病例分享:颈部占位,一周后公布病理
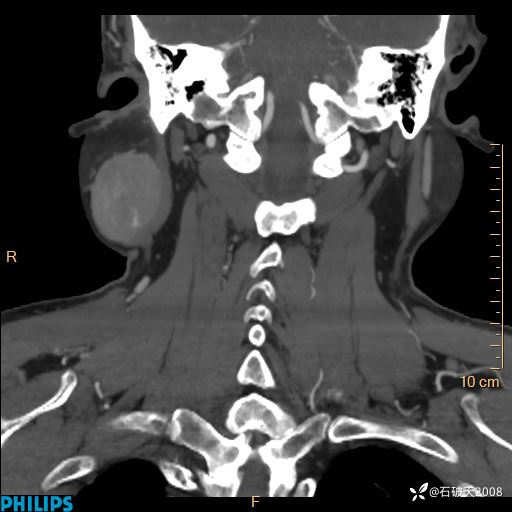
男 57岁 主 诉:发现右侧颌下肿物1月余。
现病史:1月余前家属发现右侧颌下肿物。局部皮肤无红肿、热痛,无吞咽困难,无异物感,无恶心、呕吐,无头痛、头晕,无胸闷、胸痛,无发热、咳嗽、咳痰及呼吸困难。于我院行体表肿块彩超检查(2024.03.15我院)示:右侧耳下皮下软组织内低回声,未治疗。今为进一步治疗门诊以“腮腺肿瘤”为诊断收住我科,发病来患者神志清,精神可,饮食、睡眠及大小便正常,体重无明显下降。
个人史:生于原籍,无外地长期居住史,无疫区居留史,生活规律,无重大精神创伤史,无毒物长期接触史。吸烟史30年,每日20支,未戒烟,无饮酒史。
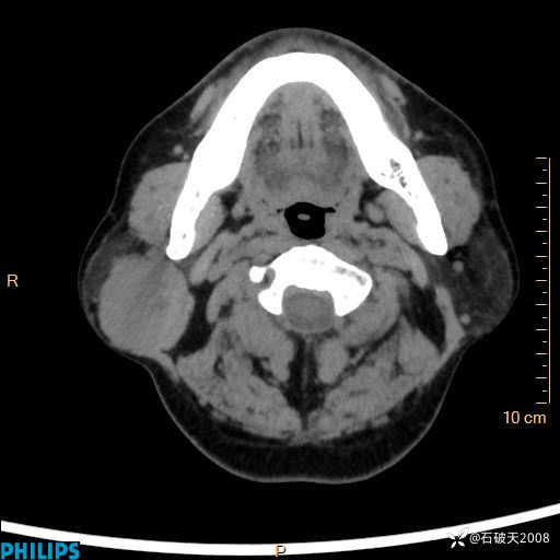
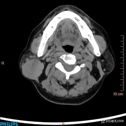
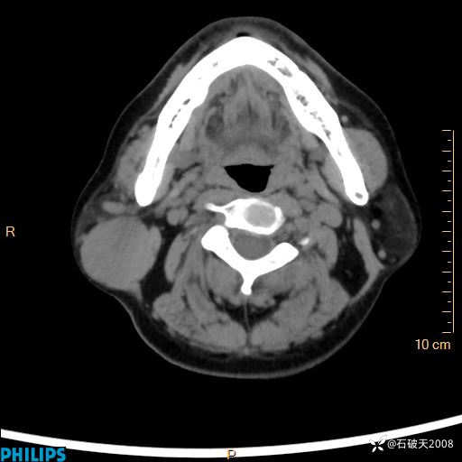
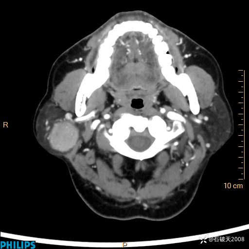
