dxy logo
首页丁香园病例库全部版块
搜索
登录

疑难病例挑战,青年男性,颜面部肿胀,反复咳嗽并渐加重,应该如何诊断???

神经内外版版主 · 发布于 2023-10-26 · 来自 iOS · IP 上海上海
1928 浏览
推荐、达人点赞 2 项荣誉
这个帖子发布于 2 年零 30 天前,其中的信息可能已发生改变或有所发展。

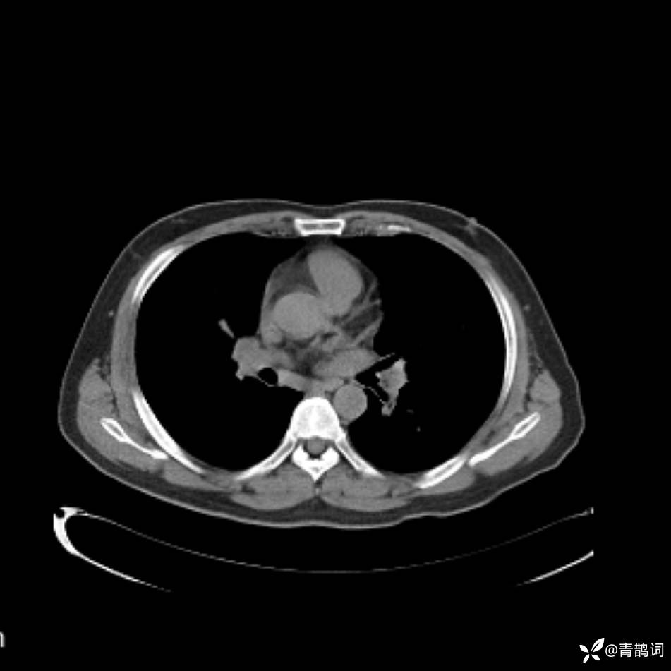
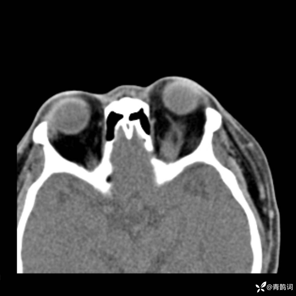
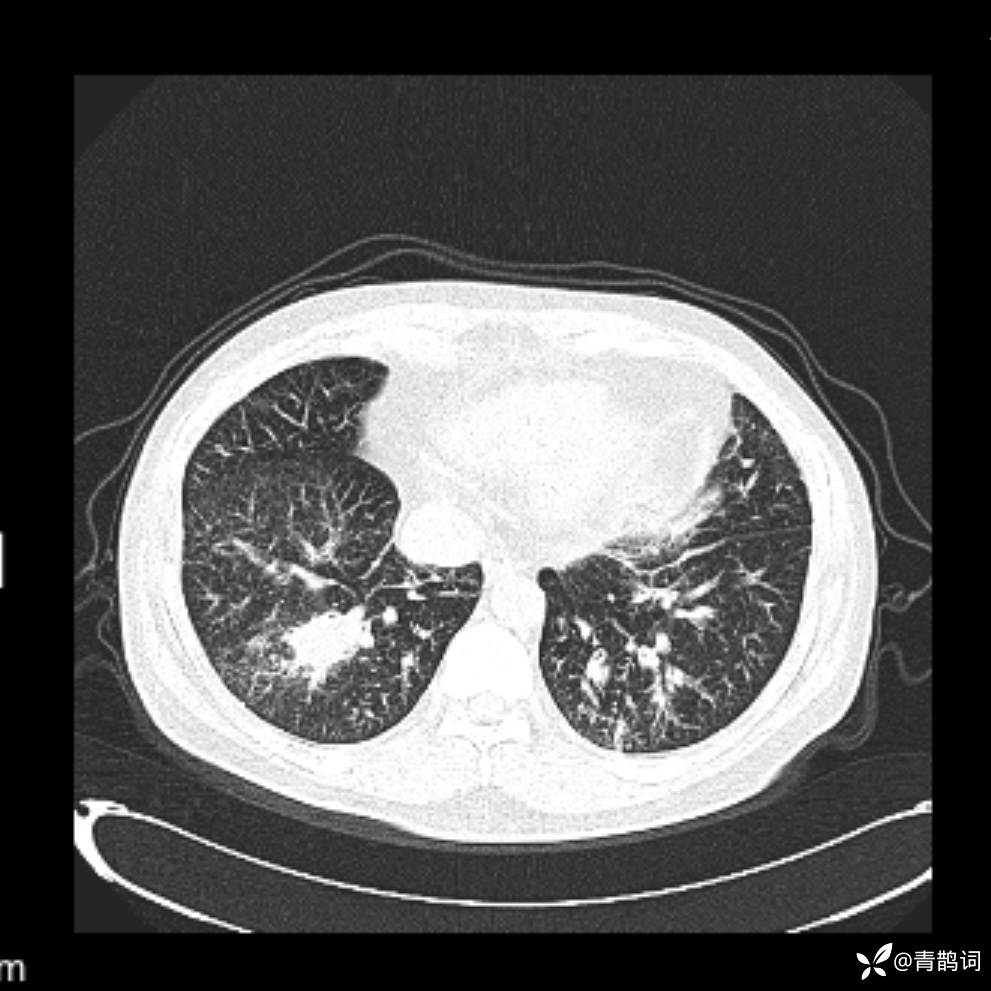
