dxy logo
首页丁香园病例库全部版块
搜索
登录

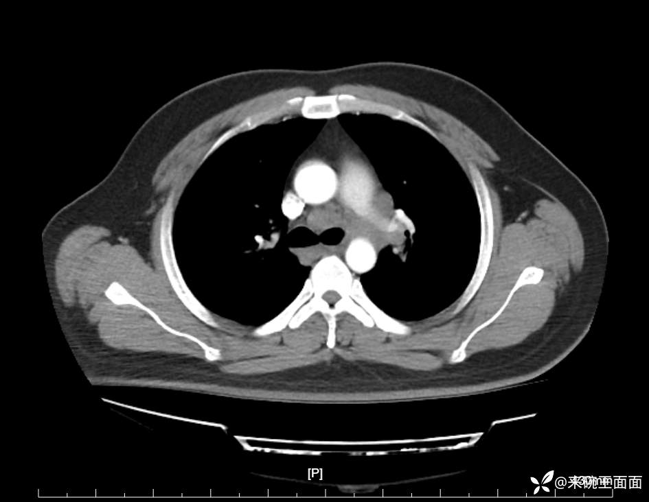
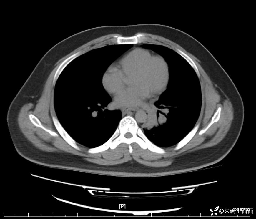
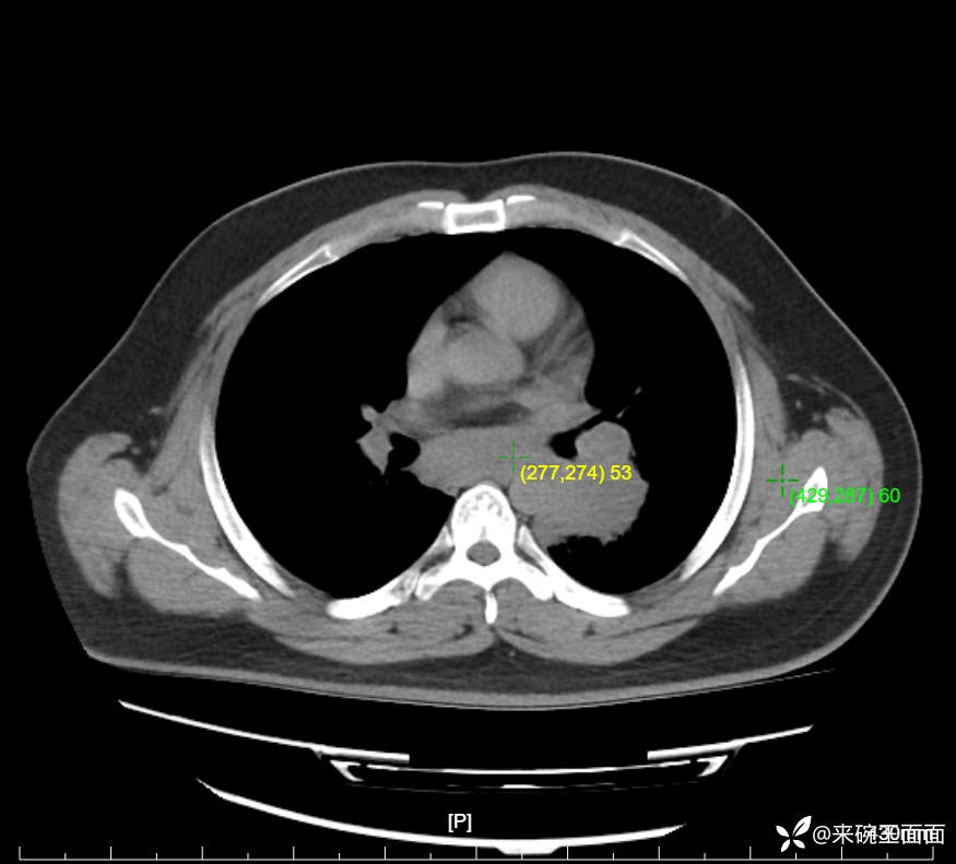
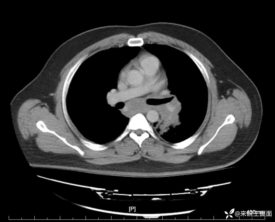
