8月特别精彩病例|7岁儿童检查发现脑积水1个月,左中脑占位期待你解密|病理已公布
呱呱叫了 等 2 位达人已点赞患者性别:男
患者年龄:7岁
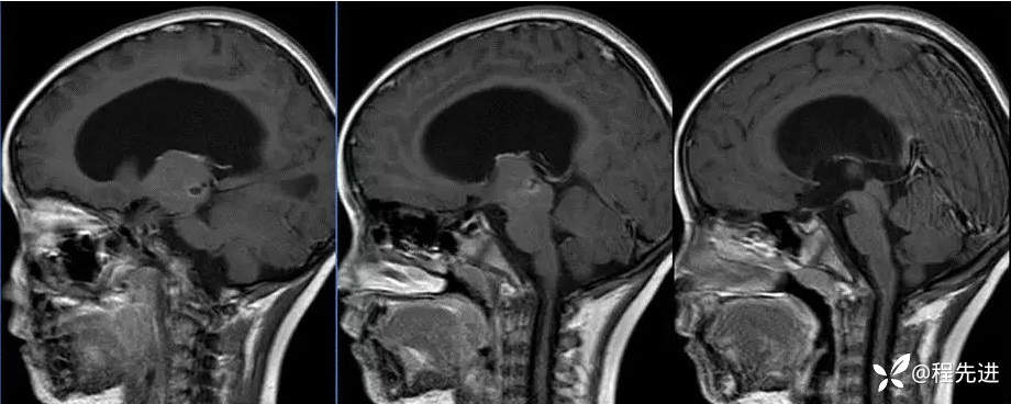
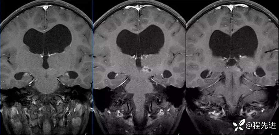
简要病史:检查发现脑积水1个月
体格检查:神清,语利,精神可,对答切题,定时定向力可。双瞳孔等大等圆,左:右=2.5mm:2.5mm,对光反射灵敏,眼动正常。面部感觉对称,咬肌,颞肌有力。额纹对称,鼻唇沟对称;双耳听力粗试无明显异常,耸肩双侧对称有力,伸舌居中。颈软,无抵抗。四肢活动正常,肌力及肌张力正常。全身感觉无明显异常。生理反射存在,双Babinski征阳性。一般状况可,心肺肝脾未见异常
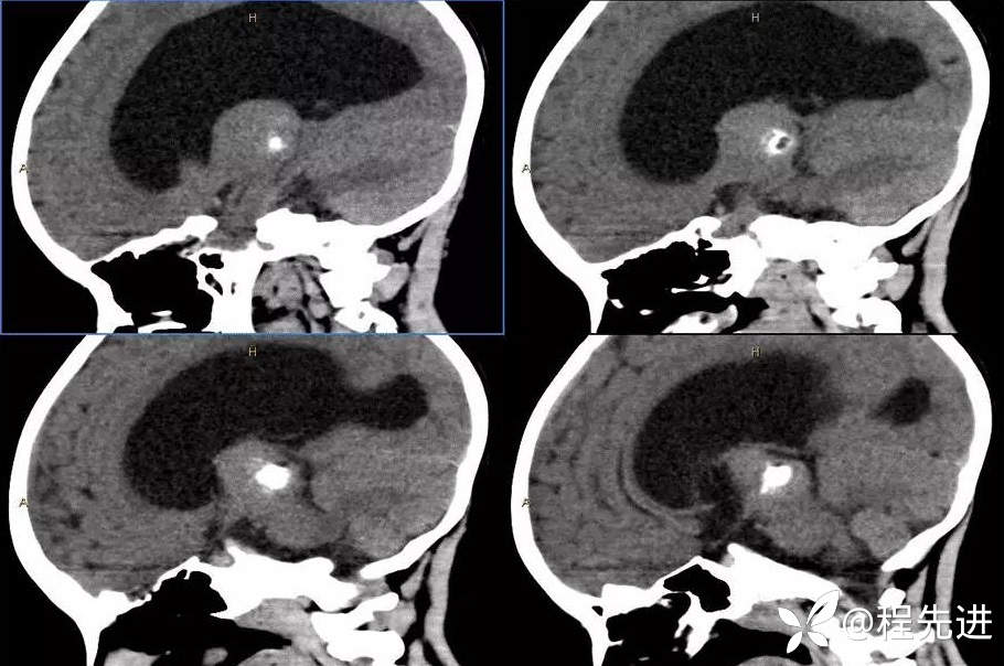
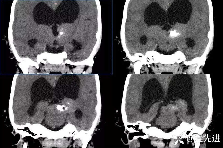
CT



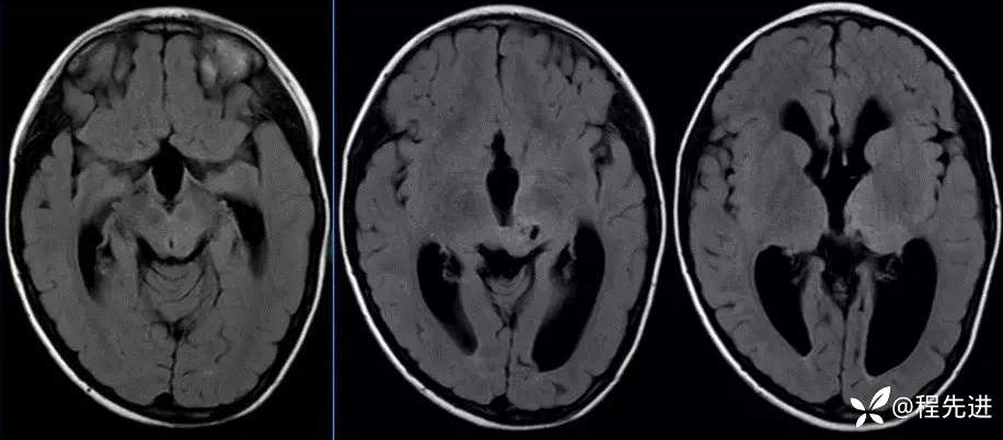
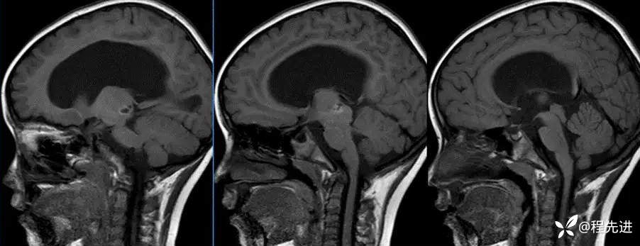
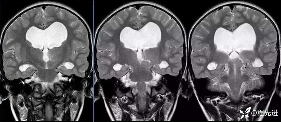
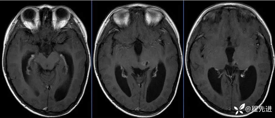
MR
























































