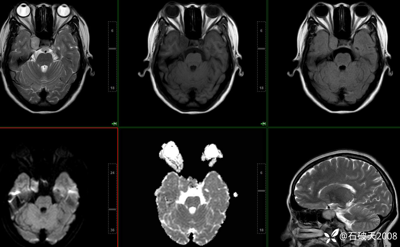
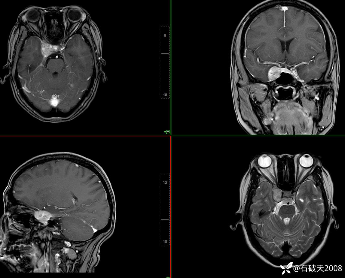
鞍旁占位,相信讨论区会有两种判断(病理已公布)
胡志勇HZY 达人已点赞女 48岁 主 诉:头晕、右眼复视1月余。
现病史:患者1月前无明显诱因出头晕、右眼视物复视、重影;向右侧视物时明显,余方向及左眼视物无特殊不适,头晕为非旋转性,不伴随体位变化;无恶心、呕吐、胸闷、肢体言语活动不利症状;为行系统治疗来院门诊“颅内占位性病变”收住院。发病来患者神志清,精神差,饮食睡眠可,大小便正常,体重无下降。
“高血压病3级 很高危”20年余,血压最高时达230/110mmHg,平素服药硝苯地平片、珍菊降压片,控制在150-160/90mmHg。
平扫

增强

















































