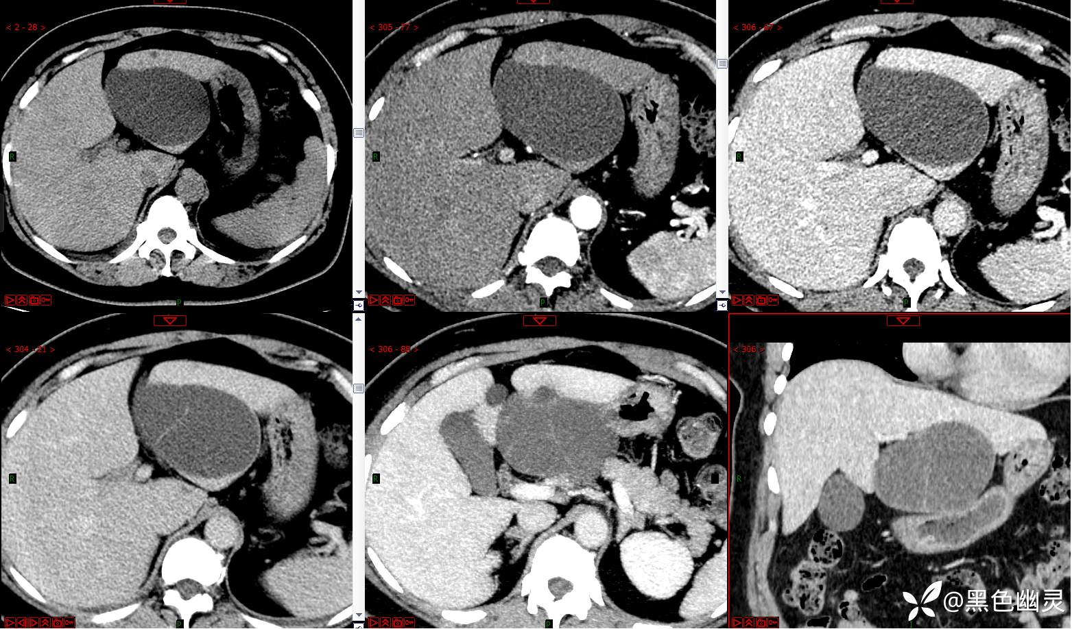
病例|肝脏占位,有病理。
胡志勇HZY 达人已点赞病例信息
患者,女,51岁,患者于3日前在我院体检行全腹部CT检查见肝脏多发囊肿,病程中患者无不适症状,未行治疗。现为进一步手术治疗入我院门诊,我科拟行“肝囊肿”收入院。病程中无咳嗽,咳痰,胸闷,气喘,头晕等不适,发病以来食量尚可,二便未见异常,体重无明显增减。
主要化验结果:2024-07-29 血常规+Ret:白细胞 7.56(10^9/L),中性粒细胞百分比 74.80(%)↑,中性粒细胞计数 5.65(10^9/L),红细胞 4.66(10^12/L),血红蛋白 129(g/L),血小板计数 295(10^9/L);2024-07-29 葡萄糖测定:葡萄糖 6.1(mmol/L);2024-07-29 肝功能2:谷丙转氨酶 18(U/L),谷草转氨酶 19(U/L),直接胆红素 7.00(μmol/L)↑,间接2024-08-06 血常规:白细胞 9.06(10^9/L),中性粒细胞百分比 68.00(%),中性粒细胞计数 6.16(10^9/L),红细胞 4.84(10^12/L),血红蛋白 130(g/L),血小板计数 291(10^9/L);2024-08-06 肝功能2:谷丙转氨酶 28(U/L),谷草转氨酶 17(U/L),总胆红素 12.00(μmol/L),直接胆红素 5.00(μmol/L),间接胆红素 7.00(μmol/L),白蛋白 41.0(g/L);胆红素 9.00(μmol/L),白蛋白 48.6(g/L)↑;2024-07-29 肾功能1:尿素 7.2(mmol/L),肌酐 54.6(μmol/L)。
















































