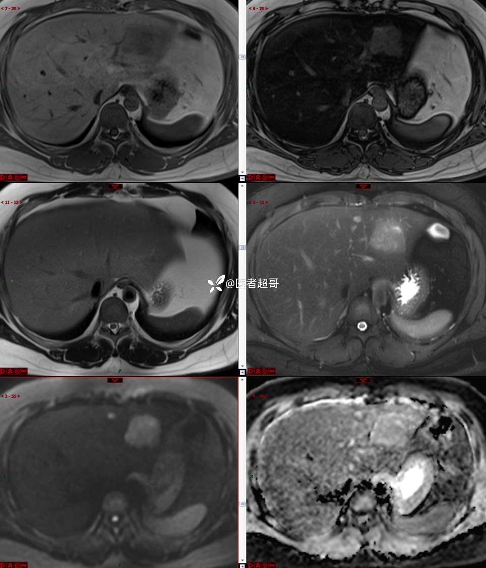
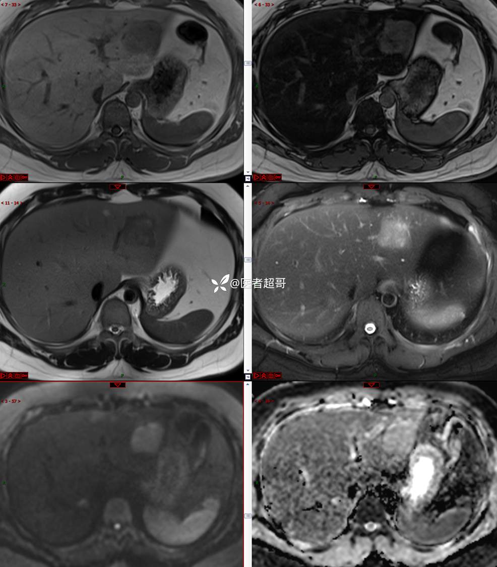
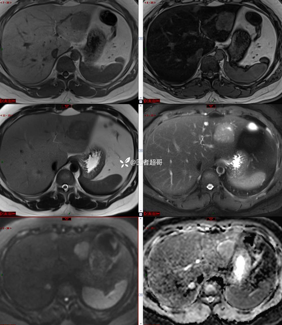
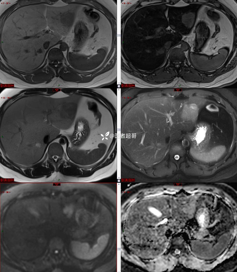
【影诊笔记800】青年男性,肝脏占位,特殊对比剂提示富血供,您能想到啥?有结果!
