dxy logo
首页丁香园病例库全部版块
搜索
登录

病例2024普放病例/看这例儿童踝关节外伤如何诊断?

骨科版达人 · 最后编辑于 2024-04-04 · 来自 Android · IP 河北河北
1658 浏览
推荐、达人点赞 2 项荣誉
这个帖子发布于 1 年零 187 天前,其中的信息可能已发生改变或有所发展。

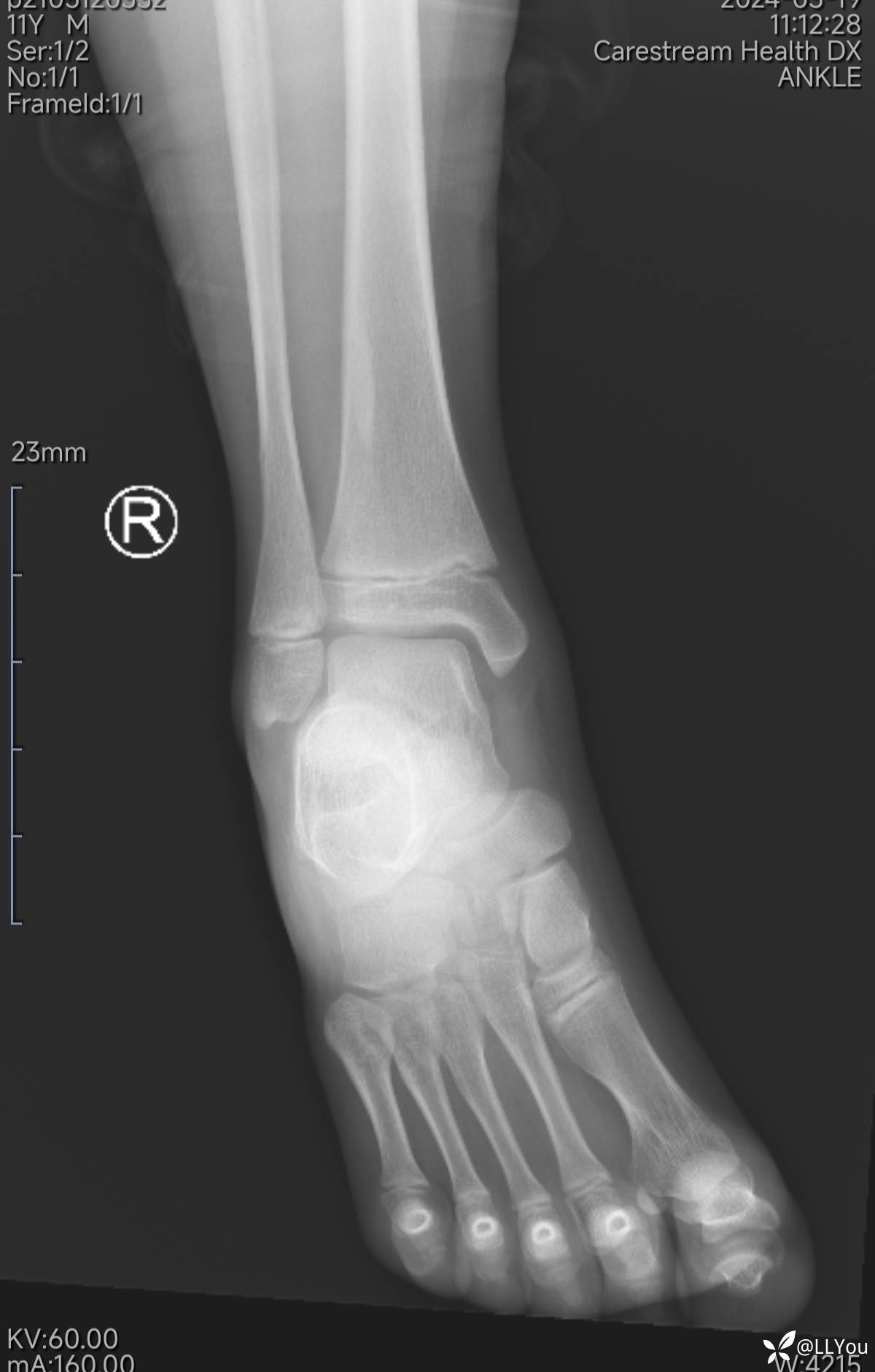
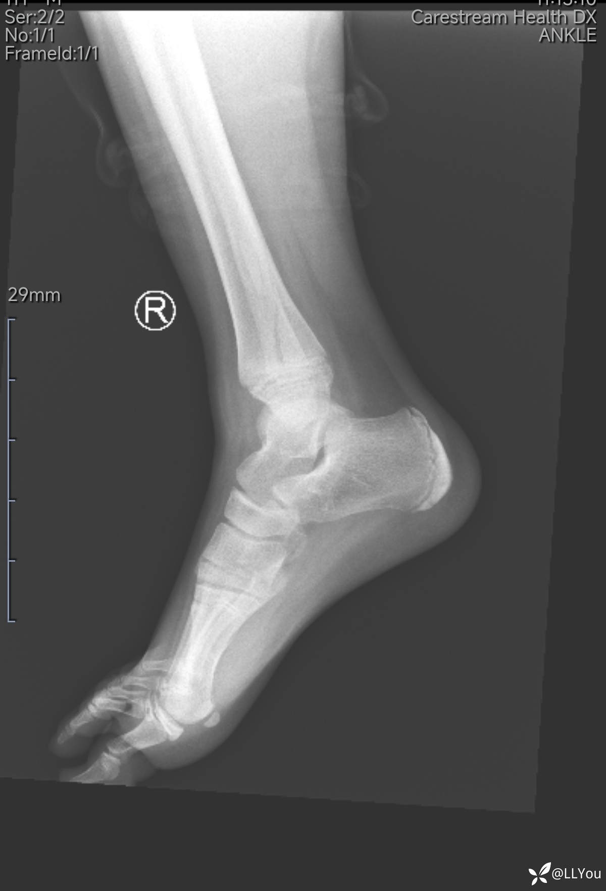
病例信息

病人,男,11岁

踝关节外伤后肿痛2小时来诊

查体:踝关节轻度肿、压痛,活动稍受限。

踝关节X光片,见下图。

img


img



处理分析

儿童踝关节损伤有独特之处

诊断需谨慎!

问题讨论

1、诊断思路?

2、诊断?

@丁香影像频道

该帖还没有疾病标签去添加
15 1 13
同行评议(0)
已评议
不开通精选
开通精选
精选已授权,待上线
评议结果暂未公布
参与评议
去邀请
NaN
病例完整NaN
临床实用NaN
诊疗科学NaN
学术价值NaN

全部讨论(0)

默认最新
avatar
15
分享帖子
share-weibo分享到微博
share-weibo分享到微信
认证
返回顶部