儿童,发现右小腿肿硬性肿物3年。资料齐全,ABC VS SBC VS FD--结果公布
患者性别:男
患者年龄:11岁
主诉:发现右小腿肿硬性肿物3年
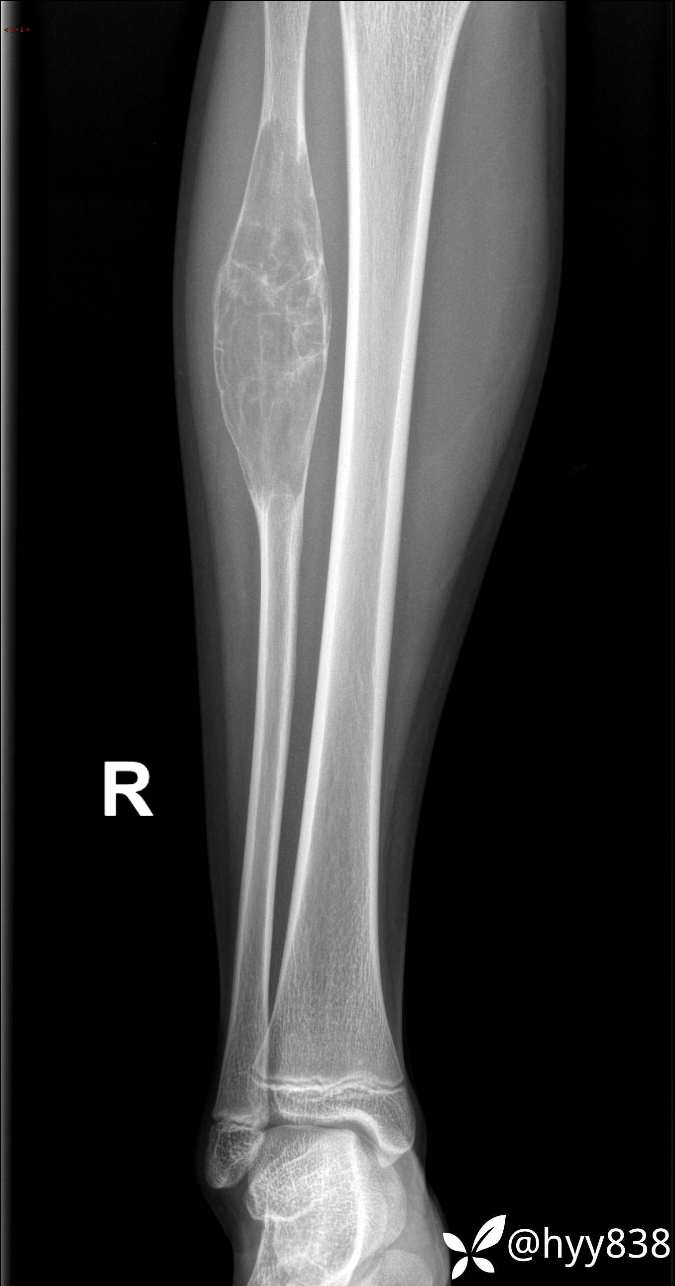
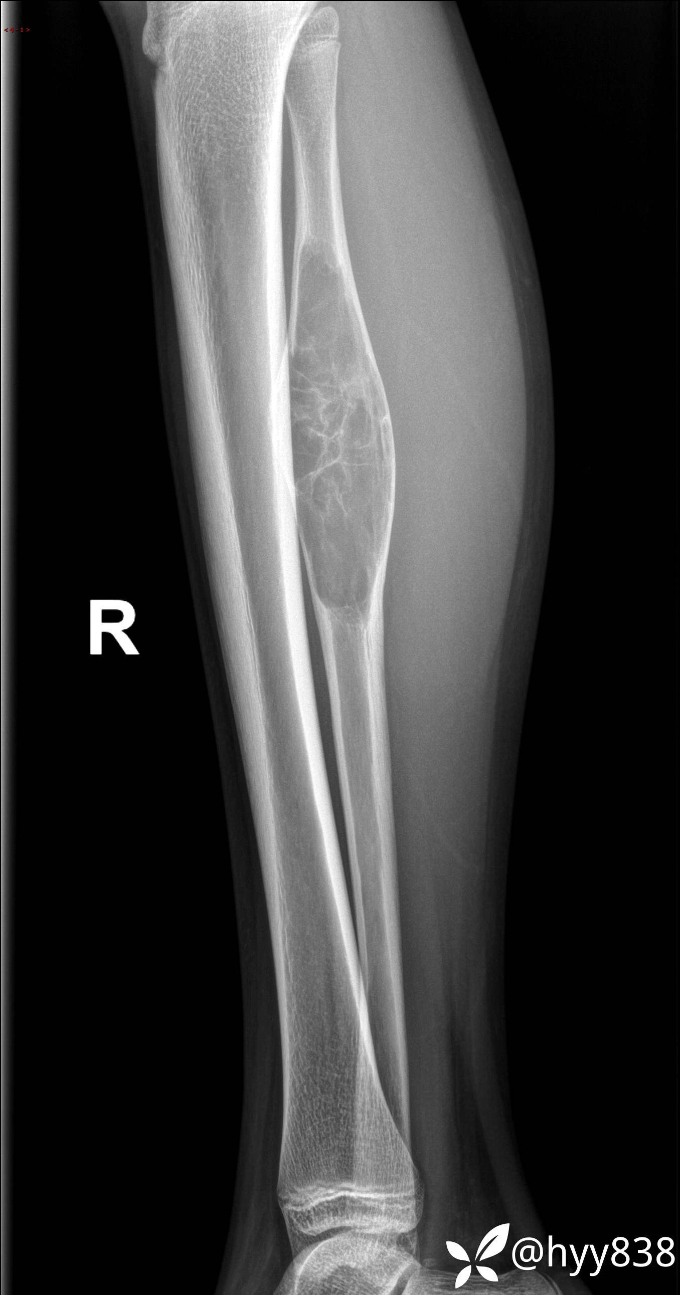
简要病史:患者3年前发现右小腿硬性肿物,按压稍疼痛,不伴活动受限及其他不适,后行胫腓骨MRI示:右腓骨上段肿物,考虑良性病变,现来院就诊,遂以“右下肢骨肿瘤”收入我科。 患者起病以来,精神良好,未进饮食,大小便正常,体重体力无明显改变。
体格检查:(-)
辅助检查:平片 CT MRI
临床诊断:胫骨肿物
治疗经过:手术
讨论:病变性质?
ABC--动脉瘤样骨囊肿 ; SBC---单纯骨囊肿 ; FD 纤维结构不良
平片


CT MPR COR





SAG



MRI 增强(cor+sag+axi)
























































