“典藏”病例分享。10岁儿童,头痛头晕一周余,CT、MRI 都有---结果公布~
患者性别:男
患者年龄:10岁
主诉:头痛头晕一周余
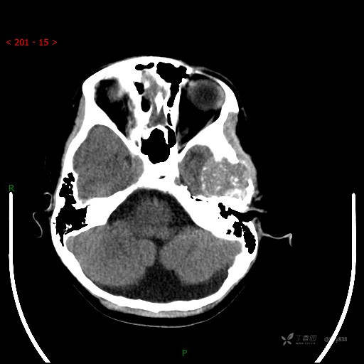
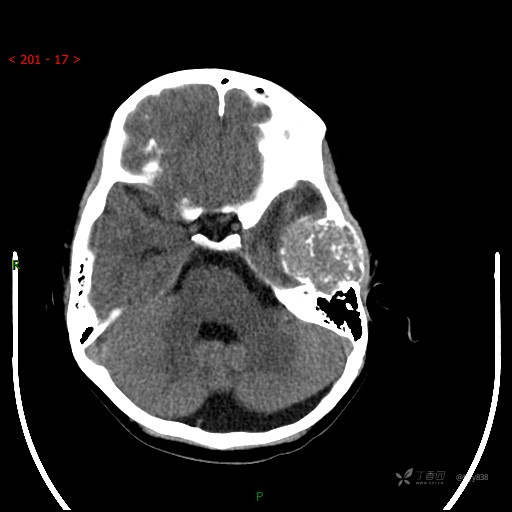
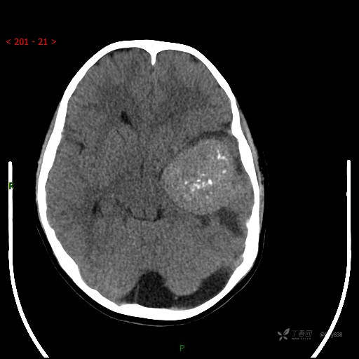
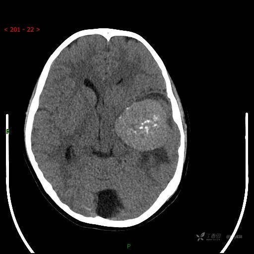
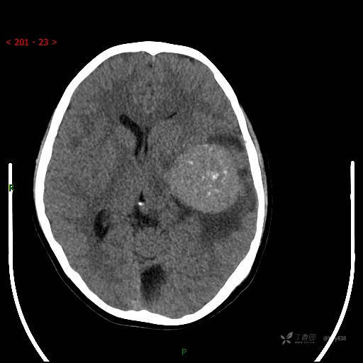
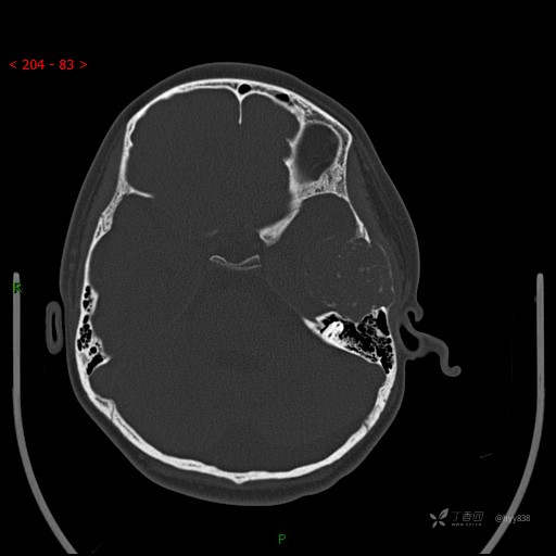
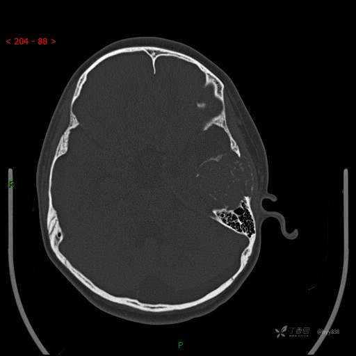
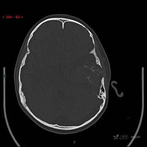
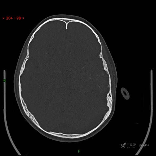
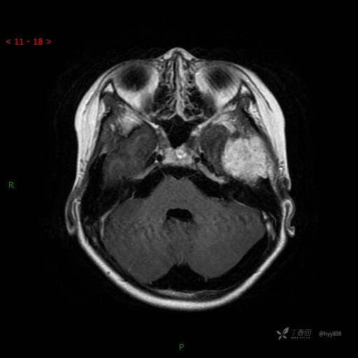
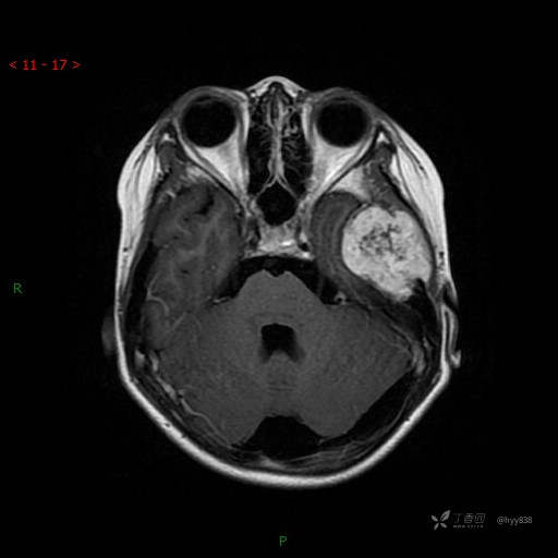
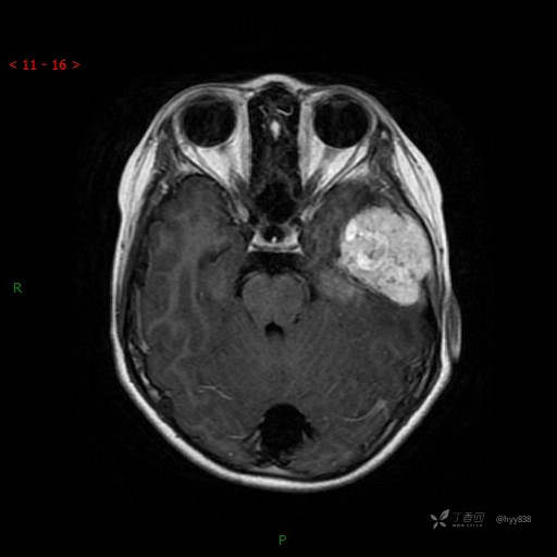
