【面颈】特别精彩病例|发现右颈淋巴结肿大2年,增大1月余
胡志勇HZY 等 2 位达人已点赞病例信息
【患者信息】:男,64岁
【主诉】:发现右颈淋巴结肿大2年,增大1月余。平素无诉不适,近期体重无明显改变
【检查】:
体检:右侧颈Ⅱ区可及多个肿大淋巴结,大小约1-2CM,质地中等,边清,压痛(+)。
血常规:白细胞个11.82 10^9/L;中性粒细胞百分比个85.9%;肿瘤指标正常,余实验检查未见异常。
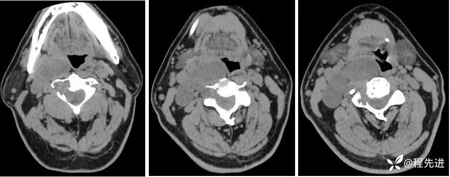
平扫:



动脉期:

静脉期:

胡志勇HZY 等 2 位达人已点赞病例信息
【患者信息】:男,64岁
【主诉】:发现右颈淋巴结肿大2年,增大1月余。平素无诉不适,近期体重无明显改变
【检查】:
体检:右侧颈Ⅱ区可及多个肿大淋巴结,大小约1-2CM,质地中等,边清,压痛(+)。
血常规:白细胞个11.82 10^9/L;中性粒细胞百分比个85.9%;肿瘤指标正常,余实验检查未见异常。
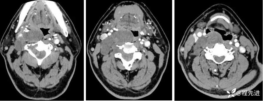
平扫:



动脉期:

静脉期:

