【心胸】特别精彩病例|儿童反复咳嗽5月余,只要你敢诊断就可超越|病理公布全军覆没
患者性别:男
患者年龄:11岁
主诉:反复咳嗽5月余
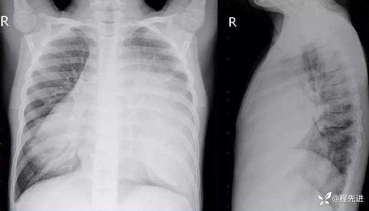
现病史:患儿5月余前无明显诱因出现反复咳嗽,无发热、咳痰、气促、发绀、抽搐、呕吐等不适,精神食欲可,遂就诊于外院,考虑支原体感染,予阿奇霉素及顺尔宁治疗,症状有所好转。1月余前无明显诱因再次出现反复咳嗽,予阿奇霉素及顺尔宁治疗,症状有所好转。数日前患儿再次出现咳嗽,自述胸闷,走路出现喘息费力,门诊胸片示:前纵隔巨大占位。
辅助检查:血常规、凝血常规、肝功能、尿常规、AFP、HCG未见明显异常。血清神经元特异性烯醇化酶18.15 ng/ml(正常值范围:(0-16.3)
胸片

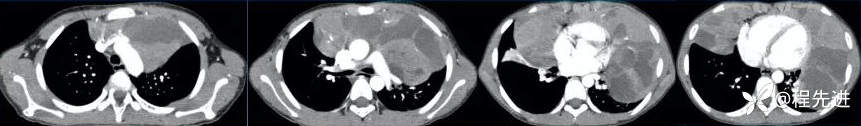
CT
平扫
肺窗

纵隔窗

增强

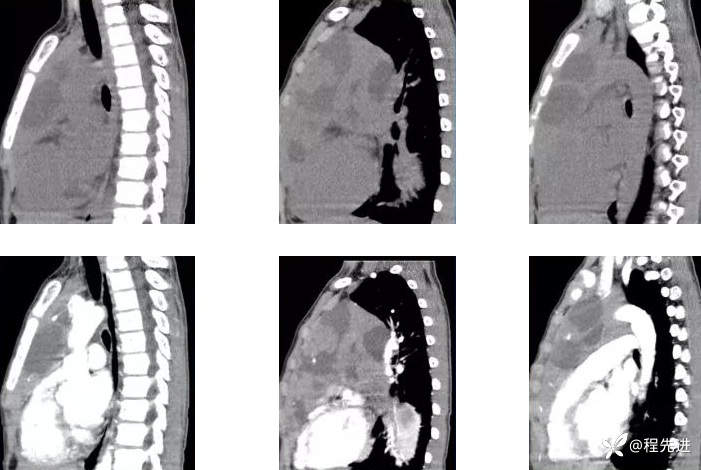
冠状位重建,上平扫,下增强

矢状位重建,上平扫,下增强
















































