【面颈】特别精彩病例|下颌肿大查因,典型病例分享
呱呱叫了 等 2 位达人已点赞病例信息
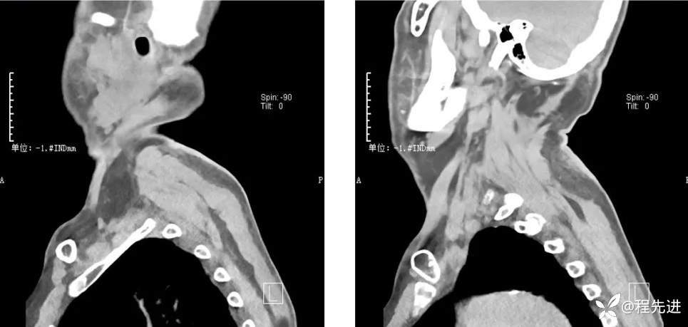
【患者信息】:男,57岁
【现病史及既往史】:18天前因咳嗽,咳痰,气促3周入院。入院诊断:双肺肺炎;原发性高血压3级;高血压心脏损害;甲状腺功能亢进;痛风性关节炎;下颌肿大查因。
【检查】:
查体:发现双侧颈部包块,鸽子蛋大小,包块较软,无吞咽时颈部疼痛不适,无呼吸困难,胸闷心悸,咳嗽等不适,患者无自觉症状。
颈部超声:颈部低回声团块。
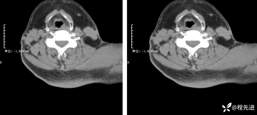
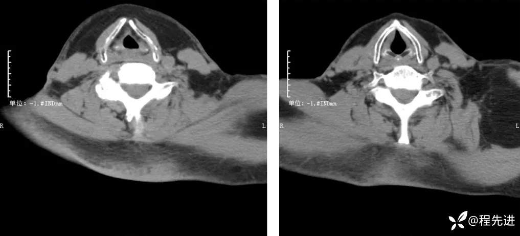
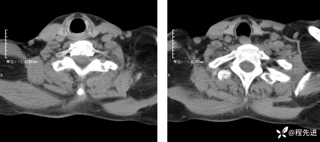
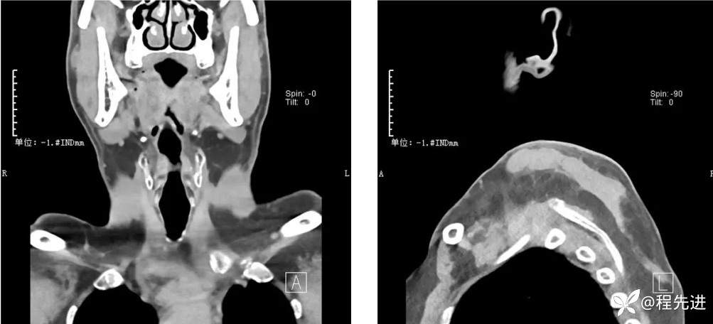
CT检查:








呱呱叫了 等 2 位达人已点赞病例信息
【患者信息】:男,57岁
【现病史及既往史】:18天前因咳嗽,咳痰,气促3周入院。入院诊断:双肺肺炎;原发性高血压3级;高血压心脏损害;甲状腺功能亢进;痛风性关节炎;下颌肿大查因。
【检查】:
查体:发现双侧颈部包块,鸽子蛋大小,包块较软,无吞咽时颈部疼痛不适,无呼吸困难,胸闷心悸,咳嗽等不适,患者无自觉症状。
颈部超声:颈部低回声团块。
CT检查:








