3月特别精彩病例|反复咳嗽1月,发现“纵隔”占位半月,乏力10余天,讨论好热烈呀
呱呱叫了 等 2 位达人已点赞患者性别:男
患者年龄:28岁
主诉:反复咳嗽1月,发现“纵隔”占位半月,乏力10余天。
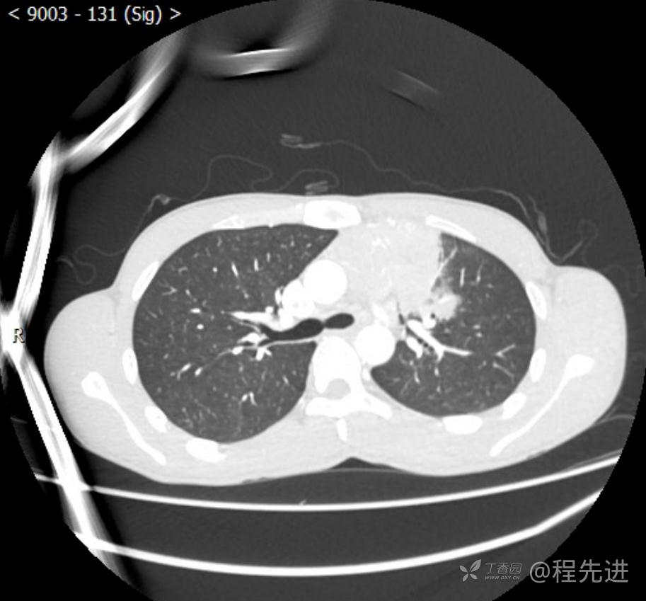
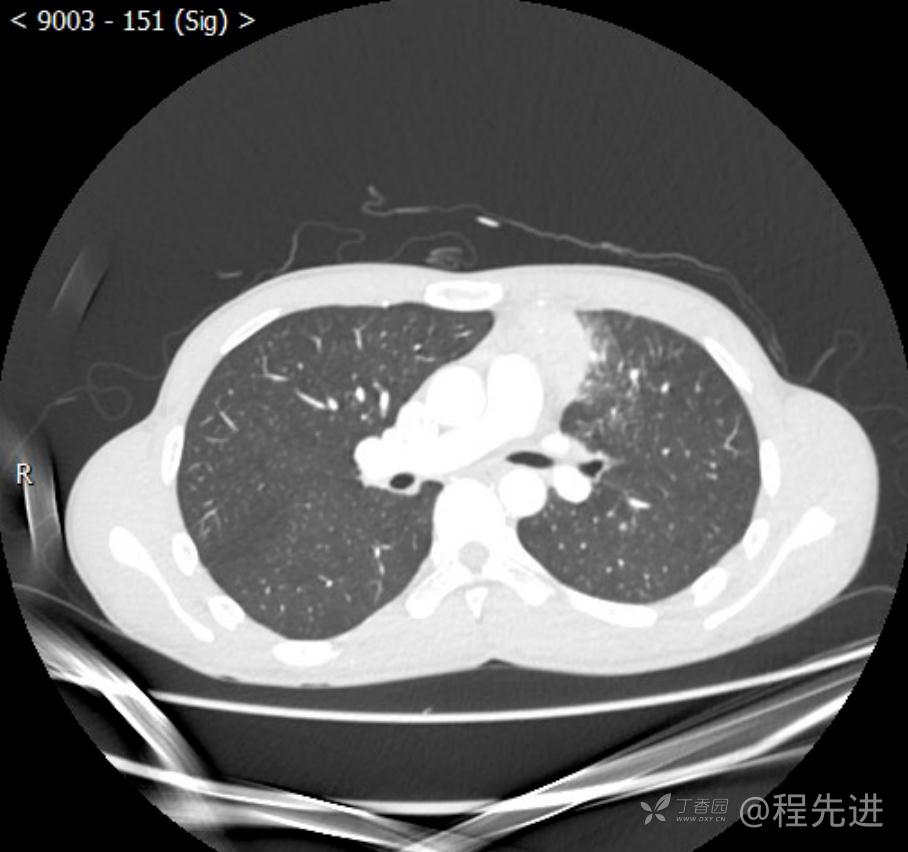
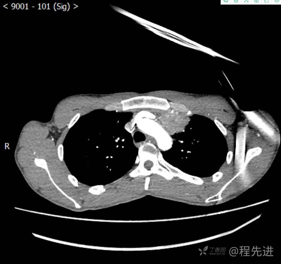
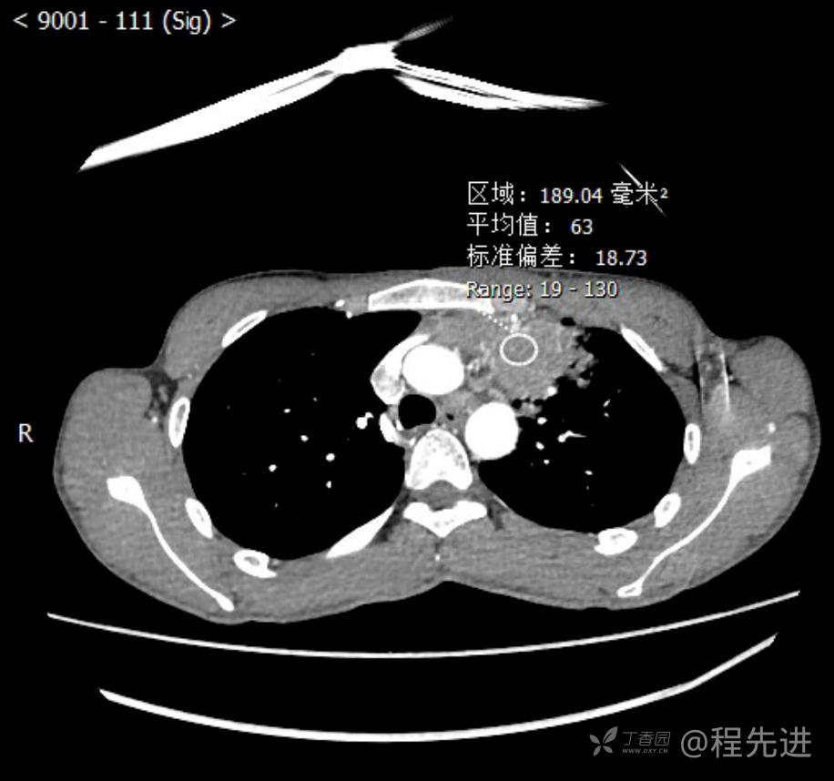