男,31y
主 诉:发现肝占位性病变5天。
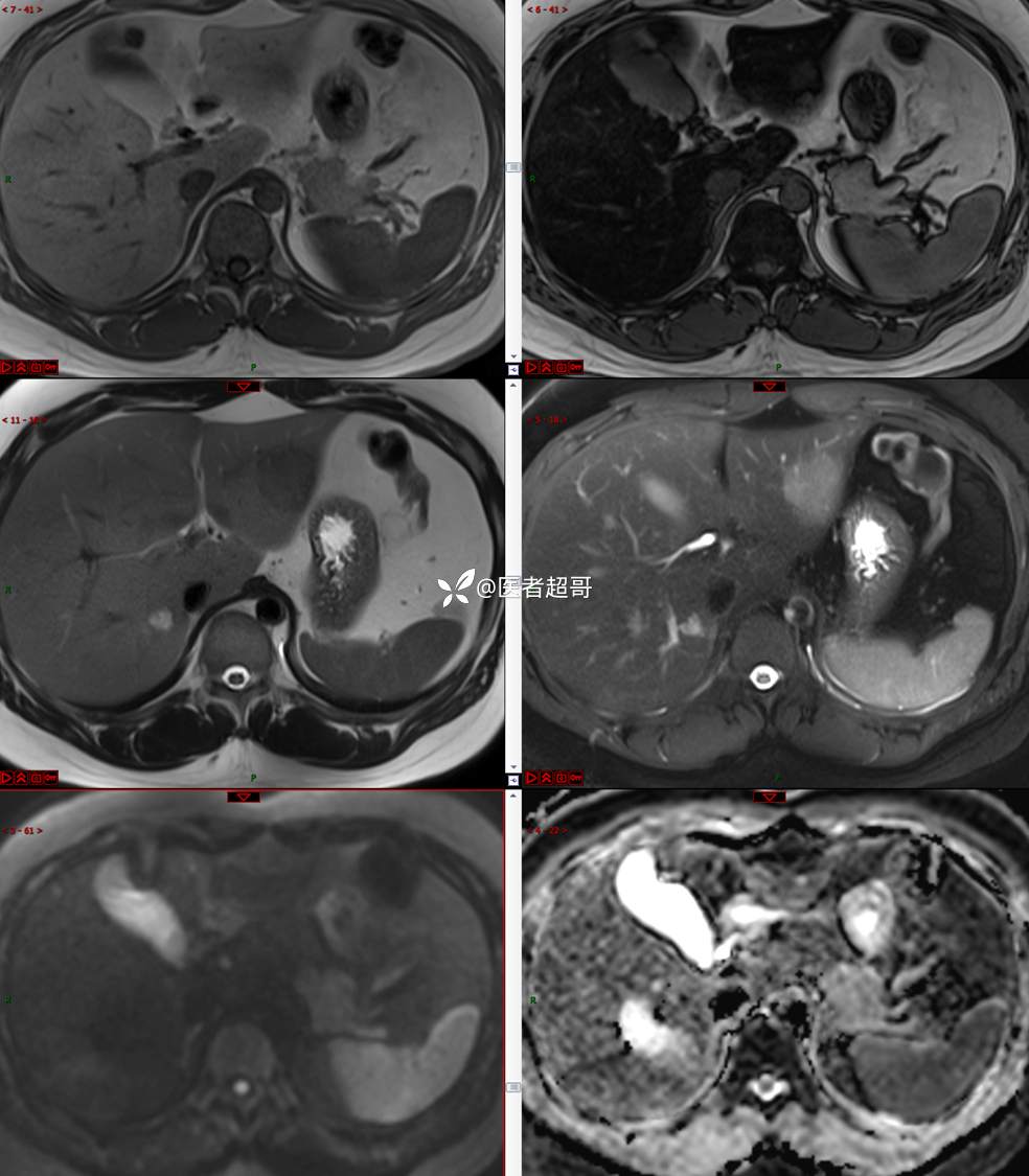
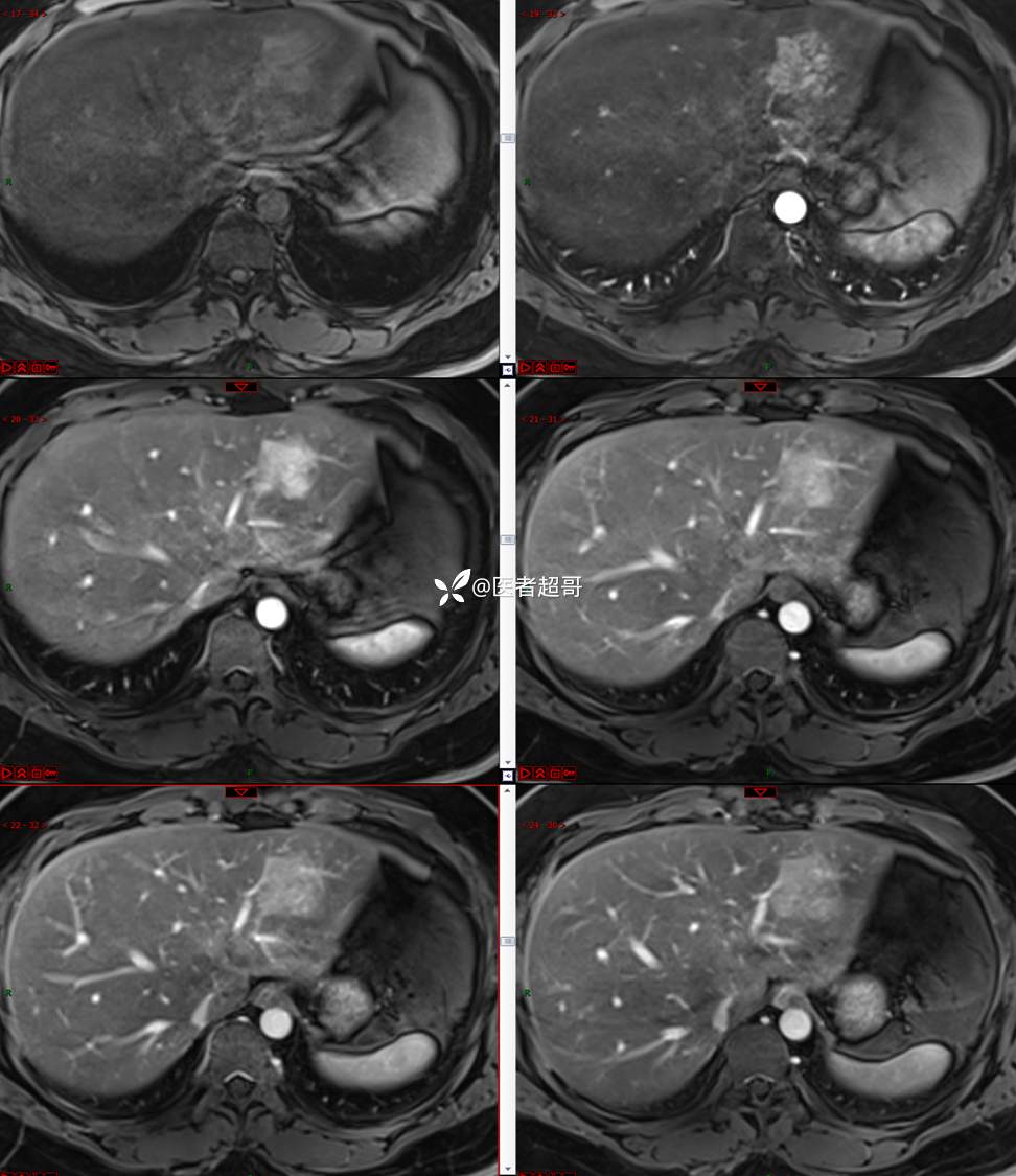
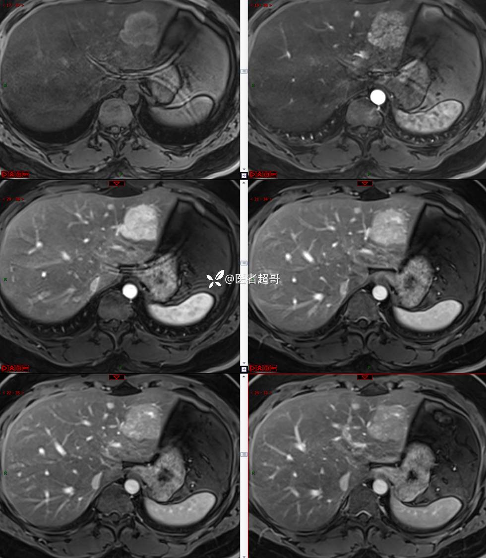
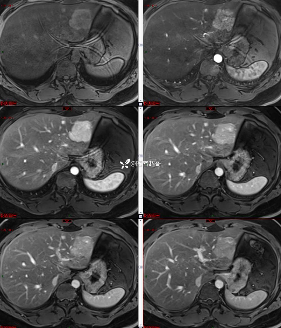