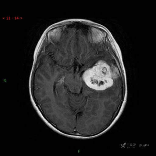
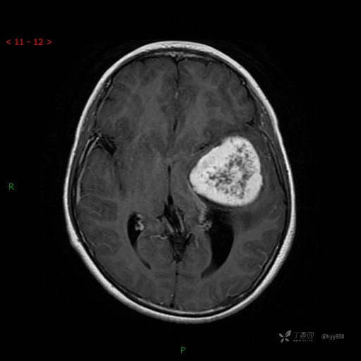
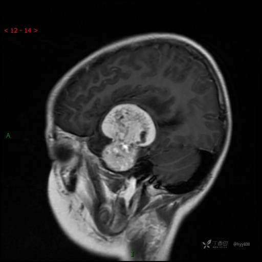
简要病史:患者于一周前无明显诱因开始出现头痛头晕,无恶心呕吐,无肢体抽搐,无寒颤高热,无腹胀腹泻,无视力下降及视野缺损,上述症状休息后可稍缓解,未引起重视。 2天前患者头痛头晕不适加重,伴有恶心感,无呕吐,遂到当地人民医院行头颅CT检查示:左侧颞部占位性病变,今日家属为求进一步治疗,来我院门诊求治。门诊拟“左侧颞部占位性病变”收入我科。 患病以来,患者精神、饮食、睡眠尚欠佳,大小便如常,体力体重无明显变化。
体格检查:(-)
辅助检查:CT MRI
临床诊断:左侧颞部占位
治疗经过:手术
讨论:病变性质?
颅脑CT扫描















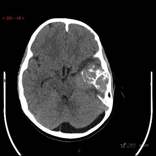
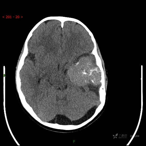
MRI增强























