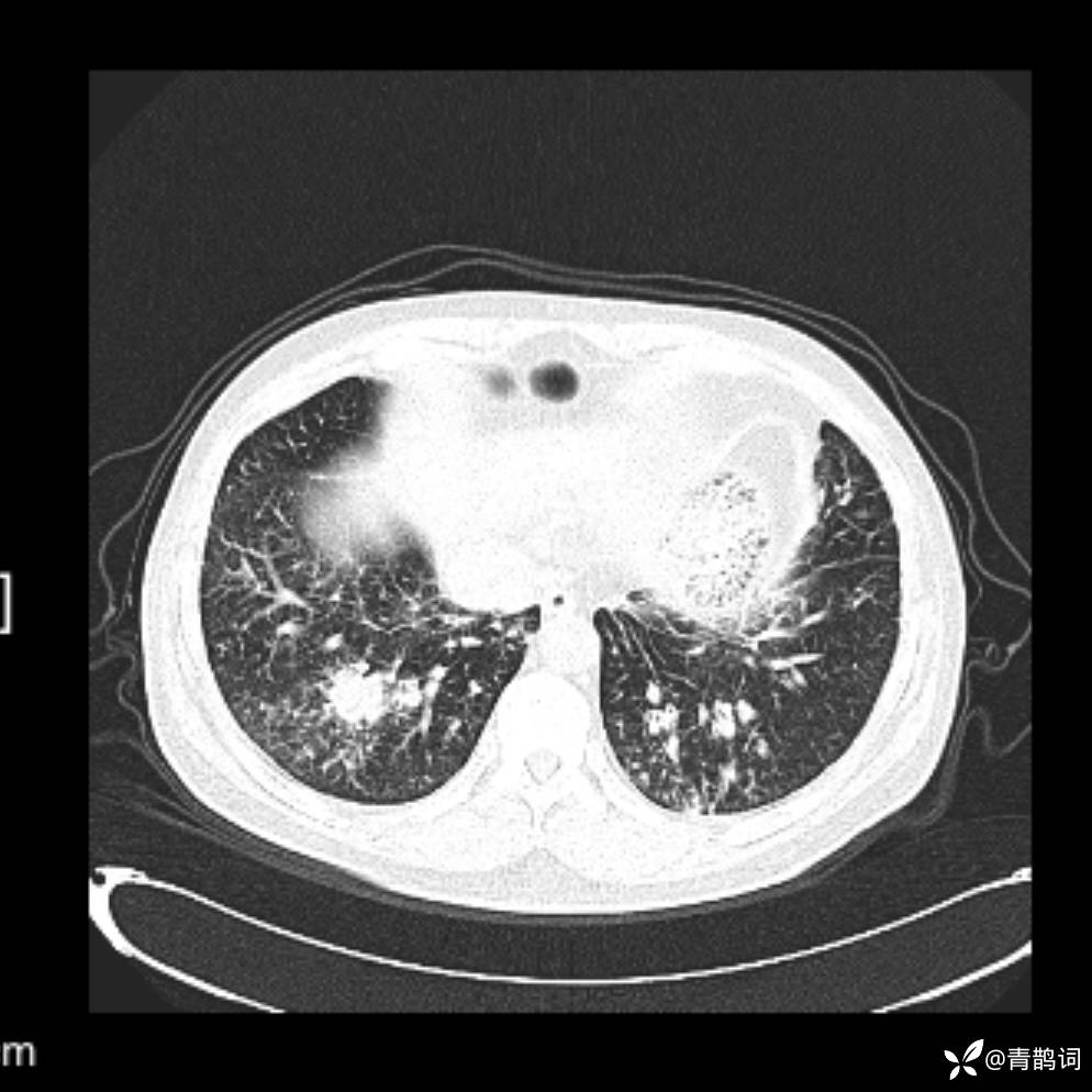
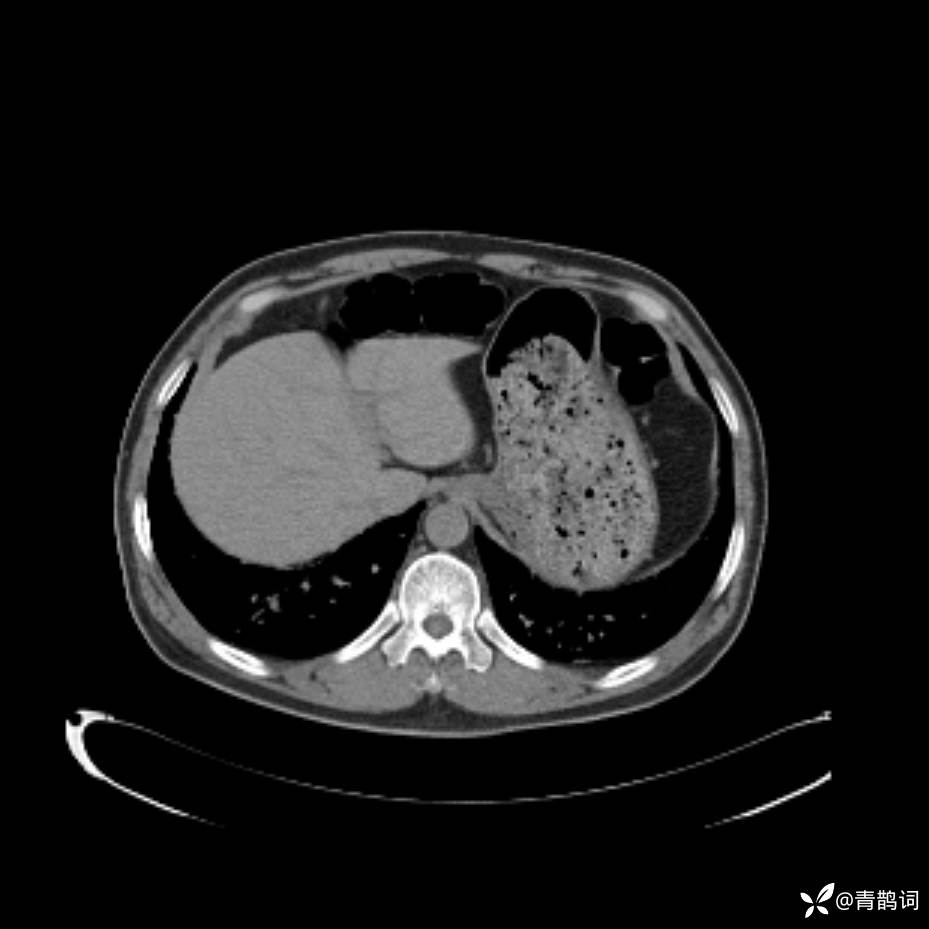
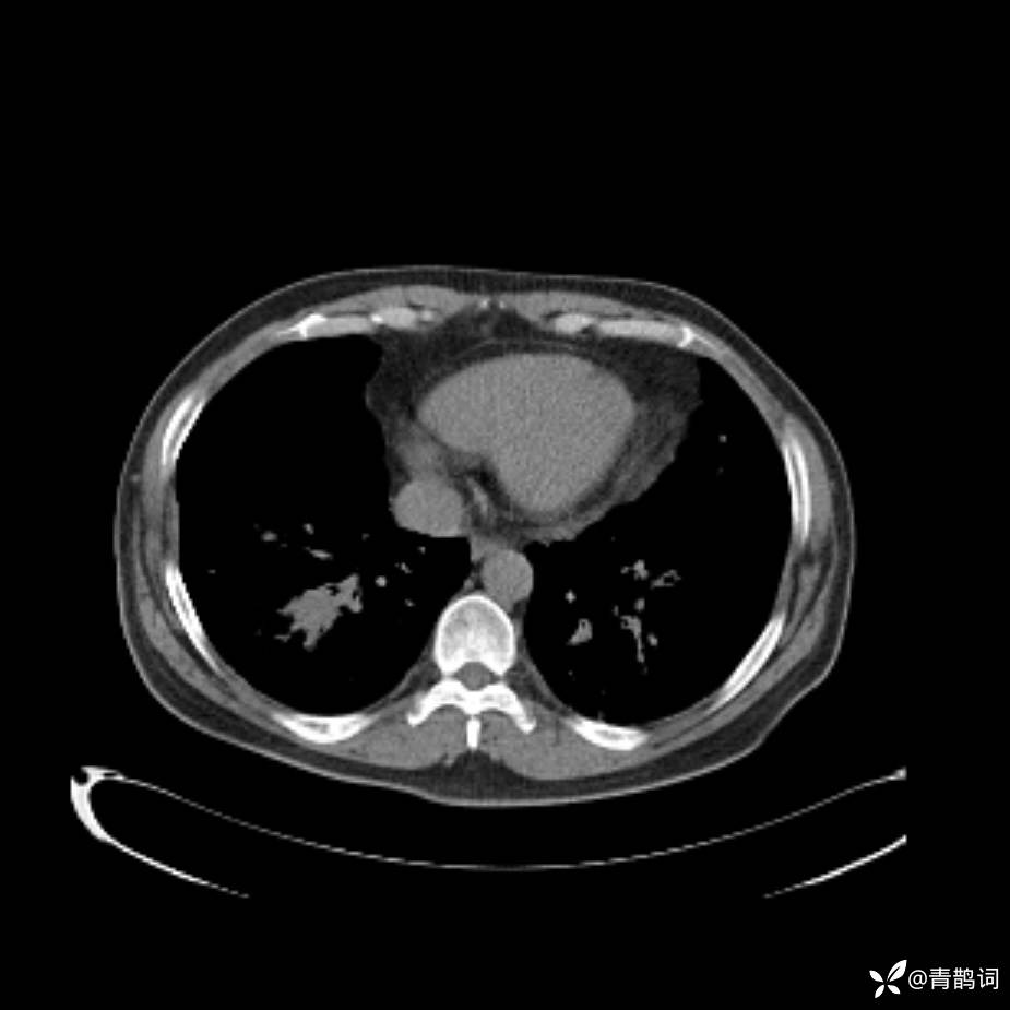
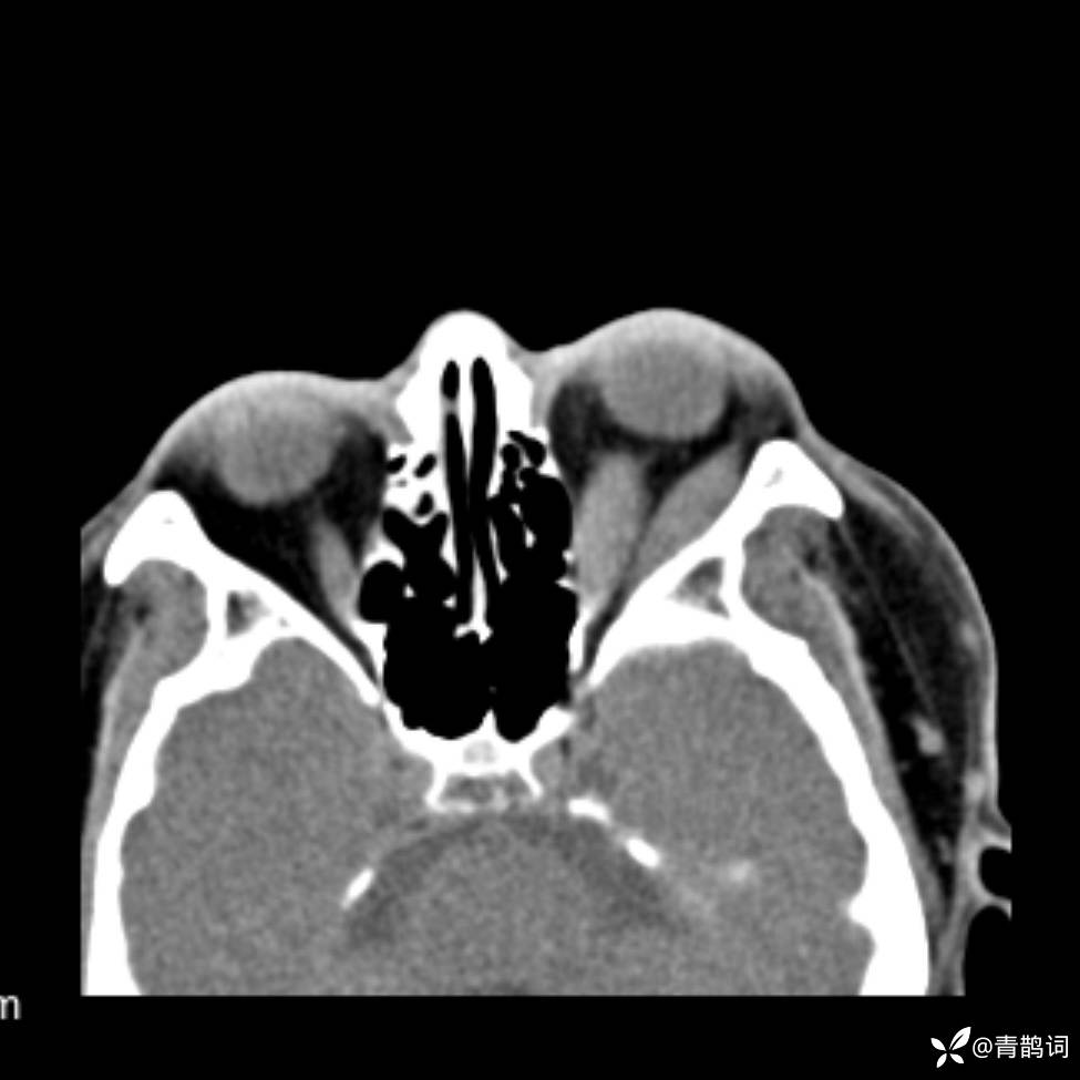
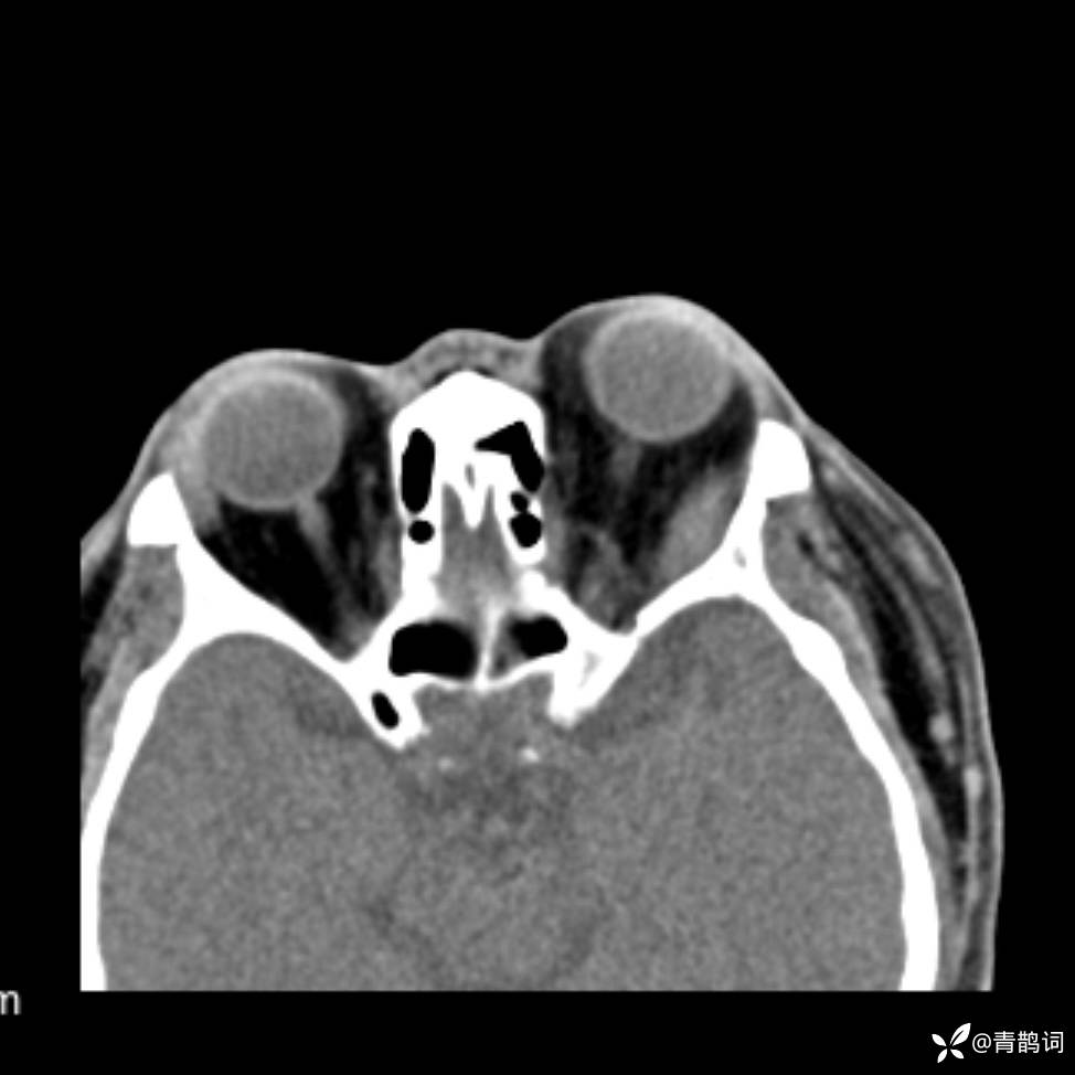
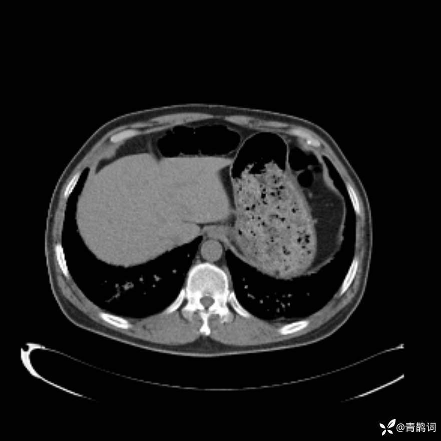
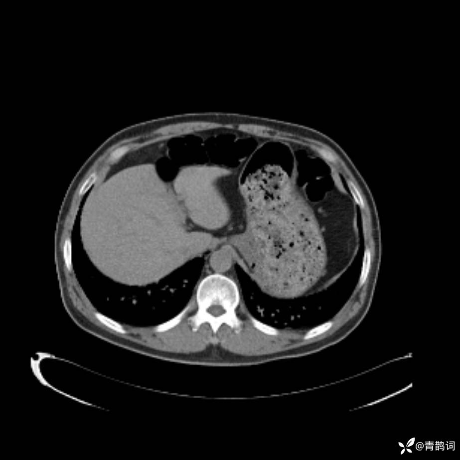
患者年龄:30岁。

