【面颈】特别精彩病例|发现左眼部肿胀1周,儿童左眼眶占位期待您的精彩解读
呱呱叫了 等 3 位达人已点赞病例信息
患者性别:男
患者年龄:4岁
简要病史:发现左眼部肿胀1周,左眼睑外上方肿胀,上睑结膜穹隆部可见泪腺肿胀
既往史:无特殊
实验室检查:无特殊
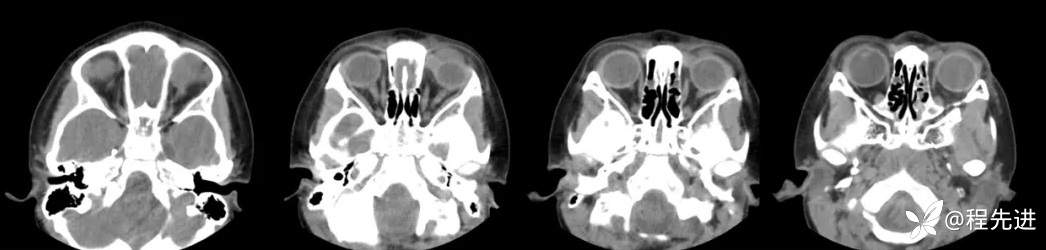
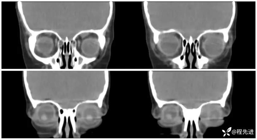
CT平扫:



MRI平扫+增强:
T2:

T1:

FLAIR:

T1增强:



问题与讨论
- 基于眼眶分区,眼眶病变主要分为哪些区?每个区的常见肿瘤或肿瘤样病变有哪些?
- 儿童眼眶占位你会先想到哪些鉴别诊断?
- 基于本例病史及CT、MR影像表现你会在哪些病变之间讨论鉴别?
期待您的点赞支持!
期待您的精彩解读!















