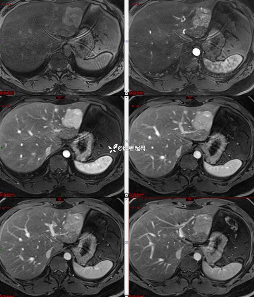
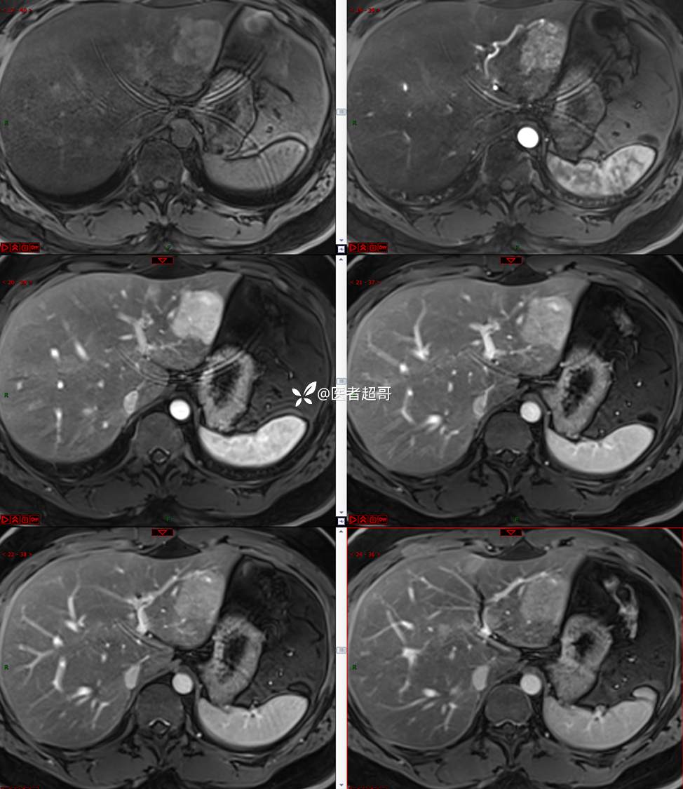
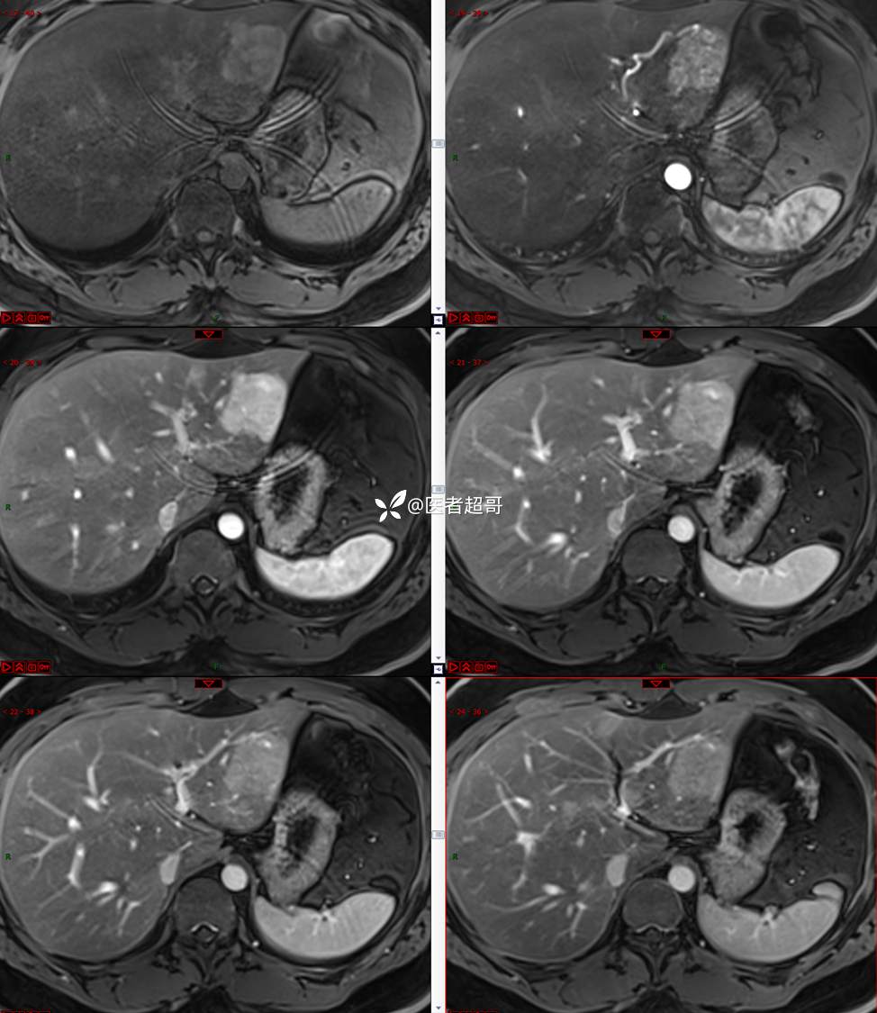
现病史:患者缘于5天前体检时发现肝占位性病变,未予以特殊处置。现患者为求系统诊治就诊于我院,行普美显提示:肝左叶富血供占位,请结合临床及其他检查,肝多发血管瘤,脂肪肝,肝囊肿,请结合临床。门诊以“肝占位性病变”收入我科。病程中,饮食睡眠可,二便可,近期体重未见明显变化。
个人史:生于原籍,否认冶游史,无职业及毒物暴露史,有嗜烟,约10年,平均15支/日。未戒烟。无嗜酒。无药物嗜好。
余无特殊。






























