患者性别:男。

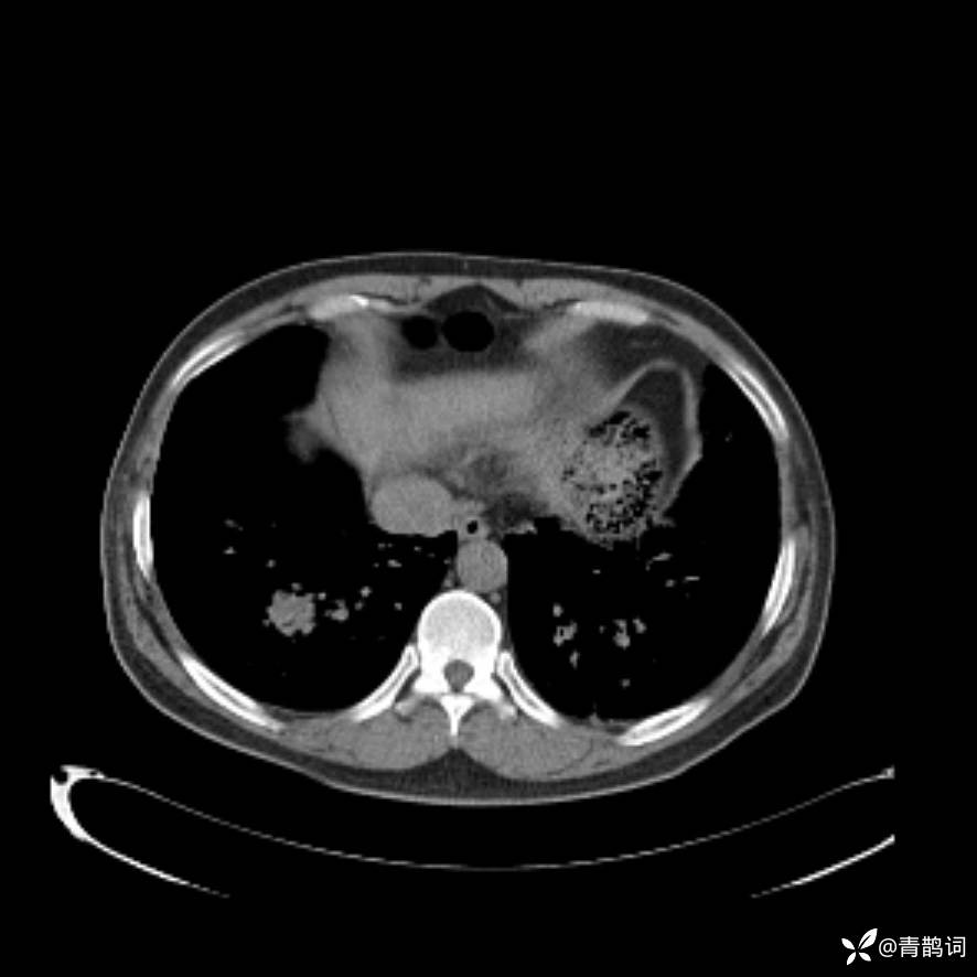
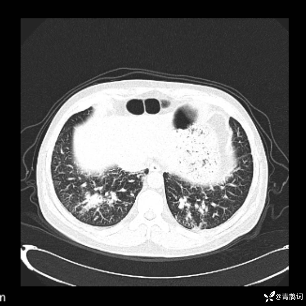
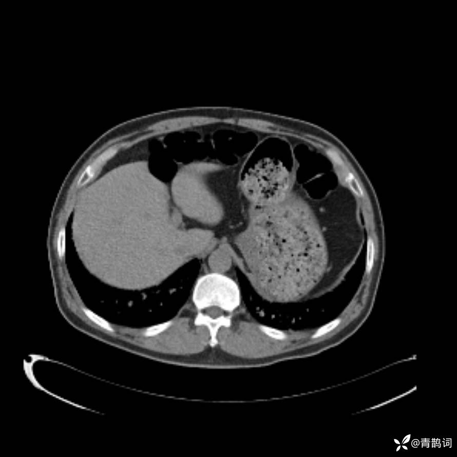
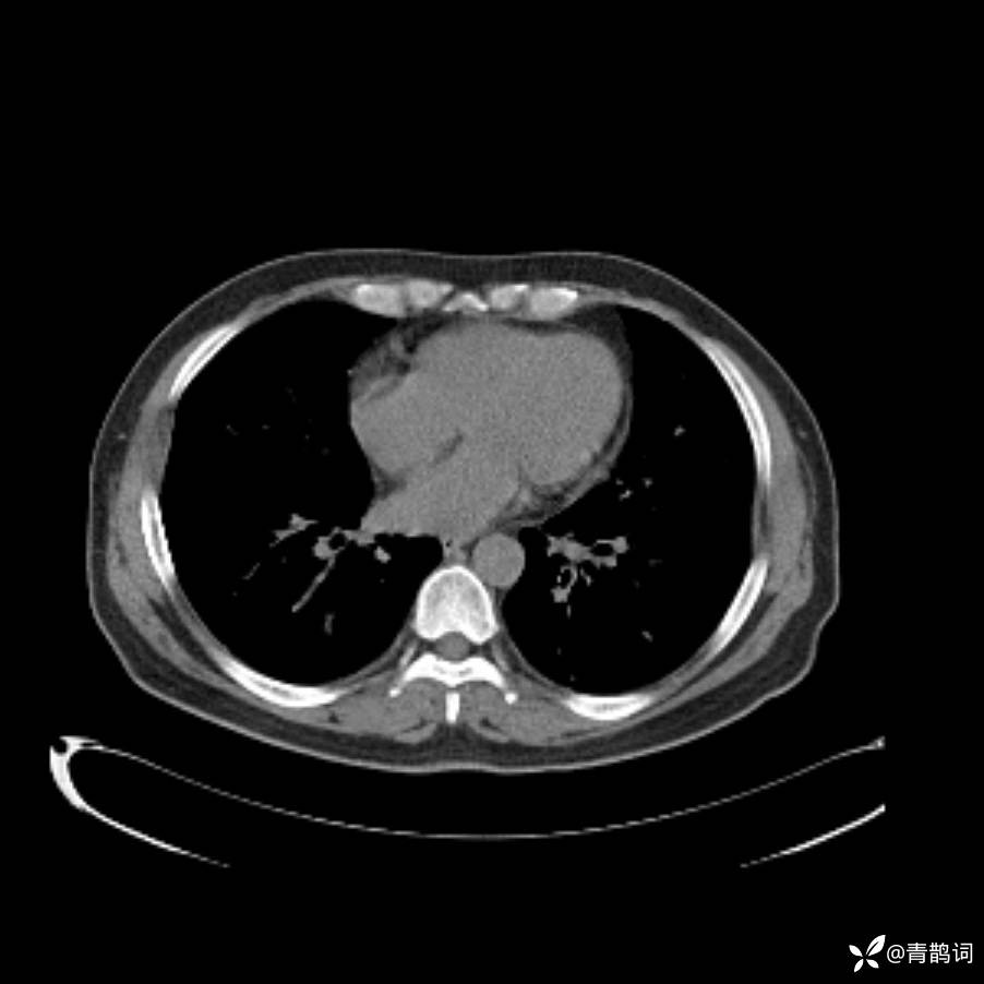
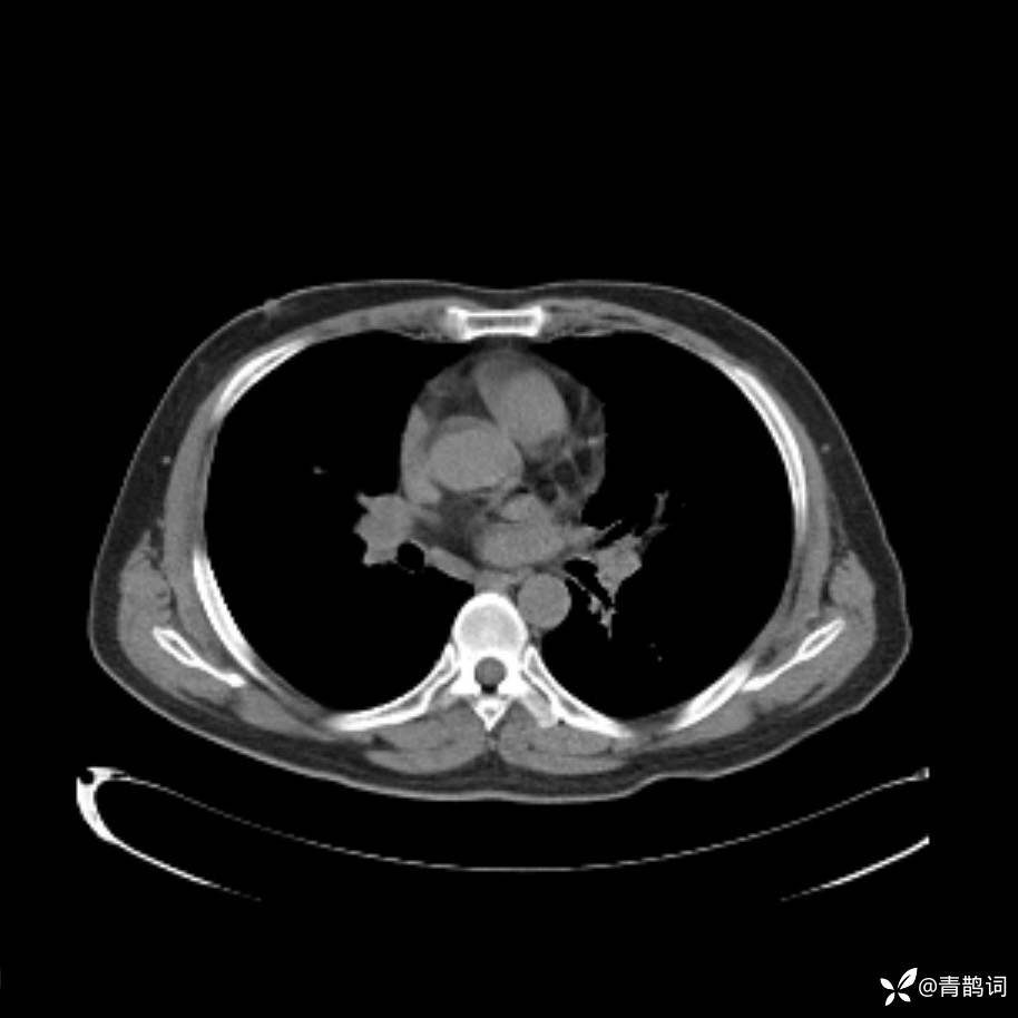