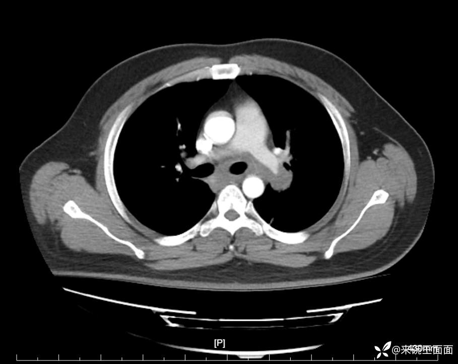
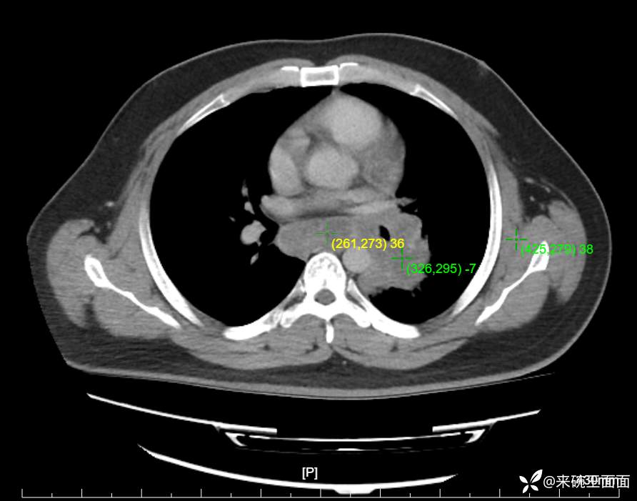
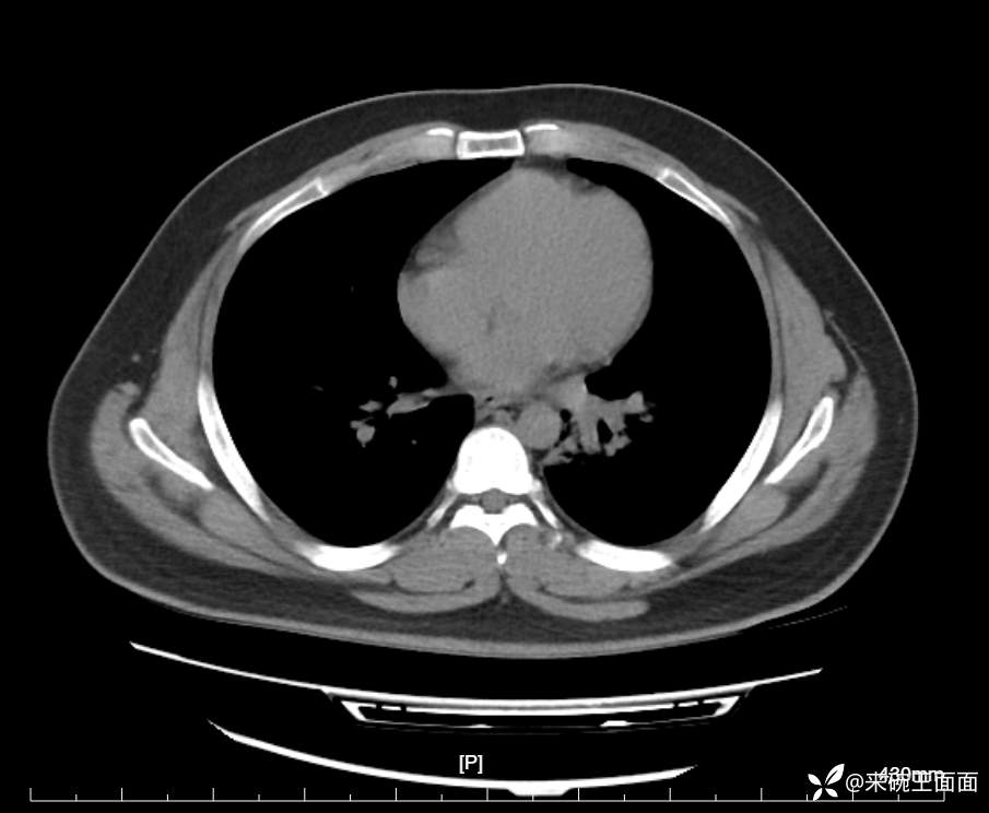
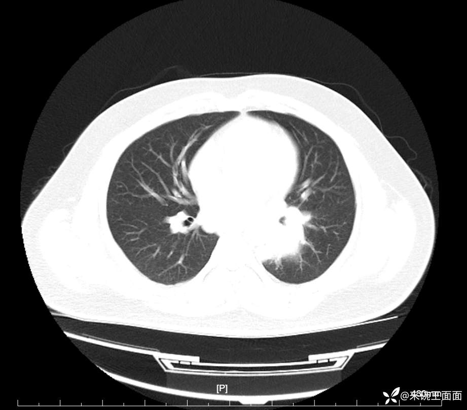
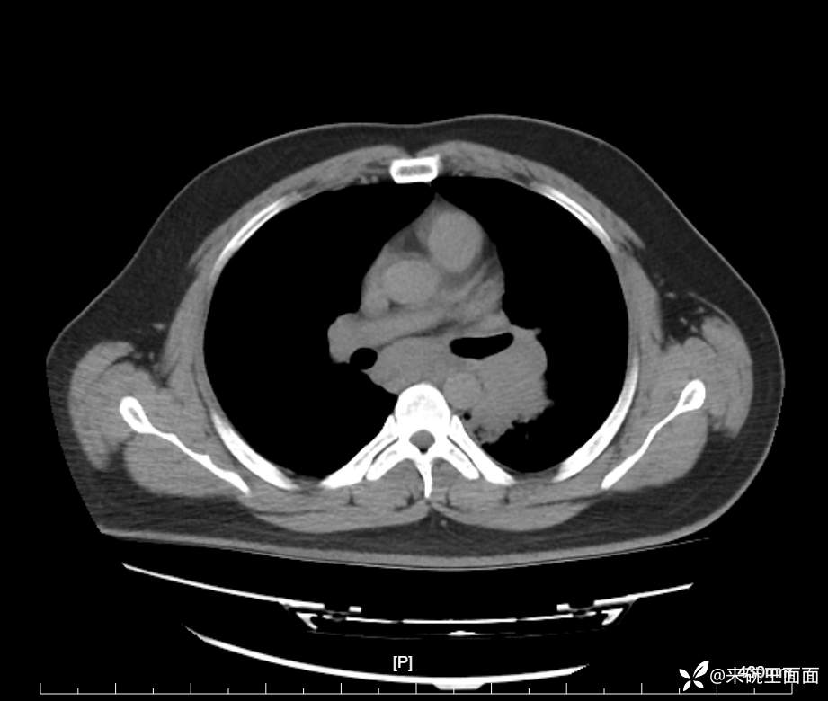
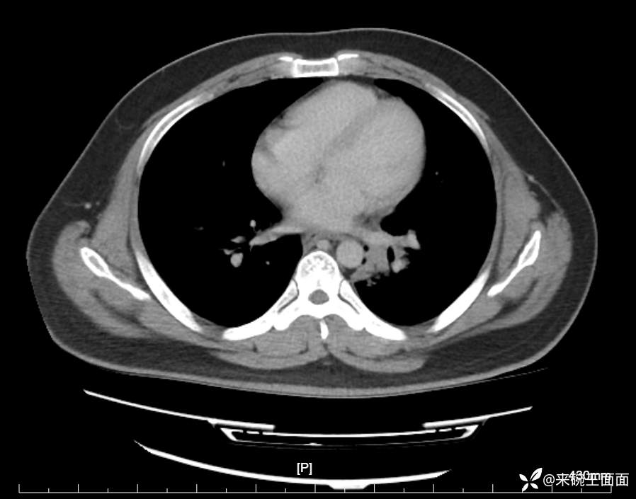
