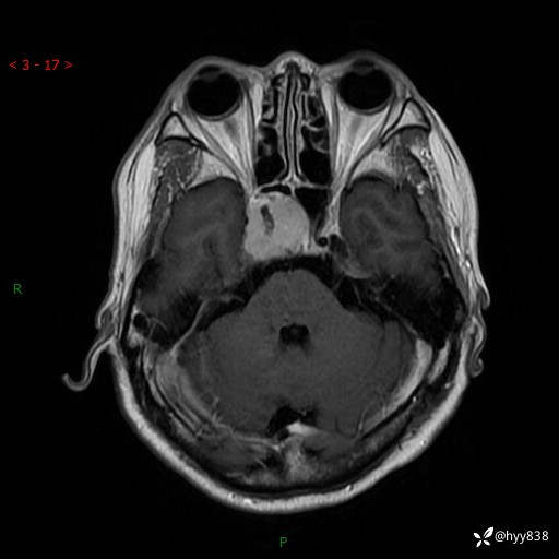
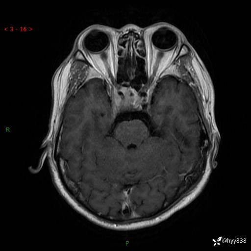
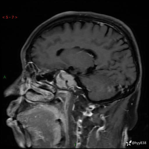
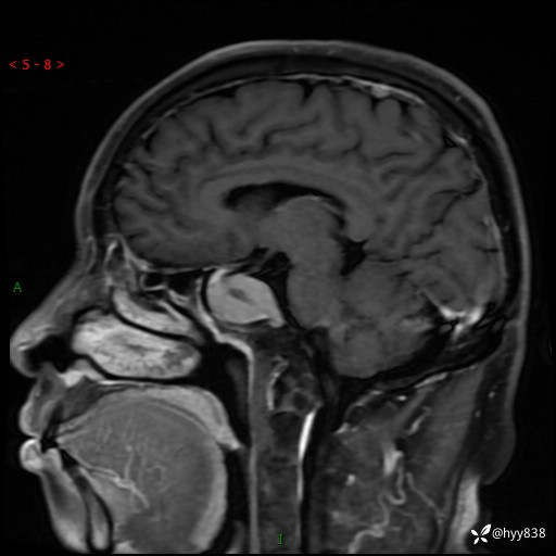
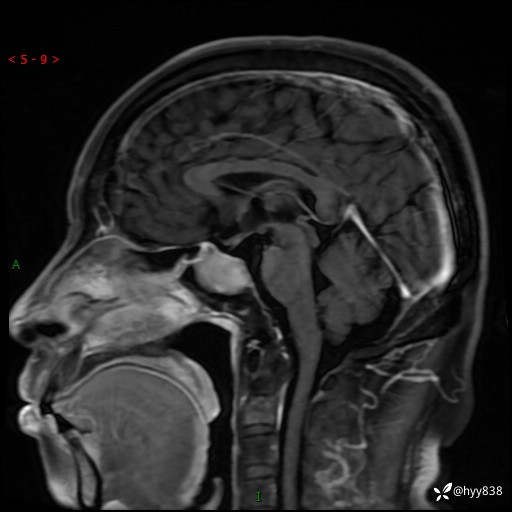
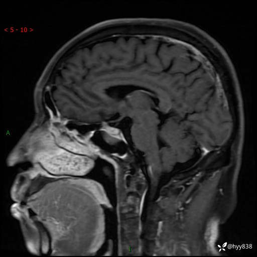
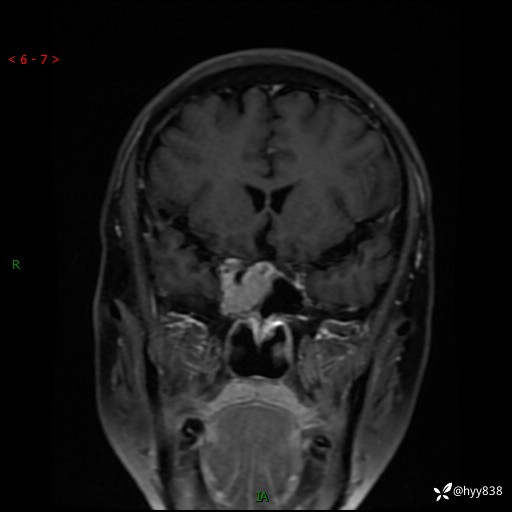
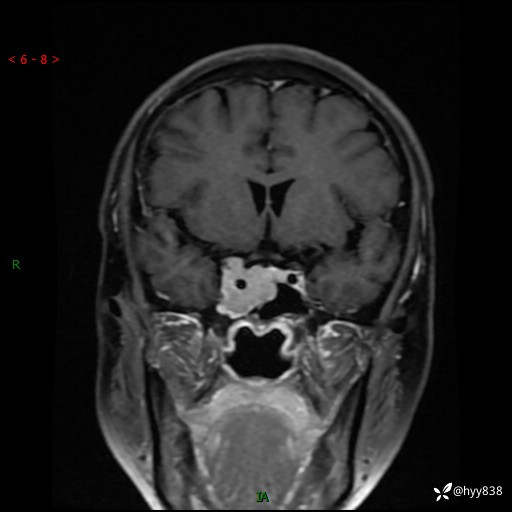
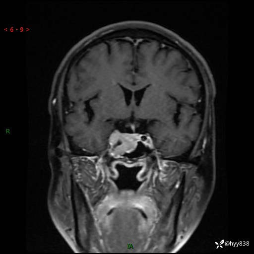