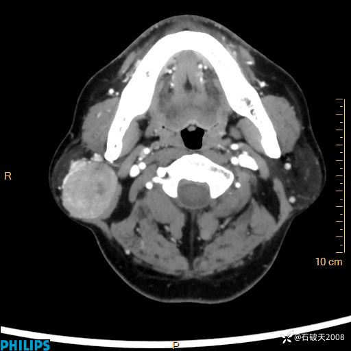
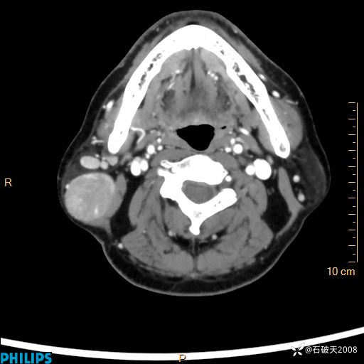
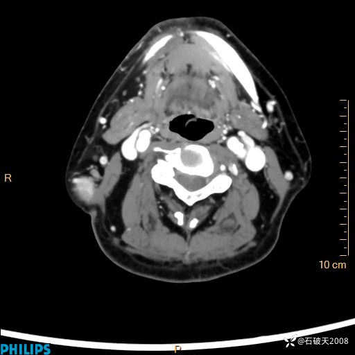
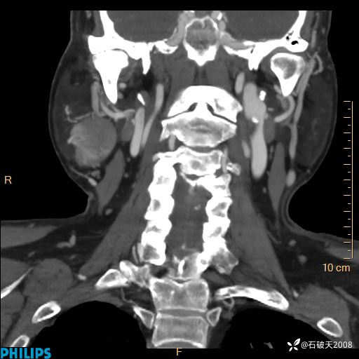
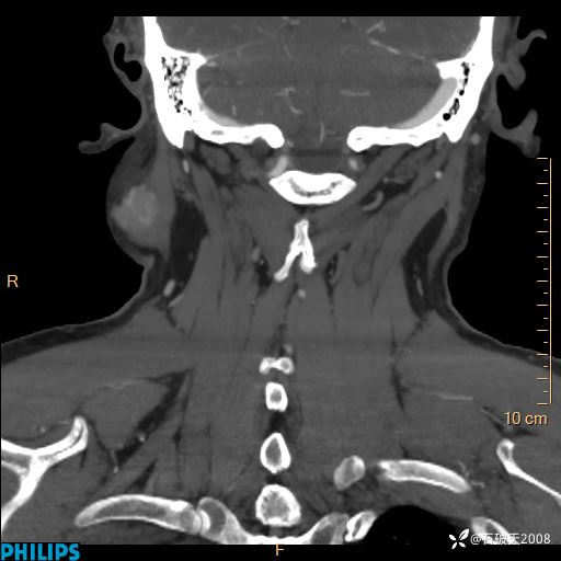
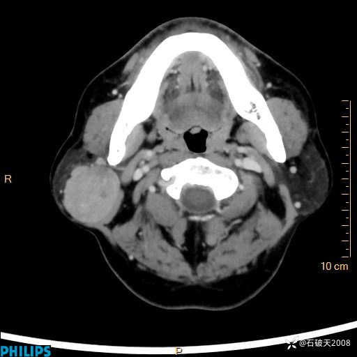
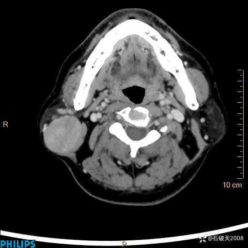
平扫



















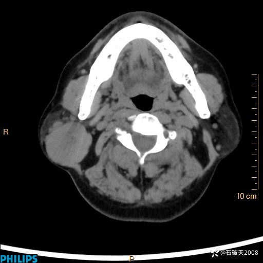
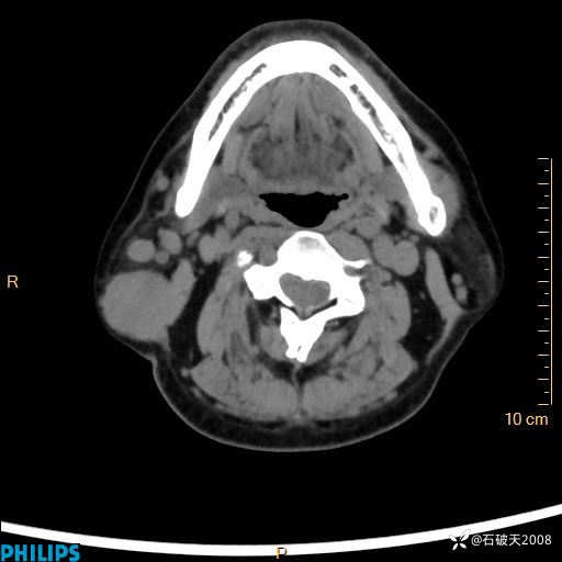
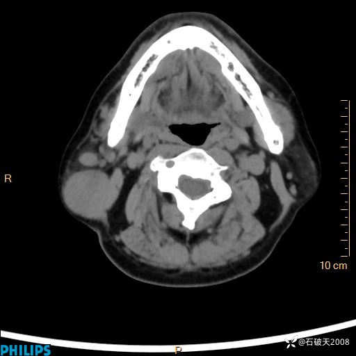
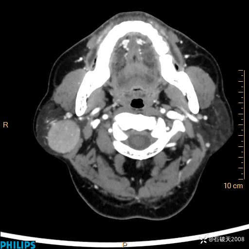