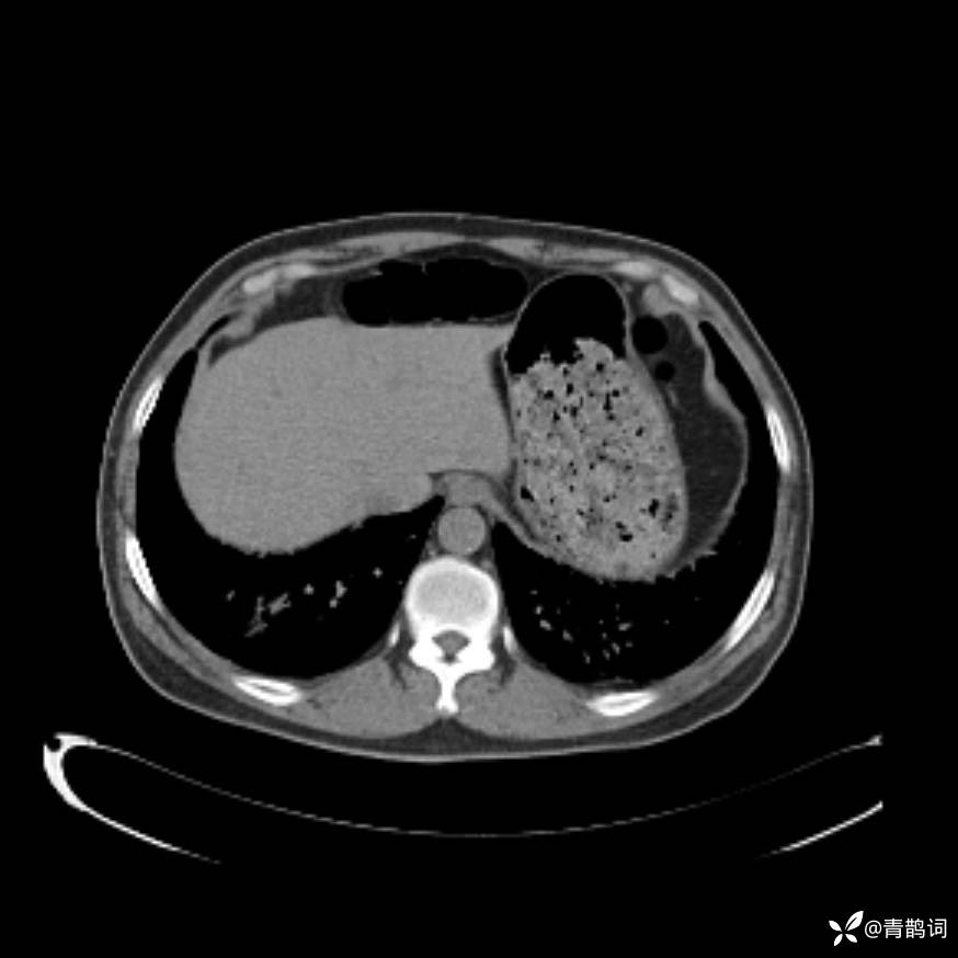
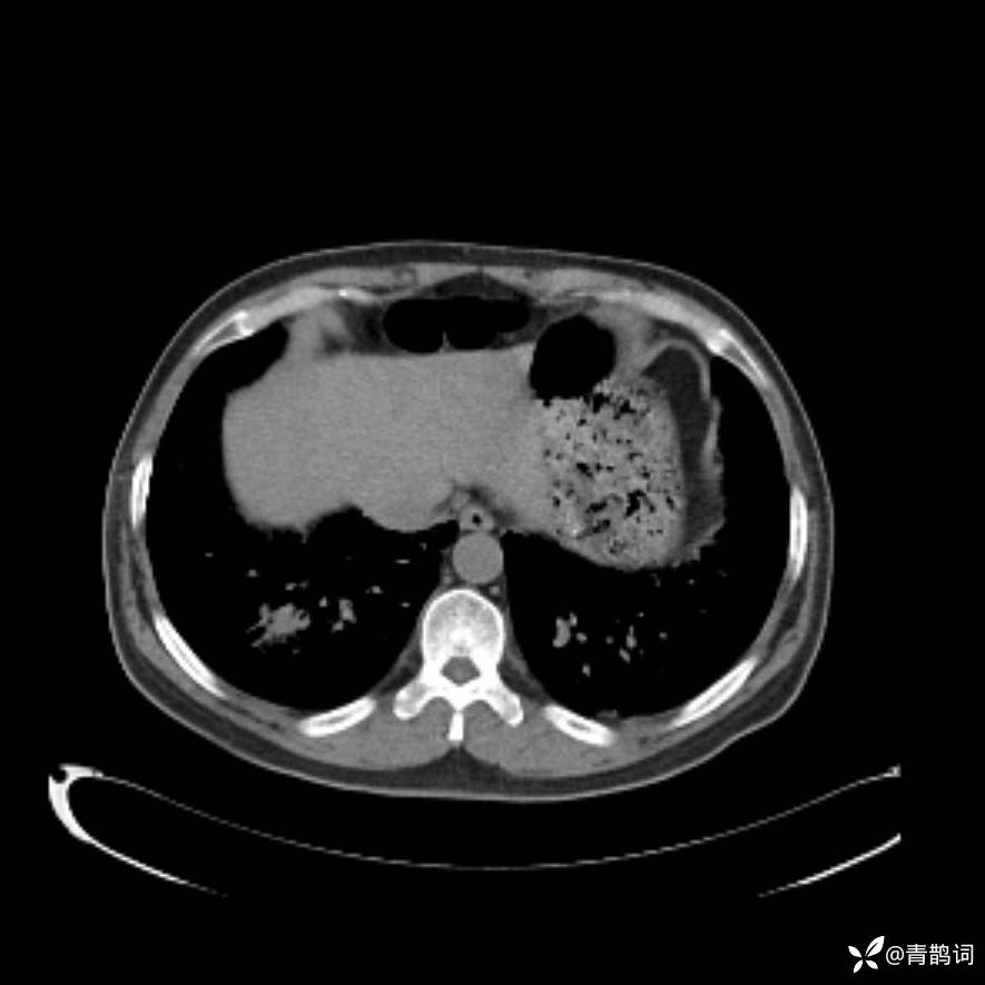
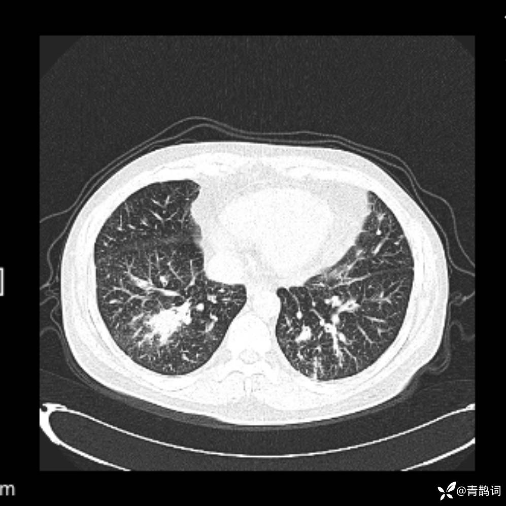
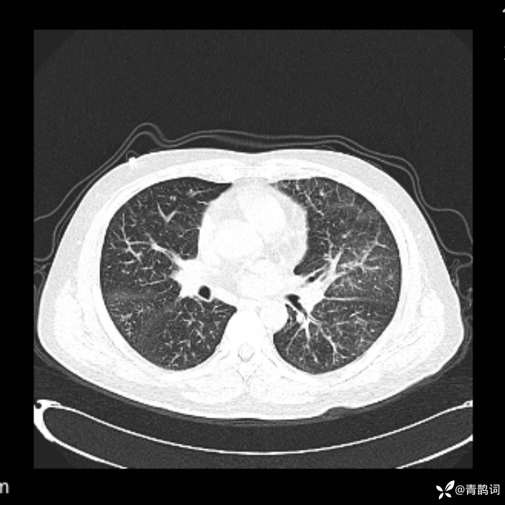
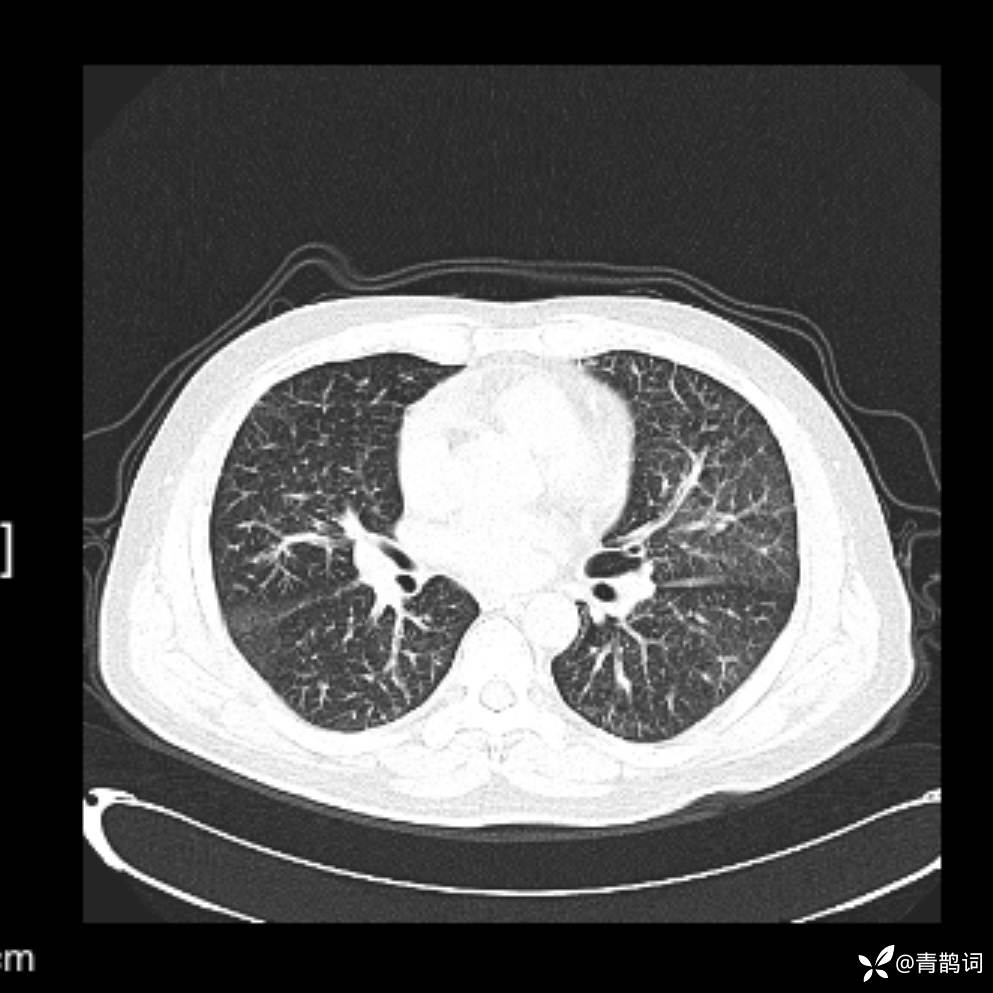
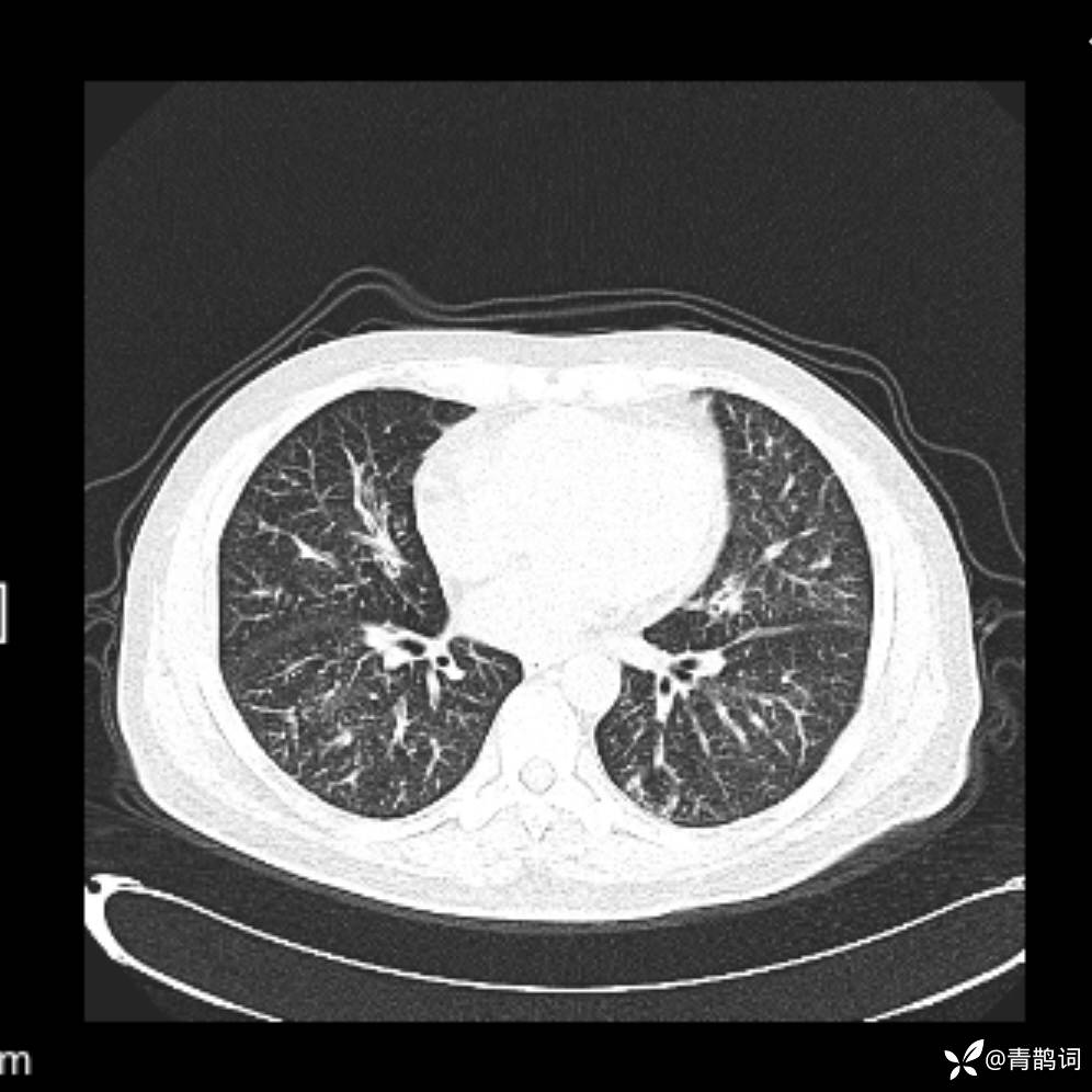