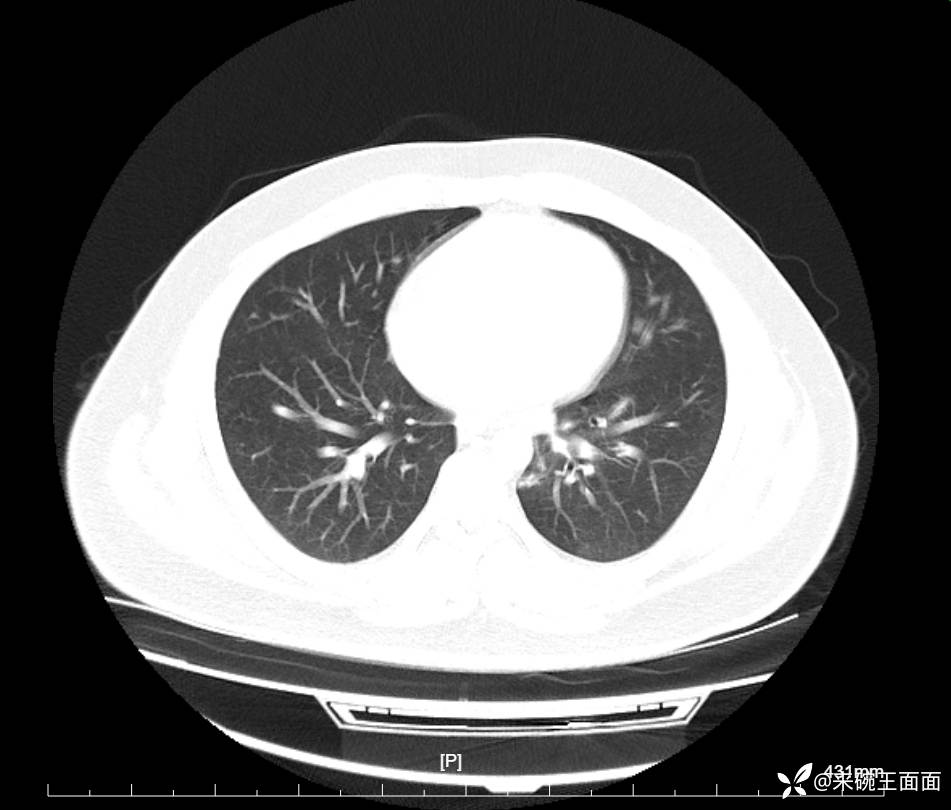
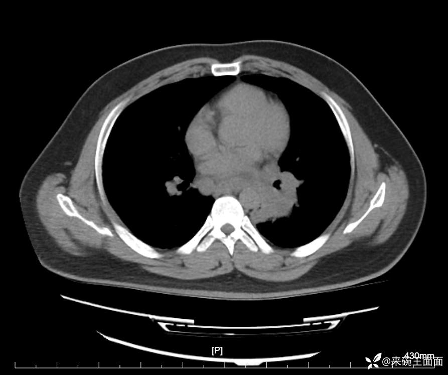
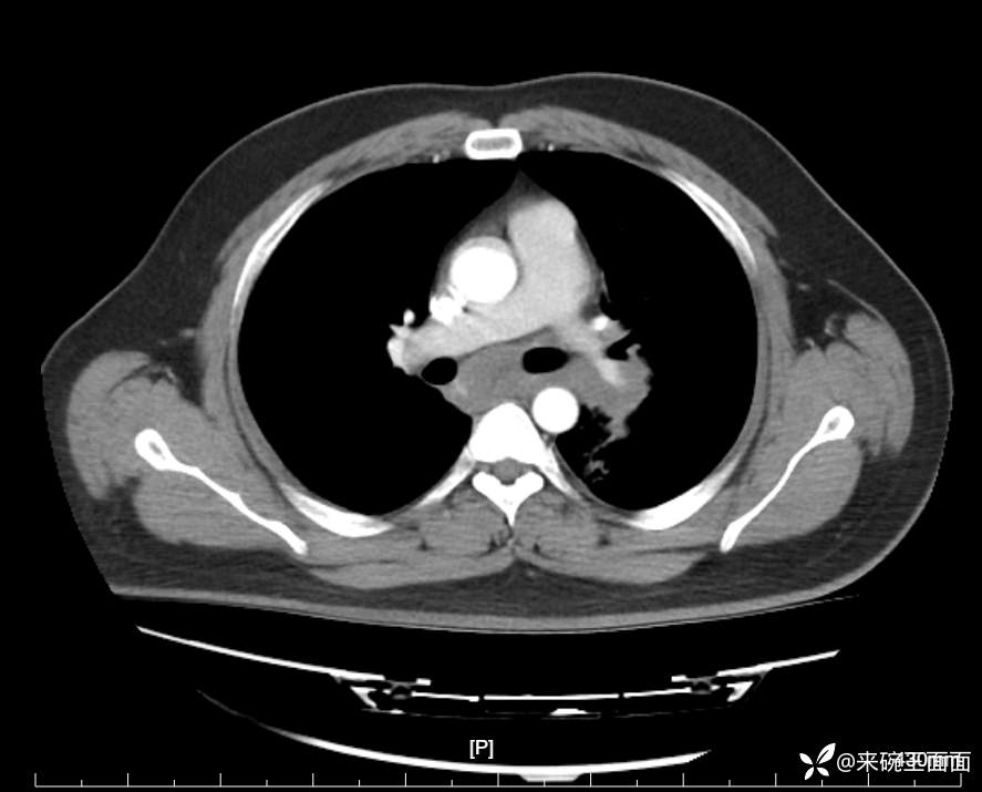
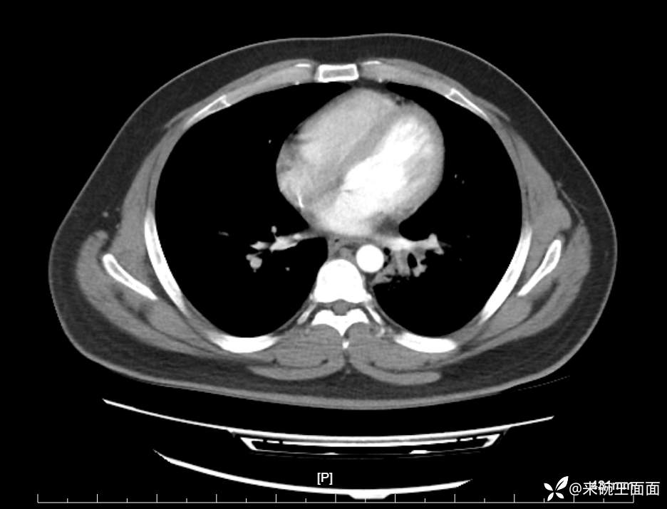
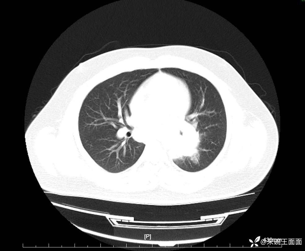