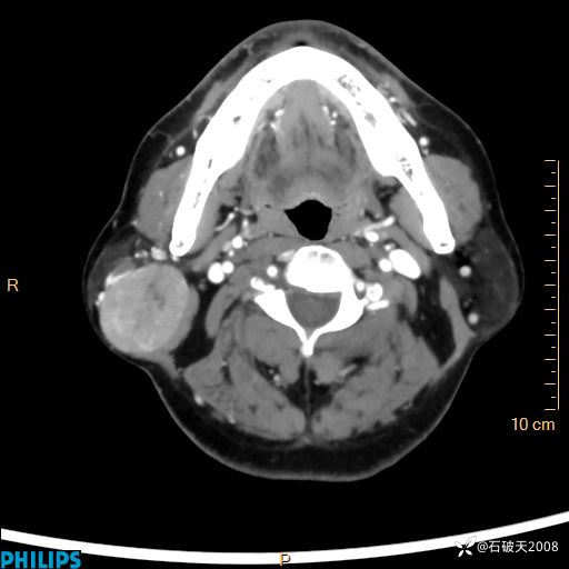
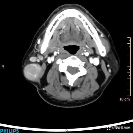
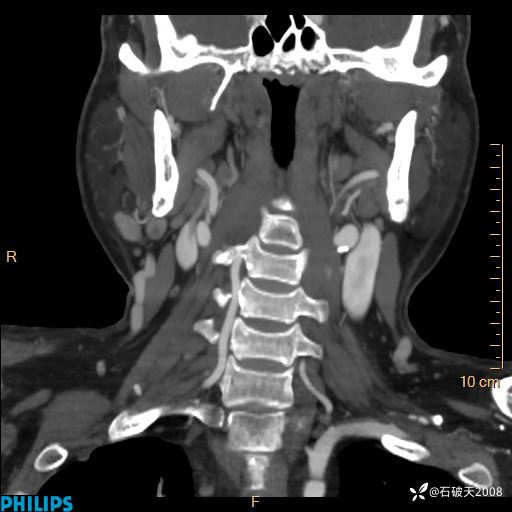
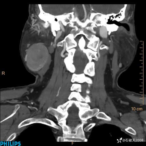
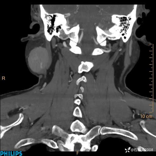
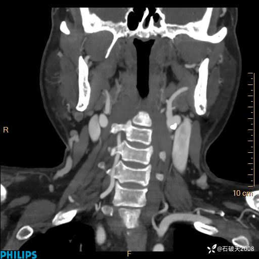
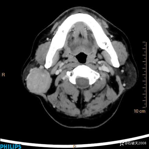
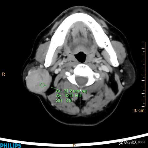
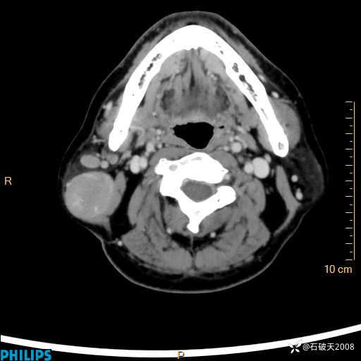
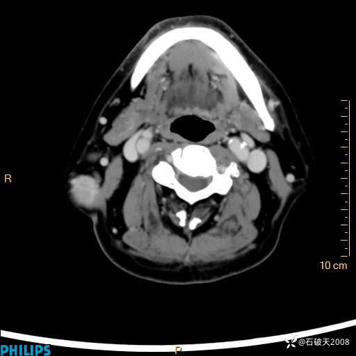
动脉期



















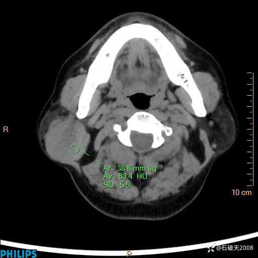
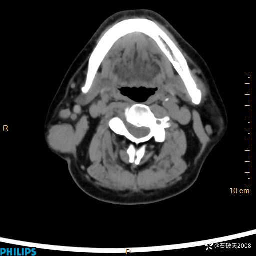
