dxy logo
首页丁香园病例库全部版块
搜索
登录

病例白班偶遇,儿童,脊柱侧弯复诊---结果公布~

影像核医学版版主 · 最后编辑于 2024-05-30 · IP 湖北湖北
1828 浏览
推荐、达人点赞 2 项荣誉
这个帖子发布于 1 年零 148 天前,其中的信息可能已发生改变或有所发展。

病例信息

性别:男

年龄:13岁

简要病史:脊柱侧弯复诊

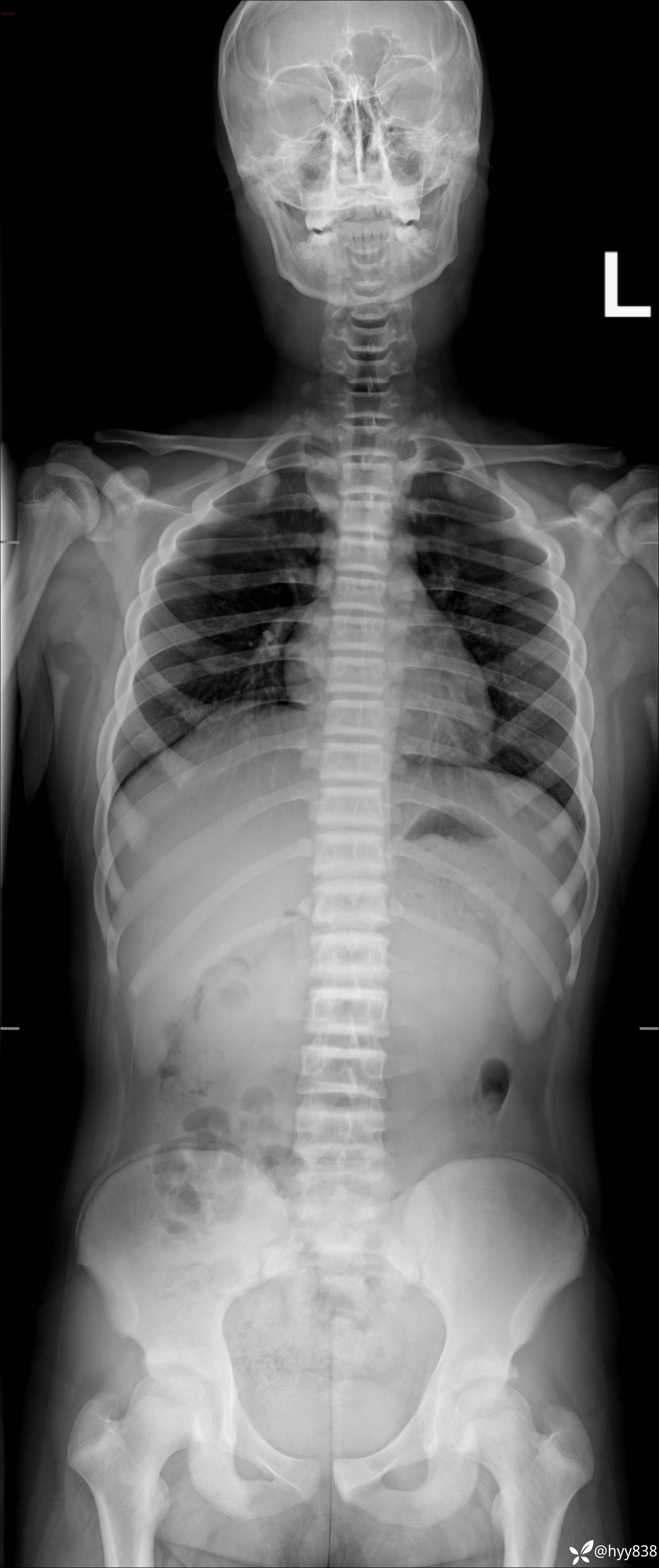
颈椎、胸椎、腰椎正侧位片

img
img
img
img
img
img

胸部CT脊柱MPR

img
img

2015年胸片

img
该帖还没有疾病标签去添加
24 6 33
同行评议(0)
已评议
不开通精选
开通精选
精选已授权,待上线
评议结果暂未公布
参与评议
去邀请
NaN
病例完整NaN
临床实用NaN
诊疗科学NaN
学术价值NaN

全部讨论(0)

默认最新
avatar
24
分享帖子
share-weibo分享到微博
share-weibo分享到微信
认证
返回顶部