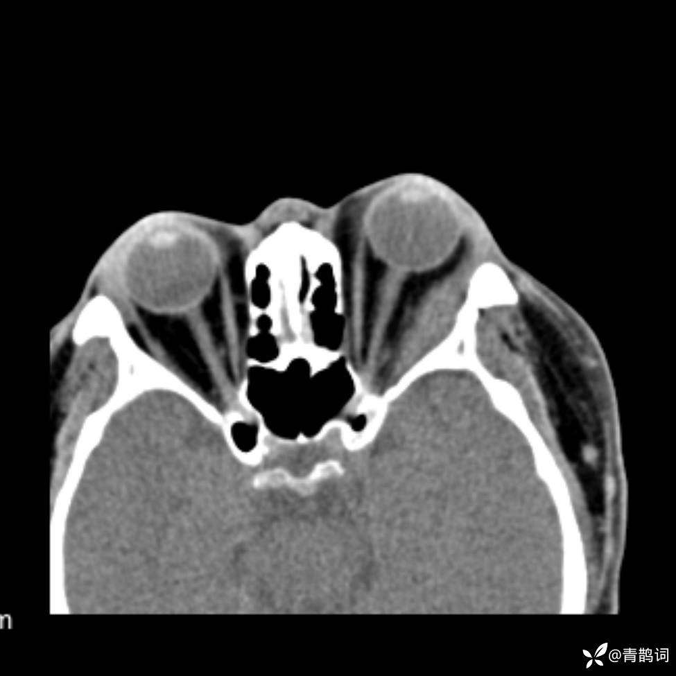
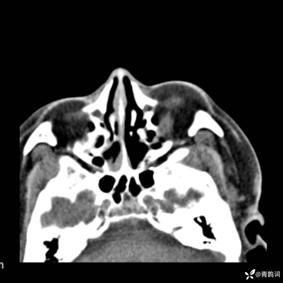
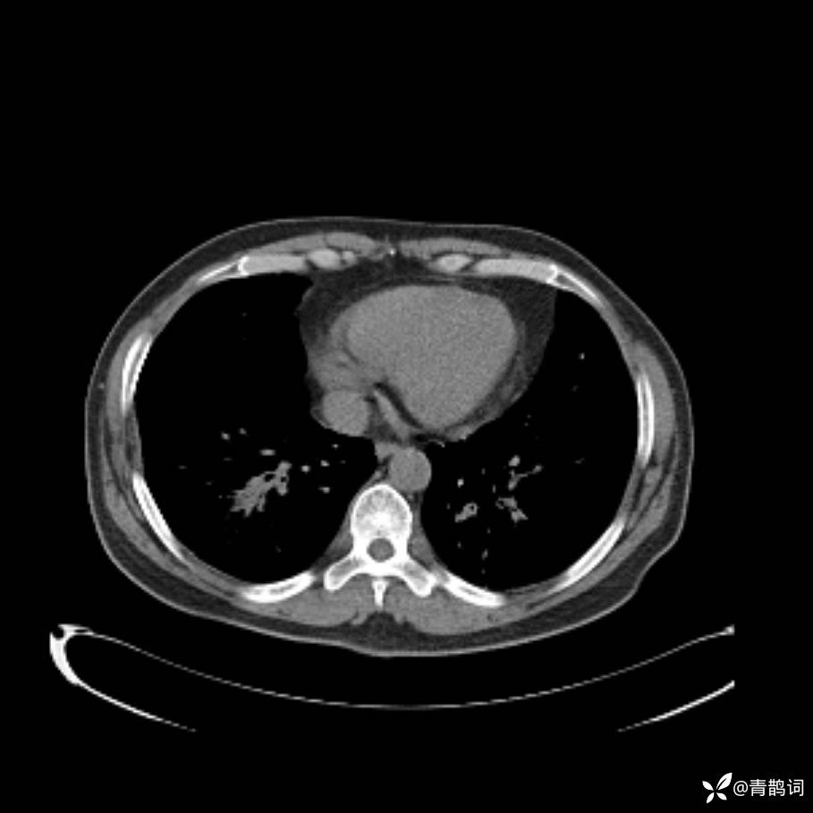
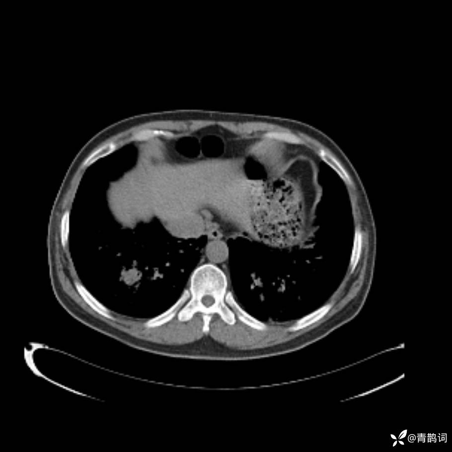
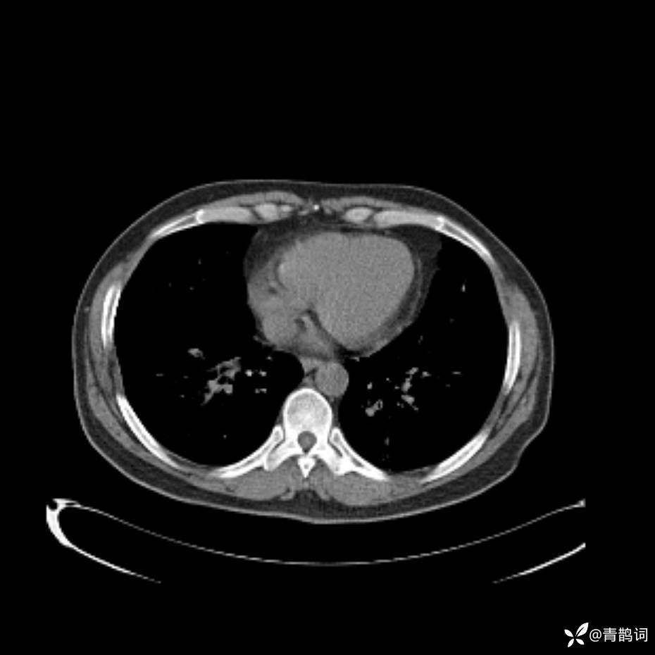
简要病史:左颜面部肿胀2年,反复咳嗽咳痰,逐渐加重。

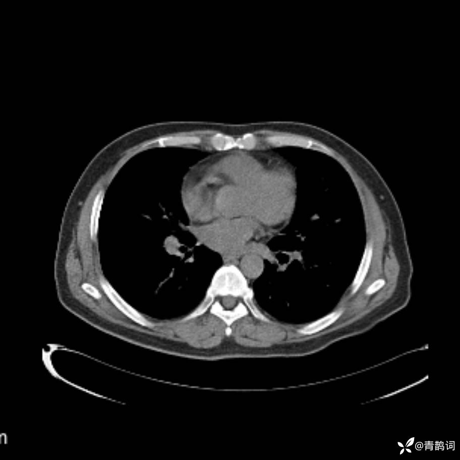
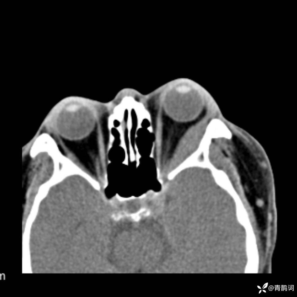
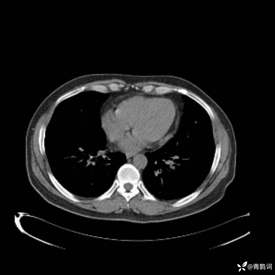
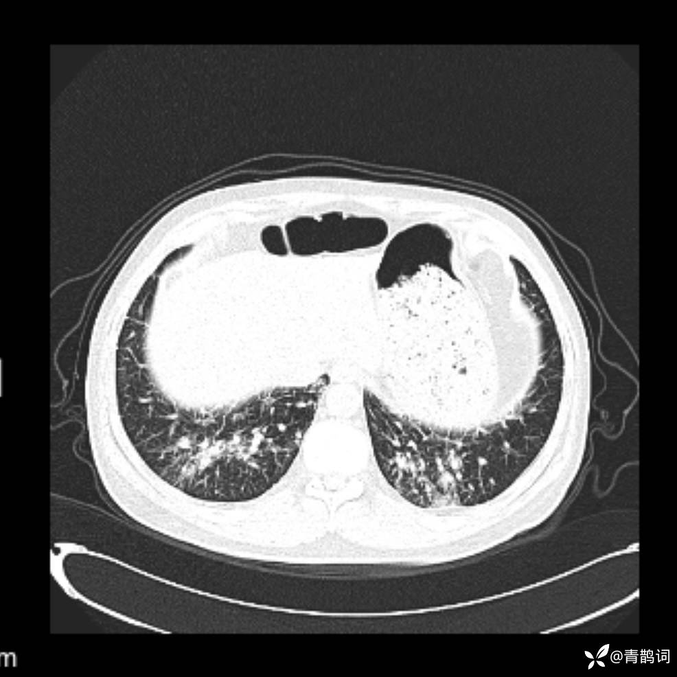
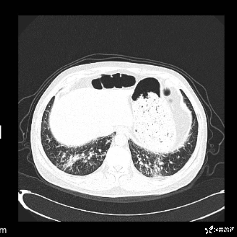
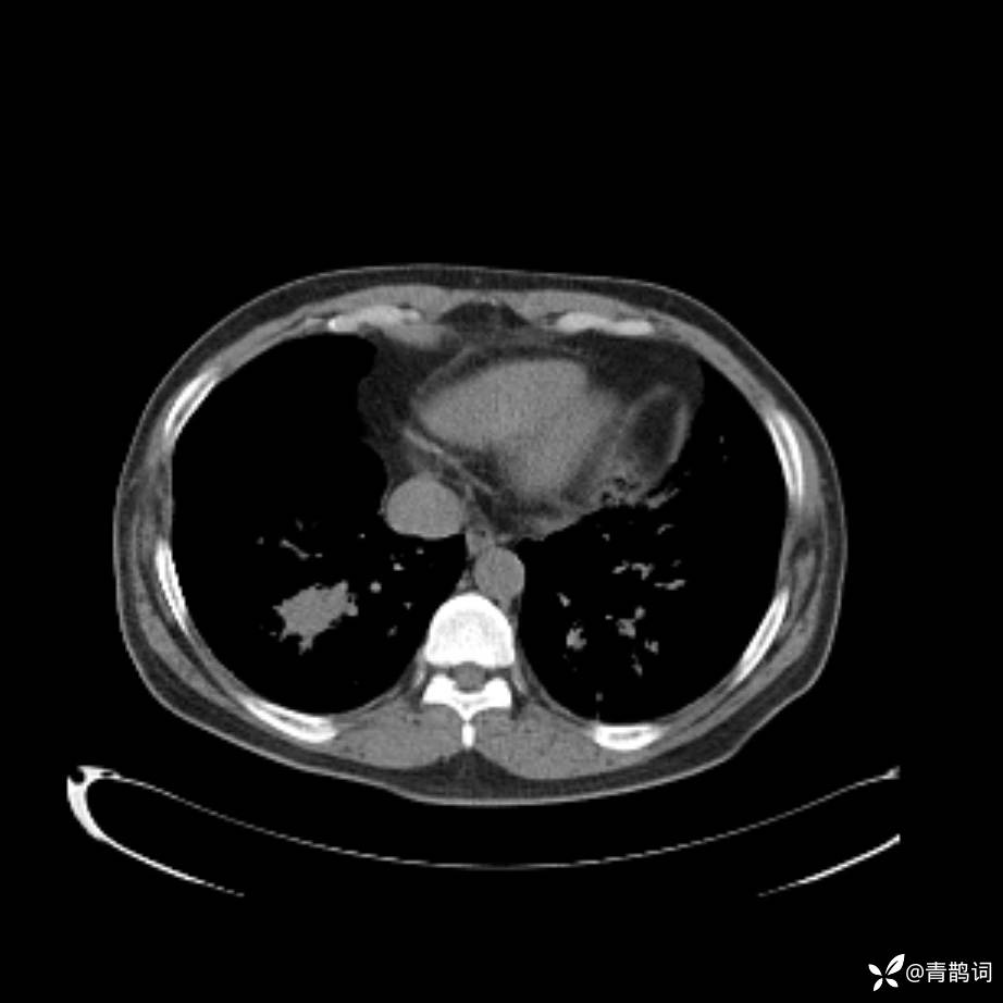
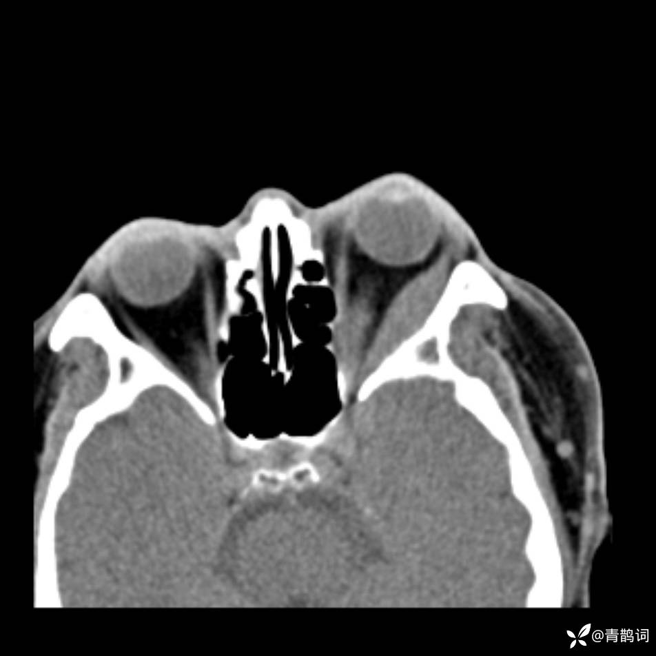
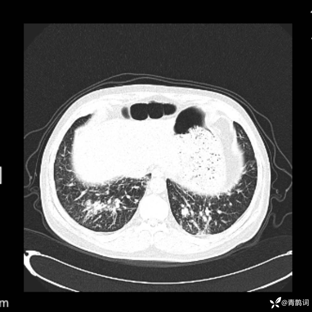
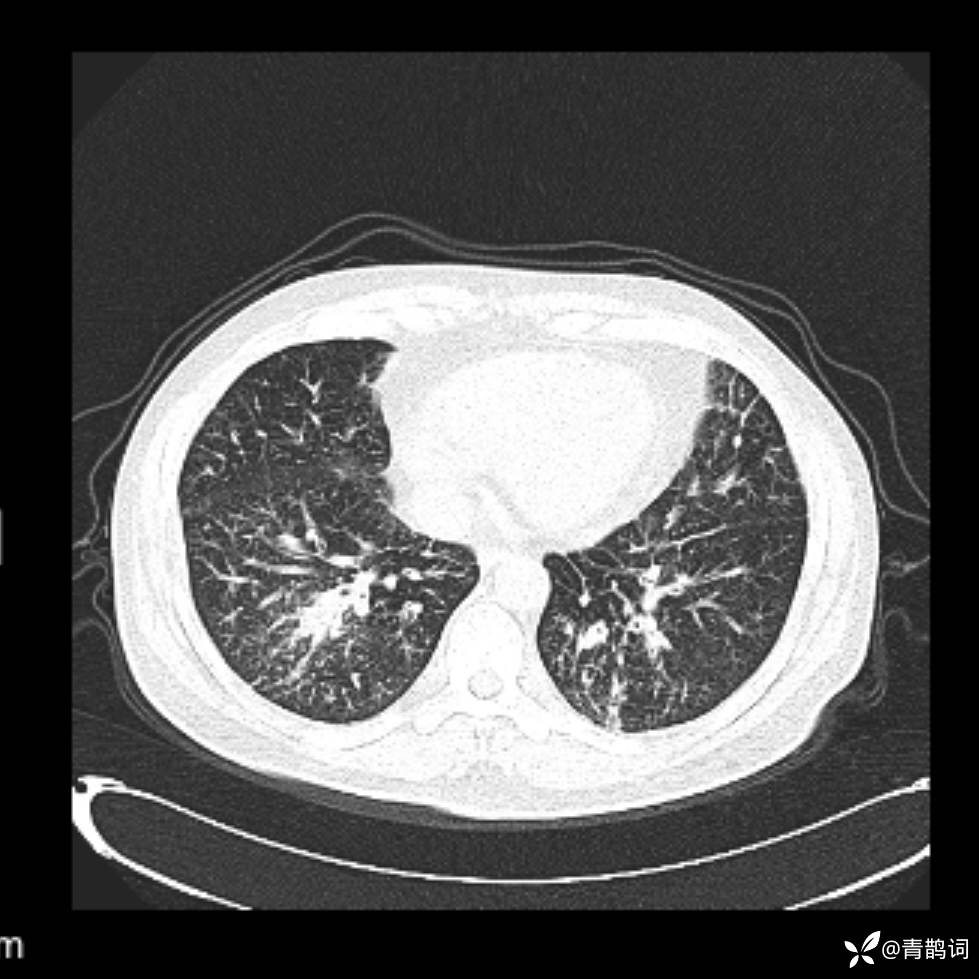
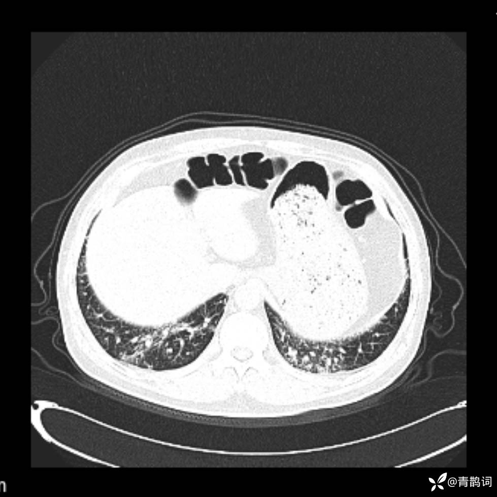
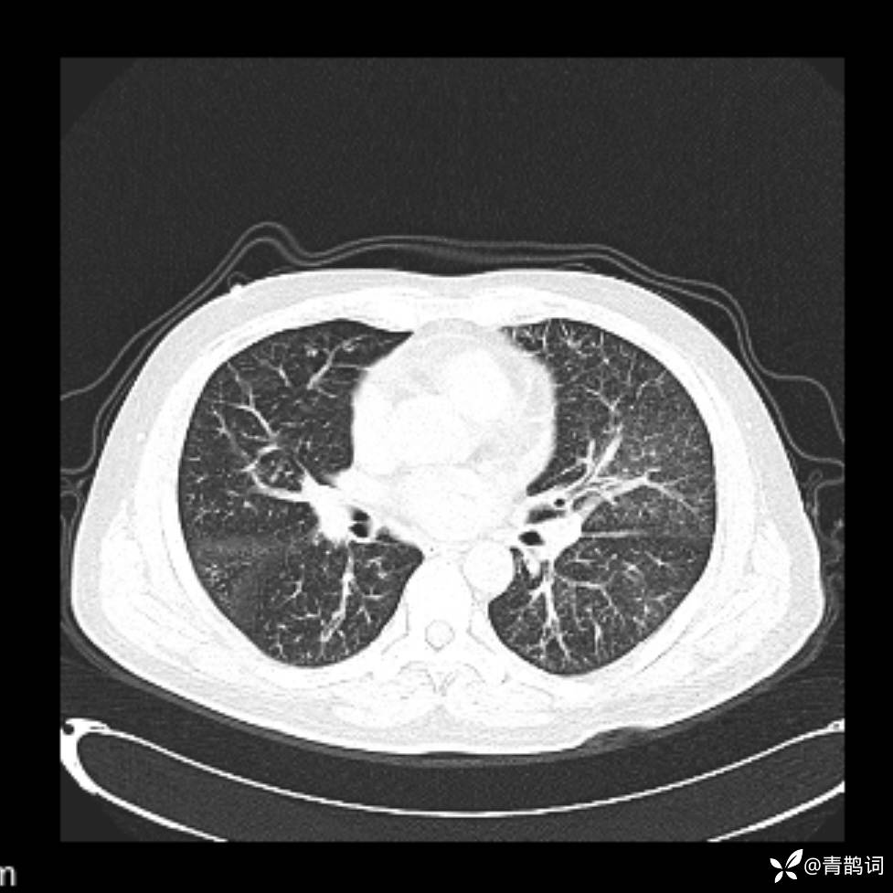
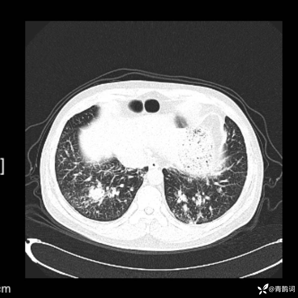
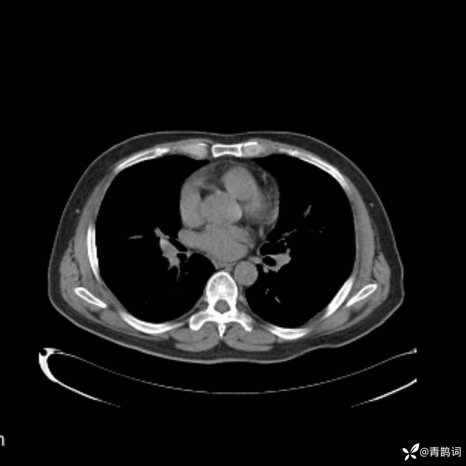
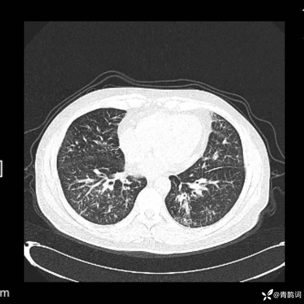
