青年男性,4年前无意间发现右上臂包块,逐渐增大。少见但有特征---结果公布
患者性别:男
患者年龄:40岁
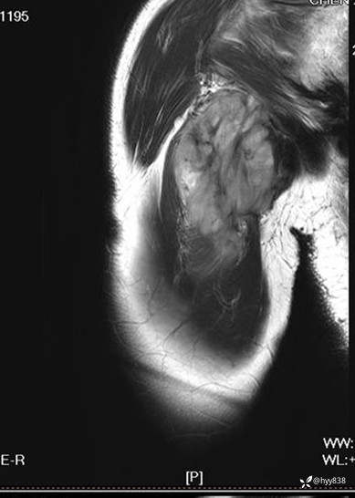
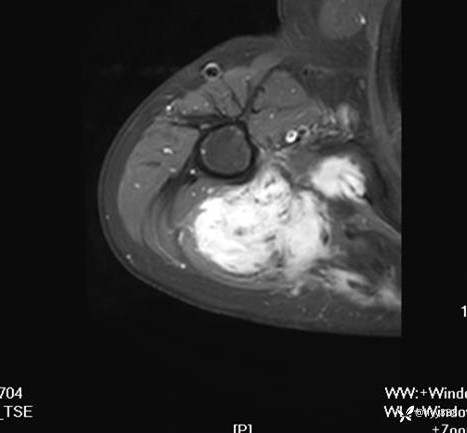
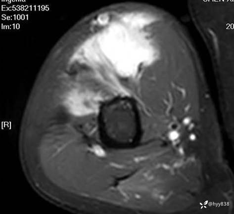
简要病史:4年前无意间发现右上臂包块,约拇指大小,质硬,边界较清,不伴疼痛,近几年来,右上臂包块逐渐增大,约7x7cm大小,皮肤无红肿、破溃。
既往史:有甲状腺恶性肿瘤切除史。
体格检查:(-)
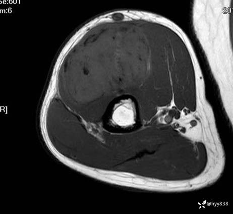
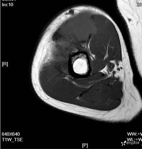
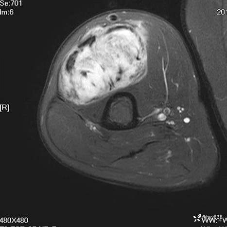
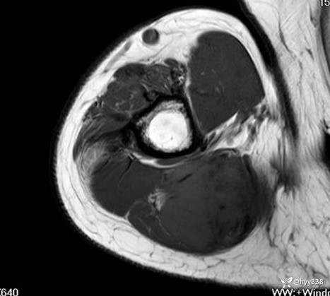
辅助检查:MRI
临床诊断:上臂肿块
治疗经过:手术
讨论:肿块性质?
MRI AXI T1WI+T2WIfs




AXI T1WI+T2WIfs




SAG T1WI+PDWI fs




COR T2WI




CE



















