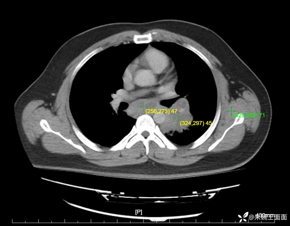
病例27岁青年男性肺门占位,结果竟然是TA?

医学影像学医学生 · 发布于 2024-06-29 · IP 山东山东
9679 浏览
iconbelb咏歌 等 3 位达人已点赞
这个帖子发布于 1 年零 147 天前,其中的信息可能已发生改变或有所发展。

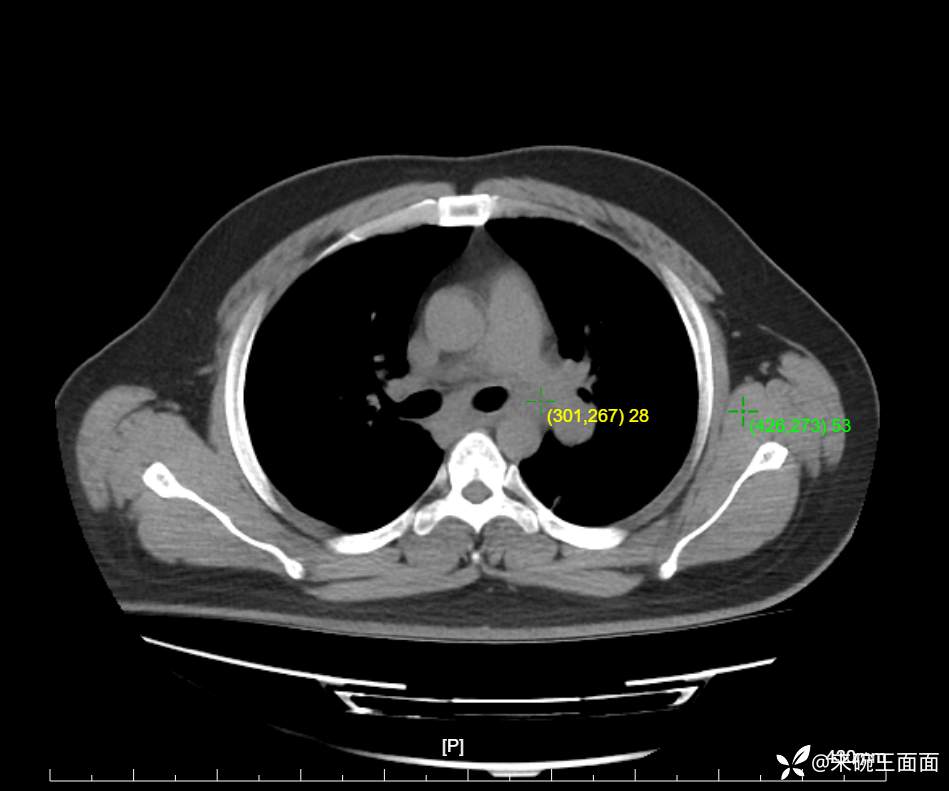