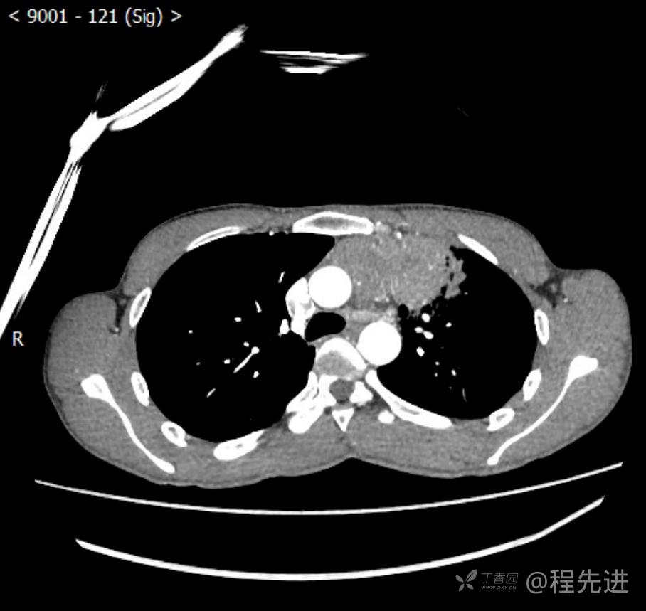
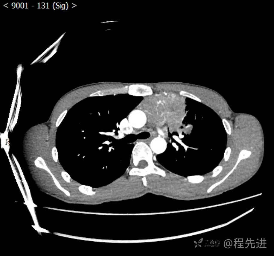
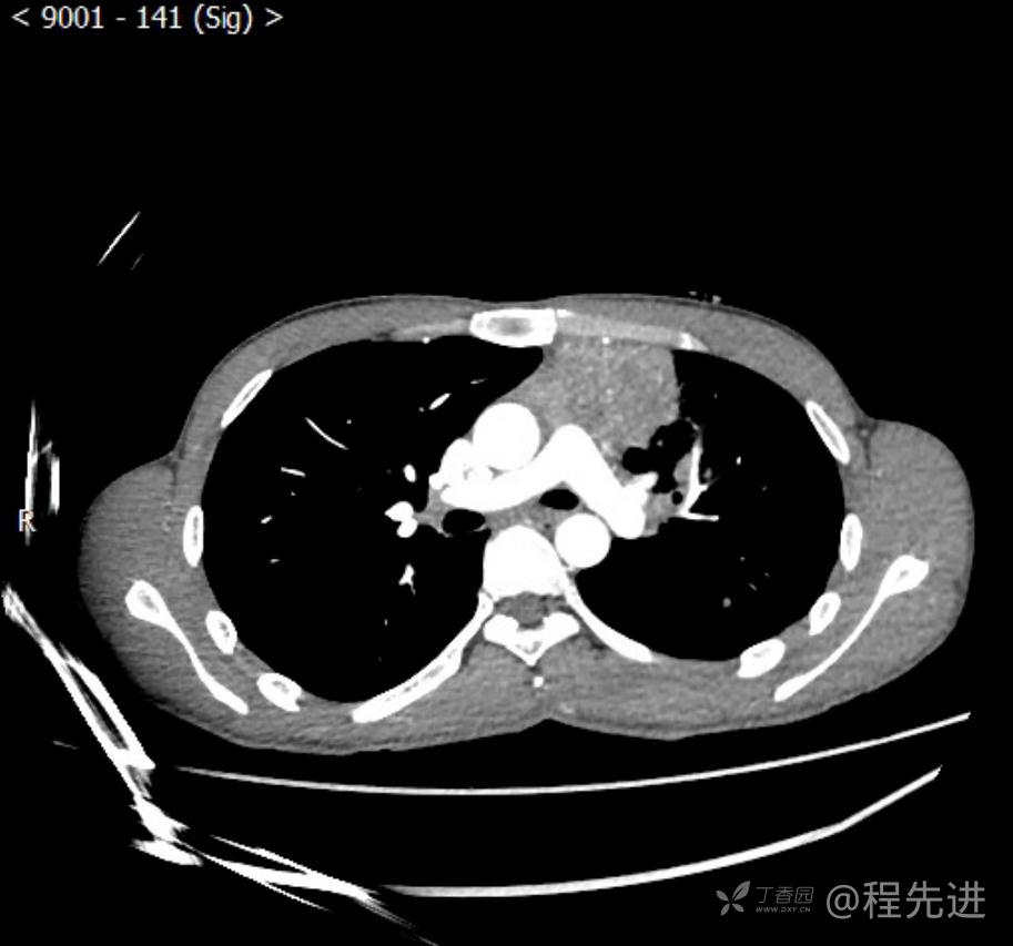
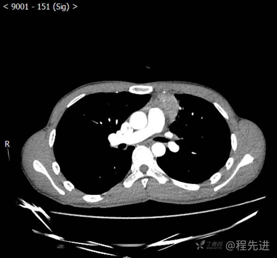
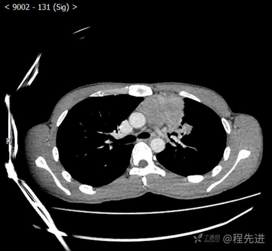
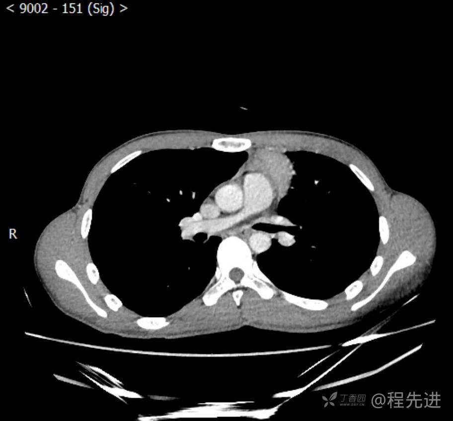
现病史:患者1月前无明显诱因出现咳嗽,以夜间为著,伴有少量白痰,无发热,无胸痛、咯血,无痰中带血,未予重视,半月前外院行胸部CT检查发现“左前上纵隔”占位,未予进一步检查及治疗。近10余天自觉乏力,逐渐加重。





















呱呱叫了 等 2 位达人已点赞患者性别:男
患者年龄:28岁
主诉:反复咳嗽1月,发现“纵隔”占位半月,乏力10余天。
现病史:患者1月前无明显诱因出现咳嗽,以夜间为著,伴有少量白痰,无发热,无胸痛、咯血,无痰中带血,未予重视,半月前外院行胸部CT检查发现“左前上纵隔”占位,未予进一步检查及治疗。近10余天自觉乏力,逐渐加重。





