现病史:患者半年前无明显诱因出现头痛头痛,呈间断性发作,无复视,无斜视,无头痛头晕,无呕心呕吐,无肢体乏力,无发作性肢体抽搐,无意识改变,无尿量增多,无体毛脱落,无色素沉着,无体重下降,无面容改变,无肢端粗大等,2024-03-26日至当地中医院住院治疗后予以对症处理(具体不详),未见明显缓解,行头颅MRI平扫检查示:“右侧蝶鞍占位,双侧上颌窦炎,双侧下鼻甲肥大,鼻中隔偏曲”,今患者为求进一步诊治来我院,门诊遂以“右侧蝶鞍占位”收住我科。 起病以来,患者精神饮食睡眠可,大小便正常。
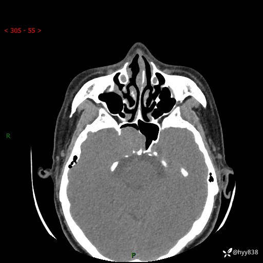
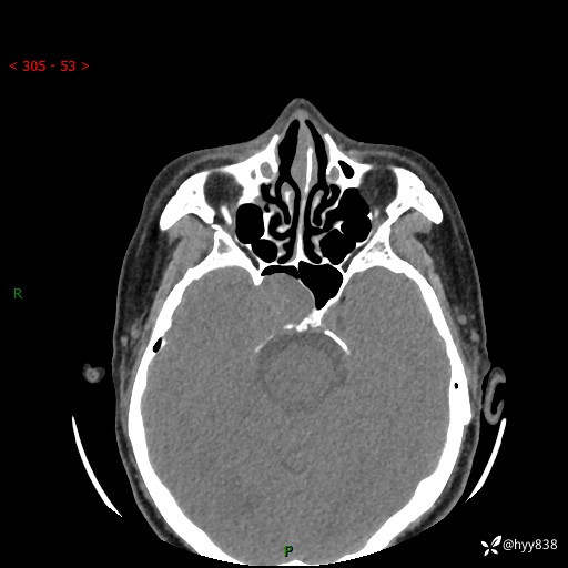