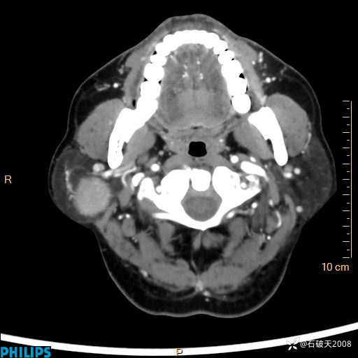
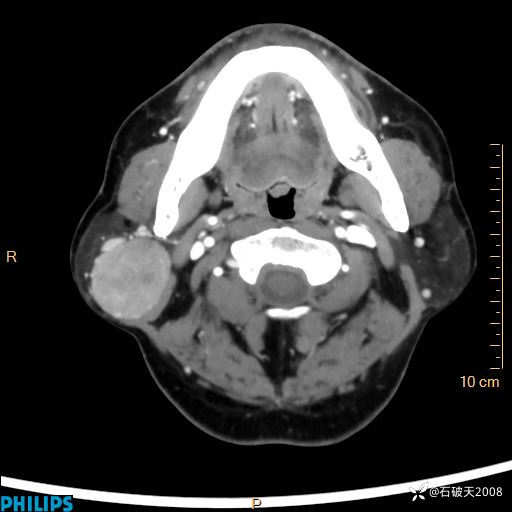
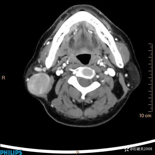
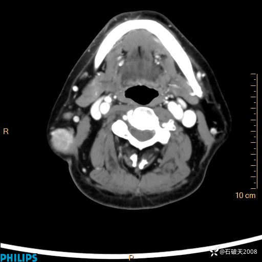
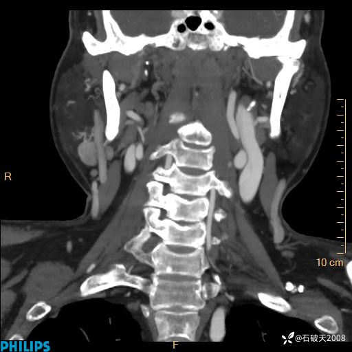
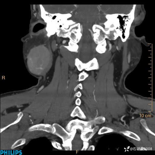
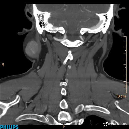
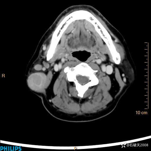
MIP




















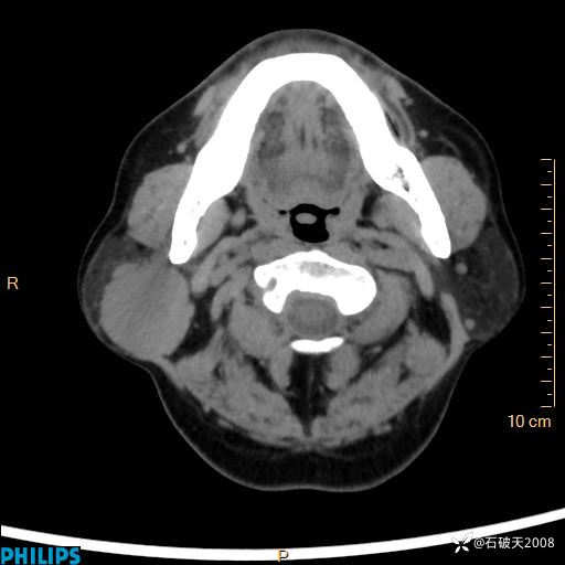
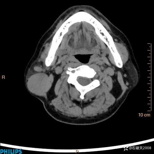
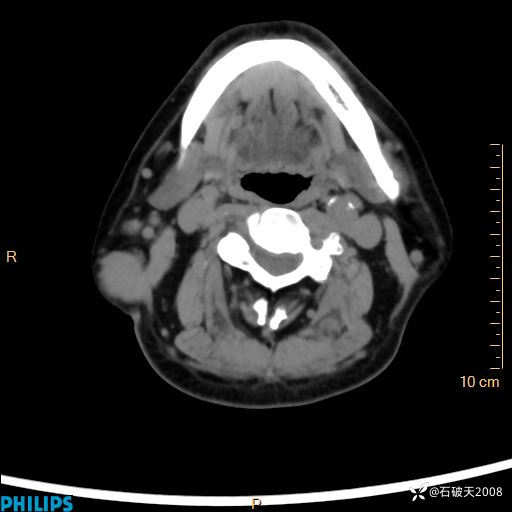