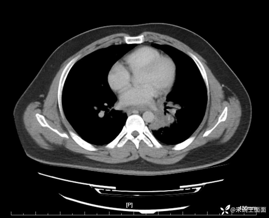
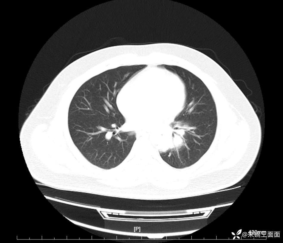
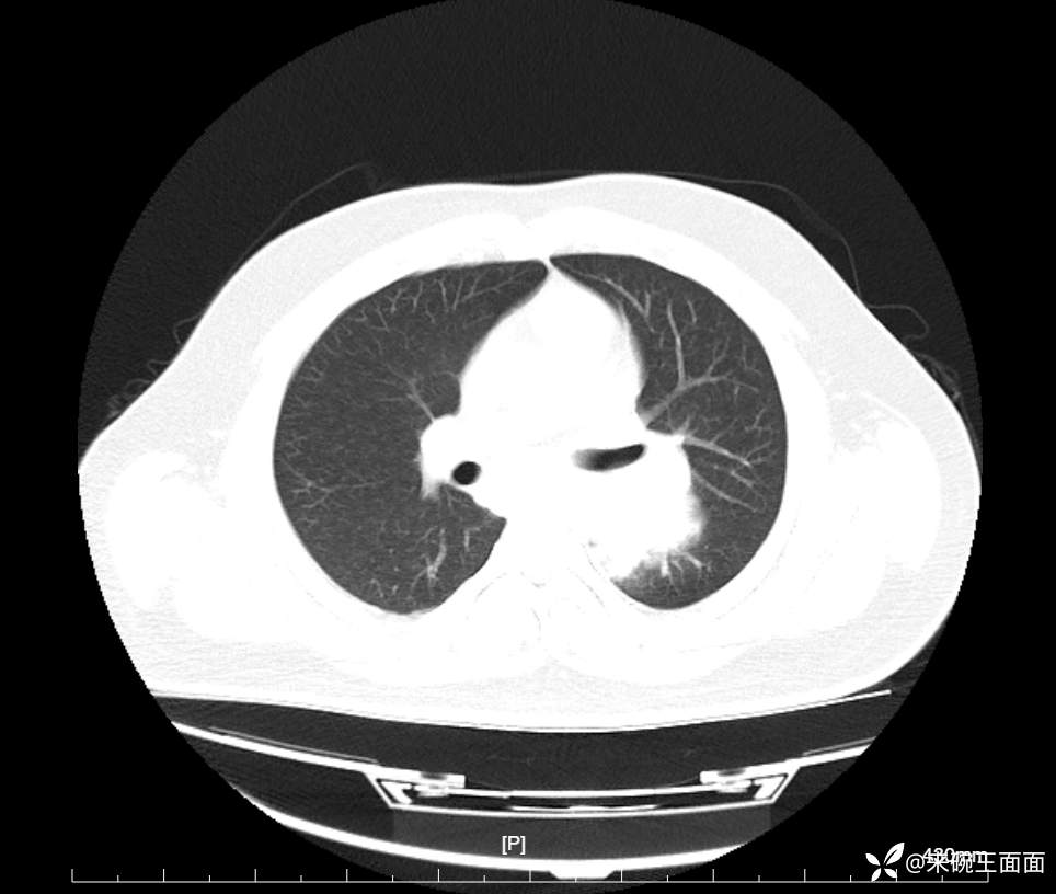
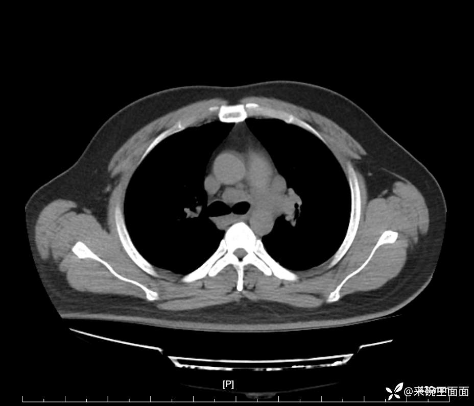
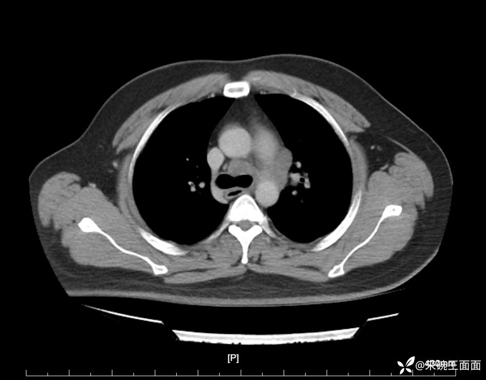
