【面颈】特别精彩病例|右侧扁桃体渐进性肿大,伴咽痛异物感、睡眠打鼾1月
呱呱叫了 等 2 位达人已点赞病例信息
【患者信息】:女,35岁
【现病史及既往史】:1月前发现右侧扁桃体渐进性肿大,伴咽痛异物感、睡眠打鼾。
【检查】:
专科检查:右侧扁桃体III°肿大,左侧扁桃体I°肿大,慢性充血,扁桃体隐窝内脓栓形成,无触痛,咽后壁粘膜充血,淋巴滤泡增生;会厌抬举好,会厌谷、梨状窝无新生物,双声带无红肿,活动好,闭合好咽部粘膜慢性充血,悬雍垂无充血肿大。
实验室检查:白细胞、中性粒细胞数、淋巴细胞数、单核细胞数等未见异常。
影像检查:
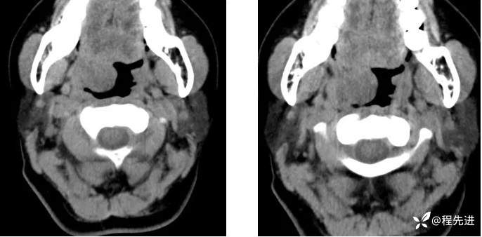
CT平扫:

T2:

T1及T1增强:


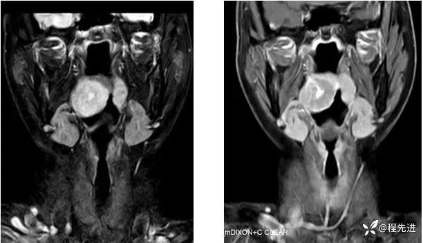
T2压脂、T1压脂增强:

DWI、ADC:
















