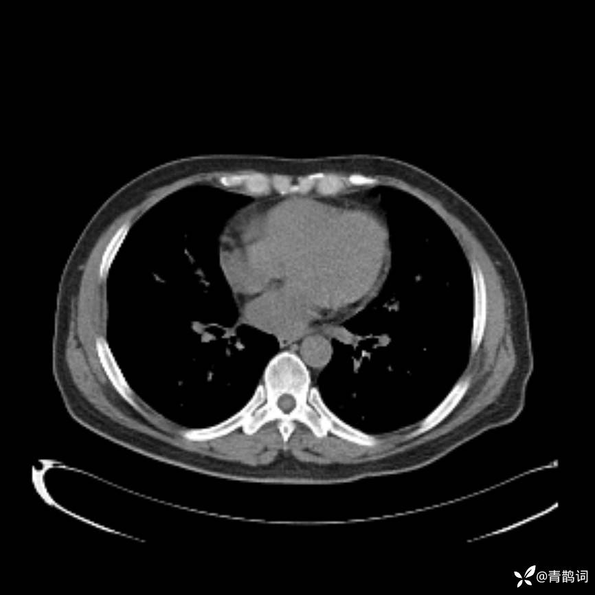
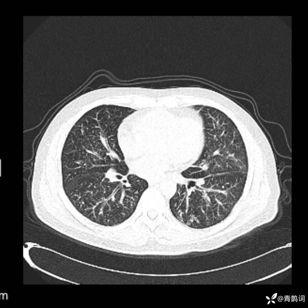
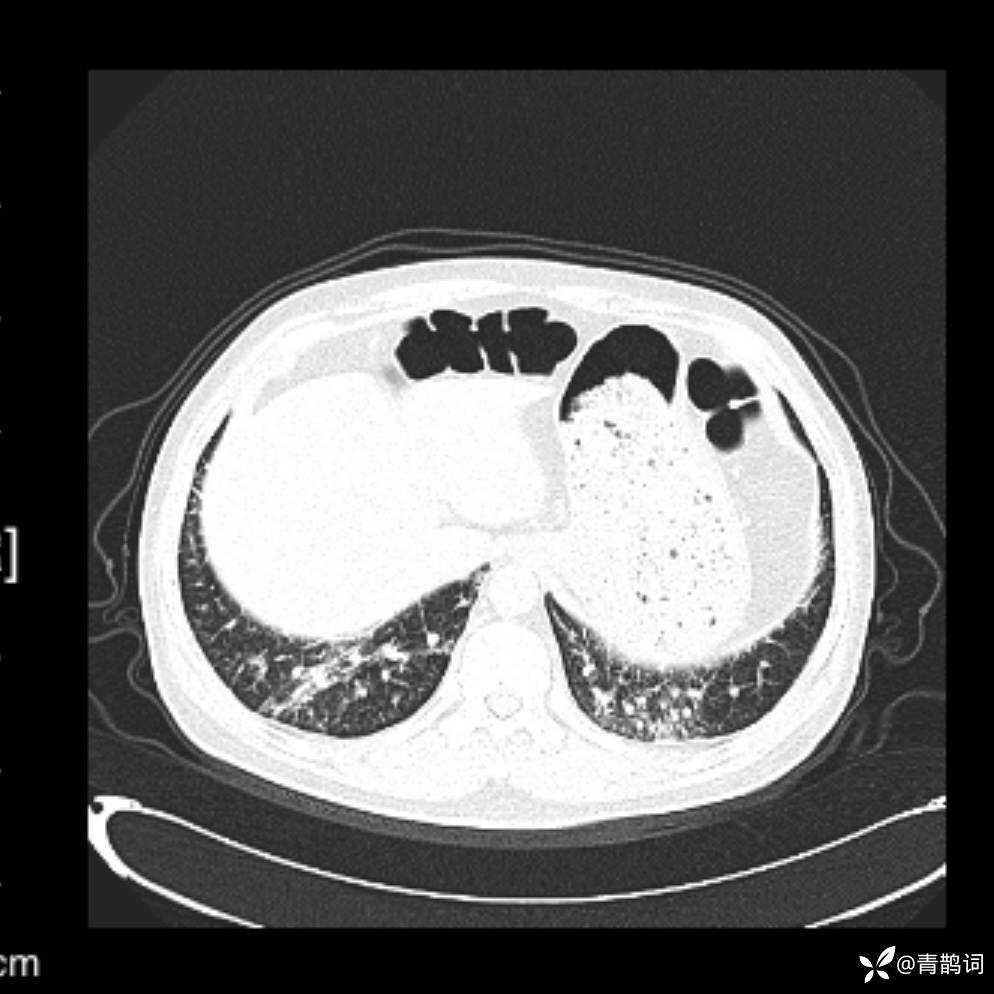
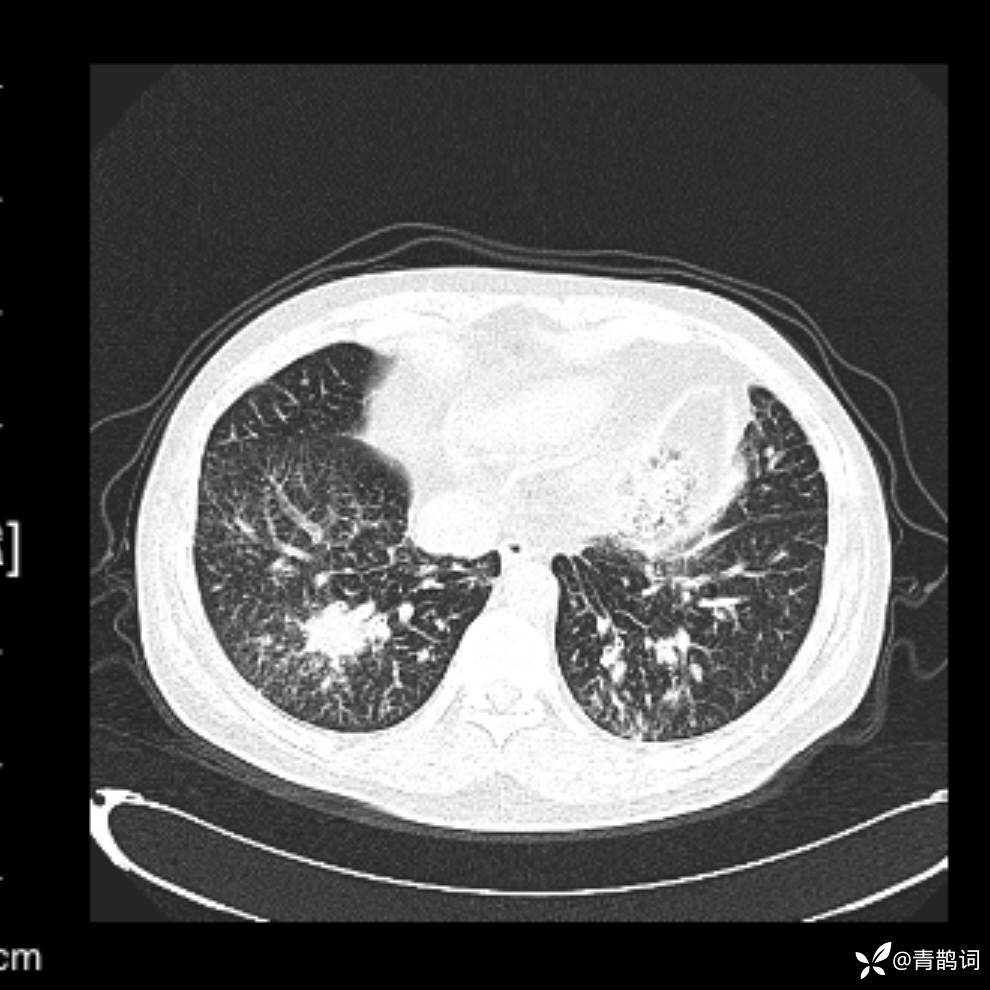
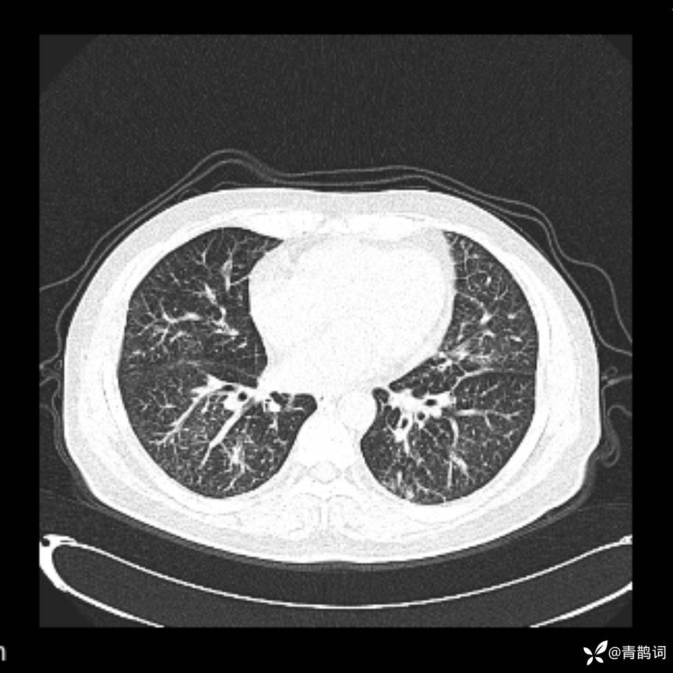
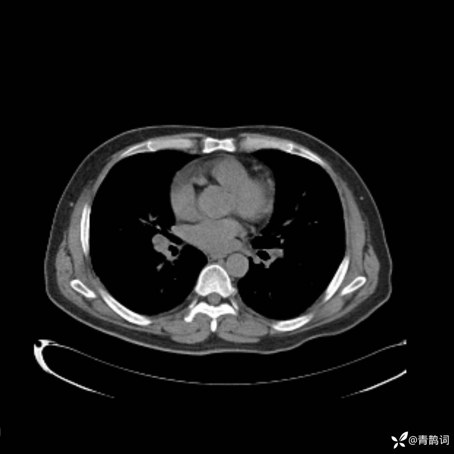
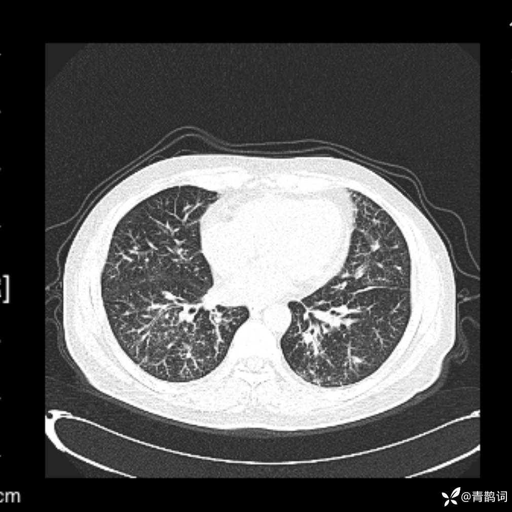
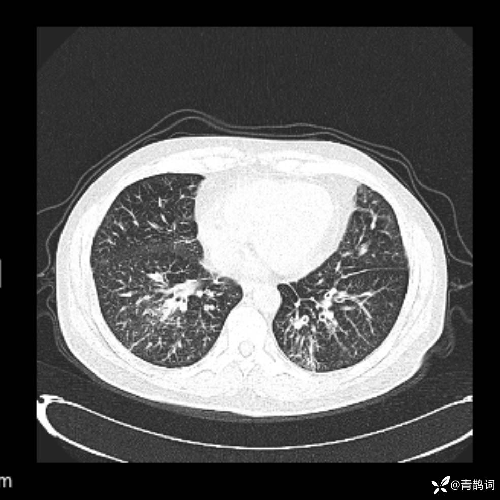
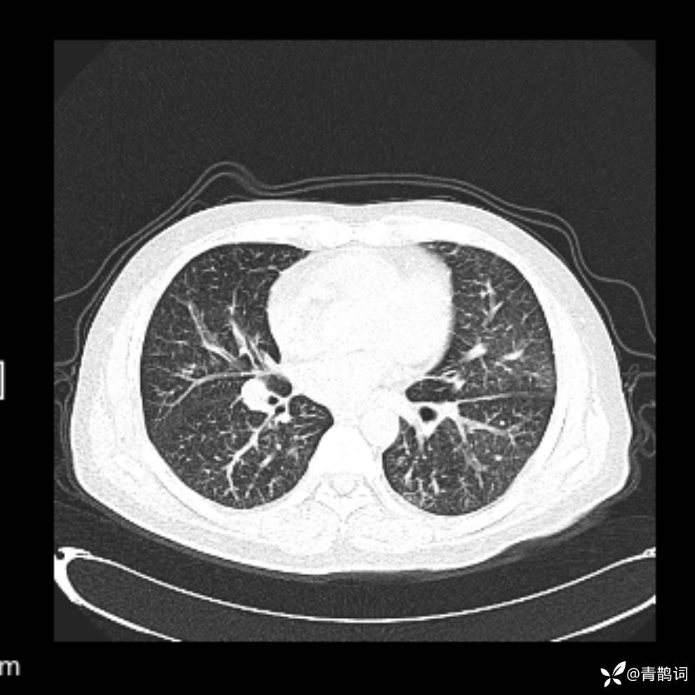
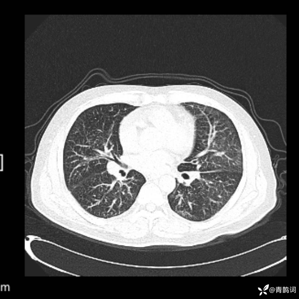
辅助检查

img


img


img


img


img


img


img


img


img


img


img


img


img


img


img


img


img


img


img


img


img


img


img


img


img


img


img


img


img


img


img


img


img


img


img


img


img


img


img


img


img


img


img


img


img


img


img


img


img


img


img


img


img


img


img


img


img


img


img


img


img


img


img


img


img


img


img


img


img


img


img


img


img


img


img


img


img


img

结合病史及影像学表现,期待评论区各位老师各抒己见~

木村病 (14)
纠错
37 7 8
同行评议(0)
已评议
不开通精选
开通精选
精选已授权,待上线
评议结果暂未公布
参与评议
去邀请
NaN
病例完整NaN
临床实用NaN
诊疗科学NaN
学术价值NaN

全部讨论(0)

默认最新
avatar
37
分享帖子
share-weibo分享到微博
share-weibo分享到微信
认证
返回顶部