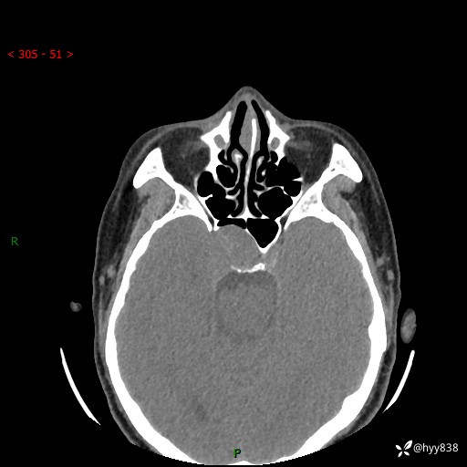
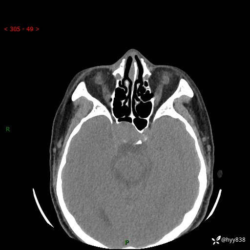
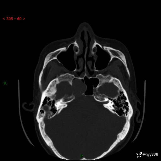
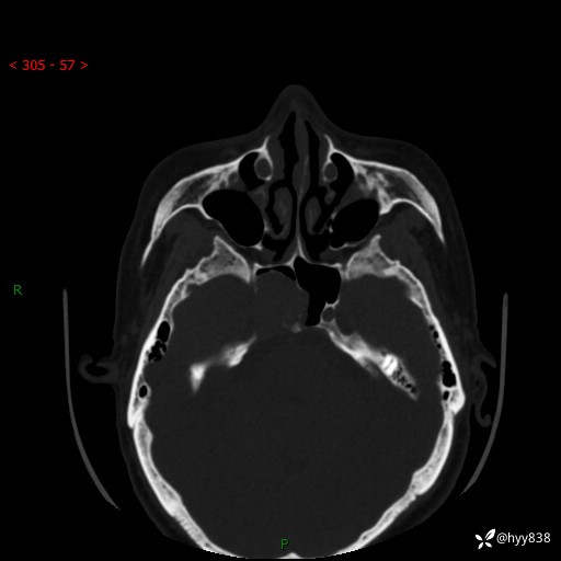
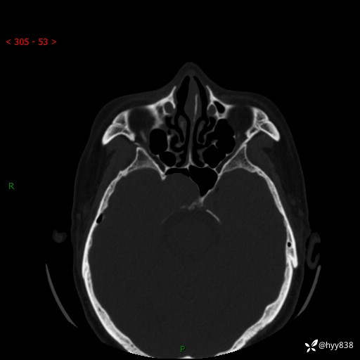
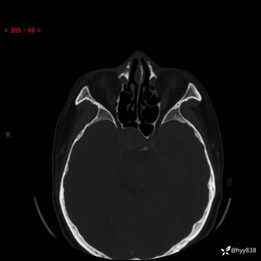
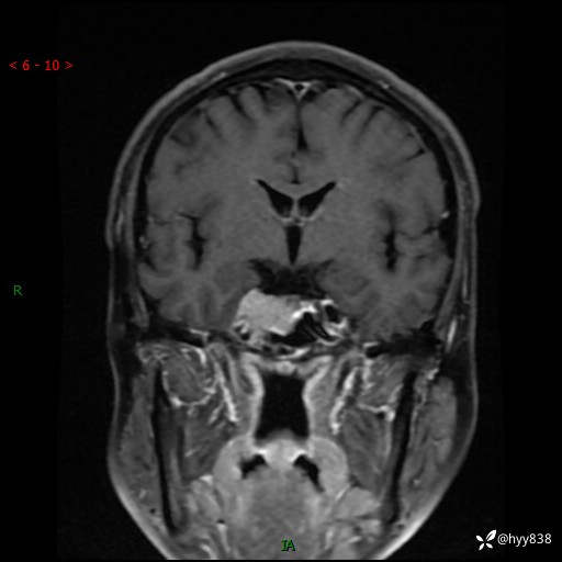
蝶鞍CT平扫












MRI增强(外院平扫)


























