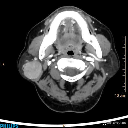
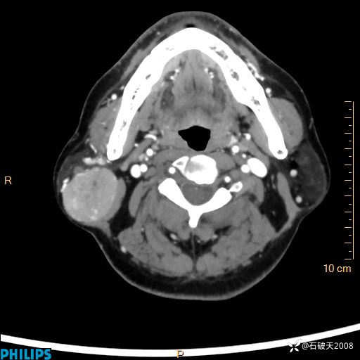
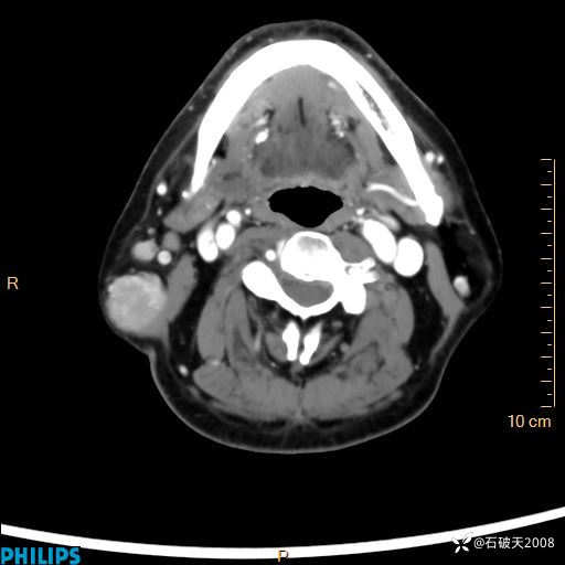
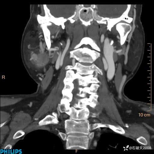
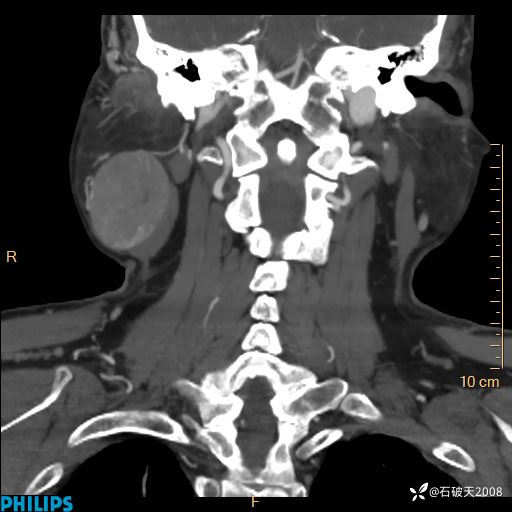
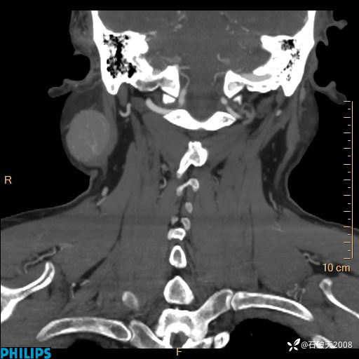
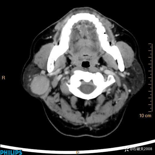
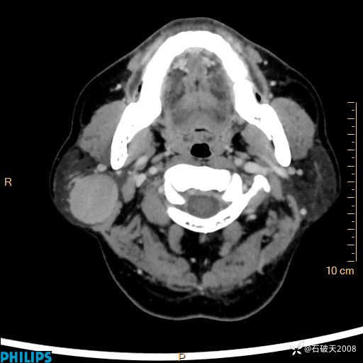
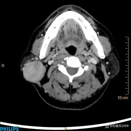
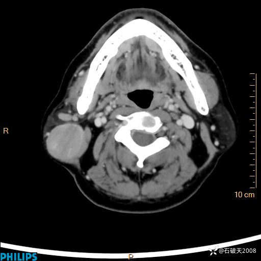
静脉期




































