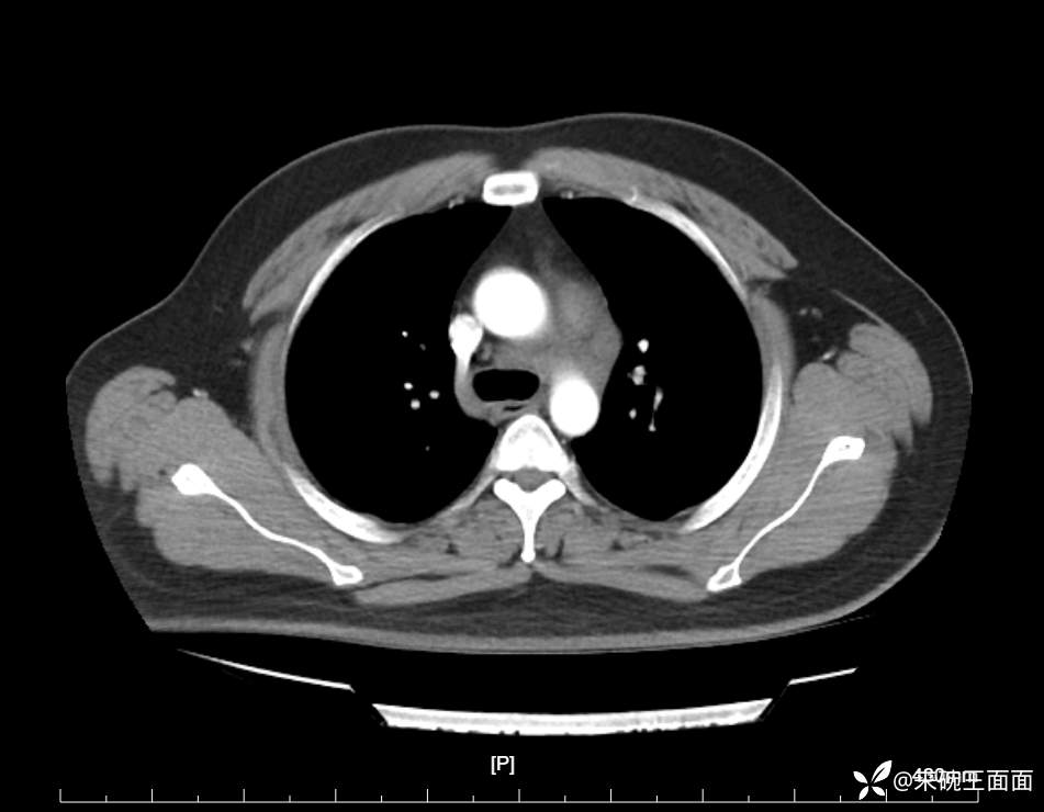
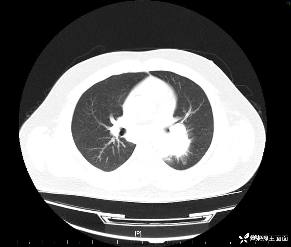
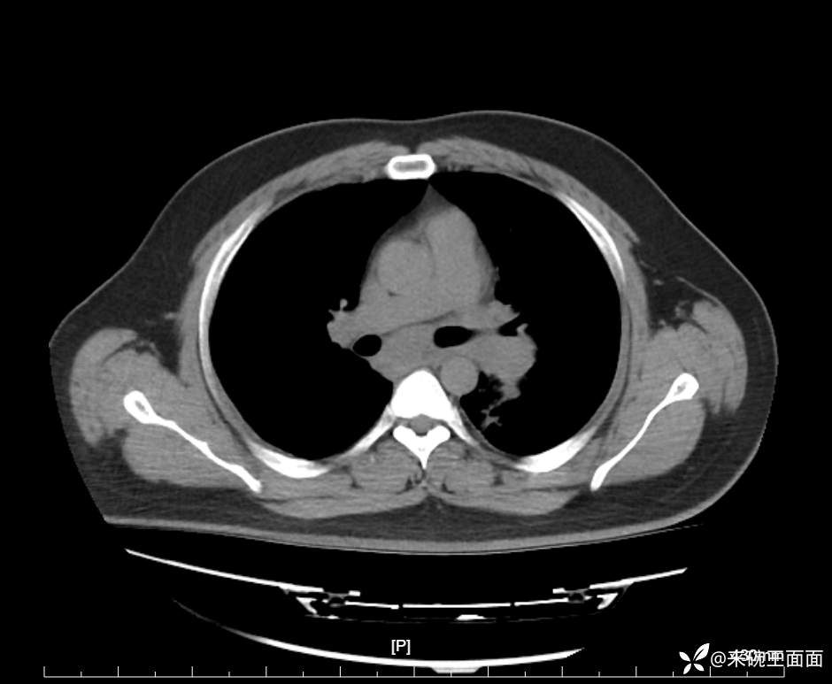
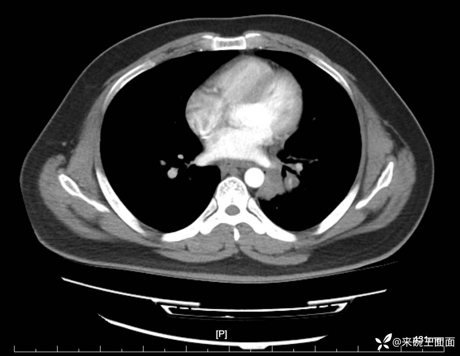
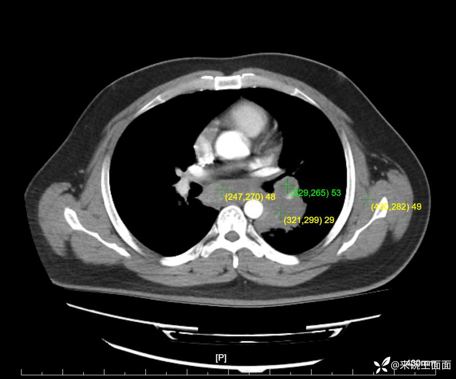
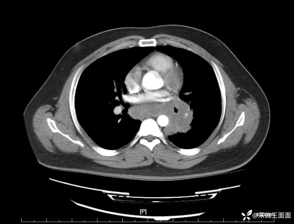
性别:男

年龄:27岁

主诉:胸闷胸痛数月余,休息后可自行缓解,无咯血症状。

个人史:数年吸烟史,具体不详。

img
img
img
img
img
img
img
img
img
img
img
img
img
img
img
img
img
img
img
img
img
img
img
img
img
img
img
img
img
img
img
img
img
img
img
img

电脑竟然一次可以传九张以上了

该帖还没有疾病标签去添加
21 6 21
同行评议(0)
已评议
不开通精选
开通精选
精选已授权,待上线
评议结果暂未公布
参与评议
去邀请
NaN
病例完整NaN
临床实用NaN
诊疗科学NaN
学术价值NaN

全部讨论(0)

默认最新
avatar
21
分享帖子
share-weibo分享到微博
share-weibo分享到微信
认证
返回顶部