4月特别精彩病例|反复咳嗽咳痰、气促1月余【病理已公布】
患者性别:男
患者年龄:38岁
主诉:反复咳嗽咳痰、气促1月余。
现病史:患者自述大约月余前无明显诱因下出现咳嗽,阵发性咳,咳白色痰,伴有气促,胸部胀痛,无畏寒、发热,无胸闷,当时未在意,自行在打工处买药治疗,具体不详,经治疗症状好转不明显,此后上述症状反复出现,遂于本月到外院行胸部CT检查考虑“纵膈占位”,患者咳嗽气促症状改善不明显,而且未能确诊,今为行进一步治疗到我院就诊,门诊以“纵膈肿瘤”收入我院,起病以来,患者精神、睡眠、食欲尚可,二便正常,体重下降约10Kg。
既往史:否认高血压、冠心病、糖尿病史。否认肝炎、结核或其他传染病史。否认外伤史。否认手术史。否认手术史。
实验室检查:肌酸激酶13u/l,尿酸(UA)144μmol,碳酸氢根(HCO3)30.0mmol/L,白蛋白35.2g/L;谷氨酰转肽酶111.0U/L:碱性磷酸酶265U/L。PLT550.80*10~9/L,红细胞比容0.238,淋巴细胞百分比0.460,中性粒细胞百分比0.806,中性粒细胞绝对值7.61*10~9/L,淋巴细胞百分比0.183,单核细胞百分比0.007,单核细胞绝对值0.07 10~9/L,嗜酸性粒细胞百分比0.003,平均红细胞体积103.50fl,平均RBC血红蛋白浓度307.60g/L。
CT平扫肺窗


平扫纵隔窗


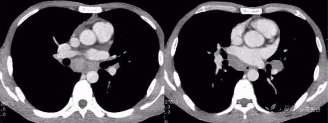
动脉期


静脉期


动脉期CT值32HU,静脉期CT值54HU

左动脉期,右静脉期

您的诊断是?















































